JavaScript is disabled in your browser. Please enable JavaScript to view this website.
AB307356

Anti-MS4A4A antibody [EPR27242-39] - BSA and Azide free

Be the first to review this product! Submit a review

|

(0 Publication)

Rabbit Recombinant Monoclonal MS4A4A_MOUSE antibody. Carrier free. Suitable for IHC-Fr, IHC-P and reacts with Mouse, Transfected cell line samples.

View Alternative Names

4SPAN1, CD20 antigen like 1, CD20L1, MS4A4

6 Images
Immunohistochemistry (Formalin/PFA-fixed paraffin-embedded sections) - Anti-MS4A4A antibody [EPR27242-39] - BSA and Azide free (AB307356)
  • IHC-P

Supplier Data

Immunohistochemistry (Formalin/PFA-fixed paraffin-embedded sections) - Anti-MS4A4A antibody [EPR27242-39] - BSA and Azide free (AB307356)

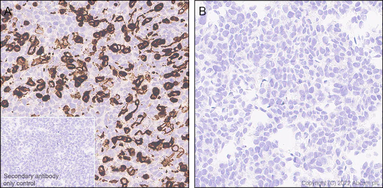
This data was developed using ab307355, the same antibody clone in a different buffer formulation. Immunohistochemical analysis of paraffin-embedded (A) HEK-293T (human tissue labeling MS4A4A with ab307355 at 1/500 (0.982 ug/ml) followed by a ready to use LeicaDS9800 (Bond? Polymer Refine Detection) was used. Positive staining on HEK-293T transfected with a His-tagged Ms4a4a construct (image A). No staining on HEK-293T transfected with empty plasmid (image B). The section was incubated with ab307355 for 30 mins at room temperature.The immunostaining was performed on a Leica Biosystems BOND? RX instrument Counterstained with Hematoxylin. Secondary antibody only control : Secondary antibody is a ready to use LeicaDS9800 (Bond? Polymer Refine Detection) was used. Heat mediated antigen retrieval was performed with Tris-EDTA buffer (pH 9.0, Epitope Retrieval Solution2) for 20 mins

Immunohistochemistry (Formalin/PFA-fixed paraffin-embedded sections) - Anti-MS4A4A antibody [EPR27242-39] - BSA and Azide free (AB307356)
  • IHC-P

Supplier Data

Immunohistochemistry (Formalin/PFA-fixed paraffin-embedded sections) - Anti-MS4A4A antibody [EPR27242-39] - BSA and Azide free (AB307356)

This data was developed using ab307355, the same antibody clone in a different buffer formulation. Immunohistochemical analysis of paraffin-embedded Mouse cerebrum tissue labeling MS4A4A with ab307355 at 1/500 (0.982 ug/ml) followed by a ready to use LeicaDS9800 (Bond? Polymer Refine Detection) was used. Negative control : no staining on mouse cerebrum (PMID : 11245982). The section was incubated with ab307355 for 30 mins at room temperature.The immunostaining was performed on a Leica Biosystems BOND? RX instrument Counterstained with Hematoxylin. Secondary antibody only control : Secondary antibody is a ready to use LeicaDS9800 (Bond? Polymer Refine Detection) was used. Heat mediated antigen retrieval was performed with Tris-EDTA buffer (pH 9.0, Epitope Retrieval Solution2) for 20 mins

Immunohistochemistry (Formalin/PFA-fixed paraffin-embedded sections) - Anti-MS4A4A antibody [EPR27242-39] - BSA and Azide free (AB307356)
  • IHC-P

Supplier Data

Immunohistochemistry (Formalin/PFA-fixed paraffin-embedded sections) - Anti-MS4A4A antibody [EPR27242-39] - BSA and Azide free (AB307356)

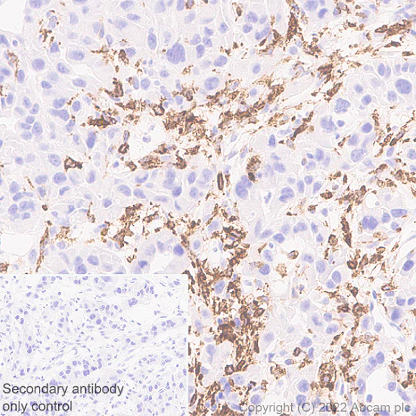
This data was developed using ab307355, the same antibody clone in a different buffer formulation. Immunohistochemical analysis of paraffin-embedded Mouse pancreatic tum tissue labeling MS4A4A with ab307355 at 1/500 (0.982 ug/ml) followed by a ready to use LeicaDS9800 (Bond? Polymer Refine Detection) was used. Positive staining on immune cells of mouse pancreatic tumor. The section was incubated with ab307355 for 30 mins at room temperature.The immunostaining was performed on a Leica Biosystems BOND? RX instrument Counterstained with Hematoxylin. Secondary antibody only control : Secondary antibody is a ready to use LeicaDS9800 (Bond? Polymer Refine Detection) was used. Heat mediated antigen retrieval was performed with Tris-EDTA buffer (pH 9.0, Epitope Retrieval Solution2) for 20 mins

Immunohistochemistry (Formalin/PFA-fixed paraffin-embedded sections) - Anti-MS4A4A antibody [EPR27242-39] - BSA and Azide free (AB307356)
  • IHC-P

Supplier Data

Immunohistochemistry (Formalin/PFA-fixed paraffin-embedded sections) - Anti-MS4A4A antibody [EPR27242-39] - BSA and Azide free (AB307356)

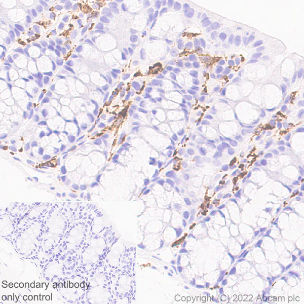
This data was developed using ab307355, the same antibody clone in a different buffer formulation. Immunohistochemical analysis of paraffin-embedded Mouse colon tissue labeling MS4A4A with ab307355 at 1/500 (0.982 ug/ml) followed by a ready to use LeicaDS9800 (Bond? Polymer Refine Detection) was used. Positive staining on immune cells of mouse colon. The section was incubated with ab307355 for 30 mins at room temperature.The immunostaining was performed on a Leica Biosystems BOND? RX instrument Counterstained with Hematoxylin. Secondary antibody only control : Secondary antibody is a ready to use LeicaDS9800 (Bond? Polymer Refine Detection) was used. Heat mediated antigen retrieval was performed with Tris-EDTA buffer (pH 9.0, Epitope Retrieval Solution2) for 20 mins

Immunohistochemistry (Frozen sections) - Anti-MS4A4A antibody [EPR27242-39] - BSA and Azide free (AB307356)
  • IHC-Fr

Supplier Data

Immunohistochemistry (Frozen sections) - Anti-MS4A4A antibody [EPR27242-39] - BSA and Azide free (AB307356)

This data was developed using ab307355, the same antibody clone in a different buffer formulation. Immunohistochemical analysis of 4% PFA-fixed, 0.2% Triton X-100 permeABilized frozen Mouse cerebrum (fresh) tissue lABeling MS4A4A with ab307355 at 1/100 (4.91 ug/ml) dilution followed by ab150081 Goat Anti-RABbit IgG H&L (Alexa Fluor? 488) preadsorbed at 1/1000 2 ug/mL dilution (Green). Negative control : confocal image showing no staining on mouse cerebrum (PMID : 23874341). The nuclear counterstain was DAPI (Blue). The section was incubated with ab307355 for 60 mins at room temperature. The section was then mounted using Fluoromount?.The immunostaining was performed on a Leica Biosystems BOND? RX instrument. Image was taken with a confocal microscope (Leica-Microsystems, TCS SP8). is observed. The nuclear counterstain was DAPI (Blue). Secondary antibody control : Secondary antibody is ab150081 Goat Anti-RABbit IgG H&L (Alexa Fluor? 488) preadsorbedat 1/1000 2 ug/mL dilution.

Immunohistochemistry (Frozen sections) - Anti-MS4A4A antibody [EPR27242-39] - BSA and Azide free (AB307356)
  • IHC-Fr

Supplier Data

Immunohistochemistry (Frozen sections) - Anti-MS4A4A antibody [EPR27242-39] - BSA and Azide free (AB307356)

This data was developed using ab307355, the same antibody clone in a different buffer formulation. Immunohistochemical analysis of 4% PFA-fixed, 0.2% Triton X-100 permeABilized frozen Mouse colon (fresh) tissue lABeling MS4A4A with ab307355 at 1/100 (4.91 ug/ml) dilution followed by ab150081 Goat Anti-RABbit IgG H&L (Alexa Fluor? 488) preadsorbed at 1/1000 2 ug/mL dilution (Green). Confocal image showing positive staining on mouse colon. The nuclear counterstain was DAPI (Blue). The section was incubated with ab307355 for 60 mins at room temperature. The section was then mounted using Fluoromount?.The immunostaining was performed on a Leica Biosystems BOND? RX instrument. Image was taken with a confocal microscope (Leica-Microsystems, TCS SP8). is observed. The nuclear counterstain was DAPI (Blue). Secondary antibody control : Secondary antibody is ab150081 Goat Anti-RABbit IgG H&L (Alexa Fluor? 488) preadsorbedat 1/1000 2 ug/mL dilution.

Key facts

Host species

Rabbit

Clonality

Monoclonal

Clone number

EPR27242-39

Isotype

IgG

Carrier free

Yes

Reacts with

Mouse

Applications

IHC-P, IHC-Fr

applications

Immunogen

The exact immunogen used to generate this antibody is proprietary information.

Reactivity data

{ "title": "Reactivity Data", "filters": { "stats": ["", "Species", "Dilution Info", "Notes"], "tabs": { "all-applications": {"fullname" : "All Applications", "shortname": "All Applications"}, "IP" : {"fullname" : "Immunoprecipitation", "shortname":"IP"}, "ICCIF" : {"fullname" : "Immunocytochemistry/ Immunofluorescence", "shortname":"ICC/IF"}, "IHCFr" : {"fullname" : "Immunohistochemistry (Frozen sections)", "shortname":"IHC-Fr"}, "IHCP" : {"fullname" : "Immunohistochemistry (Formalin/PFA-fixed paraffin-embedded sections)", "shortname":"IHC-P"}, "WB" : {"fullname" : "Western blot", "shortname":"WB"} }, "product-promise": { "all": "all", "testedAndGuaranteed": "tested", "guaranteed": "expected", "predicted": "predicted", "notRecommended": "not-recommended" } }, "values": { "Human": { "IP-species-checked": "notRecommended", "IP-species-dilution-info": "", "IP-species-notes": "", "ICCIF-species-checked": "notRecommended", "ICCIF-species-dilution-info": "", "ICCIF-species-notes": "", "IHCFr-species-checked": "notRecommended", "IHCFr-species-dilution-info": "", "IHCFr-species-notes": "", "IHCP-species-checked": "notRecommended", "IHCP-species-dilution-info": "", "IHCP-species-notes": "<p></p>", "WB-species-checked": "notRecommended", "WB-species-dilution-info": "", "WB-species-notes": "<p></p>" }, "Mouse": { "IP-species-checked": "notRecommended", "IP-species-dilution-info": "", "IP-species-notes": "<p></p>", "ICCIF-species-checked": "notRecommended", "ICCIF-species-dilution-info": "", "ICCIF-species-notes": "<p></p>", "IHCFr-species-checked": "testedAndGuaranteed", "IHCFr-species-dilution-info": "", "IHCFr-species-notes": "<p></p>", "IHCP-species-checked": "testedAndGuaranteed", "IHCP-species-dilution-info": "", "IHCP-species-notes": "<p></p>", "WB-species-checked": "notRecommended", "WB-species-dilution-info": "", "WB-species-notes": "<p></p>" }, "Rat": { "IP-species-checked": "notRecommended", "IP-species-dilution-info": "", "IP-species-notes": "<p></p>", "ICCIF-species-checked": "notRecommended", "ICCIF-species-dilution-info": "", "ICCIF-species-notes": "<p></p>", "IHCFr-species-checked": "notRecommended", "IHCFr-species-dilution-info": "", "IHCFr-species-notes": "<p></p>", "IHCP-species-checked": "notRecommended", "IHCP-species-dilution-info": "", "IHCP-species-notes": "<p></p>", "WB-species-checked": "notRecommended", "WB-species-dilution-info": "", "WB-species-notes": "<p></p>" }, "Transfected cell line": { "IP-species-checked": "notRecommended", "IP-species-dilution-info": "", "IP-species-notes": "", "ICCIF-species-checked": "notRecommended", "ICCIF-species-dilution-info": "", "ICCIF-species-notes": "", "IHCFr-species-checked": "notRecommended", "IHCFr-species-dilution-info": "", "IHCFr-species-notes": "", "IHCP-species-checked": "testedAndGuaranteed", "IHCP-species-dilution-info": "", "IHCP-species-notes": "<p></p>", "WB-species-checked": "notRecommended", "WB-species-dilution-info": "", "WB-species-notes": "" } } }

Product details

Patented technology
Our RabMAb® technology is a patented hybridoma-based technology for making rabbit monoclonal antibodies. For details on our patents, please refer to RabMAb® patents.

What are the advantages of a recombinant monoclonal antibody?
This product is a recombinant monoclonal antibody, which offers several advantages including:

  • - High batch-to-batch consistency and reproducibility
  • - Improved sensitivity and specificity
  • - Long-term security of supply
  • - Animal-free batch production

For more information, read more on recombinant antibodies.

Conjugation ready
Our carrier-free antibodies are typically supplied in a PBS-only formulation, purified and free of BSA, sodium azide and glycerol. This conjugation-ready format is designed for use with fluorochromes, metal isotopes, oligonucleotides, and enzymes, which makes them ideal for antibody labelling, functional and cell-based assays, flow-based assays (e.g. mass cytometry) and Multiplex Imaging applications.

Use our conjugation kits for antibody conjugates that are ready-to-use in as little as 20 minutes with 1 minute hands-on-time and 100% antibody recovery: available for fluorescent dyes, HRP, biotin and gold.

Compatibility
This product is compatible with the Maxpar® Antibody Labeling Kit from Fluidigm, without the need for antibody preparation. Maxpar® is a trademark of Fluidigm Canada Inc.

Properties and storage information

Form
Liquid
Purification technique
Affinity purification Protein A
Storage buffer
pH: 7.2 - 7.4 Constituents: PBS
Shipped at conditions
Blue Ice
Appropriate short-term storage conditions
+4°C
Appropriate long-term storage conditions
+4°C

Supplementary information

This supplementary information is collated from multiple sources and compiled automatically.

MS4A4A also known as Membrane-spanning 4-domains subfamily A member 4A is a protein with a mass of approximately 25 kilodaltons. It is a member of the MS4A family which includes several proteins sharing similar structural features such as four transmembrane domains. MS4A4A is mainly expressed on the cell surface of immune cells including monocytes and macrophages. Its expression is notably observed in spleen and peripheral blood leukocytes suggesting an important role in the immune system.
Biological function summary

MS4A4A influences cellular communication and immune response. It is part of larger multiprotein complexes on the cell membrane helping mediate interactions between cells and extracellular signaling molecules. These interactions are important for triggering immune responses and maintaining tissue homeostasis. MS4A4A interacts with a range of cytokines which makes it important for modulating immune cell activities and facilitating immune surveillance.

Pathways

MS4A4A influences immune signaling pathways and impacts inflammation processes. It is involved in the NF-κB signaling pathway which is an important mediator of immune response inflammation and cell survival. MS4A4A also interacts with proteins like CD20 and other MS4A family members which play roles in cell cycle and apoptosis regulation. These interactions ensure effective signal transduction and immune regulation making it a significant participant in maintaining cellular homeostasis.

MS4A4A has associations with inflammatory diseases and certain types of cancer. It is connected to the pathology of chronic inflammatory conditions where its overexpression may lead to excessive immune responses. MS4A4A is also implicated in hematologic malignancies where it might influence tumor growth and immune evasion. In such contexts it often interacts with proteins like CD20 which are essential for B-cell development and differentiation. Understanding MS4A4A's involvement in these disorders provides insights into potential therapeutic strategies targeting immune-related pathways.

Product protocols

For this product, it's our understanding that no specific protocols are required. You can visit:

Product promise

We are committed to supporting your work with high-quality reagents, and we're here for you every step of the way. In the unlikely event that one of our products does not perform as expected, you're protected by our Product Promise.
For full details, please see our Terms & Conditions

Please note: All products are 'FOR RESEARCH USE ONLY. NOT FOR USE IN DIAGNOSTIC OR THERAPEUTIC PROCEDURES'.

For licensing inquiries, please contact partnerships@abcam.com