JavaScript is disabled in your browser. Please enable JavaScript to view this website.
AB226079

Anti-MSH3 antibody [EPR4334(2)] - BSA and Azide free

Be the first to review this product! Submit a review

|

(0 Publication)

Anti-MSH3 antibody [EPR4334(2)] - BSA and Azide free (ab226079) is a rabbit recombinant monoclonal antibody provided in a PBS only buffer for easy conjugation detecting MSH3 in Flow Cytometry (Intra), Flow Cytometry, IHC-P, ICC/IF. Suitable for Human.

- BSA, sodium azide, and glycerol-free for easy conjugation
- Biophysical QC for unrivalled batch-batch consistency

View Alternative Names

DUC1, DUG, MSH3, DNA mismatch repair protein Msh3, hMSH3, Divergent upstream protein, Mismatch repair protein 1, DUP, MRP1

3 Images
Flow Cytometry (Intracellular) - Anti-MSH3 antibody [EPR4334(2)] - BSA and Azide free (AB226079)
  • Flow Cyt (Intra)

Lab

Flow Cytometry (Intracellular) - Anti-MSH3 antibody [EPR4334(2)] - BSA and Azide free (AB226079)

This data was developed using ab111107, the same antibody clone in a different buffer formulation.Intracellular Flow Cytometry analysis of HeLa (Human cervix adenocarcinoma epithelial cell) cells labeling MSH4 with Purified ab226079 at 1/40 dilution (10μg/ml) (Red). Cells were fixed with 4% Paraformaldehyde and permeabilised with 90% Methanol. A Goat anti rabbit IgG (Alexa Fluor® 488, ab150077) secondary antibody was used at 1/2000. Isotype control - Rabbit monoclonal IgG (Black). Unlabeled control - Cell without incubation with primary antibody and secondary antibody (Blue).

Immunocytochemistry/ Immunofluorescence - Anti-MSH3 antibody [EPR4334(2)] - BSA and Azide free (AB226079)
  • ICC/IF

Lab

Immunocytochemistry/ Immunofluorescence - Anti-MSH3 antibody [EPR4334(2)] - BSA and Azide free (AB226079)

This data was developed using ab111107, the same antibody clone in a different buffer formulation.
Immunocytochemistry analysis of SW480 (Human colorectal adenocarcinoma epithelial cell) cells labeling MSH3 with Purified ab226079 at 1 : 50 dilution (7.46 μg/ml). Cells were fixed in 4% Paraformaldehyde and permeabilized with 0.1% tritonX-100. Cells were counterstained with ab195889 Anti-alpha Tubulin antibody [DM1A] - Microtubule Marker (Alexa Fluor® 594) 1 : 200 (2.5 μg/ml). Goat anti rabbit IgG (Alexa Fluor® 488, ab150077) was used as the secondary antibody at 1 : 1000 (2 μg/ml) dilution. DAPI (blue) was used as nuclear counterstain. PBS instead of the primary antibody was used as the secondary antibody only control.

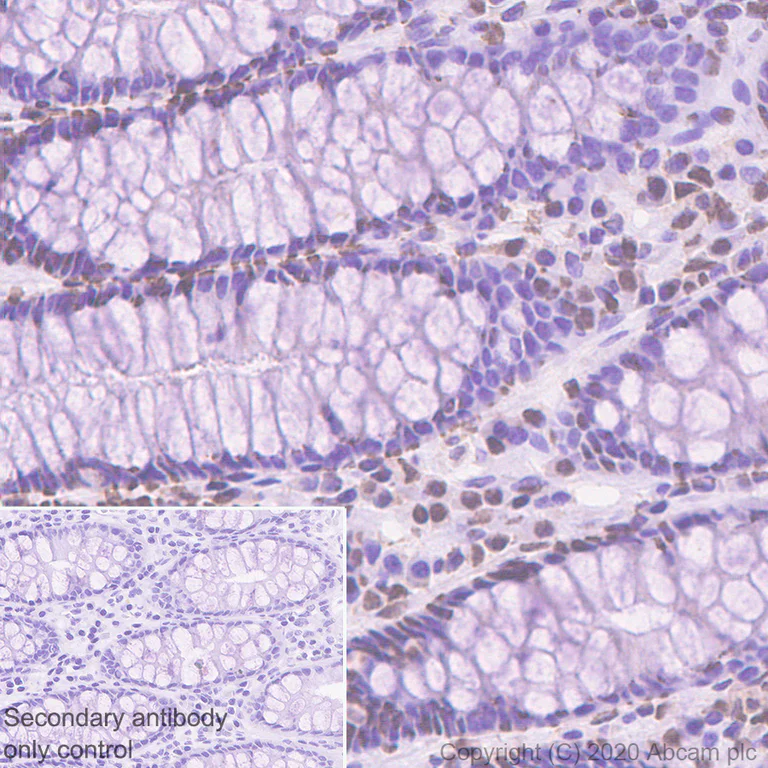
Immunohistochemistry (Formalin/PFA-fixed paraffin-embedded sections) - Anti-MSH3 antibody [EPR4334(2)] - BSA and Azide free (AB226079)
  • IHC-P

Lab

Immunohistochemistry (Formalin/PFA-fixed paraffin-embedded sections) - Anti-MSH3 antibody [EPR4334(2)] - BSA and Azide free (AB226079)

This data was developed using ab111107, the same antibody clone in a different buffer formulation.
Immunohistochemistry (Formalin/PFA-fixed paraffin-embedded sections) analysis of human colon tissue sections labeling MSH4 with Purified ab226079 at 1 : 700 dilution (0.53 μg/ml). Heat mediated antigen retrieval using Bond™ Epitope Retrieval Solution 2 (pH 9.0). Rabbit specific IHC polymer detection kit HRP/DAB (ab209101) was used as the secondary antibody. Negative control : PBS instead of the primary antibody. Hematoxylin was used as a counterstain. The immunostaining was performed on a Leica Biosystems BOND® RX instrument.

Key facts

Host species

Rabbit

Clonality

Monoclonal

Clone number

EPR4334(2)

Isotype

IgG

Carrier free

Yes

Reacts with

Human

Applications

Flow Cyt (Intra), IHC-P, ICC/IF

applications

Immunogen

The exact immunogen used to generate this antibody is proprietary information.

Reactivity data

{ "title": "Reactivity Data", "filters": { "stats": ["", "Species", "Dilution Info", "Notes"], "tabs": { "all-applications": {"fullname" : "All Applications", "shortname": "All Applications"}, "IHCP" : {"fullname" : "Immunohistochemistry (Formalin/PFA-fixed paraffin-embedded sections)", "shortname":"IHC-P"}, "ICCIF" : {"fullname" : "Immunocytochemistry/ Immunofluorescence", "shortname":"ICC/IF"}, "WB" : {"fullname" : "Western blot", "shortname":"WB"}, "FlowCytIntra" : {"fullname" : "Flow Cytometry (Intracellular)", "shortname":"Flow Cyt (Intra)"} }, "product-promise": { "all": "all", "testedAndGuaranteed": "tested", "guaranteed": "expected", "predicted": "predicted", "notRecommended": "not-recommended" } }, "values": { "Human": { "IHCP-species-checked": "testedAndGuaranteed", "IHCP-species-dilution-info": "", "IHCP-species-notes": "<p>For antigen retrieval, heat up to 98 °C, below boiling, and then let cool for 10-20 minutes.</p> Perform heat-mediated antigen retrieval before commencing with IHC staining protocol.", "ICCIF-species-checked": "testedAndGuaranteed", "ICCIF-species-dilution-info": "", "ICCIF-species-notes": "<p></p>", "WB-species-checked": "notRecommended", "WB-species-dilution-info": "", "WB-species-notes": "<p></p>", "FlowCytIntra-species-checked": "testedAndGuaranteed", "FlowCytIntra-species-dilution-info": "", "FlowCytIntra-species-notes": "<p></p>" } } }

Product details

What is this antibody validated in?
Anti-MSH3 antibody [EPR4334(2)] - BSA and Azide free (ab226079) is a rabbit recombinant monoclonal antibody and is validated for use in Flow Cytometry (Intra), Flow Cytometry (Flow Cyt), Immunohistochemistry (IHC-P), Immunocytochemistry/immunofluorescence (ICC/IF) in Human samples.

Trial sizes available!
Test your antibody or perform pre-screening before committing to a larger quantity. Sold in 10µl. Discover our selection of trial-size antibodies.

Other related products
We have a range of other formats of antibody clone [EPR4334(2)] also available for your convenience: ab111107, Alexa Fluor® 647 - ab225125, Alexa Fluor® 488 - ab225126, Carrier free - ab226079, PE - ab305868, APC - ab305869, HRP - ab305870, Alkaline Phosphatase - ab308695, Alexa Fluor® 594 - ab310405, Alexa Fluor® 555 - ab311932, Alexa Fluor® 568 - ab312403, Alexa Fluor® 750 - ab320966

Patented technology
Our RabMAb® technology is a patented hybridoma-based technology for making rabbit monoclonal antibodies. For details on our patents, please refer to RabMAb® patents.

What are the advantages of a recombinant monoclonal antibody?
This product is a recombinant monoclonal antibody, which offers several advantages including:

  • - High batch-to-batch consistency and reproducibility
  • - Improved sensitivity and specificity
  • - Long-term security of supply
  • - Animal-free batch production

For more information, read more on recombinant antibodies.

Conjugation ready
Our carrier-free antibodies are typically supplied in a PBS-only formulation, purified and free of BSA, sodium azide and glycerol. This conjugation-ready format is designed for use with fluorochromes, metal isotopes, oligonucleotides, and enzymes, which makes them ideal for antibody labelling, functional and cell-based assays, flow-based assays (e.g. mass cytometry) and Multiplex Imaging applications.

Use our conjugation kits for antibody conjugates that are ready-to-use in as little as 20 minutes with 1 minute hands-on-time and 100% antibody recovery: available for fluorescent dyes, HRP, biotin and gold.

Compatibility
This product is compatible with the Maxpar® Antibody Labeling Kit from Fluidigm, without the need for antibody preparation. Maxpar® is a trademark of Fluidigm Canada Inc.

Properties and storage information

Form
Liquid
Purification technique
Affinity purification Protein A
Storage buffer
pH: 7.2 - 7.4 Constituents: PBS
Shipped at conditions
Blue Ice
Appropriate short-term storage conditions
+4°C
Appropriate long-term storage conditions
+4°C
Storage information
Do Not Freeze

Supplementary information

This supplementary information is collated from multiple sources and compiled automatically.

The mutS homolog 3 (MSH3) protein plays an important role in DNA mismatch repair. It is part of the family of MutS proteins and is sometimes referred to by its gene name MSH3. MSH3 forms a heterodimer with MSH2 to create MutSΒ. This complex targets insertion and deletion loops. The mass of MSH3 is approximately 127 kDa. Expression of MSH3 occurs in various tissues with high levels in the colon small intestine and testis.
Biological function summary

MSH3 contributes to genome stability by correcting DNA replication errors. As part of the MutSΒ complex it identifies and initiates repair of insertion and deletion loops which helps maintain genomic integrity. In eukaryotes MSH3 along with its partner MSH2 cooperates with other proteins such as MLH1 and PMS2 to ensure proper mismatch repair. These interactions help to prevent mutations from becoming permanent.

Pathways

MSH3 participates in the DNA mismatch repair pathway important for maintaining genomic fidelity. It works closely with MSH2 to form MutSΒ enhancing the repair of small loops. Another important association includes the MLH1-PMS2 complex within the mismatch repair pathways. This collaboration ensures errors in DNA during replication do not lead to genomic instability.

Mutations or malfunctioning of MSH3 have been associated with colorectal cancer and Lynch syndrome. Alterations in MSH3 can impair DNA repair processes contributing to cancer development. The MSH2 protein which pairs with MSH3 also plays a critical role in these disorders. Understanding MSH3 function helps illuminate its involvement in genetic stability and its impact on health.

Product protocols

For this product, it's our understanding that no specific protocols are required. You can visit:

Target data

Component of the post-replicative DNA mismatch repair system (MMR). Heterodimerizes with MSH2 to form MutS beta which binds to DNA mismatches thereby initiating DNA repair. When bound, the MutS beta heterodimer bends the DNA helix and shields approximately 20 base pairs. MutS beta recognizes large insertion-deletion loops (IDL) up to 13 nucleotides long. After mismatch binding, forms a ternary complex with the MutL alpha heterodimer, which is thought to be responsible for directing the downstream MMR events, including strand discrimination, excision, and resynthesis.
See full target information MSH3

Product promise

We are committed to supporting your work with high-quality reagents, and we're here for you every step of the way. In the unlikely event that one of our products does not perform as expected, you're protected by our Product Promise.
For full details, please see our Terms & Conditions

Please note: All products are 'FOR RESEARCH USE ONLY. NOT FOR USE IN DIAGNOSTIC OR THERAPEUTIC PROCEDURES'.

For licensing inquiries, please contact partnerships@abcam.com