JavaScript is disabled in your browser. Please enable JavaScript to view this website.
AB307197

Anti-mSin3a antibody [EPR27103-53]

  • 20ul selling size
  • RabMAb
  • Recombinant
  • KO Validated
  • What is this?

Be the first to review this product! Submit a review

|

(2 Publications)

Rabbit Recombinant Monoclonal mSin3A antibody. Suitable for IP, Flow Cyt (Intra), WB and reacts with Human, Rat, Mouse samples. Cited in 2 publications.

View Alternative Names

Paired amphipathic helix protein Sin3a, Histone deacetylase complex subunit Sin3a, Transcriptional corepressor Sin3a, SIN3A

7 Images
Flow Cytometry (Intracellular) - Anti-mSin3a antibody [EPR27103-53] (AB307197)
  • Flow Cyt (Intra)

Supplier Data

Flow Cytometry (Intracellular) - Anti-mSin3a antibody [EPR27103-53] (AB307197)

Flow cytometric analysis of 4% paraformaldehyde fixed 90% methanol permeabilized Wild-type HAP1 (human chronic myelogenous leukemia near-haploid cell) (Right panel) compared to mSin3A knockout HAP1 (Left panel) cells labeling mSin3A with ab307197 at 1/500 dilution (0.1ug) (Red) compared with a Rabbit monoclonal IgG (ab172730) (Black) isotype control and an unlabeled control (cells without incubation with primary antibody and secondary antibody) (Blue). A Goat Anti-Rabbit IgG (Alexa Fluor® 488, ab150081) at 1/2000 dilution was used as the secondary antibody.

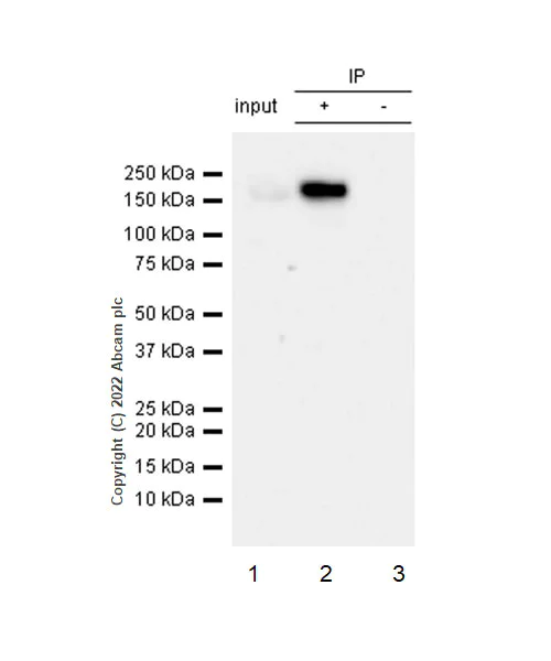
Immunoprecipitation - Anti-mSin3a antibody [EPR27103-53] (AB307197)
  • IP

Supplier Data

Immunoprecipitation - Anti-mSin3a antibody [EPR27103-53] (AB307197)

mSin3A was immunoprecipitated from 0.35 mg HAP1 (human chronic myelogenous leukemia near-haploid cell) whole cell lysate 10 µg with ab307197 at 1/30 dilution (2ug in 0.35mg lysates). Western blot was performed on the immunoprecipitate using ab307197 at 1/1000 dilution. VeriBlot for IP secondary antibody(HRP)(ab131366) was used at 1/5000 dilution. Lane 1 : HAP1 whole cell lysate 10 µg Lane 2 : ab307197 IP in HAP1 whole cell lysate 10 ug Lane 3 : Rabbit monoclonal IgG (ab172730) instead of ab307197 in HAP1 cell lysate Blocking and dilution buffer and concentration : 5% NFDM/TBST. Exposure time : 6 seconds.

All lanes:

Immunoprecipitation - Anti-mSin3a antibody [EPR27103-53] (ab307197) at 1/1000 dilution

All lanes:

HAP1 whole cell lysate at 10 µg

Secondary

All lanes:

Immunoprecipitation - VeriBlot for IP Detection Reagent (HRP) (<a href='/en-us/products/reagents/veriblot-for-ip-detection-reagent-hrp-ab131366'>ab131366</a>) at 1/5000 dilution

Observed band size: 170 kDa

false

Exposure time: 6s

Flow Cytometry (Intracellular) - Anti-mSin3a antibody [EPR27103-53] (AB307197)
  • Flow Cyt (Intra)

Supplier Data

Flow Cytometry (Intracellular) - Anti-mSin3a antibody [EPR27103-53] (AB307197)

Flow cytometric analysis of 4% paraformaldehyde fixed 90% methanol permeabilized F9 (mouse embryonal carcinoma epithelial cell) cells labeling mSin3A with ab307197 at 1/500 dilution (0.1ug) (Red) (Red) compared with a Rabbit monoclonal IgG (ab172730) (Black) isotype control and an unlabeled control (cells without incubation with primary antibody and secondary antibody) (Blue). A Goat Anti-Rabbit IgG (Alexa Fluor® 488, ab150081) at 1/2000 dilution was used as the secondary antibody.

Western blot - Anti-mSin3a antibody [EPR27103-53] (AB307197)
  • WB

Supplier Data

Western blot - Anti-mSin3a antibody [EPR27103-53] (AB307197)

Blocking and diluting buffer and concentration : 5% NFDM/TBST. The identity of the bands below 75 kDa are unknown. The blot was developed using a higher sensitivity ECL substrate. Exposure time : 180 seconds.

All lanes:

Western blot - Anti-mSin3a antibody [EPR27103-53] (ab307197) at 1/1000 dilution

Lane 1:

Human testis tissue lysate at 20 µg

Lane 2:

Mouse testis tissue lysate at 20 µg

Lane 3:

K-562 whole cell lysate at 20 µg

Lane 4:

293T whole cell lysate at 20 µg

Lane 5:

F9 whole cell lysate at 20 µg

Secondary

All lanes:

Western blot - Goat Anti-Rabbit IgG H&L (HRP) (<a href='/en-us/products/secondary-antibodies/goat-rabbit-igg-h-l-hrp-ab97051'>ab97051</a>) at 1/100000 dilution

Observed band size: 170 kDa

true

Exposure time: 180s

Western blot - Anti-mSin3a antibody [EPR27103-53] (AB307197)
  • WB

Supplier Data

Western blot - Anti-mSin3a antibody [EPR27103-53] (AB307197)

Blocking and diluting buffer and concentration : Intercept® (TBS) Blocking Buffer diluted with an equal volume of 0.1% TBS. Lysates at 20 µg per lane. The samples were run on a Bis-Tris gel. Performed under reducing conditions. False colour image of Western blot : Anti-mSin3A antibody (ab307197) staining at 1/1000 dilution, shown in green; Mouse anti-GAPDH antibody 6C5 (ab8245) loading control staining at 1/20000 dilution, shown in red. In Western blot, ab307197 was shown to bind specifically to mSin3A. A band was observed at 170 kDa in wild-type HAP1 cell lysates with no signal observed at this size in mSin3A knockout cell line. To generate this image, wild-type and mSin3A knockout HAP1 cell lysates were analyzed. First, samples were run on an SDS-PAGE gel then transferred onto an immobilon-FL PVDF membrane. Membranes were blocked in in Intercept® (TBS) Blocking Buffer diluted with an equal volume of 0.1% TBS before incubation with primary antibodies overnight at 4°C. Blots were washed four times in TBS-T, incubated with secondary antibodies for 1 h at room temperature, washed again four times then imaged. Secondary antibodies used were Goat anti-Rabbit IgG H&L (IRDye® 800CW) preabsorbed (ab216773) and Goat anti-Mouse IgG H&L (IRDye® 680RD) preabsorbed (ab216776) at 1/20000 dilution.

All lanes:

Western blot - Anti-mSin3a antibody [EPR27103-53] (ab307197) at 1/1000 dilution

Lane 1:

Wild-type HAP1 whole cell lysate at 20 µg

Lane 2:

mSin3A knockout HAP1 whole cell lysate at 20 µg

Lane 3:

HeLa whole cell lysate at 20 µg

Secondary

Lanes 1 - 3:

Western blot - Goat anti-Mouse IgG H&L (IRDye® 680RD) preadsorbed (<a href='/en-us/products/secondary-antibodies/goat-mouse-igg-h-l-irdye-680rd-preadsorbed-ab216776'>ab216776</a>) at 1/20000 dilution

Lanes 1 - 3:

Western blot - Goat anti-Rabbit IgG H&L (IRDye® 800CW) preadsorbed (<a href='/en-us/products/secondary-antibodies/goat-rabbit-igg-h-l-irdye-800cw-preadsorbed-ab216773'>ab216773</a>) at 1/20000 dilution

Observed band size: 170 kDa

false

Western blot - Anti-mSin3a antibody [EPR27103-53] (AB307197)
  • WB

Lab

Western blot - Anti-mSin3a antibody [EPR27103-53] (AB307197)

Blocking and diluting buffer and concentration : 5% NFDM/TBST.

All lanes:

Western blot - Anti-mSin3a antibody [EPR27103-53] (ab307197) at 1/1000 dilution

Lane 1:

K-562 (Human chronic myelogenous leukemia lymphoblast) whole cell lysate at 20 µg

Lane 2:

Human testis tissue lysate at 20 µg

Secondary

All lanes:

Goat Anti-Rabbit IgG (HRP) with minimal cross-reactivity with human IgG at 1/2000 dilution

Observed band size: 170 kDa

false

Exposure time: 40s

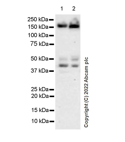
Western blot - Anti-mSin3a antibody [EPR27103-53] (AB307197)
  • WB

Supplier Data

Western blot - Anti-mSin3a antibody [EPR27103-53] (AB307197)

Blocking and diluting buffer and concentration : 5% NFDM/TBST.

The identity of the bands below 75 kDa are unknown.

This blot was developed using a high sensitivity ECL substrate. The high-sensitivity ECL substrate used allows for the detection of proteins in the mid-femtogram range.

All lanes:

Western blot - Anti-mSin3a antibody [EPR27103-53] (ab307197) at 1/1000 dilution

Lane 1:

C6 whole cell lysate at 20 µg

Lane 2:

RAW264.7 whole cell lysate at 20 µg

Secondary

All lanes:

Western blot - Goat Anti-Rabbit IgG H&L (HRP) (<a href='/en-us/products/secondary-antibodies/goat-rabbit-igg-h-l-hrp-ab97051'>ab97051</a>) at 1/100000 dilution

Observed band size: 170 kDa

true

Exposure time: 180s

Key facts

Host species

Rabbit

Clonality

Monoclonal

Clone number

EPR27103-53

Isotype

IgG

Carrier free

No

Reacts with

Human, Mouse, Rat

Applications

Flow Cyt (Intra), WB, IP

applications

Immunogen

The exact immunogen used to generate this antibody is proprietary information.

Reactivity data

{ "title": "Reactivity Data", "filters": { "stats": ["", "Species", "Dilution Info", "Notes"], "tabs": { "all-applications": {"fullname" : "All Applications", "shortname": "All Applications"}, "ChIP" : {"fullname" : "ChIP", "shortname":"ChIP"}, "IP" : {"fullname" : "Immunoprecipitation", "shortname":"IP"}, "FlowCytIntra" : {"fullname" : "Flow Cytometry (Intracellular)", "shortname":"Flow Cyt (Intra)"}, "ICCIF" : {"fullname" : "Immunocytochemistry/ Immunofluorescence", "shortname":"ICC/IF"}, "IHCP" : {"fullname" : "Immunohistochemistry (Formalin/PFA-fixed paraffin-embedded sections)", "shortname":"IHC-P"}, "WB" : {"fullname" : "Western blot", "shortname":"WB"} }, "product-promise": { "all": "all", "testedAndGuaranteed": "tested", "guaranteed": "expected", "predicted": "predicted", "notRecommended": "not-recommended" } }, "values": { "Human": { "ChIP-species-checked": "notRecommended", "ChIP-species-dilution-info": "", "ChIP-species-notes": "<p></p>", "IP-species-checked": "testedAndGuaranteed", "IP-species-dilution-info": "1/30", "IP-species-notes": "<p></p>", "FlowCytIntra-species-checked": "testedAndGuaranteed", "FlowCytIntra-species-dilution-info": "1/500", "FlowCytIntra-species-notes": "<p></p>", "ICCIF-species-checked": "notRecommended", "ICCIF-species-dilution-info": "", "ICCIF-species-notes": "<p></p>", "IHCP-species-checked": "notRecommended", "IHCP-species-dilution-info": "", "IHCP-species-notes": "<p></p> Perform heat-mediated antigen retrieval with Tris/EDTA buffer pH 9.0 before commencing with IHC staining protocol.", "WB-species-checked": "testedAndGuaranteed", "WB-species-dilution-info": "1/1000", "WB-species-notes": "<p></p>" }, "Mouse": { "ChIP-species-checked": "notRecommended", "ChIP-species-dilution-info": "", "ChIP-species-notes": "", "IP-species-checked": "notRecommended", "IP-species-dilution-info": "1/30", "IP-species-notes": "<p></p>", "FlowCytIntra-species-checked": "testedAndGuaranteed", "FlowCytIntra-species-dilution-info": "1/500", "FlowCytIntra-species-notes": "<p></p>", "ICCIF-species-checked": "notRecommended", "ICCIF-species-dilution-info": "", "ICCIF-species-notes": "<p></p>", "IHCP-species-checked": "notRecommended", "IHCP-species-dilution-info": "", "IHCP-species-notes": "<p></p> Perform heat-mediated antigen retrieval with Tris/EDTA buffer pH 9.0 before commencing with IHC staining protocol.", "WB-species-checked": "testedAndGuaranteed", "WB-species-dilution-info": "1/1000", "WB-species-notes": "<p></p>" }, "Rat": { "ChIP-species-checked": "notRecommended", "ChIP-species-dilution-info": "", "ChIP-species-notes": "", "IP-species-checked": "guaranteed", "IP-species-dilution-info": "", "IP-species-notes": "", "FlowCytIntra-species-checked": "guaranteed", "FlowCytIntra-species-dilution-info": "", "FlowCytIntra-species-notes": "", "ICCIF-species-checked": "notRecommended", "ICCIF-species-dilution-info": "", "ICCIF-species-notes": "", "IHCP-species-checked": "notRecommended", "IHCP-species-dilution-info": "", "IHCP-species-notes": "<p></p> Perform heat-mediated antigen retrieval with Tris/EDTA buffer pH 9.0 before commencing with IHC staining protocol.", "WB-species-checked": "testedAndGuaranteed", "WB-species-dilution-info": "1/1000", "WB-species-notes": "<p></p>" } } }

Product details

Patented technology
Our RabMAb® technology is a patented hybridoma-based technology for making rabbit monoclonal antibodies. For details on our patents, please refer to RabMAb® patents.

What are the advantages of a recombinant monoclonal antibody?
This product is a recombinant monoclonal antibody, which offers several advantages including:

  • - High batch-to-batch consistency and reproducibility
  • - Improved sensitivity and specificity
  • - Long-term security of supply
  • - Animal-free batch production

For more information, read more on recombinant antibodies.

Properties and storage information

Form
Liquid
Purification technique
Affinity purification Protein A
Storage buffer
pH: 7.2 - 7.4 Preservative: 0.01% Sodium azide Constituents: PBS, 40% Glycerol (glycerin, glycerine), 0.05% BSA
Shipped at conditions
Blue Ice
Appropriate short-term storage duration
1-2 weeks
Appropriate short-term storage conditions
+4°C
Appropriate long-term storage conditions
-20°C
Aliquoting information
Upon delivery aliquot
Storage information
Avoid freeze / thaw cycle

Supplementary information

This supplementary information is collated from multiple sources and compiled automatically.

MSin3A also known as Sin3A is a transcriptional corepressor that plays an important role in regulating gene expression. It weighs approximately 155 kDa. You can find mSin3A expressed in various tissues throughout the body. This protein does not bind DNA directly but associates with DNA-binding proteins to exert its effects. mSin3A functions mechanically by interacting with histone deacetylases (HDACs) leading to the remodeling of chromatin and repression of gene transcription.
Biological function summary

MSin3A acts to regulate gene silencing and is a component of the mSin3A/HDAC complex. This complex is involved in the control of cell cycle progression differentiation and apoptosis. In cellular processes mSin3A serves as a scaffold binding various proteins to create a platform for gene regulatory functions. Its role in recruiting HDACs to specific genomic locations aids in transcriptional repression affecting many biological processes.

Pathways

MSin3A plays significant roles in the Notch and p53 signaling pathways. These pathways are essential in controlling cell fate decisions and responses to stress. mSin3A partners with HDAC1 and HDAC2 within these pathways facilitating the deacetylation and repression of target genes. In the Notch signaling pathway mSin3A interacts with repressors like CSL while in the p53 pathway it influences p53-dependent transcriptional outcomes by modifying the chromatin state.

MSin3A shows connection to cancer and neurodegenerative diseases. In cancer mSin3A affects tumor suppression through its interaction with p53 playing a role in cell cycle arrest and apoptosis. In neurodegenerative diseases mSin3A deregulation may disrupt chromatin architecture impairing neuronal function. By targeting mSin3A and associated proteins like HDAC1 researchers explore potential therapeutic avenues for these diseases.

Product protocols

For this product, it's our understanding that no specific protocols are required. You can visit:

Target data

Acts as a transcriptional repressor. Corepressor for REST. Interacts with MXI1 to repress MYC responsive genes and antagonize MYC oncogenic activities. Also interacts with MXD1-MAX heterodimers to repress transcription by tethering SIN3A to DNA. Acts cooperatively with OGT to repress transcription in parallel with histone deacetylation. Involved in the control of the circadian rhythms. Required for the transcriptional repression of circadian target genes, such as PER1, mediated by the large PER complex through histone deacetylation. Cooperates with FOXK1 to regulate cell cycle progression probably by repressing cell cycle inhibitor genes expression (By similarity). Required for cortical neuron differentiation and callosal axon elongation (By similarity).
See full target information SIN3A

Publications (2)

Recent publications for all applications. Explore the full list and refine your search

Nature communications 16:617 PubMed39805831

2025

Oncogenic role of RARG rearrangements in acute myeloid leukemia resembling acute promyelocytic leukemia.

Applications

Unspecified application

Species

Unspecified reactive species

Feng Wang,Luyao Zhao,Yun Tan,Xufeng Cen,Huan Gao,Huimin Jiang,Ying Liu,Yunxuan Li,Tingting Zhang,Chenxi Zhao,Ting Shi,Guilin Xu,Churan Wang,Jiong Hu,Xia Li,Ya-Zhen Qin,Kankan Wang,Hong-Hu Zhu,Ke Li

Environmental toxicology 38:2545-2559 PubMed37471637

2023

Regulatory mechanism of RNA binding motif protein 15-mediated N methyladenosine modification in proliferation, invasion, and migration of colorectal cancer cells.

Applications

Unspecified application

Species

Unspecified reactive species

Jiangmu Chen
View all publications

Product promise

We are committed to supporting your work with high-quality reagents, and we're here for you every step of the way. In the unlikely event that one of our products does not perform as expected, you're protected by our Product Promise.
For full details, please see our Terms & Conditions

Please note: All products are 'FOR RESEARCH USE ONLY. NOT FOR USE IN DIAGNOSTIC OR THERAPEUTIC PROCEDURES'.

For licensing inquiries, please contact partnerships@abcam.com