JavaScript is disabled in your browser. Please enable JavaScript to view this website.
AB121366

Anti-MRPL52 antibody

Be the first to review this product! Submit a review

|

(3 Publications)

Rabbit Polyclonal MRPL52 antibody. Suitable for IHC-P, WB, ICC/IF and reacts with Human, Mouse, Rat samples. Cited in 3 publications. Immunogen corresponding to Recombinant Fragment Protein within Human MRPL52 aa 1 to C-terminus.

View Alternative Names

Large ribosomal subunit protein mL52, L52mt, MRP-L52, MRPL52

4 Images
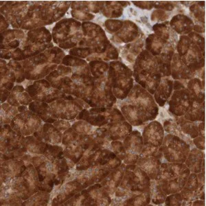
Immunohistochemistry (Formalin/PFA-fixed paraffin-embedded sections) - Anti-MRPL52 antibody (AB121366)
  • IHC-P

Unknown

Immunohistochemistry (Formalin/PFA-fixed paraffin-embedded sections) - Anti-MRPL52 antibody (AB121366)

Immunohistochemical analysis of paraffin embedded Human pancreas tissue labelling MRPL52 with ab121366 antibody at a dilution of 1/50.

Immunocytochemistry/ Immunofluorescence - Anti-MRPL52 antibody (AB121366)
  • ICC/IF

Unknown

Immunocytochemistry/ Immunofluorescence - Anti-MRPL52 antibody (AB121366)

Immunofluorescent staining of Human cell line U-251MG shows positivity in nucleus but not nucleoli and mitochondria. Recommended concentration of ab121366 1-4 µg/ml. Cells treated with PFA/Triton X-100.

Western blot - Anti-MRPL52 antibody (AB121366)
  • WB

Unknown

Western blot - Anti-MRPL52 antibody (AB121366)

All lanes:

Western blot - Anti-MRPL52 antibody (ab121366) at 1/250 dilution

Lane 1:

NIH3T3 cell lysate

Lane 2:

NBT-II cell lysate

Predicted band size: 14 kDa

false

Western blot - Anti-MRPL52 antibody (AB121366)
  • WB

Unknown

Western blot - Anti-MRPL52 antibody (AB121366)

All lanes:

Western blot - Anti-MRPL52 antibody (ab121366) at 1/250 dilution

Lane 1:

RT-4 cell lysate

Lane 2:

U-251 MG cell lysate

Lane 3:

Human Plasma cell lysate

Lane 4:

Human Liver cell lysate

Lane 5:

Human Tonsil cell lysate

Predicted band size: 14 kDa

false

Key facts

Host species

Rabbit

Clonality

Polyclonal

Isotype

IgG

Carrier free

No

Reacts with

Mouse, Rat, Human

Applications

ICC/IF, WB, IHC-P

applications

Immunogen

Recombinant Fragment Protein within Human MRPL52 aa 1 to C-terminus. The exact immunogen used to generate this antibody is proprietary information.

Q86TS9

Reactivity data

{ "title": "Reactivity Data", "filters": { "stats": ["", "Species", "Dilution Info", "Notes"], "tabs": { "all-applications": {"fullname" : "All Applications", "shortname": "All Applications"}, "IHCP" : {"fullname" : "Immunohistochemistry (Formalin/PFA-fixed paraffin-embedded sections)", "shortname":"IHC-P"}, "WB" : {"fullname" : "Western blot", "shortname":"WB"}, "ICCIF" : {"fullname" : "Immunocytochemistry/ Immunofluorescence", "shortname":"ICC/IF"} }, "product-promise": { "all": "all", "testedAndGuaranteed": "tested", "guaranteed": "expected", "predicted": "predicted", "notRecommended": "not-recommended" } }, "values": { "Human": { "IHCP-species-checked": "testedAndGuaranteed", "IHCP-species-dilution-info": "1/50 - 1/200", "IHCP-species-notes": "<p></p> Perform heat-mediated antigen retrieval with citrate buffer pH 6 before commencing with IHC staining protocol.", "WB-species-checked": "testedAndGuaranteed", "WB-species-dilution-info": "0.04-0.4 µg/mL", "WB-species-notes": "<p></p>", "ICCIF-species-checked": "testedAndGuaranteed", "ICCIF-species-dilution-info": "0.25-2 µg/mL", "ICCIF-species-notes": "<p></p>" }, "Mouse": { "IHCP-species-checked": "guaranteed", "IHCP-species-dilution-info": "", "IHCP-species-notes": "", "WB-species-checked": "testedAndGuaranteed", "WB-species-dilution-info": "0.04-0.4 µg/mL", "WB-species-notes": "<p></p>", "ICCIF-species-checked": "guaranteed", "ICCIF-species-dilution-info": "", "ICCIF-species-notes": "" }, "Rat": { "IHCP-species-checked": "guaranteed", "IHCP-species-dilution-info": "", "IHCP-species-notes": "", "WB-species-checked": "testedAndGuaranteed", "WB-species-dilution-info": "0.04-0.4 µg/mL", "WB-species-notes": "<p></p>", "ICCIF-species-checked": "guaranteed", "ICCIF-species-dilution-info": "", "ICCIF-species-notes": "" } } }

Properties and storage information

Form
Liquid
Purification technique
Affinity purification Immunogen
Storage buffer
pH: 7.2 Preservative: 0.02% Sodium azide Constituents: PBS, 40% Glycerol (glycerin, glycerine)
Shipped at conditions
Blue Ice
Appropriate short-term storage conditions
+4°C
Appropriate long-term storage conditions
-20°C
Aliquoting information
Upon delivery aliquot
Storage information
Avoid freeze / thaw cycle

Supplementary information

This supplementary information is collated from multiple sources and compiled automatically.

MRPL52 known as 39S ribosomal protein L52 is vital for mitochondrial protein synthesis. This small protein has a mass of about 16 kilodaltons. Researchers find its expression mainly within the mitochondria where it acts as a component of the large subunit of mitochondrial ribosomes. Through its contribution to the structural and functional integrity of ribosomes MRPL52 supports the complex process of mitochondrial translation.
Biological function summary

MRPL52 aids in the synthesis of proteins encoded by mitochondrial DNA. Integral to the mitochondrial ribosome's large subunit it is important for translation and maintaining mitochondrial function. MRPL52 works in close association with other ribosomal proteins to ensure proper assembly and translation efficacy of the ribosome. Its role critically influences mitochondrial biogenesis and cellular energy production.

Pathways

MRPL52 contributes to pathways involved in mitochondrial biogenesis and oxidative phosphorylation. Its function links closely to the pathway that governs mitochondrial translation collaborating with other ribosomal proteins and translation factors. Through these pathways MRPL52 supports cellular energy metabolism and helps in the production of essential proteins for mitochondrial respiration. It interacts functionally with other mitochondrial translation machinery components amplifying its significance.

Researchers have associated MRPL52 with mitochondrial disorders including mitochondrial myopathy and mitochondrial encephalopathy. The disruption in its normal function can lead to defects in mitochondrial protein synthesis diminishing cellular energy supply. MRPL52 shares ties with disorders through interactions with other mitochondrial proteins involved in translation and maintenance of mitochondrial health. Understanding these interactions offers insight into therapeutic opportunities for mitochondrial diseases.

Product protocols

For this product, it's our understanding that no specific protocols are required. You can visit:

Publications (3)

Recent publications for all applications. Explore the full list and refine your search

Advanced science (Weinheim, Baden-Wurttemberg, Germany) 12:e2414723 PubMed39960327

2025

Fam172a Mediates the Stimulation of Hypothalamic Oxytocin Neurons to Suppress Obesity-Induced Anxiety.

Applications

Unspecified application

Species

Unspecified reactive species

Baocheng Wan,Lina Zhang,Xinyu Wang,Rong Zhang,Lianxi Li,Yi Zhang,Zhuo Chen,Cheng Hu

Theranostics 11:7337-7359 PubMed34158854

2021

HIF-1-induced mitochondrial ribosome protein L52: a mechanism for breast cancer cellular adaptation and metastatic initiation in response to hypoxia.

Applications

Unspecified application

Species

Unspecified reactive species

Xinyan Li,Mengshen Wang,Su Li,Yuqiong Chen,Mozhi Wang,Zhonghua Wu,Xiangyu Sun,Litong Yao,Haoran Dong,Yongxi Song,Yingying Xu

Frontiers in cell and developmental biology 9:640667 PubMed33816490

2021

Structural and Functional Characterization of Fibronectin in Extracellular Vesicles From Hepatocytes.

Applications

Unspecified application

Species

Unspecified reactive species

Xinlei Li,Ruju Chen,Sherri Kemper,David R Brigstock
View all publications

Product promise

We are committed to supporting your work with high-quality reagents, and we're here for you every step of the way. In the unlikely event that one of our products does not perform as expected, you're protected by our Product Promise.
For full details, please see our Terms & Conditions

Please note: All products are 'FOR RESEARCH USE ONLY. NOT FOR USE IN DIAGNOSTIC OR THERAPEUTIC PROCEDURES'.

For licensing inquiries, please contact partnerships@abcam.com