JavaScript is disabled in your browser. Please enable JavaScript to view this website.
AB111107

Anti-MSH3 antibody [EPR4334(2)]

Be the first to review this product! Submit a review

|

(5 Publications)

Rabbit Recombinant Monoclonal MSH3 antibody. Suitable for IHC-P, ICC/IF, Flow Cyt (Intra) and reacts with Human samples. Cited in 5 publications.

View Alternative Names

DUC1, DUG, MSH3, DNA mismatch repair protein Msh3, hMSH3, Divergent upstream protein, Mismatch repair protein 1, DUP, MRP1

3 Images
Flow Cytometry (Intracellular) - Anti-MSH3 antibody [EPR4334(2)] (AB111107)
  • Flow Cyt (Intra)

Lab

Flow Cytometry (Intracellular) - Anti-MSH3 antibody [EPR4334(2)] (AB111107)

Intracellular Flow Cytometry analysis of HeLa (Human cervix adenocarcinoma epithelial cell) cells labeling MSH3 with Purified ab111107 at 1/40 dilution (10μg/ml) (Red). Cells were fixed with 4% Paraformaldehyde and permeabilised with 90% Methanol. A Goat anti rabbit IgG (Alexa Fluorr® 488, ab150077) secondary antibody was used at 1/2000. Isotype control - Rabbit monoclonal IgG (Black). Unlabeled control - Cell without incubation with primary antibody and secondary antibody (Blue).

Immunocytochemistry/ Immunofluorescence - Anti-MSH3 antibody [EPR4334(2)] (AB111107)
  • ICC/IF

Lab

Immunocytochemistry/ Immunofluorescence - Anti-MSH3 antibody [EPR4334(2)] (AB111107)

Immunocytochemistry/ Immunofluorescence analysis of SW480 (Human colorectal adenocarcinoma epithelial cell) cells labeling MSH3 with Purified ab111107 at 1 : 50 dilution (7.46 μg/ml). Cells were fixed in 4% Paraformaldehyde and permeabilized with 0.1% tritonX-100. Cells were counterstained with ab195889 Anti-alpha Tubulin antibody [DM1A] - Microtubule Marker (Alexa Fluor® 594) 1 : 200 (2.5 μg/ml). Goat anti rabbit IgG (Alexa Fluor® 488, ab150077) was used as the secondary antibody at 1 : 1000 (2 μg/ml) dilution. DAPI nuclear counterstain. PBS instead of the primary antibody was used as the secondary antibody only control.

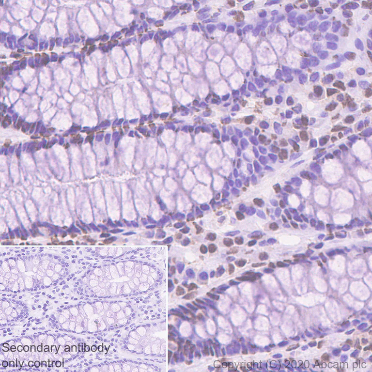
Immunohistochemistry (Formalin/PFA-fixed paraffin-embedded sections) - Anti-MSH3 antibody [EPR4334(2)] (AB111107)
  • IHC-P

Lab

Immunohistochemistry (Formalin/PFA-fixed paraffin-embedded sections) - Anti-MSH3 antibody [EPR4334(2)] (AB111107)

Immunohistochemistry (Formalin/PFA-fixed paraffin-embedded sections) analysis of human colon tissue sections labeling MSH3 with Purified ab111107 at 1 : 700 dilution (0.53 µg/ml). Heat mediated antigen retrieval using Bond™ Epitope Retrieval Solution 2 (pH 9.0). Rabbit specific IHC polymer detection kit HRP/DAB (ab209101) was used as the secondary antibody. Negative control : PBS instead of the primary antibody. Hematoxylin was used as a counterstain. The immunostaining was performed on a Leica Biosystems BOND® RX instrument.

  • 665 Alexa Fluor® 647

    Alexa Fluor® 647 Anti-MSH3 antibody [EPR4334(2)]

  • 519 Alexa Fluor® 488

    Alexa Fluor® 488 Anti-MSH3 antibody [EPR4334(2)]

  • 578 PE

    PE Anti-MSH3 antibody [EPR4334(2)]

  • HRP

    HRP Anti-MSH3 antibody [EPR4334(2)]

  • 565 Alexa Fluor® 555

    Alexa Fluor® 555 Anti-MSH3 antibody [EPR4334(2)]

  • 603 Alexa Fluor® 568

    Alexa Fluor® 568 Anti-MSH3 antibody [EPR4334(2)]

  • Carrier free

    Anti-MSH3 antibody [EPR4334(2)] - BSA and Azide free

  • 660 APC

    APC Anti-MSH3 antibody [EPR4334(2)]

  • 617 Alexa Fluor® 594

    Alexa Fluor® 594 Anti-MSH3 antibody [EPR4334(2)]

  • 775 Alexa Fluor® 750

    Alexa Fluor® 750 Anti-MSH3 antibody [EPR4334(2)]

Key facts

Host species

Rabbit

Clonality

Monoclonal

Clone number

EPR4334(2)

Isotype

IgG

Carrier free

No

Reacts with

Human

Applications

Flow Cyt (Intra), ICC/IF, IHC-P

applications

Immunogen

The exact immunogen used to generate this antibody is proprietary information.

Reactivity data

{ "title": "Reactivity Data", "filters": { "stats": ["", "Species", "Dilution Info", "Notes"], "tabs": { "all-applications": {"fullname" : "All Applications", "shortname": "All Applications"}, "IHCP" : {"fullname" : "Immunohistochemistry (Formalin/PFA-fixed paraffin-embedded sections)", "shortname":"IHC-P"}, "ICCIF" : {"fullname" : "Immunocytochemistry/ Immunofluorescence", "shortname":"ICC/IF"}, "WB" : {"fullname" : "Western blot", "shortname":"WB"}, "FlowCytIntra" : {"fullname" : "Flow Cytometry (Intracellular)", "shortname":"Flow Cyt (Intra)"} }, "product-promise": { "all": "all", "testedAndGuaranteed": "tested", "guaranteed": "expected", "predicted": "predicted", "notRecommended": "not-recommended" } }, "values": { "Human": { "IHCP-species-checked": "testedAndGuaranteed", "IHCP-species-dilution-info": "1/500 - 1/1000", "IHCP-species-notes": "<p>Heat up to 98 degrees C, below boiling, and then let cool for 10-20 min.</p> Perform heat-mediated antigen retrieval before commencing with IHC staining protocol.", "ICCIF-species-checked": "testedAndGuaranteed", "ICCIF-species-dilution-info": "1/50", "ICCIF-species-notes": "<p>For unpurified use as 1/250 - 1/500</p>", "WB-species-checked": "notRecommended", "WB-species-dilution-info": "", "WB-species-notes": "<p></p>", "FlowCytIntra-species-checked": "testedAndGuaranteed", "FlowCytIntra-species-dilution-info": "1/40", "FlowCytIntra-species-notes": "<p></p>" } } }

Product details

To see more of the key markers and tools you need to study the hallmarks of cancer, including genome instability and mutation, please visit the following page.

Patented technology
Our RabMAb® technology is a patented hybridoma-based technology for making rabbit monoclonal antibodies. For details on our patents, please refer to RabMAb® patents.

What are the advantages of a recombinant monoclonal antibody?
This product is a recombinant monoclonal antibody, which offers several advantages including:

  • - High batch-to-batch consistency and reproducibility
  • - Improved sensitivity and specificity
  • - Long-term security of supply
  • - Animal-free batch production

For more information, read more on recombinant antibodies.

Properties and storage information

Form
Liquid
Purification technique
Affinity purification Protein A
Storage buffer
pH: 7.2 - 7.4 Preservative: 0.01% Sodium azide Constituents: PBS, 40% Glycerol (glycerin, glycerine), 0.05% BSA
Shipped at conditions
Blue Ice
Appropriate short-term storage conditions
+4°C
Appropriate long-term storage conditions
-20°C
Storage information
Stable for 12 months at -20°C

Supplementary information

This supplementary information is collated from multiple sources and compiled automatically.

The mutS homolog 3 (MSH3) protein plays an important role in DNA mismatch repair. It is part of the family of MutS proteins and is sometimes referred to by its gene name MSH3. MSH3 forms a heterodimer with MSH2 to create MutSβ. This complex targets insertion and deletion loops. The mass of MSH3 is approximately 127 kDa. Expression of MSH3 occurs in various tissues with high levels in the colon small intestine and testis.
Biological function summary

MSH3 contributes to genome stability by correcting DNA replication errors. As part of the MutSβ complex it identifies and initiates repair of insertion and deletion loops which helps maintain genomic integrity. In eukaryotes MSH3 along with its partner MSH2 cooperates with other proteins such as MLH1 and PMS2 to ensure proper mismatch repair. These interactions help to prevent mutations from becoming permanent.

Pathways

MSH3 participates in the DNA mismatch repair pathway important for maintaining genomic fidelity. It works closely with MSH2 to form MutSβ enhancing the repair of small loops. Another important association includes the MLH1-PMS2 complex within the mismatch repair pathways. This collaboration ensures errors in DNA during replication do not lead to genomic instability.

Mutations or malfunctioning of MSH3 have been associated with colorectal cancer and Lynch syndrome. Alterations in MSH3 can impair DNA repair processes contributing to cancer development. The MSH2 protein which pairs with MSH3 also plays a critical role in these disorders. Understanding MSH3 function helps illuminate its involvement in genetic stability and its impact on health.

Product protocols

For this product, it's our understanding that no specific protocols are required. You can visit:

Target data

Component of the post-replicative DNA mismatch repair system (MMR). Heterodimerizes with MSH2 to form MutS beta which binds to DNA mismatches thereby initiating DNA repair. When bound, the MutS beta heterodimer bends the DNA helix and shields approximately 20 base pairs. MutS beta recognizes large insertion-deletion loops (IDL) up to 13 nucleotides long. After mismatch binding, forms a ternary complex with the MutL alpha heterodimer, which is thought to be responsible for directing the downstream MMR events, including strand discrimination, excision, and resynthesis.
See full target information MSH3

Publications (5)

Recent publications for all applications. Explore the full list and refine your search

Surgical case reports 10:93 PubMed38647838

2024

Curative resection via right hemicolectomy and regional lymph node dissection for colonic adenomatous polyposis of unknown etiology with adenocarcinomas localized in the right side of the colon: a case report.

Applications

Unspecified application

Species

Unspecified reactive species

Shu Aoyama,Akira Inoue,Yoshinori Kagawa,Takamichi Komori,Yuki Ozato,Yujiro Nishizawa,Tomoki Sugimoto,Hisateru Komatsu,Masashi Hirota,Yasuhiro Miyazaki,Akira Tomokuni,Masaaki Motoori,Hiroaki Fushimi,Gou Yamamoto,Kiwamu Akagi,Kazuhiro Iwase,Kazumasa Fujitani

Cancers 12: PubMed32120855

2020

The Clinicopathological Features and Genetic Mutations in Gastric Cancer Patients According to EMAST and MSI Status.

Applications

Unspecified application

Species

Unspecified reactive species

Wen-Liang Fang,Ming-Huang Chen,Kuo-Hung Huang,Shih-Ching Chang,Chien-Hsing Lin,Yee Chao,Su-Shun Lo,Anna Fen-Yau Li,Chew-Wun Wu,Yi-Ming Shyr

Clinical and translational gastroenterology 10:e00105 PubMed31789935

2019

Inflammation-Associated Microsatellite Alterations Caused by MSH3 Dysfunction Are Prevalent in Ulcerative Colitis and Increase With Neoplastic Advancement.

Applications

Unspecified application

Species

Unspecified reactive species

Koji Munakata,Minoru Koi,Takahito Kitajima,Stephanie Tseng-Rogenski,Mamoru Uemura,Hiroshi Matsuno,Kenji Kawai,Yuki Sekido,Tsunekazu Mizushima,Yuji Toiyama,Takuya Yamada,Masayuki Mano,Eiji Mita,Masato Kusunoki,Masaki Mori,John M Carethers

PloS one 13:e0208557 PubMed30532127

2018

Prevalence of elevated microsatellite alterations at selected tetranucleotide repeats in pancreatic ductal adenocarcinoma.

Applications

Unspecified application

Species

Unspecified reactive species

Taiki Mori,Yasushi Hamaya,Takahiro Uotani,Mihoko Yamade,Moriya Iwaizumi,Takahisa Furuta,Hiroaki Miyajima,Satoshi Osawa,Ken Sugimoto

International journal of molecular medicine 40:673-678 PubMed28656302

2017

Inactivation of MSH3 by promoter methylation correlates with primary tumor stage in nasopharyngeal carcinoma.

Applications

Unspecified application

Species

Unspecified reactive species

Haifeng Ni,Bo Jiang,Zhen Zhou,Xiaoyang Yuan,Xiaolin Cao,Guangwu Huang,Yong Li
View all publications

Product promise

We are committed to supporting your work with high-quality reagents, and we're here for you every step of the way. In the unlikely event that one of our products does not perform as expected, you're protected by our Product Promise.
For full details, please see our Terms & Conditions

Please note: All products are 'FOR RESEARCH USE ONLY. NOT FOR USE IN DIAGNOSTIC OR THERAPEUTIC PROCEDURES'.

For licensing inquiries, please contact partnerships@abcam.com