JavaScript is disabled in your browser. Please enable JavaScript to view this website.
AB64954

Anti-MSC antibody

Be the first to review this product! Submit a review

|

(2 Publications)

Rabbit Polyclonal MSC antibody. Suitable for WB, IHC-P and reacts with Human samples. Cited in 2 publications. Immunogen corresponding to Synthetic Peptide within Human MSC.

View Alternative Names

ABF1, BHLHA22, MSC, Musculin, Activated B-cell factor 1, Class A basic helix-loop-helix protein 22, ABF-1, bHLHa22

2 Images
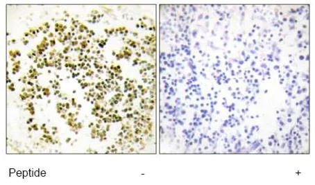
Immunohistochemistry (Formalin/PFA-fixed paraffin-embedded sections) - Anti-MSC antibody (AB64954)
  • IHC-P

Unknown

Immunohistochemistry (Formalin/PFA-fixed paraffin-embedded sections) - Anti-MSC antibody (AB64954)

Immunohistochemical analysis of paraffin-embedded human lymph node tissue using ab64954 at 1/50-1/100 dilution. The right hand panel was also treated with the immunising peptide.

Western blot - Anti-MSC antibody (AB64954)
  • WB

Unknown

Western blot - Anti-MSC antibody (AB64954)

All lanes:

Western blot - Anti-MSC antibody (ab64954) at 1/500 dilution

Lane 1:

Jurkat cell extract at 30 µg

Lane 2:

Jurkat cell extract at 30 µg with immunising peptide

Predicted band size: 22 kDa

Observed band size: 22 kDa

false

Key facts

Host species

Rabbit

Clonality

Polyclonal

Isotype

IgG

Carrier free

No

Reacts with

Human

Applications

IHC-P, WB

applications

Immunogen

Synthetic Peptide within Human MSC. The exact immunogen used to generate this antibody is proprietary information.

O60682

Reactivity data

{ "title": "Reactivity Data", "filters": { "stats": ["", "Species", "Dilution Info", "Notes"], "tabs": { "all-applications": {"fullname" : "All Applications", "shortname": "All Applications"}, "WB" : {"fullname" : "Western blot", "shortname":"WB"}, "IHCP" : {"fullname" : "Immunohistochemistry (Formalin/PFA-fixed paraffin-embedded sections)", "shortname":"IHC-P"} }, "product-promise": { "all": "all", "testedAndGuaranteed": "tested", "guaranteed": "expected", "predicted": "predicted", "notRecommended": "not-recommended" } }, "values": { "Human": { "WB-species-checked": "testedAndGuaranteed", "WB-species-dilution-info": "1/500 - 1/1000", "WB-species-notes": "<p></p>", "IHCP-species-checked": "testedAndGuaranteed", "IHCP-species-dilution-info": "1/50 - 1/100", "IHCP-species-notes": "<p></p>" }, "Mouse": { "WB-species-checked": "predicted", "WB-species-dilution-info": "", "WB-species-notes": "", "IHCP-species-checked": "predicted", "IHCP-species-dilution-info": "", "IHCP-species-notes": "" } } }

Properties and storage information

Form
Liquid
Purification technique
Affinity purification Immunogen
Storage buffer
pH: 7.4 Preservative: 0.02% Sodium azide Constituents: PBS, 50% Glycerol (glycerin, glycerine), 0.87% Sodium chloride
Shipped at conditions
Blue Ice
Appropriate short-term storage conditions
+4°C
Appropriate long-term storage conditions
-20°C
Storage information
Stable for 12 months at -20°C

Supplementary information

This supplementary information is collated from multiple sources and compiled automatically.

The biological target MSC short for Mesenchymal Stem Cell is a multipotent stromal cell capable of differentiating into a variety of cell types including osteoblasts chondrocytes and adipocytes. MSCs usually express surface markers such as CD73 CD90 and CD105 while lacking expression of hematopoietic markers like CD45 and CD34. These cells are primarily found in the bone marrow but are also present in adipose tissue umbilical cord blood and other tissues. MSCs typically range in size from 15 to 30 µm and play a significant role in tissue homeostasis and repair.
Biological function summary

MSCs engage in critical roles concerning tissue regeneration and immune modulation. MSCs interact within a complex cellular microenvironment to promote healing by secreting a variety of cytokines and growth factors. These cells aid in the down-regulation of immune responses which is vital for transplantation tolerance and autoimmunity treatment. While they are not strictly part of a single cellular complex their interactions with immune cells such as T-cells and dendritic cells highlight their multifaceted functionality.

Pathways

Mesenchymal Stem Cells participate in the Wnt/β-catenin and TGF-β signaling pathways. In the Wnt/β-catenin pathway MSCs influence cell proliferation and differentiation engaging proteins such as β-catenin and glycogen synthase kinase 3β (GSK-3β). In the context of the TGF-β pathway MSCs are involved in the regulation of extracellular matrix production and maintenance interacting with proteins like SMAD2/3 to convey signals essential for cellular processes. These pathways underline MSCs' involvement in both regenerative and regulatory roles in various tissue contexts.

MSCs show promise in treating osteoarthritis and graft-versus-host disease due to their regenerative and immunomodulatory properties. In osteoarthritis MSCs contribute to cartilage repair and anti-inflammatory modulation working in conjunction with proteins like matrix metalloproteinases (MMPs) to restore joint function. For graft-versus-host disease MSCs help mitigate immune reactions via interactions with T-cell receptors creating an environment conducive to tissue repair and immune tolerance. These associations highlight MSCs as potential therapeutic agents in regenerative medicine.

Product protocols

For this product, it's our understanding that no specific protocols are required. You can visit:

Target data

Transcription repressor capable of inhibiting the transactivation capability of TCF3/E47. May play a role in regulating antigen-dependent B-cell differentiation.
See full target information MSC

Publications (2)

Recent publications for all applications. Explore the full list and refine your search

Biology open 10: PubMed34100896

2021

RNA-Seq reveals changes in human placental metabolism, transport and endocrinology across the first-second trimester transition.

Applications

Unspecified application

Species

Unspecified reactive species

Malwina Prater,Russell S Hamilton,Hong Wa Yung,Andrew M Sharkey,Paul Robson,N Erlyani Abd Hamid,Eric Jauniaux,D Stephen Charnock-Jones,Graham J Burton,Tereza Cindrova-Davies

Metabolism: clinical and experimental 60:1244-52 PubMed21377179

2011

The effects of aerobic, resistance, and combined exercise on metabolic control, inflammatory markers, adipocytokines, and muscle insulin signaling in patients with type 2 diabetes mellitus.

Applications

Unspecified application

Species

Unspecified reactive species

Maria Luiza Mendonça Pereira Jorge,Vanessa Neves de Oliveira,Nathalia Maria Resende,Lara Ferreira Paraiso,Antonio Calixto,Angelica Lemos Debs Diniz,Elmiro Santos Resende,Eduardo Rochete Ropelle,Jose Barreto Carvalheira,Foued Salmen Espindola,Paulo Tannus Jorge,Bruno Geloneze
View all publications

Product promise

We are committed to supporting your work with high-quality reagents, and we're here for you every step of the way. In the unlikely event that one of our products does not perform as expected, you're protected by our Product Promise.
For full details, please see our Terms & Conditions

Please note: All products are 'FOR RESEARCH USE ONLY. NOT FOR USE IN DIAGNOSTIC OR THERAPEUTIC PROCEDURES'.

For licensing inquiries, please contact partnerships@abcam.com