JavaScript is disabled in your browser. Please enable JavaScript to view this website.
AB271069

Anti-MS4A4A antibody [EPR24399-144]

  • BOND RX™ Validated
  • 20ul selling size
  • RabMAb
  • Recombinant
  • What is this?

Be the first to review this product! Submit a review

|

(1 Publication)

Rabbit Recombinant Monoclonal MS4A4A antibody. Suitable for IP, IHC-P and reacts with Human samples. Cited in 1 publication.

View Alternative Names

4SPAN1, CD20L1, MS4A4, HDCME31P, MS4A4A, Membrane-spanning 4-domains subfamily A member 4A, CD20 antigen-like 1, Four-span transmembrane protein 1

5 Images
Immunohistochemistry (Formalin/PFA-fixed paraffin-embedded sections) - Anti-MS4A4A antibody [EPR24399-144] (AB271069)
  • IHC-P

Supplier Data

Immunohistochemistry (Formalin/PFA-fixed paraffin-embedded sections) - Anti-MS4A4A antibody [EPR24399-144] (AB271069)

Immunohistochemical analysis of paraffin-embedded Human cerebrum tissue labelling MS4A4A with ab271069 at 1/2000 dilution (0.216 ug/ml) followed by a ready to use LeicaDS9800 (Bond™ Polymer Refine Detection). Negative control : No staining in human cerebrum (PMID : 23874341). The section was incubated with ab271069 for 30 mins at room temperature. The immunostaining was performed on a Leica Biosystems BOND® RX instrument. Counterstained with Hematoxylin.

Secondary antibody only control : Secondary antibody is a ready to use LeicaDS9800 (Bond™ Polymer Refine Detection).

Heat mediated antigen retrieval with Tris-EDTA buffer (pH 9.0, epitope retrieval solution2) for 20 mins.

Immunohistochemistry (Formalin/PFA-fixed paraffin-embedded sections) - Anti-MS4A4A antibody [EPR24399-144] (AB271069)
  • IHC-P

Supplier Data

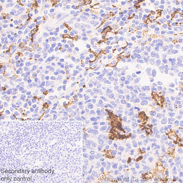
Immunohistochemistry (Formalin/PFA-fixed paraffin-embedded sections) - Anti-MS4A4A antibody [EPR24399-144] (AB271069)

Immunohistochemical analysis of paraffin-embedded Human tonsil tissue labelling MS4A4A with ab271069 at 1/2000 dilution (0.216 ug/ml) followed by a ready to use LeicaDS9800 (Bond™ Polymer Refine Detection). Positive staining in immune cells of human tonsil. The section was incubated with ab271069 for 30 mins at room temperature. The immunostaining was performed on a Leica Biosystems BOND® RX instrument. Counterstained with Hematoxylin.

Secondary antibody only control : Secondary antibody is a ready to use LeicaDS9800 (Bond™ Polymer Refine Detection).

Heat mediated antigen retrieval with Tris-EDTA buffer (pH 9.0, epitope retrieval solution2) for 20 mins.

Immunohistochemistry (Formalin/PFA-fixed paraffin-embedded sections) - Anti-MS4A4A antibody [EPR24399-144] (AB271069)
  • IHC-P

Supplier Data

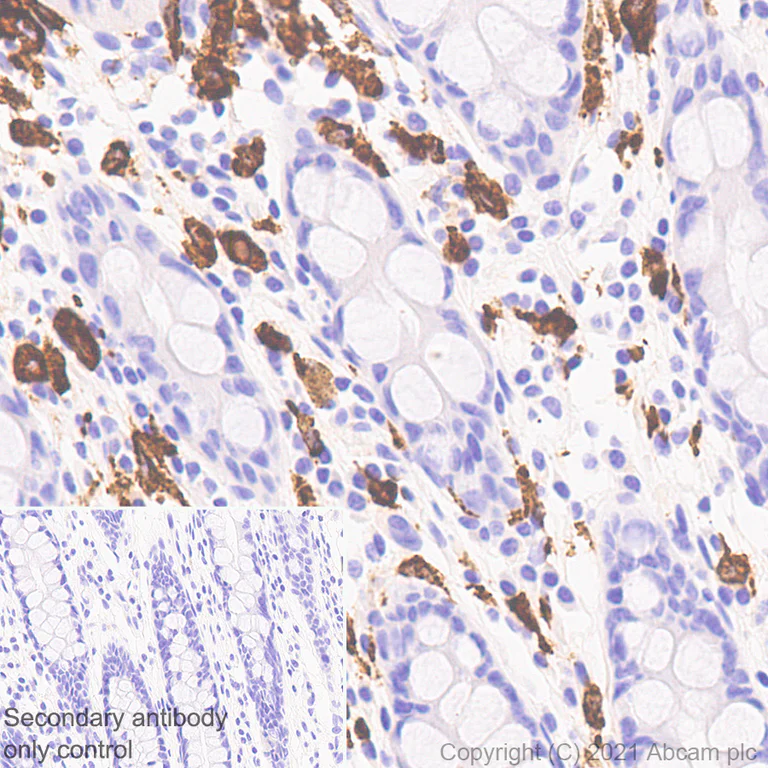
Immunohistochemistry (Formalin/PFA-fixed paraffin-embedded sections) - Anti-MS4A4A antibody [EPR24399-144] (AB271069)

Immunohistochemical analysis of paraffin-embedded Human colon tissue labelling MS4A4A with ab271069 at 1/2000 dilution (0.216 ug/ml) followed by a ready to use LeicaDS9800 (Bond™ Polymer Refine Detection). Positive staining in immune cells of human colon (PMID : 31263276). The section was incubated with ab271069 for 30 mins at room temperature. The immunostaining was performed on a Leica Biosystems BOND® RX instrument. Counterstained with Hematoxylin.

Secondary antibody only control : Secondary antibody is a ready to use LeicaDS9800 (Bond™ Polymer Refine Detection).

Heat mediated antigen retrieval with Tris-EDTA buffer (pH 9.0, epitope retrieval solution2) for 20 mins.

Immunohistochemistry (Formalin/PFA-fixed paraffin-embedded sections) - Anti-MS4A4A antibody [EPR24399-144] (AB271069)
  • IHC-P

Supplier Data

Immunohistochemistry (Formalin/PFA-fixed paraffin-embedded sections) - Anti-MS4A4A antibody [EPR24399-144] (AB271069)

Immunohistochemical analysis of paraffin-embedded Human glioma tissue labelling MS4A4A with ab271069 at 1/2000 dilution (0.216 ug/ml) followed by a ready to use LeicaDS9800 (Bond™ Polymer Refine Detection). Negative control : No staining in human glioma. The section was incubated with ab271069 for 30 mins at room temperature. The immunostaining was performed on a Leica Biosystems BOND® RX instrument. Counterstained with Hematoxylin.

Secondary antibody only control : Secondary antibody is a ready to use LeicaDS9800 (Bond™ Polymer Refine Detection).

Heat mediated antigen retrieval with Tris-EDTA buffer (pH 9.0, epitope retrieval solution2) for 20 mins.

Immunoprecipitation - Anti-MS4A4A antibody [EPR24399-144] (AB271069)
  • IP

Supplier Data

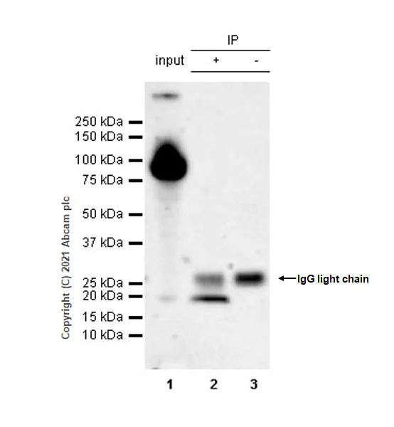
Immunoprecipitation - Anti-MS4A4A antibody [EPR24399-144] (AB271069)

MS4A4A was immunoprecipitated from 0.35 mg Human placenta tissue lysate with ab271069 at 1/30 dilution (2ug in 0.35mg lysates). Western blot was performed on the immunoprecipitate using ab271069 at 1/1000 dilution. VeriBlot for IP secondary antibody(HRP)(ab131366) was used at 1/5000 dilution.

Lane 1 : Human placenta tissue lysate 10 ug

Lane 2 : ab271069 IP in Human placenta tissue lysate

Lane 3 : Rabbit monoclonal IgG (ab172730) instead of ab271069 in human placenta tissue lysate

Blocking and dilution buffer and concentration : 5% NFDM/TBST.

Exposure time : 3 minutes.

All lanes:

Immunoprecipitation - Anti-MS4A4A antibody [EPR24399-144] (ab271069)

Predicted band size: 25 kDa

Observed band size: 23 kDa

false

  • Carrier free

    Anti-MS4A4A antibody [EPR24399-144] - BSA and Azide free

Key facts

Host species

Rabbit

Clonality

Monoclonal

Clone number

EPR24399-144

Isotype

IgG

Carrier free

No

Reacts with

Human

Applications

IP, IHC-P

applications

Immunogen

The exact immunogen used to generate this antibody is proprietary information.

Reactivity data

{ "title": "Reactivity Data", "filters": { "stats": ["", "Species", "Dilution Info", "Notes"], "tabs": { "all-applications": {"fullname" : "All Applications", "shortname": "All Applications"}, "ICCIF" : {"fullname" : "Immunocytochemistry/ Immunofluorescence", "shortname":"ICC/IF"}, "IP" : {"fullname" : "Immunoprecipitation", "shortname":"IP"}, "WB" : {"fullname" : "Western blot", "shortname":"WB"}, "IHCP" : {"fullname" : "Immunohistochemistry (Formalin/PFA-fixed paraffin-embedded sections)", "shortname":"IHC-P"}, "FlowCytIntra" : {"fullname" : "Flow Cytometry (Intracellular)", "shortname":"Flow Cyt (Intra)"} }, "product-promise": { "all": "all", "testedAndGuaranteed": "tested", "guaranteed": "expected", "predicted": "predicted", "notRecommended": "not-recommended" } }, "values": { "Human": { "ICCIF-species-checked": "notRecommended", "ICCIF-species-dilution-info": "", "ICCIF-species-notes": "<p></p>", "IP-species-checked": "testedAndGuaranteed", "IP-species-dilution-info": "1/30", "IP-species-notes": "<p></p>", "WB-species-checked": "notRecommended", "WB-species-dilution-info": "", "WB-species-notes": "<p></p>", "IHCP-species-checked": "testedAndGuaranteed", "IHCP-species-dilution-info": "1/2000", "IHCP-species-notes": "<p></p>", "FlowCytIntra-species-checked": "notRecommended", "FlowCytIntra-species-dilution-info": "", "FlowCytIntra-species-notes": "<p></p>" }, "Mouse": { "ICCIF-species-checked": "notRecommended", "ICCIF-species-dilution-info": "", "ICCIF-species-notes": "<p></p>", "IP-species-checked": "notRecommended", "IP-species-dilution-info": "", "IP-species-notes": "", "WB-species-checked": "notRecommended", "WB-species-dilution-info": "", "WB-species-notes": "<p></p>", "IHCP-species-checked": "notRecommended", "IHCP-species-dilution-info": "1/2000", "IHCP-species-notes": "<p></p>", "FlowCytIntra-species-checked": "notRecommended", "FlowCytIntra-species-dilution-info": "", "FlowCytIntra-species-notes": "" }, "Rat": { "ICCIF-species-checked": "notRecommended", "ICCIF-species-dilution-info": "", "ICCIF-species-notes": "", "IP-species-checked": "notRecommended", "IP-species-dilution-info": "", "IP-species-notes": "", "WB-species-checked": "notRecommended", "WB-species-dilution-info": "", "WB-species-notes": "<p></p>", "IHCP-species-checked": "notRecommended", "IHCP-species-dilution-info": "1/2000", "IHCP-species-notes": "<p></p>", "FlowCytIntra-species-checked": "notRecommended", "FlowCytIntra-species-dilution-info": "", "FlowCytIntra-species-notes": "" } } }

Product details

Patented technology
Our RabMAb® technology is a patented hybridoma-based technology for making rabbit monoclonal antibodies. For details on our patents, please refer to RabMAb® patents.

What are the advantages of a recombinant monoclonal antibody?
This product is a recombinant monoclonal antibody, which offers several advantages including:

  • - High batch-to-batch consistency and reproducibility
  • - Improved sensitivity and specificity
  • - Long-term security of supply
  • - Animal-free batch production

For more information, read more on recombinant antibodies.

Properties and storage information

Form
Liquid
Purification technique
Affinity purification Protein A
Storage buffer
pH: 7.2 - 7.4 Preservative: 0.01% Sodium azide Constituents: PBS, 40% Glycerol (glycerin, glycerine), 0.05% BSA
Shipped at conditions
Blue Ice
Appropriate short-term storage duration
1-2 weeks
Appropriate short-term storage conditions
+4°C
Appropriate long-term storage conditions
-20°C
Aliquoting information
Upon delivery aliquot
Storage information
Avoid freeze / thaw cycle

Supplementary information

This supplementary information is collated from multiple sources and compiled automatically.

MS4A4A also known as Membrane-spanning 4-domains subfamily A member 4A is a protein with a mass of approximately 25 kilodaltons. It is a member of the MS4A family which includes several proteins sharing similar structural features such as four transmembrane domains. MS4A4A is mainly expressed on the cell surface of immune cells including monocytes and macrophages. Its expression is notably observed in spleen and peripheral blood leukocytes suggesting an important role in the immune system.
Biological function summary

MS4A4A influences cellular communication and immune response. It is part of larger multiprotein complexes on the cell membrane helping mediate interactions between cells and extracellular signaling molecules. These interactions are important for triggering immune responses and maintaining tissue homeostasis. MS4A4A interacts with a range of cytokines which makes it important for modulating immune cell activities and facilitating immune surveillance.

Pathways

MS4A4A influences immune signaling pathways and impacts inflammation processes. It is involved in the NF-κB signaling pathway which is an important mediator of immune response inflammation and cell survival. MS4A4A also interacts with proteins like CD20 and other MS4A family members which play roles in cell cycle and apoptosis regulation. These interactions ensure effective signal transduction and immune regulation making it a significant participant in maintaining cellular homeostasis.

MS4A4A has associations with inflammatory diseases and certain types of cancer. It is connected to the pathology of chronic inflammatory conditions where its overexpression may lead to excessive immune responses. MS4A4A is also implicated in hematologic malignancies where it might influence tumor growth and immune evasion. In such contexts it often interacts with proteins like CD20 which are essential for B-cell development and differentiation. Understanding MS4A4A's involvement in these disorders provides insights into potential therapeutic strategies targeting immune-related pathways.

Product protocols

For this product, it's our understanding that no specific protocols are required. You can visit:

Target data

May be involved in signal transduction as a component of a multimeric receptor complex.
See full target information MS4A4A

Publications (1)

Recent publications for all applications. Explore the full list and refine your search

Clinical and translational medicine 14:e1701 PubMed38778448

2024

Integrating single-cell and spatial analysis reveals MUC1-mediated cellular crosstalk in mucinous colorectal adenocarcinoma.

Applications

Unspecified application

Species

Unspecified reactive species

Haiyang Zhou,Yiwen Shen,Guangyong Zheng,Beibei Zhang,Anqi Wang,Jing Zhang,Hao Hu,Jiayi Lin,Sanhong Liu,Xin Luan,Weidong Zhang
View all publications

Product promise

We are committed to supporting your work with high-quality reagents, and we're here for you every step of the way. In the unlikely event that one of our products does not perform as expected, you're protected by our Product Promise.
For full details, please see our Terms & Conditions

Please note: All products are 'FOR RESEARCH USE ONLY. NOT FOR USE IN DIAGNOSTIC OR THERAPEUTIC PROCEDURES'.

For licensing inquiries, please contact partnerships@abcam.com