JavaScript is disabled in your browser. Please enable JavaScript to view this website.
AB92471

Anti-MSH6 antibody [EPR3945]

  • BOND RX™ Validated
  • RabMAb
  • Recombinant
  • KO Validated
  • What is this?

5

(5 Reviews)

|

(58 Publications)

Anti-MSH6 antibody [EPR3945] (ab92471) is a rabbit monoclonal antibody detecting MSH6 in Western Blot, IHC-P, ICC/IF. Suitable for Human, Mouse, Rat.

- KO validated for confirmed specificity
- Biophysical QC for unrivalled batch-batch consistency
- Over 50 publications
- Trusted since 2010

View Alternative Names

GTBP, MSH6, DNA mismatch repair protein Msh6, hMSH6, G/T mismatch-binding protein, MutS protein homolog 6, MutS-alpha 160 kDa subunit, GTMBP, p160

19 Images
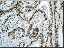
Immunohistochemistry (Formalin/PFA-fixed paraffin-embedded sections) - Anti-MSH6 antibody [EPR3945] (AB92471)
  • IHC-P

Unknown

Immunohistochemistry (Formalin/PFA-fixed paraffin-embedded sections) - Anti-MSH6 antibody [EPR3945] (AB92471)

Immunohistochemical staining of paraffin embedded human colon with purified ab92471 at a dilution of 1/500. A pre-diluted HRP polymer for rabbit/mouse IgG was used as the secondary antibody and the sample was counter-stained with hematoxylin. Antigen retrieval was perfomed using Tris-EDTA buffer, pH 9.0. PBS was used instead of the primary antibody as the negative control, and is shown in the inset.

Immunohistochemistry - Anti-MSH6 antibody [EPR3945] (AB92471)
  • IHC

Lab

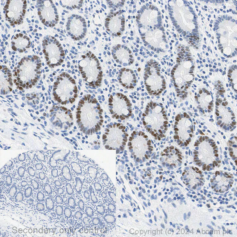
Immunohistochemistry - Anti-MSH6 antibody [EPR3945] (AB92471)

Immunohistochemical analysis of formalin fixed paraffin embedded human small intestine labelling MSH6 with ab92471 at a concentration of 0.1µg/ml.

The immunostaining was performed on a Ventana DISCOVERY ULTRA (Roche Tissue Diagnostics) instrument with an OptiView DAB IHC Detection Kit. Heat mediated antigen retrieval was conducted for 32min with DISCOVERY cell conditioning solution (CC1) 100°C, pH8.5. ab92471 anti-MSH6 was incubated at 37°C for 16min.

Sections were counterstained is with Hematoxylin II. Image inset shows absence of staining in secondary antibody only control.

Customers are encouraged to optimise antigen retrieval conditions, antibody concentration, incubation times and temperature for best results in their own IHC assay workflow (automated and manual)

Immunohistochemistry (Formalin/PFA-fixed paraffin-embedded sections) - Anti-MSH6 antibody [EPR3945] (AB92471)
  • IHC-P

Lab

Immunohistochemistry (Formalin/PFA-fixed paraffin-embedded sections) - Anti-MSH6 antibody [EPR3945] (AB92471)

Tissue Microarrays stained for "Anti-MSH6 antibody [EPR3945]" using "ab92471"in immunohistochemical analysis. This table provides a detailed overview of positive (tick mark) and negative (cross mark) staining per sample type tested. The sections were pre-treated using Heat mediated antigen retrieval using Bond™ Epitope Retrieval Solution 2 (pH 9.0) for 20 minutes. The sections were incubated with ab92471 for 30 mins at room temperature followed by a ready to use Rabbit specific IHC polymer detection kit HRP/DAB (ab209101). The immunostaining was performed on a Leica Biosystems BOND® RX instrument.

Immunohistochemistry - Anti-MSH6 antibody [EPR3945] (AB92471)
  • IHC

Lab

Immunohistochemistry - Anti-MSH6 antibody [EPR3945] (AB92471)

Immunohistochemical analysis of formalin fixed paraffin embedded human small intestine labelling MSH6 with ab92471 at a concentration of 0.1µg/ml. The immunostaining was performed on a Leica Biosystems BOND® RX instrument with a Bond™ Polymer Refine Detection kit. Heat mediated antigen retrieval was performed with Tris-EDTA buffer (pH 9.0, Epitope Retrieval Solution 2) for 20 mins.

ab92471 anti-MSH6 antibody [EPR3945] was incubated for 15mins at room temperature. Sections were counterstained with Hematoxylin. Image inset shows absence of staining in secondary antibody only control.

Customers are encouraged to optimise antigen retrieval conditions, antibody concentration, incubation times and temperature for best results in their own IHC assay workflow (automated and manual)

Immunohistochemistry (Formalin/PFA-fixed paraffin-embedded sections) - Anti-MSH6 antibody [EPR3945] (AB92471)
  • IHC-P

Lab

Immunohistochemistry (Formalin/PFA-fixed paraffin-embedded sections) - Anti-MSH6 antibody [EPR3945] (AB92471)

Tissue Microarrays stained for "Anti-MSH6 antibody [EPR3945]" using "ab92471"in immunohistochemical analysis. This table provides a detailed overview of positive (tick mark) and negative (cross mark) staining per sample type tested. The sections were pre-treated using Heat mediated antigen retrieval using Bond™ Epitope Retrieval Solution 2 (pH 9.0) for 20 minutes. The sections were incubated with ab92471 for 30 mins at room temperature followed by a ready to use Rabbit specific IHC polymer detection kit HRP/DAB (ab209101). The immunostaining was performed on a Leica Biosystems BOND® RX instrument.

Immunohistochemistry (Formalin/PFA-fixed paraffin-embedded sections) - Anti-MSH6 antibody [EPR3945] (AB92471)
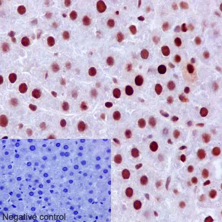
  • IHC-P

Unknown

Immunohistochemistry (Formalin/PFA-fixed paraffin-embedded sections) - Anti-MSH6 antibody [EPR3945] (AB92471)

Immunohistochemical staining of paraffin embedded rat liver with purified ab92471 at a dilution of 1/500. A pre-diluted HRP polymer for rabbit/mouse IgG was used as the secondary antibody and the sample was counter-stained with hematoxylin. Antigen retrieval was perfomed using Tris-EDTA buffer, pH 9.0. PBS was used instead of the primary antibody as the negative control, and is shown in the inset.

Western blot - Anti-MSH6 antibody [EPR3945] (AB92471)
  • WB

Lab

Western blot - Anti-MSH6 antibody [EPR3945] (AB92471)

Blocking buffer : 5% NFDM/TBST

Dilution buffer : 5% NFDM/TBST

All lanes:

Western blot - Anti-MSH6 antibody [EPR3945] (ab92471) at 1/2000 dilution

All lanes:

SW480 cell lysate at 10 µg

Secondary

All lanes:

HRP goat anti-rabbit (H+L) at 1/1000 dilution

Predicted band size: 153 kDa

Observed band size: 160 kDa

false

Western blot - Anti-MSH6 antibody [EPR3945] (AB92471)
  • WB

Lab

Western blot - Anti-MSH6 antibody [EPR3945] (AB92471)

Blocking buffer : 5% NFDM/TBST

Dilution buffer : 5% NFDM/TBST

All lanes:

Western blot - Anti-MSH6 antibody [EPR3945] (ab92471) at 1/1000 dilution

All lanes:

Rat brain at 10 µg

Secondary

All lanes:

HRP goat anti-rabbit (H+L) at 1/1000 dilution

Predicted band size: 153 kDa

Observed band size: 160 kDa

false

Immunocytochemistry/ Immunofluorescence - Anti-MSH6 antibody [EPR3945] (AB92471)
  • ICC/IF

Unknown

Immunocytochemistry/ Immunofluorescence - Anti-MSH6 antibody [EPR3945] (AB92471)

ab92471 staining MSH6 in HeLa cells. The cells were fixed with 4% formaldehyde (10min), permeabilized with 0.1% Triton X-100 for 5 minutes and then blocked with 1% BSA/10% normal goat serum/0.3M glycine in 0.1% PBS-Tween for 1h. The cells were then incubated with ab92471 at 1μg/ml and ab195889 at 1/250 dilution (shown in pseudocolour red) overnight at +4°C, followed by a further incubation at room temperature for 1h with a goat secondary antibody to Rabbit IgG (Alexa Fluor® 488) (ab150081) at 2 μg/ml (shown in green). Nuclear DNA was labelled in blue with DAPI.

Image was taken with a confocal microscope (Leica-Microsystems, TCS SP8).

Immunocytochemistry/ Immunofluorescence - Anti-MSH6 antibody [EPR3945] (AB92471)
  • ICC/IF

Unknown

Immunocytochemistry/ Immunofluorescence - Anti-MSH6 antibody [EPR3945] (AB92471)

ab92471 staining MSH6 in wild-type HAP1 cells (top panel) and MSH6 knockout HAP1 cells (bottom panel). The cells were fixed with 4% formaldehyde (10min), permeabilized with 0.1% Triton X-100 for 5 minutes and then blocked with 1% BSA/10% normal goat serum/0.3M glycine in 0.1% PBS-Tween for 1h. The cells were then incubated with ab92471 at 1μg/ml and ab195889 at 1/250 dilution (shown in pseudocolour red) overnight at +4°C, followed by a further incubation at room temperature for 1h with a goat secondary antibody to Rabbit IgG (Alexa Fluor® 488) (ab150081) at 2 μg/ml (shown in green). Nuclear DNA was labelled in blue with DAPI.

Image was taken with a confocal microscope (Leica-Microsystems, TCS SP8).

Immunocytochemistry/ Immunofluorescence - Anti-MSH6 antibody [EPR3945] (AB92471)
  • ICC/IF

AbReview29265****

Immunocytochemistry/ Immunofluorescence - Anti-MSH6 antibody [EPR3945] (AB92471)

Unpurified ab92471 (1/500) staining MSH6 in asynchronous HeLa cells (green). Cells were fixed in paraformaldehyde, permeabilised with 0.5% Triton X100/PBS and counterstained with DAPI in order to highlight the nucleus (red). For further experimental details please see abreview.

Image courtesy of an abreview submitted by Dr. Kirk McManus, Univ. of Manitoba/Cancer Care MICB, Canada

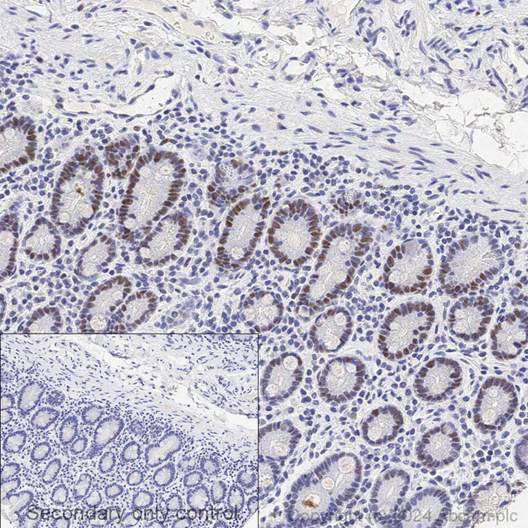
Immunohistochemistry (Formalin/PFA-fixed paraffin-embedded sections) - Anti-MSH6 antibody [EPR3945] (AB92471)
  • IHC-P

Unknown

Immunohistochemistry (Formalin/PFA-fixed paraffin-embedded sections) - Anti-MSH6 antibody [EPR3945] (AB92471)

Unpurified ab92471, at a 1/100 dilution, detecting MSH6 in paraffin embedded Human colonic adenocarcinoma tissue by immunohistochemistry. Detection used HRP conjugated anti rabbit antibody.

Heat mediated antigen retrieval was performed before commencing with IHC staining protocol.

Western blot - Anti-MSH6 antibody [EPR3945] (AB92471)
  • WB

Lab

Western blot - Anti-MSH6 antibody [EPR3945] (AB92471)

Different batches of ab92471 were tested on Rat brain lysate at 0.2 µg/ml. 15 µg of lysate was loaded in each lane. Bands observed at 160 kDa.

All lanes:

Western blot - Anti-MSH6 antibody [EPR3945] (ab92471)

Predicted band size: 153 kDa

false

Western blot - Anti-MSH6 antibody [EPR3945] (AB92471)
  • WB

Unknown

Western blot - Anti-MSH6 antibody [EPR3945] (AB92471)

Secondary antibody - goat anti-rabbit HRP (ab6721)

All lanes:

Western blot - Anti-MSH6 antibody [EPR3945] (ab92471) at 1/1000 dilution

Lane 1:

A431 cell lysate at 10 µg

Lane 2:

HeLa cell lysate at 10 µg

Lane 3:

SW480 cell lysate at 10 µg

Secondary

All lanes:

HRP labelled goat anti-rabbit antibody at 1/2000 dilution

Predicted band size: 153 kDa

false

Western blot - Anti-MSH6 antibody [EPR3945] (AB92471)
  • WB

Lab

Western blot - Anti-MSH6 antibody [EPR3945] (AB92471)

Blocking buffer : 5% NFDM/TBST

Dilution buffer : 5% NFDM/TBST

All lanes:

purified at 1/6000 dilution

All lanes:

SW480 cell lysate at 10 µg

Secondary

All lanes:

HRP goat anti-rabbit (H+L) at 1/1000 dilution

Predicted band size: 153 kDa

Observed band size: 160 kDa

false

Western blot - Anti-MSH6 antibody [EPR3945] (AB92471)
  • WB

Lab

Western blot - Anti-MSH6 antibody [EPR3945] (AB92471)

Lanes 1- 2 : Merged signal (red and green). Green - ab92471 observed at 160 kDa. Red - Anti-Vinculin antibody [VIN-54] observed at 124 kDa.

ab92471 was shown to react with MSH6 in wild-type HeLa cells in western blot. Loss of signal was observed when knockout cell line ab255410 (knockout cell lysate ab263763) was used. Wild-type HeLa and MSH6 knockout HeLa cell lysates were subjected to SDS-PAGE. Membrane was blocked for 1 hour at room temperature in 0.1% TBST with 3% non-fat dried milk. ab92471 and Anti-Vinculin antibody [VIN-54] overnight at 4°C at a 1 in 1000 dilution and a 1 in 20000 dilution respectively. Blots were developed with Goat anti-Rabbit IgG H&L (IRDye®800CW) preadsorbed (ab216773) and Goat anti-Mouse IgG H&L (IRDye®680RD) preadsorbed (ab216776) secondary antibodies at 1 in 20000 dilution for 1 hour at room temperature before imaging.

All lanes:

Western blot - Anti-MSH6 antibody [EPR3945] (ab92471) at 1/1000 dilution

Lane 1:

Wild-type HeLa cell lysate at 20 µg

Lane 2:

MSH6 knockout HeLa cell lysate at 20 µg

Lane 2:

Western blot - Human MSH6 knockout HeLa cell line (<a href='/en-us/products/cell-lines/human-msh6-knockout-hela-cell-line-ab255410'>ab255410</a>)

Predicted band size: 153 kDa

Observed band size: 160 kDa

false

Western blot - Anti-MSH6 antibody [EPR3945] (AB92471)
  • WB

Lab

Western blot - Anti-MSH6 antibody [EPR3945] (AB92471)

Lanes 1 - 4 : Merged signal (red and green). Green - ab92471 observed at 160 kDa. Red - loading control, ab18058, observed at 124 kDa.

ab92471 was shown to specifically react with MSH6 in wild-type HAP1 cells. No band was observed when MSH6 knockout samples were used. Wild-type and MSH6 knockout samples were subjected to SDS-PAGE. ab92471 and ab18058 (loading control to Vinculin) were diluted at 1/1000 and 1/10 000 respectively and incubated overnight at 4°C. Blots were developed with Goat anti-Rabbit IgG H&L (IRDye® 800CW) preadsorbed (ab216773) and Goat anti-Mouse IgG H&L (IRDye® 680RD) preadsorbed (ab216776) secondary antibodies at 1/10 000 dilution for 1 h at room temperature before imaging.

All lanes:

Western blot - Anti-MSH6 antibody [EPR3945] (ab92471) at 1/1000 dilution

Lane 1:

Wild-type HAP1 cell lysate at 20 µg

Lane 2:

MSH6 knockout HAP1 cell lysate at 20 µg

Lane 3:

HeLa cell lysate at 20 µg

Lane 4:

A431 cell lysate at 20 µg

Predicted band size: 153 kDa

false

Western blot - Anti-MSH6 antibody [EPR3945] (AB92471)
  • WB

AbReview56726****

Western blot - Anti-MSH6 antibody [EPR3945] (AB92471)

All lanes:

Western blot - Anti-MSH6 antibody [EPR3945] (ab92471) at 1/1000 dilution

Lane 1:

HAP1 WT cell lysate at 50 µg

Lane 2:

MSH6 KO HAP1 cell lysate at 50 µg

Secondary

All lanes:

donkey anti-rabbit IgG-HRP at 1/3000 dilution

Predicted band size: 153 kDa

true

Exposure time: 5min

This image is courtesy of an Abreview by Serena Bologna.

OI-RD Scanning - Anti-MSH6 antibody [EPR3945] (AB92471)
  • OI-RD Scanning

Unknown

OI-RD Scanning - Anti-MSH6 antibody [EPR3945] (AB92471)

We have systematically measured KD (the equilibrium dissociation constant between the antibody and its antigen), of more than 840 recombinant antibodies to assess not only their individual KD values but also to see the average affinity of antibody. Based on the comparison with published literature values for mouse monoclonal antibodies, Recombinant antibodies appear to be on average 1-2 order of magnitude higher affinity.

Key facts

Host species

Rabbit

Clonality

Monoclonal

Clone number

EPR3945

Isotype

IgG

Carrier free

No

Reacts with

Mouse, Rat, Human

Applications

ICC/IF, WB, IHC-P

applications

Immunogen

The exact immunogen used to generate this antibody is proprietary information.

Reactivity data

{ "title": "Reactivity Data", "filters": { "stats": ["", "Species", "Dilution Info", "Notes"], "tabs": { "all-applications": {"fullname" : "All Applications", "shortname": "All Applications"}, "IHCP" : {"fullname" : "Immunohistochemistry (Formalin/PFA-fixed paraffin-embedded sections)", "shortname":"IHC-P"}, "WB" : {"fullname" : "Western blot", "shortname":"WB"}, "ICCIF" : {"fullname" : "Immunocytochemistry/ Immunofluorescence", "shortname":"ICC/IF"} }, "product-promise": { "all": "all", "testedAndGuaranteed": "tested", "guaranteed": "expected", "predicted": "predicted", "notRecommended": "not-recommended" } }, "values": { "Human": { "IHCP-species-checked": "testedAndGuaranteed", "IHCP-species-dilution-info": "1/500", "IHCP-species-notes": "<p><strong>For unpurified, use 1/100 - 1/250.</strong></p> Perform heat-mediated antigen retrieval before commencing with IHC staining protocol.", "WB-species-checked": "testedAndGuaranteed", "WB-species-dilution-info": "1/1000 - 1/10000", "WB-species-notes": "<p></p>", "ICCIF-species-checked": "testedAndGuaranteed", "ICCIF-species-dilution-info": "1 µg/mL", "ICCIF-species-notes": "<p></p>" }, "Mouse": { "IHCP-species-checked": "guaranteed", "IHCP-species-dilution-info": "1/500", "IHCP-species-notes": "<p><strong>For unpurified, use 1/100 - 1/250.</strong></p> Perform heat-mediated antigen retrieval before commencing with IHC staining protocol.", "WB-species-checked": "guaranteed", "WB-species-dilution-info": "1/1000 - 1/10000", "WB-species-notes": "<p></p>", "ICCIF-species-checked": "guaranteed", "ICCIF-species-dilution-info": "1 µg/mL", "ICCIF-species-notes": "<p></p>" }, "Rat": { "IHCP-species-checked": "testedAndGuaranteed", "IHCP-species-dilution-info": "1/500", "IHCP-species-notes": "<p><strong>For unpurified, use 1/100 - 1/250.</strong></p> Perform heat-mediated antigen retrieval before commencing with IHC staining protocol.", "WB-species-checked": "testedAndGuaranteed", "WB-species-dilution-info": "1/1000 - 1/10000", "WB-species-notes": "<p></p>", "ICCIF-species-checked": "guaranteed", "ICCIF-species-dilution-info": "", "ICCIF-species-notes": "" } } }

Product details

To see more of the key markers and tools you need to study the hallmarks of cancer, including genome instability and mutation, please visit the following page.

Product Specifications
Anti-MSH6 antibody [EPR3945] (ab92471) was developed by Abcam using patented rabbit monoclonal antibody technology and is validated for use in ICC/IF, IHC-P, WB in human, mouse, rat samples.
Anti-MSH6 antibody [EPR3945] (ab92471) specifically detects MSH6 (UniProt ID: P52701; Molecular weight: 153kDa) and is sold in 100 µL and 1 mL selling sizes.

Quality and Validation
Abcam's high quality manufacturing and validation processes ensure Anti-MSH6 antibody [EPR3945] (ab92471) has high sensitivity and specificity alongside high lot-to-lot consistency and reproducibility.
The specificity of Anti-MSH6 antibody [EPR3945] (ab92471) has been confirmed by testing in knockout samples.
Anti-MSH6 antibody [EPR3945] (ab92471) has been cited over 58 times in peer reviewed journals and is trusted by the scientific community.
Anti-MSH6 antibody [EPR3945] (ab92471) has 5 independent reviews from customers.

Related Products
Antibody clone EPR3945 is also available pre-conjugated to a variety of labels for your convenience - Alexa Fluor® 647, Alexa Fluor® 488, Alexa Fluor® 594, Alexa Fluor® 555, Alexa Fluor® 750 (ab198334, ab311007, ab311771, ab313252, ab321758).

Patented technology
Our RabMAb® technology is a patented hybridoma-based technology for making rabbit monoclonal antibodies. For details on our patents, please refer to RabMAb® patents.

What are the advantages of a recombinant monoclonal antibody?
This product is a recombinant monoclonal antibody, which offers several advantages including:

  • - High batch-to-batch consistency and reproducibility
  • - Improved sensitivity and specificity
  • - Long-term security of supply
  • - Animal-free batch production

For more information, read more on recombinant antibodies.

Properties and storage information

Form
Liquid
Purification technique
Affinity purification Protein A
Storage buffer
pH: 7.2 - 7.4 Preservative: 0.01% Sodium azide Constituents: 59% PBS, 40% Glycerol (glycerin, glycerine), 0.05% BSA
Shipped at conditions
Blue Ice
Appropriate short-term storage duration
1-2 weeks
Appropriate short-term storage conditions
+4°C
Appropriate long-term storage conditions
-20°C
Aliquoting information
Upon delivery aliquot
Storage information
Stable for 12 months at -20°C

Product protocols

For this product, it's our understanding that no specific protocols are required. You can visit:

Target data

Component of the post-replicative DNA mismatch repair system (MMR). Heterodimerizes with MSH2 to form MutS alpha, which binds to DNA mismatches thereby initiating DNA repair. When bound, MutS alpha bends the DNA helix and shields approximately 20 base pairs, and recognizes single base mismatches and dinucleotide insertion-deletion loops (IDL) in the DNA. After mismatch binding, forms a ternary complex with the MutL alpha heterodimer, which is thought to be responsible for directing the downstream MMR events, including strand discrimination, excision, and resynthesis. ATP binding and hydrolysis play a pivotal role in mismatch repair functions. The ATPase activity associated with MutS alpha regulates binding similar to a molecular switch : mismatched DNA provokes ADP-->ATP exchange, resulting in a discernible conformational transition that converts MutS alpha into a sliding clamp capable of hydrolysis-independent diffusion along the DNA backbone. This transition is crucial for mismatch repair. MutS alpha may also play a role in DNA homologous recombination repair. Recruited on chromatin in G1 and early S phase via its PWWP domain that specifically binds trimethylated 'Lys-36' of histone H3 (H3K36me3) : early recruitment to chromatin to be replicated allowing a quick identification of mismatch repair to initiate the DNA mismatch repair reaction.
See full target information MSH6

Publications (58)

Recent publications for all applications. Explore the full list and refine your search

Cancers 15: PubMed37835526

2023

Mismatch Repair Deficiency Is a Prognostic Factor Predicting Good Survival of -Associated Cholangiocarcinoma at Early Cancer Stage.

Applications

Unspecified application

Species

Unspecified reactive species

Natcha Khuntikeo,Sureerat Padthaisong,Watcharin Loilome,Poramate Klanrit,Soontaree Ratchatapusit,Anchalee Techasen,Apiwat Jareanrat,Vasin Thanasukarn,Tharatip Srisuk,Vor Luvira,Jarin Chindaprasirt,Prakasit Sa-Ngiamwibool,Chaiwat Aphivatanasiri,Piyapharom Intarawichian,Supinda Koonmee,Piya Prajumwongs,Attapol Titapun

Journal of gynecologic oncology 35:e5 PubMed37743058

2023

Comparison of immediate germline sequencing and multi-step screening for Lynch syndrome detection in high-risk endometrial and colorectal cancer patients.

Applications

Unspecified application

Species

Unspecified reactive species

An-Shine Chao,Angel Chao,Chyong-Huey Lai,Chiao-Yun Lin,Lan-Yan Yang,Shih-Cheng Chang,Ren-Chin Wu

Nature communications 14:1452 PubMed36922497

2023

Clinical outcome and biomarker assessments of a multi-centre phase II trial assessing niraparib with or without dostarlimab in recurrent endometrial carcinoma.

Applications

Unspecified application

Species

Unspecified reactive species

Ainhoa Madariaga,Swati Garg,Nairi Tchrakian,Neesha C Dhani,Waldo Jimenez,Stephen Welch,Helen MacKay,Josee-Lyne Ethier,Lucy Gilbert,Xuan Li,Angela Rodriguez,Lucy Chan,Valerie Bowering,Blaise Clarke,Tong Zhang,Ian King,Gregory Downs,Tracy Stockley,Lisa Wang,Smitha Udagani,Amit M Oza,Stephanie Lheureux

Cell reports. Medicine 4:100883 PubMed36630951

2023

Inherited mutations in Chinese patients with upper tract urothelial carcinoma.

Applications

Unspecified application

Species

Unspecified reactive species

Junlong Wu,Shengming Jin,Chengyuan Gu,Yu Wei,Yao Zhu,Andrea Necchi,Shahrokh F Shariat,Jian Pan,Hualei Gan,Bo Dai,Hailiang Zhang,Guohai Shi,Yu Zhu,Yijun Shen,Yiping Zhu,Dingwei Ye

Cancers 15: PubMed36612181

2022

Immunohistochemical Study of Bladder Cancer Molecular Subtypes and Their Association with PD-L1 Expression.

Applications

Unspecified application

Species

Unspecified reactive species

Dimitrios Goutas,Kostas Palamaris,Anastasios Stofas,Nektarios Politakis,Antonia Despotidi,Ioanna Giannopoulou,Nikolaos Goutas,Dimitrios Vlachodimitropoulos,Nikolaos Kavantzas,Andreas C Lazaris,Hariklia Gakiopoulou

Frontiers in oncology 12:1012168 PubMed36387191

2022

Clinicopathological characteristics and loss of mismatch repair protein expression in Chinese upper tract urothelial carcinomas.

Applications

Unspecified application

Species

Unspecified reactive species

Zhi Shang,Shengming Jin,Wenwen Wang,Yu Wei,Chengyuan Gu,Chen Yang,Yu Zhu,Yao Zhu,Yijun Shen,Junlong Wu,Dingwei Ye

Cancer cell international 22:253 PubMed35953834

2022

Lymphocyte antigen 6G6D-mediated modulation through p38α MAPK and DNA methylation in colorectal cancer.

Applications

Unspecified application

Species

Unspecified reactive species

Francesca Pia Caruso,Mario Rosario D'Andrea,Luigi Coppola,Matteo Landriscina,Valentina Condelli,Luigi Cerulo,Guido Giordano,Almudena Porras,Massimo Pancione

Cancer 128:3170-3184 PubMed35789992

2022

Fusobacterium nucleatum impairs DNA mismatch repair and stability in patients with squamous cell carcinoma of the head and neck.

Applications

Unspecified application

Species

Unspecified reactive species

Chi-Yao Hsueh,Hui-Ching Lau,Qiang Huang,Hongli Gong,Ji Sun,Pengyu Cao,Chunyan Hu,Ming Zhang,Lei Tao,Liang Zhou

Nature protocols 17:1658-1690 PubMed35546639

2022

Patient-derived and mouse endo-ectocervical organoid generation, genetic manipulation and applications to model infection.

Applications

Unspecified application

Species

Unspecified reactive species

Rajendra Kumar Gurumurthy,Stefanie Koster,Naveen Kumar,Thomas F Meyer,Cindrilla Chumduri

Clinical colorectal cancer 21:236-243 PubMed35450836

2022

Safety and Efficacy of Avelumab in Small Bowel Adenocarcinoma.

Applications

Unspecified application

Species

Unspecified reactive species

Dana B Cardin,Jill Gilbert,Jennifer G Whisenant,Gregory D Ayers,Florencia Jalikis,Kimberly B Dahlman,Jamye F O'Neal,Frank Revetta,Chanjuan Shi,Jordan Berlin
View all publications

Product promise

We are committed to supporting your work with high-quality reagents, and we're here for you every step of the way. In the unlikely event that one of our products does not perform as expected, you're protected by our Product Promise.
For full details, please see our Terms & Conditions

Associated Products

Select an associated product type
Alternative Product
Primary Antibodies

AB259431

Anti-MSH6 antibody [MSH6/3086] - BSA and Azide free

primary-antibodies

msh6-antibody-msh6-3086-bsa-and-azide-free-ab259431

0

(0 reviews)

Alternative Product
Primary Antibodies

AB99889

Anti-MSH6 antibody [SP93]

primary-antibodies

msh6-antibody-sp93-ab99889

0

(0 reviews)

Alternative Product
Primary Antibodies

AB208940

Anti-MSH6 antibody [EPR20316]

primary-antibodies

msh6-antibody-epr20316-ab208940

0

(0 reviews)

Alternative Product
Primary Antibodies

AB238805

Anti-MSH6 antibody [SP93] - BSA and Azide free

primary-antibodies

msh6-antibody-sp93-bsa-and-azide-free-ab238805

0

(0 reviews)

Alternative Product
Primary Antibodies

AB14204

Anti-MSH6 antibody [44]

primary-antibodies

msh6-antibody-44-ab14204

4

(2 reviews)

Alternative Product
Primary Antibodies

AB10340

Anti-MSH6 antibody

primary-antibodies

msh6-antibody-ab10340

0

(0 reviews)

Please note: All products are 'FOR RESEARCH USE ONLY. NOT FOR USE IN DIAGNOSTIC OR THERAPEUTIC PROCEDURES'.

For licensing inquiries, please contact partnerships@abcam.com