JavaScript is disabled in your browser. Please enable JavaScript to view this website.
AB280570

Anti-MS4A2 antibody [EPR24324-7] - BSA and Azide free

Be the first to review this product! Submit a review

|

(0 Publication)

Rabbit Recombinant Monoclonal MS4A2 antibody. Carrier free. Suitable for ICC/IF, IP, Dot, IHC-P and reacts with Human, Recombinant fragment - Human, Synthetic peptide - Human samples.

View Alternative Names

APY, FCER1B, IGER, MS4A2, High affinity immunoglobulin epsilon receptor subunit beta, FcERI, Fc epsilon receptor I beta-chain, IgE Fc receptor subunit beta, Membrane-spanning 4-domains subfamily A member 2

6 Images
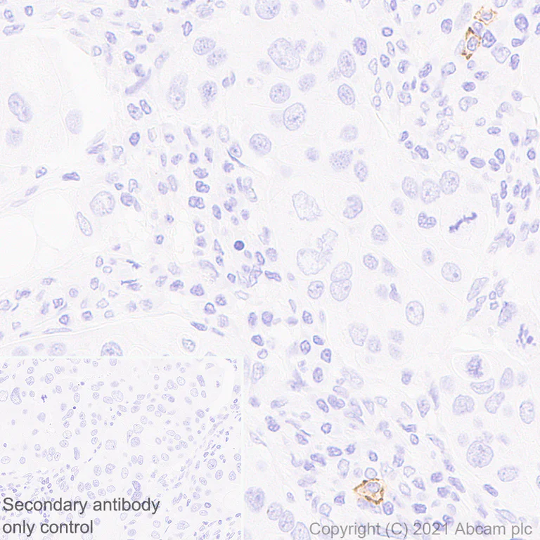
Immunohistochemistry (Formalin/PFA-fixed paraffin-embedded sections) - Anti-MS4A2 antibody [EPR24324-7] - BSA and Azide free (AB280570)
  • IHC-P

Supplier Data

Immunohistochemistry (Formalin/PFA-fixed paraffin-embedded sections) - Anti-MS4A2 antibody [EPR24324-7] - BSA and Azide free (AB280570)

This data was developed using ab271068, the same antibody clone in a different buffer formulation.

Immunohistochemical analysis of paraffin-embedded human breast carcinoma tissue labelling MS4A2 with ab271068 at 1/2000 dilution (0.221 μg/ml) followed by ready to use LeicaDS9800 (Bond™ Polymer Refine Detection). Membranous staining on mast cells of human breast carcinoma. The section was incubated with ab271068 for 30 mins at room temperature. The immunostaining was performed on a Leica Biosystems BOND® RX instrument. Counterstained with Hematoxylin.

Secondary antibody only control : Secondary antibody is ready to use LeicaDS9800 (Bond™ Polymer Refine Detection).

Heat mediated antigen retrieval with Tris-EDTA buffer (pH 9.0, epitope retrieval solution2) for 20 mins.

Immunocytochemistry/ Immunofluorescence - Anti-MS4A2 antibody [EPR24324-7] - BSA and Azide free (AB280570)
  • ICC/IF

Supplier Data

Immunocytochemistry/ Immunofluorescence - Anti-MS4A2 antibody [EPR24324-7] - BSA and Azide free (AB280570)

This data was developed using ab271068, the same antibody clone in a different buffer formulation.

Immunofluorescent analysis of 4% Paraformaldehyde-fixed, 0.1% Triton X-100 permeabilized HEK-293T cells labelling MS4A2 with ab271068 at 1/500 dilution, followed by ab150080 Goat Anti-Rabbit IgG H&L (Alexa Fluor® 594) antibody at 1/500 dilution (Red).

Confocal image showing cytoplasmic staining in HEK-293T cells transfected with myc-tagged MS4A2 expression vector (PMID : 18571665).

ab202008 Anti-Myc tag mouse monoclonal antibody (Alexa Fluor® 488) was used to counterstain tubulin at 1/100 dilution (Green). The nuclear counterstain was DAPI (Blue).

Secondary antibody only control : Secondary antibody is ab150080 Goat Anti-Rabbit IgG H&L (Alexa Fluor® 594) at 1/500 dilution.

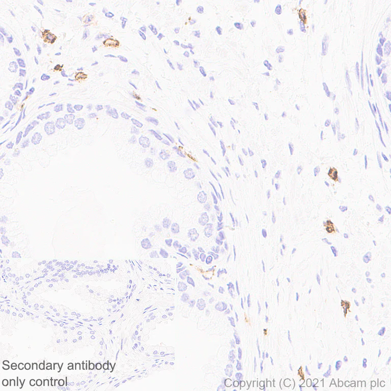
Immunohistochemistry (Formalin/PFA-fixed paraffin-embedded sections) - Anti-MS4A2 antibody [EPR24324-7] - BSA and Azide free (AB280570)
  • IHC-P

Supplier Data

Immunohistochemistry (Formalin/PFA-fixed paraffin-embedded sections) - Anti-MS4A2 antibody [EPR24324-7] - BSA and Azide free (AB280570)

This data was developed using ab271068, the same antibody clone in a different buffer formulation.

Immunohistochemical analysis of paraffin-embedded human prostatic hyperplasia tissue labelling MS4A2 with ab271068 at 1/2000 dilution (0.221 μg/ml) followed by ready to use LeicaDS9800 (Bond™ Polymer Refine Detection). Membranous staining on mast cells of human prostatic hyperplasia. The section was incubated with ab271068 for 30 mins at room temperature. The immunostaining was performed on a Leica Biosystems BOND® RX instrument. Counterstained with Hematoxylin.

Secondary antibody only control : Secondary antibody is ready to use LeicaDS9800 (Bond™ Polymer Refine Detection).

Heat mediated antigen retrieval with Tris-EDTA buffer (pH 9.0, epitope retrieval solution2) for 20 mins.

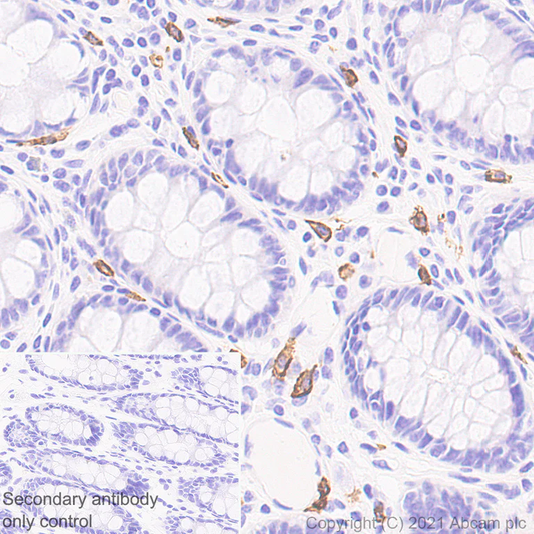
Immunohistochemistry (Formalin/PFA-fixed paraffin-embedded sections) - Anti-MS4A2 antibody [EPR24324-7] - BSA and Azide free (AB280570)
  • IHC-P

Supplier Data

Immunohistochemistry (Formalin/PFA-fixed paraffin-embedded sections) - Anti-MS4A2 antibody [EPR24324-7] - BSA and Azide free (AB280570)

This data was developed using ab271068, the same antibody clone in a different buffer formulation.

Immunohistochemical analysis of paraffin-embedded human colon tissue labelling MS4A2 with ab271068 at 1/2000 dilution (0.221 μg/ml) followed by ready to use LeicaDS9800 (Bond™ Polymer Refine Detection). Membranous staining on mast cells of human colon. The section was incubated with ab271068 for 30 mins at room temperature. The immunostaining was performed on a Leica Biosystems BOND® RX instrument. Counterstained with Hematoxylin.

Secondary antibody only control : Secondary antibody is ready to use LeicaDS9800 (Bond™ Polymer Refine Detection).

Heat mediated antigen retrieval with Tris-EDTA buffer (pH 9.0, epitope retrieval solution2) for 20 mins.

Immunoprecipitation - Anti-MS4A2 antibody [EPR24324-7] - BSA and Azide free (AB280570)
  • IP

Supplier Data

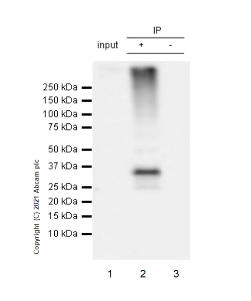
Immunoprecipitation - Anti-MS4A2 antibody [EPR24324-7] - BSA and Azide free (AB280570)

This data was developed using ab271068, the same antibody clone in a different buffer formulation.

MS4A2 was immunoprecipitated from 0.35 mg HEK-293T (human embryonic kidney) transfected with MS4A2 expression vector, whole cell lysate 10 μg with ab271068 at 1/30 dilution (2μg in 0.35mg lysates). Western blot was performed on the immunoprecipitate using ab271068 at 1/1000 dilution. VeriBlot for IP Detection Reagent (HRP)(ab131366) was used at 1/5000 dilution.

Lane 1 : HEK-293T transfected with MS4A2 expression vector, whole cell lysate 10 μg

Lane 2 : ab271068 IP in HEK-293T transfected with MS4A2 expression vector, whole cell lysate

Lane 3 : Rabbit monoclonal IgG (ab172730) instead of ab271068 in HEK-293T transfected with MS4A2 expression vector, whole cell lysate

Blocking and dilution buffer and concentration : 5% NFDM/TBST.

Exposure time : 7.75 seconds

All lanes:

Immunoprecipitation - Anti-MS4A2 antibody [EPR24324-7] (<a href='/en-us/products/primary-antibodies/ms4a2-antibody-epr24324-7-ab271068'>ab271068</a>)

Predicted band size: 27 kDa

false

Dot Blot - Anti-MS4A2 antibody [EPR24324-7] - BSA and Azide free (AB280570)
  • Dot

Supplier Data

Dot Blot - Anti-MS4A2 antibody [EPR24324-7] - BSA and Azide free (AB280570)

This data was developed using ab271068, the same antibody clone in a different buffer formulation.

Dot blot analysis of MS4A2 using ab271068 at 1 : 1000 dilution followed by a Goat Anti-Rabbit IgG, (H+L), Peroxidase conjugated (ab97051) at 1 : 100,000 dilution.

Lane 1 : Human MS4A2 peptide (aa 226-243)
Lane 2 : Human MS4A2 peptide (aa 206-223)
Lane 3 : Human MS4A2 peptide (aa 151-171)

Exposure time : 3 minutes

Blocking and diluting buffer and concentration : 5% NFDM/TBST

Key facts

Host species

Rabbit

Clonality

Monoclonal

Clone number

EPR24324-7

Isotype

IgG

Carrier free

Yes

Reacts with

Human

Applications

Dot, ICC/IF, IP, IHC-P

applications

Immunogen

The exact immunogen used to generate this antibody is proprietary information.

Reactivity data

{ "title": "Reactivity Data", "filters": { "stats": ["", "Species", "Dilution Info", "Notes"], "tabs": { "all-applications": {"fullname" : "All Applications", "shortname": "All Applications"}, "ICCIF" : {"fullname" : "Immunocytochemistry/ Immunofluorescence", "shortname":"ICC/IF"}, "IP" : {"fullname" : "Immunoprecipitation", "shortname":"IP"}, "Dot" : {"fullname" : "Dot Blot", "shortname":"Dot"}, "WB" : {"fullname" : "Western blot", "shortname":"WB"}, "FlowCytIntra" : {"fullname" : "Flow Cytometry (Intracellular)", "shortname":"Flow Cyt (Intra)"}, "IHCP" : {"fullname" : "Immunohistochemistry (Formalin/PFA-fixed paraffin-embedded sections)", "shortname":"IHC-P"}, "IHCFr" : {"fullname" : "Immunohistochemistry (Frozen sections)", "shortname":"IHC-Fr"} }, "product-promise": { "all": "all", "testedAndGuaranteed": "tested", "guaranteed": "expected", "predicted": "predicted", "notRecommended": "not-recommended" } }, "values": { "Human": { "ICCIF-species-checked": "testedAndGuaranteed", "ICCIF-species-dilution-info": "", "ICCIF-species-notes": "<p></p>", "IP-species-checked": "testedAndGuaranteed", "IP-species-dilution-info": "", "IP-species-notes": "<p></p>", "Dot-species-checked": "guaranteed", "Dot-species-dilution-info": "", "Dot-species-notes": "", "WB-species-checked": "notRecommended", "WB-species-dilution-info": "", "WB-species-notes": "<p></p>", "FlowCytIntra-species-checked": "notRecommended", "FlowCytIntra-species-dilution-info": "", "FlowCytIntra-species-notes": "<p></p>", "IHCP-species-checked": "testedAndGuaranteed", "IHCP-species-dilution-info": "", "IHCP-species-notes": "<p></p> Perform heat-mediated antigen retrieval with Tris/EDTA buffer pH 9.0 before commencing with IHC staining protocol.", "IHCFr-species-checked": "notRecommended", "IHCFr-species-dilution-info": "", "IHCFr-species-notes": "" }, "Mouse": { "ICCIF-species-checked": "notRecommended", "ICCIF-species-dilution-info": "", "ICCIF-species-notes": "<p></p>", "IP-species-checked": "notRecommended", "IP-species-dilution-info": "", "IP-species-notes": "", "Dot-species-checked": "notRecommended", "Dot-species-dilution-info": "", "Dot-species-notes": "", "WB-species-checked": "notRecommended", "WB-species-dilution-info": "", "WB-species-notes": "<p></p>", "FlowCytIntra-species-checked": "notRecommended", "FlowCytIntra-species-dilution-info": "", "FlowCytIntra-species-notes": "<p></p>", "IHCP-species-checked": "notRecommended", "IHCP-species-dilution-info": "", "IHCP-species-notes": "<p></p> Perform heat-mediated antigen retrieval with Tris/EDTA buffer pH 9.0 before commencing with IHC staining protocol.", "IHCFr-species-checked": "notRecommended", "IHCFr-species-dilution-info": "", "IHCFr-species-notes": "<p></p>" }, "Rat": { "ICCIF-species-checked": "notRecommended", "ICCIF-species-dilution-info": "", "ICCIF-species-notes": "", "IP-species-checked": "notRecommended", "IP-species-dilution-info": "", "IP-species-notes": "", "Dot-species-checked": "notRecommended", "Dot-species-dilution-info": "", "Dot-species-notes": "", "WB-species-checked": "notRecommended", "WB-species-dilution-info": "", "WB-species-notes": "<p></p>", "FlowCytIntra-species-checked": "notRecommended", "FlowCytIntra-species-dilution-info": "", "FlowCytIntra-species-notes": "", "IHCP-species-checked": "notRecommended", "IHCP-species-dilution-info": "", "IHCP-species-notes": "<p></p> Perform heat-mediated antigen retrieval with Tris/EDTA buffer pH 9.0 before commencing with IHC staining protocol.", "IHCFr-species-checked": "notRecommended", "IHCFr-species-dilution-info": "", "IHCFr-species-notes": "<p></p>" }, "Recombinant fragment - Human": { "ICCIF-species-checked": "notRecommended", "ICCIF-species-dilution-info": "", "ICCIF-species-notes": "", "IP-species-checked": "testedAndGuaranteed", "IP-species-dilution-info": "", "IP-species-notes": "<p></p>", "Dot-species-checked": "notRecommended", "Dot-species-dilution-info": "", "Dot-species-notes": "", "WB-species-checked": "notRecommended", "WB-species-dilution-info": "", "WB-species-notes": "", "FlowCytIntra-species-checked": "notRecommended", "FlowCytIntra-species-dilution-info": "", "FlowCytIntra-species-notes": "", "IHCP-species-checked": "notRecommended", "IHCP-species-dilution-info": "", "IHCP-species-notes": "", "IHCFr-species-checked": "notRecommended", "IHCFr-species-dilution-info": "", "IHCFr-species-notes": "" }, "Synthetic peptide - Human": { "ICCIF-species-checked": "notRecommended", "ICCIF-species-dilution-info": "", "ICCIF-species-notes": "", "IP-species-checked": "notRecommended", "IP-species-dilution-info": "", "IP-species-notes": "", "Dot-species-checked": "testedAndGuaranteed", "Dot-species-dilution-info": "", "Dot-species-notes": "<p></p>", "WB-species-checked": "notRecommended", "WB-species-dilution-info": "", "WB-species-notes": "", "FlowCytIntra-species-checked": "notRecommended", "FlowCytIntra-species-dilution-info": "", "FlowCytIntra-species-notes": "", "IHCP-species-checked": "notRecommended", "IHCP-species-dilution-info": "", "IHCP-species-notes": "", "IHCFr-species-checked": "notRecommended", "IHCFr-species-dilution-info": "", "IHCFr-species-notes": "" } } }

Product details

Properties and storage information

Form
Liquid
Purification technique
Affinity purification Protein A
Storage buffer
Constituents: 100% PBS
Shipped at conditions
Blue Ice
Appropriate short-term storage conditions
+4°C
Appropriate long-term storage conditions
+4°C

Supplementary information

This supplementary information is collated from multiple sources and compiled automatically.

MS4A2 also known as FcεRIβ or High-affinity IgE receptor beta subunit weighs approximately 30 kDa. This protein is expressed mostly in mast cells and basophils. MS4A2 functions as part of the high-affinity IgE receptor complex which is critical in mediating immune responses that are rapid and strong. In terms of structure the MS4A family consists of proteins with four transmembrane domains including MS4A2 playing a role in signal transduction processes.
Biological function summary

MS4A2 contributes significantly to the immune system by participating in allergic response signaling. It assembles with other subunits — alpha and gamma — to form the tetrameric IgE receptor complex. This complex on mast cells and basophils detects IgE antibodies bound to allergens triggering the release of inflammatory mediators like histamine. These mediators lead to symptoms associated with allergic reactions such as asthma and anaphylaxis. MS4A2's interaction with allergens through the receptor complex makes it an essential player in immune surveillance and response.

Pathways

MS4A2 directly influences the Fc epsilon RI signaling pathway an essential component in immune responses especially related to allergy and hypersensitivity reactions. The pathway not only involves MS4A2 but also proteins like Lyn and Syk kinase which further relay the signals initiated by antigen-IgE binding. This interaction can lead to robust downstream immune responses including inflammatory processes. The MS4A2 protein's role in this pathway connects it with other signaling cascades enhancing cell activation and response.

Research identifies MS4A2's relevance in allergic asthma and atopic dermatitis. These conditions often involve an overactive immune response to environmental allergens where MS4A2 plays a central role. In these diseases the interaction of MS4A2 with other molecules such as IL-4 and IL-13 reveals its influence on disease pathology. This understanding helps in considering potential therapeutic targets as MS4A2's contribution to disease progression offers a path to developing treatments focused on modulating allergic response pathways.

Product protocols

For this product, it's our understanding that no specific protocols are required. You can visit:

Target data

High affinity receptor that binds to the Fc region of immunoglobulins epsilon. Aggregation of FCER1 by multivalent antigens is required for the full mast cell response, including the release of preformed mediators (such as histamine) by degranulation and de novo production of lipid mediators and cytokines. Also mediates the secretion of important lymphokines. Binding of allergen to receptor-bound IgE leads to cell activation and the release of mediators responsible for the manifestations of allergy.
See full target information MS4A2

Product promise

We are committed to supporting your work with high-quality reagents, and we're here for you every step of the way. In the unlikely event that one of our products does not perform as expected, you're protected by our Product Promise.
For full details, please see our Terms & Conditions

Please note: All products are 'FOR RESEARCH USE ONLY. NOT FOR USE IN DIAGNOSTIC OR THERAPEUTIC PROCEDURES'.

For licensing inquiries, please contact partnerships@abcam.com