JavaScript is disabled in your browser. Please enable JavaScript to view this website.
AB214454

Anti-MSH6 antibody [EPR3945] - BSA and Azide free

  • BOND RX™ Validated
  • RabMAb
  • Recombinant
  • KO Validated
  • What is this?

Be the first to review this product! Submit a review

|

(9 Publications)

Rabbit Recombinant Monoclonal MSH6 antibody. Carrier free. Suitable for IHC-P, ICC/IF, WB and reacts with Rat, Human, Mouse samples. Cited in 9 publications.

View Alternative Names

GTBP, MSH6, DNA mismatch repair protein Msh6, hMSH6, G/T mismatch-binding protein, MutS protein homolog 6, MutS-alpha 160 kDa subunit, GTMBP, p160

14 Images
Immunohistochemistry (Formalin/PFA-fixed paraffin-embedded sections) - Anti-MSH6 antibody [EPR3945] - BSA and Azide free (AB214454)
  • IHC-P

Lab

Immunohistochemistry (Formalin/PFA-fixed paraffin-embedded sections) - Anti-MSH6 antibody [EPR3945] - BSA and Azide free (AB214454)

Tissue Microarrays stained for "Anti-MSH6 antibody [EPR3945]" using "ab92471"in immunohistochemical analysis. This table provides a detailed overview of positive (tick mark) and negative (cross mark) staining per sample type tested. The sections were pre-treated using Heat mediated antigen retrieval using Bond™ Epitope Retrieval Solution 2 (pH 9.0) for 20 minutes. The sections were incubated with ab92471 for 30 mins at room temperature followed by a ready to use Rabbit specific IHC polymer detection kit HRP/DAB (ab209101). The immunostaining was performed on a Leica Biosystems BOND® RX instrument.

Immunohistochemistry (Formalin/PFA-fixed paraffin-embedded sections) - Anti-MSH6 antibody [EPR3945] - BSA and Azide free (AB214454)
  • IHC-P

Lab

Immunohistochemistry (Formalin/PFA-fixed paraffin-embedded sections) - Anti-MSH6 antibody [EPR3945] - BSA and Azide free (AB214454)

Tissue Microarrays stained for "Anti-MSH6 antibody [EPR3945]" using "ab92471"in immunohistochemical analysis. This table provides a detailed overview of positive (tick mark) and negative (cross mark) staining per sample type tested. The sections were pre-treated using Heat mediated antigen retrieval using Bond™ Epitope Retrieval Solution 2 (pH 9.0) for 20 minutes. The sections were incubated with ab92471 for 30 mins at room temperature followed by a ready to use Rabbit specific IHC polymer detection kit HRP/DAB (ab209101). The immunostaining was performed on a Leica Biosystems BOND® RX instrument.

Immunohistochemistry (Formalin/PFA-fixed paraffin-embedded sections) - Anti-MSH6 antibody [EPR3945] - BSA and Azide free (AB214454)
  • IHC-P

Unknown

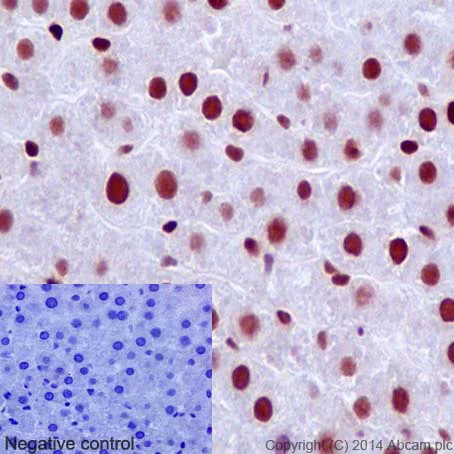
Immunohistochemistry (Formalin/PFA-fixed paraffin-embedded sections) - Anti-MSH6 antibody [EPR3945] - BSA and Azide free (AB214454)

Immunohistochemical staining of paraffin embedded rat liver with purified ab92471 at a dilution of 1/500. A pre-diluted HRP polymer for rabbit/mouse IgG was used as the secondary antibody and the sample was counter-stained with hematoxylin. Antigen retrieval was perfomed using Tris-EDTA buffer, pH 9.0. PBS was used instead of the primary antibody as the negative control, and is shown in the inset.

This data was developed using the same antibody clone in a different buffer formulation containing PBS, BSA, glycerol, and sodium azide (ab92471).

Immunohistochemistry (Formalin/PFA-fixed paraffin-embedded sections) - Anti-MSH6 antibody [EPR3945] - BSA and Azide free (AB214454)
  • IHC-P

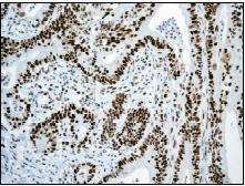
Unknown

Immunohistochemistry (Formalin/PFA-fixed paraffin-embedded sections) - Anti-MSH6 antibody [EPR3945] - BSA and Azide free (AB214454)

Immunohistochemical staining of paraffin embedded human colon with unpurified ab92471 at a dilution of 1/500. A pre-diluted HRP polymer for rabbit/mouse IgG was used as the secondary antibody and the sample was counter-stained with hematoxylin. Antigen retrieval was perfomed using Tris-EDTA buffer, pH 9.0. PBS was used instead of the primary antibody as the negative control, and is shown in the inset.

This data was developed using the same antibody clone in a different buffer formulation containing PBS, BSA, glycerol, and sodium azide (ab92471).

Immunohistochemistry (Formalin/PFA-fixed paraffin-embedded sections) - Anti-MSH6 antibody [EPR3945] - BSA and Azide free (AB214454)
  • IHC-P

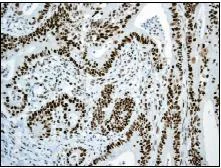
Unknown

Immunohistochemistry (Formalin/PFA-fixed paraffin-embedded sections) - Anti-MSH6 antibody [EPR3945] - BSA and Azide free (AB214454)

Unpurified ab92471, at a 1/100 dilution, detecting MSH6 in paraffin embedded Human colonic adenocarcinoma tissue by immunohistochemistry. Detection used HRP conjugated anti rabbit antibody.

Perform heat mediated antigen retrieval before commencing with IHC staining protocol.

This data was developed using the same antibody clone in a different buffer formulation containing PBS, BSA, glycerol, and sodium azide (ab92471).

Immunocytochemistry/ Immunofluorescence - Anti-MSH6 antibody [EPR3945] - BSA and Azide free (AB214454)
  • ICC/IF

Unknown

Immunocytochemistry/ Immunofluorescence - Anti-MSH6 antibody [EPR3945] - BSA and Azide free (AB214454)

ab92471 staining MSH6 in HeLa cells. The cells were fixed with 4% formaldehyde (10min), permeabilized with 0.1% Triton X-100 for 5 minutes and then blocked with 1% BSA/10% normal goat serum/0.3M glycine in 0.1% PBS-Tween for 1h. The cells were then incubated with ab92471 at 1μg/ml and ab195889 at 1/250 dilution (shown in pseudocolour red) overnight at +4°C, followed by a further incubation at room temperature for 1h with a goat secondary antibody to Rabbit IgG (Alexa Fluor® 488) (ab150081) at 2 μg/ml (shown in green). Nuclear DNA was labelled in blue with DAPI.

Image was taken with a confocal microscope (Leica-Microsystems, TCS SP8).

This data was developed using the same antibody clone in a different buffer formulation containing PBS, BSA, glycerol, and sodium azide (ab92471).

Immunocytochemistry/ Immunofluorescence - Anti-MSH6 antibody [EPR3945] - BSA and Azide free (AB214454)
  • ICC/IF

Unknown

Immunocytochemistry/ Immunofluorescence - Anti-MSH6 antibody [EPR3945] - BSA and Azide free (AB214454)

ab92471 staining MSH6 in wild-type HAP1 cells (top panel) and MSH6 knockout HAP1 cells (bottom panel). The cells were fixed with 4% formaldehyde (10min), permeabilized with 0.1% Triton X-100 for 5 minutes and then blocked with 1% BSA/10% normal goat serum/0.3M glycine in 0.1% PBS-Tween for 1h. The cells were then incubated with ab92471 at 1μg/ml and ab195889 at 1/250 dilution (shown in pseudocolour red) overnight at +4°C, followed by a further incubation at room temperature for 1h with a goat secondary antibody to Rabbit IgG (Alexa Fluor® 488) (ab150081) at 2 μg/ml (shown in green). Nuclear DNA was labelled in blue with DAPI.

Image was taken with a confocal microscope (Leica-Microsystems, TCS SP8).

This data was developed using the same antibody clone in a different buffer formulation containing PBS, BSA, glycerol, and sodium azide (ab92471).

Immunocytochemistry/ Immunofluorescence - Anti-MSH6 antibody [EPR3945] - BSA and Azide free (AB214454)
  • ICC/IF

AbReview29265****

Immunocytochemistry/ Immunofluorescence - Anti-MSH6 antibody [EPR3945] - BSA and Azide free (AB214454)

Unpurified ab92471 (1/500) staining MSH6 in asynchronous HeLa cells (green). Cells were fixed in paraformaldehyde, permeabilised with 0.5% Triton X100/PBS and counterstained with DAPI in order to highlight the nucleus (red). For further experimental details please see abreview.

This data was developed using the same antibody clone in a different buffer formulation containing PBS, BSA, glycerol, and sodium azide (ab92471).

Image courtesy of an abreview submitted by Dr. Kirk McManus, Univ. of Manitoba/Cancer Care MICB, Canada

Immunocytochemistry/ Immunofluorescence - Anti-MSH6 antibody [EPR3945] - BSA and Azide free (AB214454)
  • ICC/IF

Lab

Immunocytochemistry/ Immunofluorescence - Anti-MSH6 antibody [EPR3945] - BSA and Azide free (AB214454)

Clone EPR3945 (ab214454) has been successfully conjugated by Abcam. This image was generated using Anti-MSH6 antibody [EPR3945] (Alexa Fluor® 647). Please refer to ab198334 for protocol details.

ab198334 staining MSH6 in HeLa cells. The cells were fixed with 4% formaldehyde (10 min), permeabilized with 0.1% Triton X-100 for 5 minutes and then blocked with 1% BSA/10% normal goat serum/0.3M glycine in 0.1% PBS-Tween for 1h. The cells were then incubated overnight at +4°C with ab198334 at 1/100 dilution (shown in red) and ab195887, Mouse monoclonal to alpha Tubulin (Alexa Fluor® 488), at 1/250 dilution (shown in green). Nuclear DNA was labelled with DAPI (shown in blue).

Image was taken with a confocal microscope (Leica-Microsystems, TCS SP8).

This product also gave a positive signal under the same testing conditions in HeLa cells fixed with 100% methanol (5min).

Western blot - Anti-MSH6 antibody [EPR3945] - BSA and Azide free (AB214454)
  • WB

Lab

Western blot - Anti-MSH6 antibody [EPR3945] - BSA and Azide free (AB214454)

This data was developed using the same antibody clone in a different buffer formulation (ab92471).

Lanes 1- 2 : Merged signal (red and green). Green - ab92471 observed at 160 kDa. Red - Anti-Vinculin antibody [VIN-54] observed at 124 kDa.

ab92471 was shown to react with MSH6 in wild-type HeLa cells in western blot. Loss of signal was observed when knockout cell line ab255410 (knockout cell lysate ab263763) was used. Wild-type HeLa and MSH6 knockout HeLa cell lysates were subjected to SDS-PAGE. Membrane was blocked for 1 hour at room temperature in 0.1% TBST with 3% non-fat dried milk. ab92471 and Anti-Vinculin antibody [VIN-54] overnight at 4°C at a 1 in 1000 dilution and a 1 in 20000 dilution respectively. Blots were developed with Goat anti-Rabbit IgG H&L (IRDye®800CW) preadsorbed (ab216773) and Goat anti-Mouse IgG H&L (IRDye®680RD) preadsorbed (ab216776) secondary antibodies at 1 in 20000 dilution for 1 hour at room temperature before imaging.

All lanes:

Western blot - Anti-MSH6 antibody [EPR3945] (<a href='/en-us/products/primary-antibodies/msh6-antibody-epr3945-ab92471'>ab92471</a>) at 1/1000 dilution

Lane 1:

Wild-type HeLa cell lysate at 20 µg

Lane 2:

MSH6 knockout HeLa cell lysate at 20 µg

Lane 2:

Western blot - Human MSH6 knockout HeLa cell line (<a href='/en-us/products/cell-lines/human-msh6-knockout-hela-cell-line-ab255410'>ab255410</a>)

Predicted band size: 153 kDa

Observed band size: 160 kDa

false

Western blot - Anti-MSH6 antibody [EPR3945] - BSA and Azide free (AB214454)
  • WB

Lab

Western blot - Anti-MSH6 antibody [EPR3945] - BSA and Azide free (AB214454)

This data was developed using ab92471, the same antibody clone in a different buffer formulation. Different batches of ab92471 were tested on Rat brain lysate at 0.2 µg/ml. 15 µg of lysate was loaded in each lane. Bands observed at 160 kDa.

All lanes:

Western blot - Anti-MSH6 antibody [EPR3945] (<a href='/en-us/products/primary-antibodies/msh6-antibody-epr3945-ab92471'>ab92471</a>)

Predicted band size: 153 kDa

false

OI-RD Scanning - Anti-MSH6 antibody [EPR3945] - BSA and Azide free (AB214454)
  • OI-RD Scanning

Unknown

OI-RD Scanning - Anti-MSH6 antibody [EPR3945] - BSA and Azide free (AB214454)

We have systematically measured KD (the equilibrium dissociation constant between the antibody and its antigen), of more than 840 recombinant antibodies to assess not only their individual KD values but also to see the average affinity of antibody. Based on the comparison with published literature values for mouse monoclonal antibodies, Recombinant antibodies appear to be on average 1-2 order of magnitude higher affinity.

Immunohistochemistry (Formalin/PFA-fixed paraffin-embedded sections) - Anti-MSH6 antibody [EPR3945] - BSA and Azide free (AB214454)
  • IHC-P

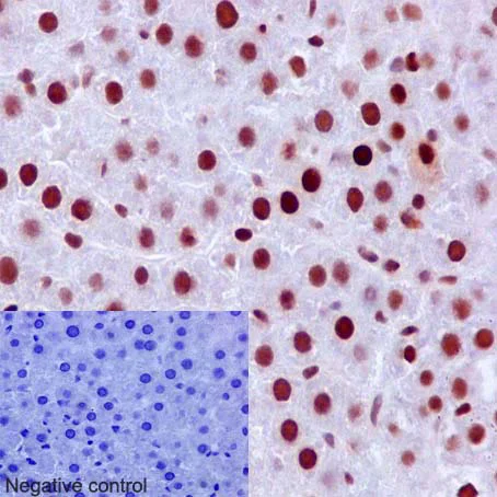
Unknown

Immunohistochemistry (Formalin/PFA-fixed paraffin-embedded sections) - Anti-MSH6 antibody [EPR3945] - BSA and Azide free (AB214454)

Immunohistochemical staining of paraffin embedded rat liver with unpurified ab92471 at a dilution of 1/150. A pre-diluted HRP polymer for rabbit/mouse IgG was used as the secondary antibody and the sample was counter-stained with hematoxylin. Antigen retrieval was perfomed using Tris-EDTA buffer, pH 9.0. PBS was used instead of the primary antibody as the negative control, and is shown in the inset.

This data was developed using the same antibody clone in a different buffer formulation containing PBS, BSA, glycerol, and sodium azide (ab92471).

Immunohistochemistry (Formalin/PFA-fixed paraffin-embedded sections) - Anti-MSH6 antibody [EPR3945] - BSA and Azide free (AB214454)
  • IHC-P

Unknown

Immunohistochemistry (Formalin/PFA-fixed paraffin-embedded sections) - Anti-MSH6 antibody [EPR3945] - BSA and Azide free (AB214454)

Immunohistochemical staining of paraffin embedded human colon with unpurified ab92471 at a dilution of 1/150. A pre-diluted HRP polymer for rabbit/mouse IgG was used as the secondary antibody and the sample was counter-stained with hematoxylin. Antigen retrieval was perfomed using Tris-EDTA buffer, pH 9.0. PBS was used instead of the primary antibody as the negative control, and is shown in the inset.

This data was developed using the same antibody clone in a different buffer formulation containing PBS, BSA, glycerol, and sodium azide (ab92471).

Key facts

Host species

Rabbit

Clonality

Monoclonal

Clone number

EPR3945

Isotype

IgG

Carrier free

Yes

Reacts with

Mouse, Rat, Human

Applications

WB, IHC-P, ICC/IF

applications

Immunogen

The exact immunogen used to generate this antibody is proprietary information.

Reactivity data

{ "title": "Reactivity Data", "filters": { "stats": ["", "Species", "Dilution Info", "Notes"], "tabs": { "all-applications": {"fullname" : "All Applications", "shortname": "All Applications"}, "IHCP" : {"fullname" : "Immunohistochemistry (Formalin/PFA-fixed paraffin-embedded sections)", "shortname":"IHC-P"}, "ICCIF" : {"fullname" : "Immunocytochemistry/ Immunofluorescence", "shortname":"ICC/IF"}, "WB" : {"fullname" : "Western blot", "shortname":"WB"} }, "product-promise": { "all": "all", "testedAndGuaranteed": "tested", "guaranteed": "expected", "predicted": "predicted", "notRecommended": "not-recommended" } }, "values": { "Human": { "IHCP-species-checked": "testedAndGuaranteed", "IHCP-species-dilution-info": "", "IHCP-species-notes": "<p></p> Perform heat-mediated antigen retrieval before commencing with IHC staining protocol.", "ICCIF-species-checked": "testedAndGuaranteed", "ICCIF-species-dilution-info": "", "ICCIF-species-notes": "<p></p>", "WB-species-checked": "testedAndGuaranteed", "WB-species-dilution-info": "", "WB-species-notes": "<p></p>" }, "Mouse": { "IHCP-species-checked": "guaranteed", "IHCP-species-dilution-info": "", "IHCP-species-notes": "<p></p> Perform heat-mediated antigen retrieval before commencing with IHC staining protocol.", "ICCIF-species-checked": "guaranteed", "ICCIF-species-dilution-info": "", "ICCIF-species-notes": "<p></p>", "WB-species-checked": "guaranteed", "WB-species-dilution-info": "", "WB-species-notes": "<p></p>" }, "Rat": { "IHCP-species-checked": "testedAndGuaranteed", "IHCP-species-dilution-info": "", "IHCP-species-notes": "<p></p> Perform heat-mediated antigen retrieval before commencing with IHC staining protocol.", "ICCIF-species-checked": "guaranteed", "ICCIF-species-dilution-info": "", "ICCIF-species-notes": "", "WB-species-checked": "testedAndGuaranteed", "WB-species-dilution-info": "", "WB-species-notes": "<p></p>" } } }

Product details

ab214454 is the carrier-free version of ab92471.

Patented technology
Our RabMAb® technology is a patented hybridoma-based technology for making rabbit monoclonal antibodies. For details on our patents, please refer to RabMAb® patents.

What are the advantages of a recombinant monoclonal antibody?
This product is a recombinant monoclonal antibody, which offers several advantages including:

  • - High batch-to-batch consistency and reproducibility
  • - Improved sensitivity and specificity
  • - Long-term security of supply
  • - Animal-free batch production

For more information, read more on recombinant antibodies.

Conjugation ready
Our carrier-free antibodies are typically supplied in a PBS-only formulation, purified and free of BSA, sodium azide and glycerol. This conjugation-ready format is designed for use with fluorochromes, metal isotopes, oligonucleotides, and enzymes, which makes them ideal for antibody labelling, functional and cell-based assays, flow-based assays (e.g. mass cytometry) and Multiplex Imaging applications.

Use our conjugation kits for antibody conjugates that are ready-to-use in as little as 20 minutes with 1 minute hands-on-time and 100% antibody recovery: available for fluorescent dyes, HRP, biotin and gold.

Compatibility
This product is compatible with the Maxpar® Antibody Labeling Kit from Fluidigm, without the need for antibody preparation. Maxpar® is a trademark of Fluidigm Canada Inc.

Properties and storage information

Form
Liquid
Purification technique
Affinity purification Protein A
Storage buffer
pH: 7.2 - 7.4 Constituents: PBS
Shipped at conditions
Blue Ice
Appropriate short-term storage conditions
+4°C
Appropriate long-term storage conditions
+4°C
Storage information
Do Not Freeze

Supplementary information

This supplementary information is collated from multiple sources and compiled automatically.

MSH6 also known as MutS Homolog 6 is a DNA repair protein that plays a role in the mismatch repair (MMR) system. It has a molecular mass of approximately 136 kDa. MSH6 forms a heterodimer with MSH2 called MutSα and this complex identifies base-pair mismatches and insertion-deletion loops during DNA replication. It is expressed in various tissues throughout the body and high levels are often found in proliferative tissues where active DNA replication occurs.
Biological function summary

MSH6 functions as part of the MMR complex which is essential for maintaining genomic stability. The MutSα complex where MSH6 pairs with MSH2 operates along with other proteins in the MMR pathway to correct DNA replication errors. MSH6 is also known to interact with PCNA a DNA polymerase processivity factor which facilitates its role in the repair process.

Pathways

MSH6 participates prominently in the DNA mismatch repair pathway. This pathway is critical for correcting DNA errors and preventing mutations during replication. In association with MLH1-PMS2 (MutLα complex) MSH6 ensures that DNA integrity is preserved. Additionally MSH6 is involved in the base excision repair (BER) pathway where it collaborates with other repair proteins to fix small base lesions.

MSH6 has a significant connection with Lynch syndrome also known as hereditary nonpolyposis colorectal cancer (HNPCC). This condition is characterized by germline mutations in MMR genes including MSH6 leading to increased cancer risk particularly in the colon. Moreover alterations in MSH6 can contribute to microsatellite instability a feature seen in certain types of endometrial cancer. Mutations in MSH2 often accompany MSH6 mutations in these disorders further impacting the MMR pathway's efficiency.

Product protocols

For this product, it's our understanding that no specific protocols are required. You can visit:

Target data

Component of the post-replicative DNA mismatch repair system (MMR). Heterodimerizes with MSH2 to form MutS alpha, which binds to DNA mismatches thereby initiating DNA repair. When bound, MutS alpha bends the DNA helix and shields approximately 20 base pairs, and recognizes single base mismatches and dinucleotide insertion-deletion loops (IDL) in the DNA. After mismatch binding, forms a ternary complex with the MutL alpha heterodimer, which is thought to be responsible for directing the downstream MMR events, including strand discrimination, excision, and resynthesis. ATP binding and hydrolysis play a pivotal role in mismatch repair functions. The ATPase activity associated with MutS alpha regulates binding similar to a molecular switch : mismatched DNA provokes ADP-->ATP exchange, resulting in a discernible conformational transition that converts MutS alpha into a sliding clamp capable of hydrolysis-independent diffusion along the DNA backbone. This transition is crucial for mismatch repair. MutS alpha may also play a role in DNA homologous recombination repair. Recruited on chromatin in G1 and early S phase via its PWWP domain that specifically binds trimethylated 'Lys-36' of histone H3 (H3K36me3) : early recruitment to chromatin to be replicated allowing a quick identification of mismatch repair to initiate the DNA mismatch repair reaction.
See full target information MSH6

Publications (9)

Recent publications for all applications. Explore the full list and refine your search

Modern pathology : an official journal of the Unit 28:268-78 PubMed25081749

2014

Aberrant expression of annexin A10 is closely related to gastric phenotype in serrated pathway to colorectal carcinoma.

Applications

Unspecified application

Species

Unspecified reactive species

Jia-Huei Tsai,Yu-Lin Lin,Yi-Chen Cheng,Chien-Chuan Chen,Liang-In Lin,Li-Hui Tseng,Mei-Ling Cheng,Jau-Yu Liau,Yung-Ming Jeng

Diagnostic pathology 9:126 PubMed24968821

2014

Heterogenous mismatch-repair status in colorectal cancer.

Applications

IHC-P

Species

Human

Patrick Joost,Nynke Veurink,Susanne Holck,Louise Klarskov,Anders Bojesen,Maria Harbo,Bo Baldetorp,Eva Rambech,Mef Nilbert

Modern pathology : an official journal of the Unit 27:1375-85 PubMed24603588

2014

Traditional serrated adenoma has two pathways of neoplastic progression that are distinct from the sessile serrated pathway of colorectal carcinogenesis.

Applications

Unspecified application

Species

Unspecified reactive species

Jia-Huei Tsai,Jau-Yu Liau,Yu-Lin Lin,Liang-In Lin,Yi-Chen Cheng,Mei-Ling Cheng,Yung-Ming Jeng

BMC clinical pathology 13:33 PubMed24341444

2013

Efficient and reproducible identification of mismatch repair deficient colon cancer: validation of the MMR index and comparison with other predictive models.

Applications

IHC

Species

Human

Patrick Joost,Pär-Ola Bendahl,Britta Halvarsson,Eva Rambech,Mef Nilbert

Cancer research 74:446-59 PubMed24322981

2013

Immune chaperone gp96 drives the contributions of macrophages to inflammatory colon tumorigenesis.

Applications

Unspecified application

Species

Mouse

Crystal Morales,Saleh Rachidi,Feng Hong,Shaoli Sun,Xinshou Ouyang,Caroline Wallace,Yongliang Zhang,Elizabeth Garret-Mayer,Jennifer Wu,Bei Liu,Zihai Li

Gynecologic oncology 131:309-14 PubMed23938375

2013

MMR deficiency is common in high-grade endometrioid carcinomas and is associated with an unfavorable outcome.

Applications

ICC/IF

Species

Human

Gregg S Nelson,Aaron Pink,Sandra Lee,Guangming Han,Don Morris,Travis Ogilvie,Máire A Duggan,Martin Köbel

PloS one 8:e67911 PubMed23861829

2013

Early assessment of the efficacy of temozolomide chemotherapy in experimental glioblastoma using [18F]FLT-PET imaging.

Applications

WB

Species

Human

Thomas Viel,Sonja Schelhaas,Stefan Wagner,Lydia Wachsmuth,Katrin Schwegmann,Michael Kuhlmann,Cornelius Faber,Klaus Kopka,Michael Schäfers,Andreas H Jacobs

British journal of cancer 106:931-8 PubMed22333599

2012

A cohort study of the prognostic and treatment predictive value of SATB2 expression in colorectal cancer.

Applications

Unspecified application

Species

Unspecified reactive species

J Eberhard,A Gaber,S Wangefjord,B Nodin,M Uhlén,K Ericson Lindquist,K Jirström

Oncology 78:103-14 PubMed20357518

2010

Acquired resistance to temozolomide in glioma cell lines: molecular mechanisms and potential translational applications.

Applications

WB

Species

Human

Jihong Zhang,Malcolm F G Stevens,Charles A Laughton,Srinivasan Madhusudan,Tracey D Bradshaw
View all publications

Product promise

We are committed to supporting your work with high-quality reagents, and we're here for you every step of the way. In the unlikely event that one of our products does not perform as expected, you're protected by our Product Promise.
For full details, please see our Terms & Conditions

Associated Products

Select an associated product type
Alternative Product
Primary Antibodies

AB259431

Anti-MSH6 antibody [MSH6/3086] - BSA and Azide free

primary-antibodies

msh6-antibody-msh6-3086-bsa-and-azide-free-ab259431

0

(0 reviews)

Alternative Product
Primary Antibodies

AB99889

Anti-MSH6 antibody [SP93]

primary-antibodies

msh6-antibody-sp93-ab99889

0

(0 reviews)

Alternative Product
Primary Antibodies

AB208940

Anti-MSH6 antibody [EPR20316]

primary-antibodies

msh6-antibody-epr20316-ab208940

0

(0 reviews)

Alternative Product
Primary Antibodies

AB238805

Anti-MSH6 antibody [SP93] - BSA and Azide free

primary-antibodies

msh6-antibody-sp93-bsa-and-azide-free-ab238805

0

(0 reviews)

Alternative Product
Primary Antibodies

AB14204

Anti-MSH6 antibody [44]

primary-antibodies

msh6-antibody-44-ab14204

4

(2 reviews)

Alternative Product
Primary Antibodies

AB10340

Anti-MSH6 antibody

primary-antibodies

msh6-antibody-ab10340

0

(0 reviews)

Alternative Version
Primary Antibodies

AB198334

Alexa Fluor® 647 Anti-MSH6 antibody [EPR3945]

primary-antibodies

alexa-fluor-647-msh6-antibody-epr3945-ab198334

3

(2 reviews)

Alternative Version
Primary Antibodies

AB311771

Alexa Fluor® 594 Anti-MSH6 antibody [EPR3945]

primary-antibodies

alexa-fluor-594-msh6-antibody-epr3945-ab311771

0

(0 reviews)

Alternative Version
Primary Antibodies

AB313252

Alexa Fluor® 555 Anti-MSH6 antibody [EPR3945]

primary-antibodies

alexa-fluor-555-msh6-antibody-epr3945-ab313252

0

(0 reviews)

Please note: All products are 'FOR RESEARCH USE ONLY. NOT FOR USE IN DIAGNOSTIC OR THERAPEUTIC PROCEDURES'.

For licensing inquiries, please contact partnerships@abcam.com