JavaScript is disabled in your browser. Please enable JavaScript to view this website.
AB10340

Anti-MSH6 antibody

Be the first to review this product! Submit a review

|

(2 Publications)

Goat Polyclonal MSH6 antibody. Suitable for IHC-P, WB and reacts with Human samples. Cited in 2 publications. Immunogen corresponding to Synthetic Peptide within Human MSH6 aa 350-400.

View Alternative Names

GTBP, MSH6, DNA mismatch repair protein Msh6, hMSH6, G/T mismatch-binding protein, MutS protein homolog 6, MutS-alpha 160 kDa subunit, GTMBP, p160

2 Images
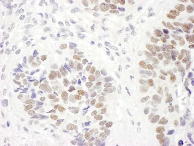
Immunohistochemistry (Formalin/PFA-fixed paraffin-embedded sections) - Anti-MSH6 antibody (AB10340)
  • IHC-P

Supplier Data

Immunohistochemistry (Formalin/PFA-fixed paraffin-embedded sections) - Anti-MSH6 antibody (AB10340)

Immunohistochemical (Formalin/PFA-fixed paraffin-embedded sections) analysis of human non-small cell lung cancer tissue labelling MSH6 with ab10340 at 1/500 dilution. Detection : DAB.

Western blot - Anti-MSH6 antibody (AB10340)
  • WB

Supplier Data

Western blot - Anti-MSH6 antibody (AB10340)

All lanes:

Western blot - Anti-MSH6 antibody (ab10340) at 0.5 µg/mL

Lane 1:

HeLa (Human cervix adenocarcinoma epithelial cell) whole cell lysate at 50 µg

Lane 2:

HEK-293T (Human epithelial cell line from embryonic kidney transformed with large T antigen) whole cell lysate at 50 µg

Predicted band size: 153 kDa

false

Exposure time: 3min

Key facts

Host species

Goat

Clonality

Polyclonal

Isotype

IgG

Carrier free

No

Reacts with

Human

Applications

IHC-P, WB

applications

Immunogen

Synthetic Peptide within Human MSH6 aa 350-400. The exact immunogen used to generate this antibody is proprietary information.

P52701

Reactivity data

{ "title": "Reactivity Data", "filters": { "stats": ["", "Species", "Dilution Info", "Notes"], "tabs": { "all-applications": {"fullname" : "All Applications", "shortname": "All Applications"}, "IHCP" : {"fullname" : "Immunohistochemistry (Formalin/PFA-fixed paraffin-embedded sections)", "shortname":"IHC-P"}, "WB" : {"fullname" : "Western blot", "shortname":"WB"} }, "product-promise": { "all": "all", "testedAndGuaranteed": "tested", "guaranteed": "expected", "predicted": "predicted", "notRecommended": "not-recommended" } }, "values": { "Human": { "IHCP-species-checked": "testedAndGuaranteed", "IHCP-species-dilution-info": "1/250 - 1/1000", "IHCP-species-notes": "<p></p> Perform heat-mediated antigen retrieval with citrate buffer pH 6 before commencing with IHC staining protocol.", "WB-species-checked": "testedAndGuaranteed", "WB-species-dilution-info": "1/1000 - 1/5000", "WB-species-notes": "<p></p>" }, "Chimpanzee": { "IHCP-species-checked": "predicted", "IHCP-species-dilution-info": "", "IHCP-species-notes": "", "WB-species-checked": "predicted", "WB-species-dilution-info": "", "WB-species-notes": "" }, "Gorilla": { "IHCP-species-checked": "predicted", "IHCP-species-dilution-info": "", "IHCP-species-notes": "", "WB-species-checked": "predicted", "WB-species-dilution-info": "", "WB-species-notes": "" }, "Orangutan": { "IHCP-species-checked": "predicted", "IHCP-species-dilution-info": "", "IHCP-species-notes": "", "WB-species-checked": "predicted", "WB-species-dilution-info": "", "WB-species-notes": "" } } }

Properties and storage information

Form
Liquid
Purification technique
Affinity purification Immunogen
Storage buffer
pH: 7 - 8 Preservative: 0.1% Sodium azide Constituents: PBS, 1.815% Tris, 1.764% Sodium citrate
Shipped at conditions
Blue Ice
Appropriate short-term storage conditions
+4°C
Appropriate long-term storage conditions
-20°C
Aliquoting information
Upon delivery aliquot
Storage information
Avoid freeze / thaw cycle

Supplementary information

This supplementary information is collated from multiple sources and compiled automatically.

MSH6 also known as MutS Homolog 6 is a DNA repair protein that plays a role in the mismatch repair (MMR) system. It has a molecular mass of approximately 136 kDa. MSH6 forms a heterodimer with MSH2 called MutSα and this complex identifies base-pair mismatches and insertion-deletion loops during DNA replication. It is expressed in various tissues throughout the body and high levels are often found in proliferative tissues where active DNA replication occurs.
Biological function summary

MSH6 functions as part of the MMR complex which is essential for maintaining genomic stability. The MutSα complex where MSH6 pairs with MSH2 operates along with other proteins in the MMR pathway to correct DNA replication errors. MSH6 is also known to interact with PCNA a DNA polymerase processivity factor which facilitates its role in the repair process.

Pathways

MSH6 participates prominently in the DNA mismatch repair pathway. This pathway is critical for correcting DNA errors and preventing mutations during replication. In association with MLH1-PMS2 (MutLα complex) MSH6 ensures that DNA integrity is preserved. Additionally MSH6 is involved in the base excision repair (BER) pathway where it collaborates with other repair proteins to fix small base lesions.

MSH6 has a significant connection with Lynch syndrome also known as hereditary nonpolyposis colorectal cancer (HNPCC). This condition is characterized by germline mutations in MMR genes including MSH6 leading to increased cancer risk particularly in the colon. Moreover alterations in MSH6 can contribute to microsatellite instability a feature seen in certain types of endometrial cancer. Mutations in MSH2 often accompany MSH6 mutations in these disorders further impacting the MMR pathway's efficiency.

Product protocols

For this product, it's our understanding that no specific protocols are required. You can visit:

Target data

Component of the post-replicative DNA mismatch repair system (MMR). Heterodimerizes with MSH2 to form MutS alpha, which binds to DNA mismatches thereby initiating DNA repair. When bound, MutS alpha bends the DNA helix and shields approximately 20 base pairs, and recognizes single base mismatches and dinucleotide insertion-deletion loops (IDL) in the DNA. After mismatch binding, forms a ternary complex with the MutL alpha heterodimer, which is thought to be responsible for directing the downstream MMR events, including strand discrimination, excision, and resynthesis. ATP binding and hydrolysis play a pivotal role in mismatch repair functions. The ATPase activity associated with MutS alpha regulates binding similar to a molecular switch : mismatched DNA provokes ADP-->ATP exchange, resulting in a discernible conformational transition that converts MutS alpha into a sliding clamp capable of hydrolysis-independent diffusion along the DNA backbone. This transition is crucial for mismatch repair. MutS alpha may also play a role in DNA homologous recombination repair. Recruited on chromatin in G1 and early S phase via its PWWP domain that specifically binds trimethylated 'Lys-36' of histone H3 (H3K36me3) : early recruitment to chromatin to be replicated allowing a quick identification of mismatch repair to initiate the DNA mismatch repair reaction.
See full target information MSH6

Publications (2)

Recent publications for all applications. Explore the full list and refine your search

Romanian journal of morphology and embryology = Revue roumaine de morphologie et embryologie 65:745-757 PubMed39957036

2025

Clinicopathological and molecular landscape in colorectal cancer associated with colorectal polyps and inflammatory bowel disease.

Applications

Unspecified application

Species

Unspecified reactive species

Diana Lavinia Pricope,Adriana Grigoraş,Constantin Aleodor Costin,Cornelia Amălinei

Frontiers in immunology 13:1012442 PubMed36311727

2022

IRG1/itaconate increases IL-10 release to alleviate mechanical and thermal hypersensitivity in mice after nerve injury.

Applications

Unspecified application

Species

Unspecified reactive species

Qingyu Sun,Tingting Hu,Yurui Zhang,Xiaotong Wang,Jing Liu,Wen Chen,Chao Wei,Dianxin Liu,Weihua Wu,Ting Lan,Yumeng Ding,Zhaoli Luo,Meng Liu,Danmin Shen,Zhongnan Xiao,Liye Hu,Miaoyi Pang,Yiran Ma,Lei Shi,Peipei Wang,Jiannan Zhang,Qian Li,Fei Yang
View all publications

Product promise

We are committed to supporting your work with high-quality reagents, and we're here for you every step of the way. In the unlikely event that one of our products does not perform as expected, you're protected by our Product Promise.
For full details, please see our Terms & Conditions

Please note: All products are 'FOR RESEARCH USE ONLY. NOT FOR USE IN DIAGNOSTIC OR THERAPEUTIC PROCEDURES'.

For licensing inquiries, please contact partnerships@abcam.com