JavaScript is disabled in your browser. Please enable JavaScript to view this website.
AB214225

Anti-MS2 antibody

Be the first to review this product! Submit a review

|

(1 Publication)

Rabbit Polyclonal MS2 antibody. Suitable for IHC-P and reacts with Mouse samples. Cited in 1 publication. Immunogen corresponding to Synthetic Peptide within Human ADAM8 aa 50-100 conjugated to Keyhole Limpet Haemocyanin.

View Alternative Names

CD156a, MS2, ADAM8, Disintegrin and metalloproteinase domain-containing protein 8, ADAM 8, Cell surface antigen MS2

1 Images
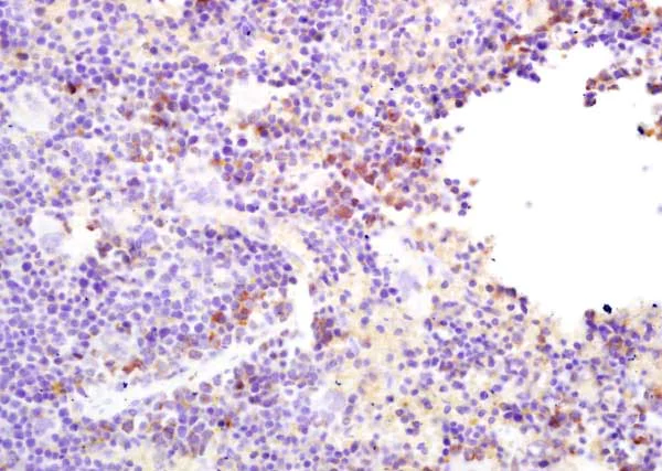
Immunohistochemistry (Formalin/PFA-fixed paraffin-embedded sections) - Anti-MS2 antibody (AB214225)
  • IHC-P

Supplier Data

Immunohistochemistry (Formalin/PFA-fixed paraffin-embedded sections) - Anti-MS2 antibody (AB214225)

Immunohistochemical analysis of formalin-fixed, paraffin-embedded mouse stomach tissue labeling MS2 with ab214225 at 1/200 dilution, followed by secondary antibody detection and DAB staining.

Key facts

Host species

Rabbit

Clonality

Polyclonal

Isotype

IgG

Carrier free

No

Reacts with

Mouse

Applications

IHC-P

applications

Immunogen

Synthetic Peptide within Human ADAM8 aa 50-100 conjugated to Keyhole Limpet Haemocyanin. The exact immunogen used to generate this antibody is proprietary information.

P78325

Reactivity data

{ "title": "Reactivity Data", "filters": { "stats": ["", "Species", "Dilution Info", "Notes"], "tabs": { "all-applications": {"fullname" : "All Applications", "shortname": "All Applications"}, "IHCP" : {"fullname" : "Immunohistochemistry (Formalin/PFA-fixed paraffin-embedded sections)", "shortname":"IHC-P"} }, "product-promise": { "all": "all", "testedAndGuaranteed": "tested", "guaranteed": "expected", "predicted": "predicted", "notRecommended": "not-recommended" } }, "values": { "Human": { "IHCP-species-checked": "predicted", "IHCP-species-dilution-info": "", "IHCP-species-notes": "" }, "Mouse": { "IHCP-species-checked": "testedAndGuaranteed", "IHCP-species-dilution-info": "1/100 - 1/500", "IHCP-species-notes": "<p></p> Perform heat-mediated antigen retrieval with citrate buffer pH 6 before commencing with IHC staining protocol." }, "Rat": { "IHCP-species-checked": "predicted", "IHCP-species-dilution-info": "", "IHCP-species-notes": "" } } }

Properties and storage information

Form
Liquid
Purification technique
Affinity purification Protein A
Storage buffer
pH: 7.4 Preservative: 0.02% Proclin 300 Constituents: 50% Glycerol (glycerin, glycerine), 48.98% TBS, 1X, 1% BSA
Shipped at conditions
Blue Ice
Appropriate short-term storage duration
1-2 weeks
Appropriate short-term storage conditions
+4°C
Appropriate long-term storage conditions
-20°C
Aliquoting information
Upon delivery aliquot
Storage information
Avoid freeze / thaw cycle

Product protocols

For this product, it's our understanding that no specific protocols are required. You can visit:

Target data

Possible involvement in extravasation of leukocytes.
See full target information ADAM8

Publications (1)

Recent publications for all applications. Explore the full list and refine your search

Neurobiology of disease 159:105483 PubMed34400304

2021

Neuroglobin effectively halts vision loss in Harlequin mice at an advanced stage of optic nerve degeneration.

Applications

Unspecified application

Species

Unspecified reactive species

Hélène Cwerman-Thibault,Christophe Lechauve,Vassilissa Malko-Baverel,Sébastien Augustin,Gwendoline Le Guilloux,Élodie Reboussin,Julie Degardin-Chicaud,Manuel Simonutti,Thomas Debeir,Marisol Corral-Debrinski
View all publications

Product promise

We are committed to supporting your work with high-quality reagents, and we're here for you every step of the way. In the unlikely event that one of our products does not perform as expected, you're protected by our Product Promise.
For full details, please see our Terms & Conditions

Please note: All products are 'FOR RESEARCH USE ONLY. NOT FOR USE IN DIAGNOSTIC OR THERAPEUTIC PROCEDURES'.

For licensing inquiries, please contact partnerships@abcam.com