JavaScript is disabled in your browser. Please enable JavaScript to view this website.
AB212188

Anti-MSH2 antibody [EPR21017-2]

Be the first to review this product! Submit a review

|

(8 Publications)

Rabbit Recombinant Monoclonal MSH2 antibody. Suitable for WB, ICC/IF, Flow Cyt (Intra), IHC-P and reacts with Mouse, Rat, Human samples. Cited in 8 publications.

View Alternative Names

DNA mismatch repair protein Msh2, hMSH2, MutS protein homolog 2, MSH2

8 Images
Immunocytochemistry/ Immunofluorescence - Anti-MSH2 antibody [EPR21017-2] (AB212188)
  • ICC/IF

Supplier Data

Immunocytochemistry/ Immunofluorescence - Anti-MSH2 antibody [EPR21017-2] (AB212188)

Immunofluorescent analysis of 100% methanol-fixed A-375 (human malignant melanoma cell line) cells labeling MSH2 with ab212188 at 1/100 dilution, followed by Goat Anti-Rabbit IgG H&L (Alexa Fluor® 488) (ab150077) secondary antibody at 1/1000 dilution (green). Nuclear staining in A-375 cell line is shown.

The nuclear counter stain is DAPI (blue). Tubulin is detected with Anti-alpha Tubulin antibody [DM1A] - Microtubule Marker (Alexa Fluor® 594) (ab195889) (red) at 1/200 dilution.

Secondary antibody only control : Used PBS instead of primary antibody, secondary antibody is Goat Anti-Rabbit IgG H&L (Alexa Fluor® 488) (ab150077) secondary antibody at 1/1000 dilution.

Flow Cytometry (Intracellular) - Anti-MSH2 antibody [EPR21017-2] (AB212188)
  • Flow Cyt (Intra)

Supplier Data

Flow Cytometry (Intracellular) - Anti-MSH2 antibody [EPR21017-2] (AB212188)

Intracellular flow cytometric analysis of 4% paraformaldehyde-fixed, 90% methanol-permeabilized A-375 (humanmalignant melanoma cell line) cell line labeling MSH2 with ab212188 at 1/600 dilution (red) compared with a Rabbit IgG, monoclonal [EPR25A] - Isotype Control (ab172730) (black) and an unlabeled control (cells without incubation with primary antibody and secondary antibody) (blue). Goat Anti-Rabbit IgG H&L (Alexa Fluor® 488) (ab150077) at 1/2000 dilution was used as the secondary antibody.

Flow Cytometry (Intracellular) - Anti-MSH2 antibody [EPR21017-2] (AB212188)
  • Flow Cyt (Intra)

Lab

Flow Cytometry (Intracellular) - Anti-MSH2 antibody [EPR21017-2] (AB212188)

MSH2 KO HAP1 (MSH2 knockout Human chronic myelogenous leukemia near-haploid cell line, Left) / WT HAP1 (Right) cells were fixed with4% paraformaldehyde and permeabilised with 90% methanol. The cells were incubated with the primary antibody, ab212188 at a 1/6000 dilution (0.01μg) (red line). The secondary antibody used wasGoat anti rabbit IgG (Alexa Fluor® 488, ab150077) at a 1/2000 dilution. The isotype control (black line) antibody wasRabbit monoclonal IgG (ab172730). An unlabelled control without incubation with primary antibody and secondary antibody was also performed (blue line).

90% methanol permeabilisation is recommended. Avoid using TritonX-100 as it may cause non-specific staining.

Immunohistochemistry (Formalin/PFA-fixed paraffin-embedded sections) - Anti-MSH2 antibody [EPR21017-2] (AB212188)
  • IHC-P

Supplier Data

Immunohistochemistry (Formalin/PFA-fixed paraffin-embedded sections) - Anti-MSH2 antibody [EPR21017-2] (AB212188)

Immunohistochemical analysis of paraffin-embedded human colon cancer tissue labeling MSH2 with ab212188 at 1/10000 dilution, followed by a ready to use Goat Anti-Rabbit IgG H&L (HRP). Nuclear staining only in the stromal cells of human colon cancer; no staining observed in the tumor cells (PMID : 24710284). Counter stained with Hematoxylin.

Secondary antibody only control : Used PBS instead of primary antibody, secondary antibody is a ready to use Goat Anti-Rabbit IgG H&L (HRP).

Perform heat mediated antigen retrieval using ab93684 (Tris/EDTA buffer, pH 9.0).

Immunohistochemistry (Formalin/PFA-fixed paraffin-embedded sections) - Anti-MSH2 antibody [EPR21017-2] (AB212188)
  • IHC-P

Supplier Data

Immunohistochemistry (Formalin/PFA-fixed paraffin-embedded sections) - Anti-MSH2 antibody [EPR21017-2] (AB212188)

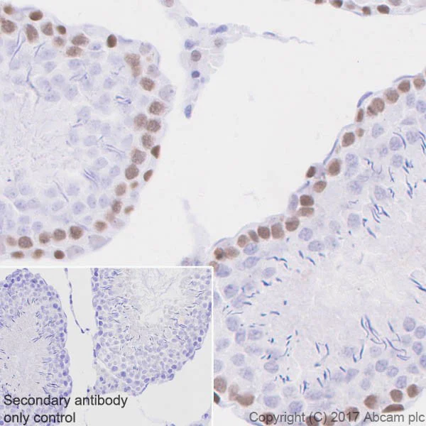
Immunohistochemical analysis of paraffin-embedded human testis tissue labeling MSH2 with ab212188 at 1/10000 dilution, followed by a ready to use Goat Anti-Rabbit IgG H&L (HRP). Nuclear staining in human testis was observed (PMID : 10029069). Counter stained with Hematoxylin.

Secondary antibody only control : Used PBS instead of primary antibody, secondary antibody is a ready to use Goat Anti-Rabbit IgG H&L (HRP).

Perform heat mediated antigen retrieval using ab93684 (Tris/EDTA buffer, pH 9.0).

Immunohistochemistry (Formalin/PFA-fixed paraffin-embedded sections) - Anti-MSH2 antibody [EPR21017-2] (AB212188)
  • IHC-P

Supplier Data

Immunohistochemistry (Formalin/PFA-fixed paraffin-embedded sections) - Anti-MSH2 antibody [EPR21017-2] (AB212188)

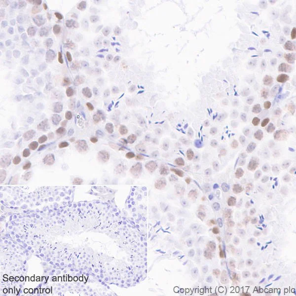
Immunohistochemical analysis of paraffin-embedded mouse testis tissue labeling MSH2 with ab212188 at 1/10000 dilution, followed by a ready to use Goat Anti-Rabbit IgG H&L (HRP). Nuclear staining in mouse testis was observed (PMID : 10029069). Counter stained with Hematoxylin.

Secondary antibody only control : Used PBS instead of primary antibody, secondary antibody is a ready to use Goat Anti-Rabbit IgG H&L (HRP).

Perform heat mediated antigen retrieval using ab93684 (Tris/EDTA buffer, pH 9.0).

Immunohistochemistry (Formalin/PFA-fixed paraffin-embedded sections) - Anti-MSH2 antibody [EPR21017-2] (AB212188)
  • IHC-P

Supplier Data

Immunohistochemistry (Formalin/PFA-fixed paraffin-embedded sections) - Anti-MSH2 antibody [EPR21017-2] (AB212188)

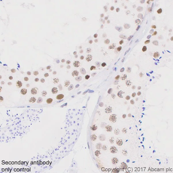
Immunohistochemical analysis of paraffin-embedded rat testis tissue labeling MSH2 with ab212188 at 1/10000 dilution, followed by a ready to use Goat Anti-Rabbit IgG H&L (HRP). Nuclear staining was mainly observed in the spermatogonia in rat testis (PMID : 10029069). Counter stained with Hematoxylin.

Secondary antibody only control : Used PBS instead of primary antibody, secondary antibody is a ready to use Goat Anti-Rabbit IgG H&L (HRP).

Perform heat mediated antigen retrieval using ab93684 (Tris/EDTA buffer, pH 9.0).

Western blot - Anti-MSH2 antibody [EPR21017-2] (AB212188)
  • WB

Supplier Data

Western blot - Anti-MSH2 antibody [EPR21017-2] (AB212188)

Blocking/Dilution buffer : 5% NFDM/TBST.

The blot was developed on a BIO-RAD® ChemiDoc™ MP instrument.

All lanes:

Western blot - Anti-MSH2 antibody [EPR21017-2] (ab212188) at 1/1000 dilution

Lane 1:

Rat testis lysate at 20 µg

Lane 2:

HeLa (human epithelial cell line from cervix adenocarcinoma) whole cell lysate at 10 µg

Lane 3:

Human tonsil lysate at 10 µg

Lane 4:

A-375 (human malignant melanoma cell line) whole cell lysate at 10 µg

Lane 5:

C6 (rat glial tumor cell line) whole cell lysate at 10 µg

Lane 6:

RAW 264.7 (mouse macrophage cell line transformed with Abelson murine leukemia virus) whole cell lysate at 10 µg

Lane 7:

Human fetal heart lysate at 10 µg

Lane 8:

Human fetal kidney lysate at 10 µg

Secondary

All lanes:

Western blot - Goat Anti-Rabbit IgG H&L (HRP) (<a href='/en-us/products/secondary-antibodies/goat-rabbit-igg-h-l-hrp-ab97051'>ab97051</a>) at 1/100000 dilution

Predicted band size: 105 kDa

Observed band size: 104 kDa

true

Exposure time: 3min

Key facts

Host species

Rabbit

Clonality

Monoclonal

Clone number

EPR21017-2

Isotype

IgG1

Carrier free

No

Reacts with

Mouse, Rat, Human

Applications

IHC-P, Flow Cyt (Intra), WB, ICC/IF

applications

Immunogen

The exact immunogen used to generate this antibody is proprietary information.

Reactivity data

{ "title": "Reactivity Data", "filters": { "stats": ["", "Species", "Dilution Info", "Notes"], "tabs": { "all-applications": {"fullname" : "All Applications", "shortname": "All Applications"}, "WB" : {"fullname" : "Western blot", "shortname":"WB"}, "ICCIF" : {"fullname" : "Immunocytochemistry/ Immunofluorescence", "shortname":"ICC/IF"}, "FlowCytIntra" : {"fullname" : "Flow Cytometry (Intracellular)", "shortname":"Flow Cyt (Intra)"}, "IHCP" : {"fullname" : "Immunohistochemistry (Formalin/PFA-fixed paraffin-embedded sections)", "shortname":"IHC-P"} }, "product-promise": { "all": "all", "testedAndGuaranteed": "tested", "guaranteed": "expected", "predicted": "predicted", "notRecommended": "not-recommended" } }, "values": { "Human": { "WB-species-checked": "testedAndGuaranteed", "WB-species-dilution-info": "1/1000", "WB-species-notes": "<p></p>", "ICCIF-species-checked": "testedAndGuaranteed", "ICCIF-species-dilution-info": "1/100", "ICCIF-species-notes": "<p>Human only.</p>", "FlowCytIntra-species-checked": "testedAndGuaranteed", "FlowCytIntra-species-dilution-info": "1/600 - 1/6000", "FlowCytIntra-species-notes": "<p>Human only.</p>", "IHCP-species-checked": "testedAndGuaranteed", "IHCP-species-dilution-info": "1/10000", "IHCP-species-notes": "<p></p> Perform heat-mediated antigen retrieval with Tris/EDTA buffer pH 9.0 before commencing with IHC staining protocol." }, "Mouse": { "WB-species-checked": "testedAndGuaranteed", "WB-species-dilution-info": "1/1000", "WB-species-notes": "<p></p>", "ICCIF-species-checked": "guaranteed", "ICCIF-species-dilution-info": "", "ICCIF-species-notes": "", "FlowCytIntra-species-checked": "guaranteed", "FlowCytIntra-species-dilution-info": "", "FlowCytIntra-species-notes": "", "IHCP-species-checked": "testedAndGuaranteed", "IHCP-species-dilution-info": "1/10000", "IHCP-species-notes": "<p></p> Perform heat-mediated antigen retrieval with Tris/EDTA buffer pH 9.0 before commencing with IHC staining protocol." }, "Rat": { "WB-species-checked": "testedAndGuaranteed", "WB-species-dilution-info": "1/1000", "WB-species-notes": "<p></p>", "ICCIF-species-checked": "guaranteed", "ICCIF-species-dilution-info": "", "ICCIF-species-notes": "", "FlowCytIntra-species-checked": "guaranteed", "FlowCytIntra-species-dilution-info": "", "FlowCytIntra-species-notes": "", "IHCP-species-checked": "testedAndGuaranteed", "IHCP-species-dilution-info": "1/10000", "IHCP-species-notes": "<p></p> Perform heat-mediated antigen retrieval with Tris/EDTA buffer pH 9.0 before commencing with IHC staining protocol." } } }

Product details

To see more of the key markers and tools you need to study the hallmarks of cancer, including genome instability and mutation, please visit the following page.

Patented technology
Our RabMAb® technology is a patented hybridoma-based technology for making rabbit monoclonal antibodies. For details on our patents, please refer to RabMAb® patents.

What are the advantages of a recombinant monoclonal antibody?
This product is a recombinant monoclonal antibody, which offers several advantages including:

  • - High batch-to-batch consistency and reproducibility
  • - Improved sensitivity and specificity
  • - Long-term security of supply
  • - Animal-free batch production

For more information, read more on recombinant antibodies.

Properties and storage information

Form
Liquid
Purification technique
Affinity purification Protein A
Storage buffer
pH: 7.2 - 7.4 Preservative: 0.01% Sodium azide Constituents: PBS, 40% Glycerol (glycerin, glycerine), 0.05% BSA
Shipped at conditions
Blue Ice
Appropriate short-term storage duration
1-2 weeks
Appropriate short-term storage conditions
+4°C
Appropriate long-term storage conditions
-20°C
Aliquoting information
Upon delivery aliquot
Storage information
Avoid freeze / thaw cycle

Supplementary information

This supplementary information is collated from multiple sources and compiled automatically.

MSH2 also known as MutS Homolog 2 is a human protein with a molecular weight of approximately 100 kDa. It is an important component of the DNA mismatch repair system and plays an essential role in maintaining genomic stability by recognizing and repairing mismatched nucleotides during DNA replication. Expression of the MSH2 protein occurs broadly in dividing cells across various tissues with notable presence in tissues with high proliferation rates such as the colon and the endometrium. Additionally detection and quantification of MSH2 are often performed using methodologies such as MSH2 ELISA which aids in the assessment of its expression levels in different biological samples.
Biological function summary

Components are identified in mismatch repair where MSH2 forms a heterodimer with MSH6 known as the MutSα complex or with MSH3 known as the MutSβ complex. This heterodimerization is critical for the initial steps in the recognition and binding of mismatch errors on the DNA strand. MSH2 complex formation enables it to scan the DNA for errors facilitating the recruitment of additional repair proteins. The activity of MSH2 in these complexes is important in preserving the fidelity of genetic information and prevents mutations that could lead to genomic instability.

Pathways

MSH2 operates within the DNA damage response and repair pathways. The protein is a core component of the mismatch repair pathway which corrects DNA replication errors that elude proofreading activity of DNA polymerases. It interacts with other proteins such as MLH1 and PMS2 forming a synergistic function that amplifies the capacity to recognize and initiate repair of mismatches. The pathway involving MSH2 not only repairs mismatched bases but also plays a role in cell cycle control checkpoints and apoptosis evidencing its pivotal role in maintaining cell cycle integrity.

Studies show that MSH2 is strongly associated with Lynch syndrome an autosomal dominant inherited condition that increases the risk of colorectal cancer. Mutations in the MSH2 gene impair its mismatch repair function and lead to microsatellite instability a hallmark of cancer cells in this disorder. Furthermore alterations in the MSH2 protein also relate to glioblastomas with correlations observed between MSH2 expression levels and tumor progression. These conditions exemplify the important role of MSH2 and its interaction with other DNA repair proteins in preventing cancerous developments.

Product protocols

For this product, it's our understanding that no specific protocols are required. You can visit:

Target data

Component of the post-replicative DNA mismatch repair system (MMR). Forms two different heterodimers : MutS alpha (MSH2-MSH6 heterodimer) and MutS beta (MSH2-MSH3 heterodimer) which binds to DNA mismatches thereby initiating DNA repair. When bound, heterodimers bend the DNA helix and shields approximately 20 base pairs. MutS alpha recognizes single base mismatches and dinucleotide insertion-deletion loops (IDL) in the DNA. MutS beta recognizes larger insertion-deletion loops up to 13 nucleotides long. After mismatch binding, MutS alpha or beta forms a ternary complex with the MutL alpha heterodimer, which is thought to be responsible for directing the downstream MMR events, including strand discrimination, excision, and resynthesis. Recruits DNA helicase MCM9 to chromatin which unwinds the mismatch containing DNA strand (PubMed : 26300262). ATP binding and hydrolysis play a pivotal role in mismatch repair functions. The ATPase activity associated with MutS alpha regulates binding similar to a molecular switch : mismatched DNA provokes ADP-->ATP exchange, resulting in a discernible conformational transition that converts MutS alpha into a sliding clamp capable of hydrolysis-independent diffusion along the DNA backbone. This transition is crucial for mismatch repair. MutS alpha may also play a role in DNA homologous recombination repair. In melanocytes may modulate both UV-B-induced cell cycle regulation and apoptosis.
See full target information MSH2

Publications (8)

Recent publications for all applications. Explore the full list and refine your search

Alzheimer's & dementia : the journal of the Alzheimer's Association 21:e70730 PubMed40990068

2025

PINK1 deficiency permits the development of Lewy body dementia with coexisting Aβ pathology.

Applications

Unspecified application

Species

Unspecified reactive species

Tong-Yao Gao,Xu-Zheng Wang,Yu-Han Xie,Tong Wang,Yun-Bi Lu,Lu-Long Huang,Cong Chen,Ming Zhang,Xin Ma,Ya-Ling Chen,Fu-Xiang Liang,Zhi-Ling Lou,Jin-Sheng Li,Yi-Fan Yu,Jian-Bin Wu,Xiao-Ru Ma,Hua-Li Wang,Chun Tang,Wei-Ping Zhang

JCI insight 10: PubMed40178918

2025

Dipeptidase-1-knockout mice develop invasive tumors with features of microsatellite-unstable colorectal cancer.

Applications

Unspecified application

Species

Unspecified reactive species

Sarah E Glass,Matthew E Bechard,Zheng Cao,Radhika Aramandla,Ping Zhao,Samuel T Ellis,Emily H Green,Elizabeth G Fisher,Ryan T Smith,Chelsie K Sievers,Maria Johnson Irudayam,Frank Revetta,M Kay Washington,Gregory D Ayers,Cody N Heiser,Alan J Simmons,Yanwen Xu,Yu Wang,Annika Windon,Martha J Shrubsole,Nicholas O Markham,Qi Liu,Ken S Lau,Robert J Coffey

International journal of molecular sciences 24: PubMed37373171

2023

BRAF-AXL-PD-L1 Signaling Axis as a Possible Biological Marker for RAI Treatment in the Thyroid Cancer ATA Intermediate Risk Category.

Applications

Unspecified application

Species

Unspecified reactive species

Cristina Pizzimenti,Vincenzo Fiorentino,Antonio Ieni,Esther Diana Rossi,Emanuela Germanà,Luca Giovanella,Maria Lentini,Ylenia Alessi,Giovanni Tuccari,Alfredo Campennì,Maurizio Martini,Guido Fadda

The Journal of international medical research 51:3000605231163780 PubMed36994850

2023

hMSH2 coordinated with the expression of E2F1 promotes platinum response in epithelial ovarian cancer.

Applications

Unspecified application

Species

Unspecified reactive species

Xiao-Qian Hu,Bao-Ying Zhang,Tian Hua

Bioengineered 13:5525-5536 PubMed35166644

2022

The potential role of methyltransferase-like 5 in deficient mismatch repair of uterine corpus endometrial carcinoma.

Applications

Unspecified application

Species

Unspecified reactive species

Xiaojuan Liu,Hui Ma,Lisha Ma,Kun Li,Yanhua Kang

Clinics (Sao Paulo, Brazil) 76:e3318 PubMed34817046

2021

RNA-binding protein with serine-rich domain 1 regulates microsatellite instability of uterine corpus endometrial adenocarcinoma.

Applications

Unspecified application

Species

Unspecified reactive species

Xiaojuan Liu,Hui Ma,Lisha Ma,Kun Li,Yanhua Kang

Journal for immunotherapy of cancer 9: PubMed34479922

2021

Intratumoral injection of TLR9 agonist promotes an immunopermissive microenvironment transition and causes cooperative antitumor activity in combination with anti-PD1 in pancreatic cancer.

Applications

Unspecified application

Species

Unspecified reactive species

Carmine Carbone,Geny Piro,Antonio Agostini,Pietro Delfino,Francesco De Sanctis,Vincenzo Nasca,Francesco Spallotta,Claudio Sette,Maurizio Martini,Stefano Ugel,Vincenzo Corbo,Paola Cappello,Emilio Bria,Aldo Scarpa,Giampaolo Tortora

The EMBO journal 38:e101751 PubMed31571254

2019

Break-induced replication plays a prominent role in long-range repeat-mediated deletion.

Applications

Unspecified application

Species

Unspecified reactive species

Qing Hu,Hongyan Lu,Hongjun Wang,Shibo Li,Lan Truong,Jun Li,Shuo Liu,Rong Xiang,Xiaohua Wu
View all publications

Product promise

We are committed to supporting your work with high-quality reagents, and we're here for you every step of the way. In the unlikely event that one of our products does not perform as expected, you're protected by our Product Promise.
For full details, please see our Terms & Conditions

Please note: All products are 'FOR RESEARCH USE ONLY. NOT FOR USE IN DIAGNOSTIC OR THERAPEUTIC PROCEDURES'.

For licensing inquiries, please contact partnerships@abcam.com