JavaScript is disabled in your browser. Please enable JavaScript to view this website.
AB175207

Anti-MRPS17 antibody [EPR12583]

Be the first to review this product! Submit a review

|

(1 Publication)

Rabbit Recombinant Monoclonal MRPS17 antibody. Suitable for IHC-P, IP, WB, ICC/IF and reacts with Human samples. Cited in 1 publication.

View Alternative Names

RPMS17, HSPC011, MRPS17, Small ribosomal subunit protein uS17m, MRP-S17, S17mt

5 Images
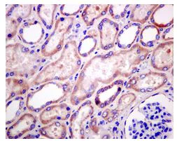
Immunohistochemistry (Formalin/PFA-fixed paraffin-embedded sections) - Anti-MRPS17 antibody [EPR12583] (AB175207)
  • IHC-P

Supplier Data

Immunohistochemistry (Formalin/PFA-fixed paraffin-embedded sections) - Anti-MRPS17 antibody [EPR12583] (AB175207)

Immunohistochemical analysis of paraffin embedded Human kidney tissue labeling MRPS17 with ab175207 at 1/50 dilution.

Perform heat mediated antigen retrieval with citrate buffer pH 6 before commencing with IHC staining protocol.

Immunocytochemistry/ Immunofluorescence - Anti-MRPS17 antibody [EPR12583] (AB175207)
  • ICC/IF

Supplier Data

Immunocytochemistry/ Immunofluorescence - Anti-MRPS17 antibody [EPR12583] (AB175207)

Immunofluorescent staining of HeLa cells labeling MRPS17 with ab175207 at 1/100 dilution (green). DAPI nuclear staining (blue).

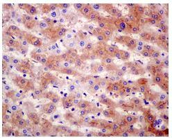
Immunohistochemistry (Formalin/PFA-fixed paraffin-embedded sections) - Anti-MRPS17 antibody [EPR12583] (AB175207)
  • IHC-P

Supplier Data

Immunohistochemistry (Formalin/PFA-fixed paraffin-embedded sections) - Anti-MRPS17 antibody [EPR12583] (AB175207)

Immunohistochemical analysis of paraffin embedded Human liver tissue labeling MRPS17 with ab175207 at 1/50 dilution.

Perform heat mediated antigen retrieval with citrate buffer pH 6 before commencing with IHC staining protocol.

Immunoprecipitation - Anti-MRPS17 antibody [EPR12583] (AB175207)
  • IP

Supplier Data

Immunoprecipitation - Anti-MRPS17 antibody [EPR12583] (AB175207)

Western blot analysis on immunoprecipitation pellet from HeLa cell lysate labeling MRPS17 with ab175207 at 1/10 dilution.

All lanes:

Immunoprecipitation - Anti-MRPS17 antibody [EPR12583] (ab175207)

Predicted band size: 15 kDa

false

Western blot - Anti-MRPS17 antibody [EPR12583] (AB175207)
  • WB

Supplier Data

Western blot - Anti-MRPS17 antibody [EPR12583] (AB175207)

All lanes:

Western blot - Anti-MRPS17 antibody [EPR12583] (ab175207) at 1/1000 dilution

Lane 1:

HeLa cell lysate at 10 µg

Lane 2:

HepG2 cell lysate at 10 µg

Lane 3:

U937 cell lysate at 10 µg

Predicted band size: 15 kDa

false

  • Carrier free

    Anti-MRPS17 antibody [EPR12583] - BSA and Azide free

Key facts

Host species

Rabbit

Clonality

Monoclonal

Clone number

EPR12583

Isotype

IgG

Carrier free

No

Reacts with

Human

Applications

IP, ICC/IF, WB, IHC-P

applications

Immunogen

The exact immunogen used to generate this antibody is proprietary information.

Reactivity data

{ "title": "Reactivity Data", "filters": { "stats": ["", "Species", "Dilution Info", "Notes"], "tabs": { "all-applications": {"fullname" : "All Applications", "shortname": "All Applications"}, "IHCP" : {"fullname" : "Immunohistochemistry (Formalin/PFA-fixed paraffin-embedded sections)", "shortname":"IHC-P"}, "IP" : {"fullname" : "Immunoprecipitation", "shortname":"IP"}, "FlowCyt" : {"fullname" : "Flow Cytometry", "shortname":"Flow Cyt"}, "WB" : {"fullname" : "Western blot", "shortname":"WB"}, "ICCIF" : {"fullname" : "Immunocytochemistry/ Immunofluorescence", "shortname":"ICC/IF"} }, "product-promise": { "all": "all", "testedAndGuaranteed": "tested", "guaranteed": "expected", "predicted": "predicted", "notRecommended": "not-recommended" } }, "values": { "Human": { "IHCP-species-checked": "testedAndGuaranteed", "IHCP-species-dilution-info": "1/50 - 1/100", "IHCP-species-notes": "<p></p> Perform heat-mediated antigen retrieval with citrate buffer pH 6 before commencing with IHC staining protocol.", "IP-species-checked": "testedAndGuaranteed", "IP-species-dilution-info": "1/10 - 1/100", "IP-species-notes": "<p></p>", "FlowCyt-species-checked": "notRecommended", "FlowCyt-species-dilution-info": "", "FlowCyt-species-notes": "<p></p>", "WB-species-checked": "testedAndGuaranteed", "WB-species-dilution-info": "1/1000 - 1/5000", "WB-species-notes": "<p></p>", "ICCIF-species-checked": "testedAndGuaranteed", "ICCIF-species-dilution-info": "1/100 - 1/250", "ICCIF-species-notes": "<p></p>" } } }

Product details

Species reactivity
Mouse, Rat: We have preliminary internal testing data to indicate this antibody may not react with these species.
Please contact us for more information.

Patented technology
Our RabMAb® technology is a patented hybridoma-based technology for making rabbit monoclonal antibodies. For details on our patents, please refer to RabMAb® patents.

What are the advantages of a recombinant monoclonal antibody?
This product is a recombinant monoclonal antibody, which offers several advantages including:

  • - High batch-to-batch consistency and reproducibility
  • - Improved sensitivity and specificity
  • - Long-term security of supply
  • - Animal-free batch production

For more information, read more on recombinant antibodies.

Properties and storage information

Form
Liquid
Purity
Tissue culture supernatant
Storage buffer
pH: 7.2 - 7.4 Preservative: 0.01% Sodium azide Constituents: 50% Tissue culture supernatant, 40% Glycerol (glycerin, glycerine), 9% PBS, 0.05% BSA
Shipped at conditions
Blue Ice
Appropriate short-term storage duration
1-2 weeks
Appropriate short-term storage conditions
+4°C
Appropriate long-term storage conditions
-20°C
Aliquoting information
Upon delivery aliquot
Storage information
Avoid freeze / thaw cycle

Supplementary information

This supplementary information is collated from multiple sources and compiled automatically.

MRPS17 also known as mitochondrial ribosomal protein S17 is a component of the mitochondrial ribosome small subunit. It weighs approximately 17 kDa. MRPS17 expresses in tissues throughout the body especially in those with high-energy requirements like muscle and brain. MRPS17 is essential for mitochondrial protein synthesis where it contributes to translating mitochondrial-encoded messages into functional proteins.
Biological function summary

The protein MRPS17 acts as part of the mitochondrial ribosome which contains many different proteins and ribosomal RNA. This complex plays a significant role in cellular energy metabolism by producing proteins essential for the electron transport chain. MRPS17 ensures that mitochondria maintain their capacity to synthesize proteins that drive ATP production. Without this process cells would lack adequate energy supply.

Pathways

MRPS17 engages in critical roles within mitochondrial translation pathway and oxidative phosphorylation pathway. These pathways facilitate the proper function of mitochondria in energy production. MRPS17 interacts with other mitochondrial ribosomal proteins like MRPS18 ensuring the accuracy and efficiency of protein synthesis. This interaction supports overall mitochondrial and cellular health.

Defects in MRPS17 relate to mitochondrial diseases such as Leigh syndrome and mitochondrial cardiomyopathy. These conditions often arise from disrupted energy production in cells. Genetic mutations affecting MRPS17 might impair mitochondrial function leading to clinical symptoms. MRPS17 shares connections with other mitochondrial proteins like MRPS16 in the context of these disorders highlighting its relevance in related pathological states.

Product protocols

For this product, it's our understanding that no specific protocols are required. You can visit:

Publications (1)

Recent publications for all applications. Explore the full list and refine your search

Nature communications 12:4980 PubMed34404792

2021

Spatiotemporally-resolved mapping of RNA binding proteins via functional proximity labeling reveals a mitochondrial mRNA anchor promoting stress recovery.

Applications

Unspecified application

Species

Unspecified reactive species

Wei Qin,Samuel A Myers,Dominique K Carey,Steven A Carr,Alice Y Ting
View all publications

Product promise

We are committed to supporting your work with high-quality reagents, and we're here for you every step of the way. In the unlikely event that one of our products does not perform as expected, you're protected by our Product Promise.
For full details, please see our Terms & Conditions

Please note: All products are 'FOR RESEARCH USE ONLY. NOT FOR USE IN DIAGNOSTIC OR THERAPEUTIC PROCEDURES'.

For licensing inquiries, please contact partnerships@abcam.com