JavaScript is disabled in your browser. Please enable JavaScript to view this website.
AB250439

Anti-MRRF antibody [EPR14140(B)] - BSA and Azide free

Be the first to review this product! Submit a review

|

(0 Publication)

Rabbit Recombinant Monoclonal MRRF antibody. Carrier free. Suitable for IHC-P, WB and reacts with Human samples.

View Alternative Names

RRF, mtRRF, MRRF

2 Images
Immunohistochemistry (Formalin/PFA-fixed paraffin-embedded sections) - Anti-MRRF antibody [EPR14140(B)] - BSA and Azide free (AB250439)
  • IHC-P

Supplier Data

Immunohistochemistry (Formalin/PFA-fixed paraffin-embedded sections) - Anti-MRRF antibody [EPR14140(B)] - BSA and Azide free (AB250439)

This data was developed using ab181223, the same antibody clone in a different buffer formulation.

Immunohistochemical analysis of paraffin embedded Human kidney tissue sections labeling MRRF using ab181223 at a 1/100 dilution. A ready to use HRP Polymer for Rabbit IgG was used as the secondary. Hematoxylin counterstain.

Perform heat mediated antigen retrieval with citrate buffer pH 6 before commencing with IHC staining protocol.

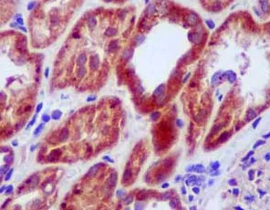
Immunohistochemistry (Formalin/PFA-fixed paraffin-embedded sections) - Anti-MRRF antibody [EPR14140(B)] - BSA and Azide free (AB250439)
  • IHC-P

Supplier Data

Immunohistochemistry (Formalin/PFA-fixed paraffin-embedded sections) - Anti-MRRF antibody [EPR14140(B)] - BSA and Azide free (AB250439)

This data was developed using ab181223, the same antibody clone in a different buffer formulation.

Immunohistochemical analysis of paraffin embedded Human cardiac muscle tissue sections labeling MRRF using ab181223 at a 1/100 dilution. A ready to use HRP Polymer for Rabbit IgG was used as the secondary. Hematoxylin counterstain.

Perform heat mediated antigen retrieval with citrate buffer pH 6 before commencing with IHC staining protocol.

Key facts

Host species

Rabbit

Clonality

Monoclonal

Clone number

EPR14140(B)

Isotype

IgG

Carrier free

Yes

Reacts with

Human

Applications

WB, IHC-P

applications

Immunogen

The exact immunogen used to generate this antibody is proprietary information.

Reactivity data

{ "title": "Reactivity Data", "filters": { "stats": ["", "Species", "Dilution Info", "Notes"], "tabs": { "all-applications": {"fullname" : "All Applications", "shortname": "All Applications"}, "IHCP" : {"fullname" : "Immunohistochemistry (Formalin/PFA-fixed paraffin-embedded sections)", "shortname":"IHC-P"}, "WB" : {"fullname" : "Western blot", "shortname":"WB"} }, "product-promise": { "all": "all", "testedAndGuaranteed": "tested", "guaranteed": "expected", "predicted": "predicted", "notRecommended": "not-recommended" } }, "values": { "Human": { "IHCP-species-checked": "testedAndGuaranteed", "IHCP-species-dilution-info": "", "IHCP-species-notes": "<p></p> Perform heat-mediated antigen retrieval with citrate buffer pH 6 before commencing with IHC staining protocol.", "WB-species-checked": "testedAndGuaranteed", "WB-species-dilution-info": "", "WB-species-notes": "<p></p>" }, "Mouse": { "IHCP-species-checked": "predicted", "IHCP-species-dilution-info": "", "IHCP-species-notes": "", "WB-species-checked": "predicted", "WB-species-dilution-info": "", "WB-species-notes": "" } } }

Product details

ab250439 is the carrier-free version of ab181223.

Conjugation ready
Our carrier-free antibodies are typically supplied in a PBS-only formulation, purified and free of BSA, sodium azide and glycerol. This conjugation-ready format is designed for use with fluorochromes, metal isotopes, oligonucleotides, and enzymes, which makes them ideal for antibody labelling, functional and cell-based assays, flow-based assays (e.g. mass cytometry) and Multiplex Imaging applications.

Use our conjugation kits for antibody conjugates that are ready-to-use in as little as 20 minutes with 1 minute hands-on-time and 100% antibody recovery: available for fluorescent dyes, HRP, biotin and gold.

Compatibility
This product is compatible with the Maxpar® Antibody Labeling Kit from Fluidigm, without the need for antibody preparation. Maxpar® is a trademark of Fluidigm Canada Inc.

Properties and storage information

Form
Liquid
Purification technique
Affinity purification Protein A
Storage buffer
pH: 7.2 - 7.4 Constituents: PBS
Shipped at conditions
Blue Ice
Appropriate short-term storage conditions
+4°C
Appropriate long-term storage conditions
+4°C
Storage information
Do Not Freeze

Supplementary information

This supplementary information is collated from multiple sources and compiled automatically.

MRRF also known as Mitochondrial Ribosome Recycling Factor is a protein involved mechanically in the process of ribosome recycling after mRNA translation. It facilitates the disassembly of ribosomal subunits preparing them for a new cycle of protein synthesis. MRRF has a molecular mass of approximately 29 kDa. The protein is localized in the mitochondria which is where it performs its function in mitochondrial ribosome recycling.
Biological function summary

MRRF plays a significant role in mitochondrial translation by promoting the release of ribosomes from mRNA enabling further rounds of translation. It functions as part of the mitochondrial translation machinery and is involved in the maintenance of mitochondrial protein synthesis efficiency. The interaction with other mitochondrial translation factors allows MRRF to efficiently mediate the disassembly of post-termination ribosomal complexes.

Pathways

MRRF is critically involved in the mitochondrial translation process a subset of the broader protein synthesis pathway within the cell. It actively participates in the recycling phase of mitochondrial translation ensuring the effective reuse of ribosomal components. MRRF interacts closely with other proteins such as mtEFG1 (Mitochondrial Elongation Factor G1) to facilitate ribosome recycling and promote cellular energy production linking mitochondrial translation to oxidative phosphorylation.

Dysfunction or mutations of MRRF have associations with mitochondrial diseases which often result from impaired protein synthesis in mitochondria. Such conditions can include mitochondrial encephalomyopathy and other neuromuscular disorders. MRRF may also relate to proteins like MFN2 (Mitofusin 2) which are important in maintaining mitochondrial network stability and function; disruptions in these proteins can compound to exacerbate mitochondrial dysfunction-related disorders.

Product protocols

For this product, it's our understanding that no specific protocols are required. You can visit:

Target data

Responsible for the disassembly of ribosomes from messenger RNA at the termination of mitochondrial protein biosynthesis (PubMed : 19716793, PubMed : 33878294). Acts in collaboration with GFM2 (PubMed : 33878294). Promotes mitochondrial ribosome recycling by dissolution of intersubunit contacts (PubMed : 33878294).
See full target information Ribosome-recycling factor, mitochondrial

Product promise

We are committed to supporting your work with high-quality reagents, and we're here for you every step of the way. In the unlikely event that one of our products does not perform as expected, you're protected by our Product Promise.
For full details, please see our Terms & Conditions

Please note: All products are 'FOR RESEARCH USE ONLY. NOT FOR USE IN DIAGNOSTIC OR THERAPEUTIC PROCEDURES'.

For licensing inquiries, please contact partnerships@abcam.com