JavaScript is disabled in your browser. Please enable JavaScript to view this website.
AB79499

Anti-MSK1 (phospho S212) antibody

Be the first to review this product! Submit a review

|

(2 Publications)

Rabbit Polyclonal MSK1 phospho S212 antibody. Suitable for WB, IHC-P and reacts with Mouse, Human samples. Cited in 2 publications. Immunogen corresponding to Synthetic Peptide within Human RPS6KA5 phospho S212.

View Alternative Names

MSK1, RPS6KA5, Ribosomal protein S6 kinase alpha-5, S6K-alpha-5, 90 kDa ribosomal protein S6 kinase 5, Nuclear mitogen- and stress-activated protein kinase 1, RSK-like protein kinase, RSKL

2 Images
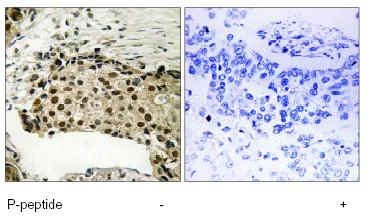
Immunohistochemistry (Formalin/PFA-fixed paraffin-embedded sections) - Anti-MSK1 (phospho S212) antibody (AB79499)
  • IHC-P

Unknown

Immunohistochemistry (Formalin/PFA-fixed paraffin-embedded sections) - Anti-MSK1 (phospho S212) antibody (AB79499)

Immunohistochemistry analysis of paraffin-embedded human breast carcinoma tissue, stained with ab79499, at 1/100 dilution, in the absence and presence of the immunising peptide

Western blot - Anti-MSK1 (phospho S212) antibody (AB79499)
  • WB

Unknown

Western blot - Anti-MSK1 (phospho S212) antibody (AB79499)

All lanes:

Western blot - Anti-MSK1 (phospho S212) antibody (ab79499) at 1/1000 dilution

Lane 1:

extracts from 3T3 cells (treated with EGF at 200ng/ml for 5 mins) at 30 µg

Lane 2:

extracts from 3T3 cells (treated with EGF at 200ng/ml for 5 mins) at 30 µg with immunising peptide

Predicted band size: 90 kDa

Observed band size: 90 kDa,95 kDa

false

Key facts

Host species

Rabbit

Clonality

Polyclonal

Isotype

IgG

Carrier free

No

Reacts with

Mouse, Human

Applications

WB, IHC-P

applications

Immunogen

Synthetic Peptide within Human RPS6KA5 phospho S212. The exact immunogen used to generate this antibody is proprietary information.

O75582

Reactivity data

{ "title": "Reactivity Data", "filters": { "stats": ["", "Species", "Dilution Info", "Notes"], "tabs": { "all-applications": {"fullname" : "All Applications", "shortname": "All Applications"}, "WB" : {"fullname" : "Western blot", "shortname":"WB"}, "IHCP" : {"fullname" : "Immunohistochemistry (Formalin/PFA-fixed paraffin-embedded sections)", "shortname":"IHC-P"} }, "product-promise": { "all": "all", "testedAndGuaranteed": "tested", "guaranteed": "expected", "predicted": "predicted", "notRecommended": "not-recommended" } }, "values": { "Human": { "WB-species-checked": "guaranteed", "WB-species-dilution-info": "", "WB-species-notes": "", "IHCP-species-checked": "testedAndGuaranteed", "IHCP-species-dilution-info": "1/50 - 1/100", "IHCP-species-notes": "<p></p>" }, "Mouse": { "WB-species-checked": "testedAndGuaranteed", "WB-species-dilution-info": "1/500 - 1/1000", "WB-species-notes": "<p></p>", "IHCP-species-checked": "guaranteed", "IHCP-species-dilution-info": "", "IHCP-species-notes": "" } } }

Properties and storage information

Form
Liquid
Purification technique
Affinity purification Immunogen
Purification notes
Purified by affinity chromatography using an epitope specific phosphopeptide. The antibody against the non-phosphopeptide was removed by chromatography using a non-phosphopeptide corresponding to the phosphorylation site.
Storage buffer
pH: 7.4 Preservative: 0.02% Sodium azide Constituents: PBS, 50% Glycerol (glycerin, glycerine), 0.87% Sodium chloride
Shipped at conditions
Blue Ice
Appropriate short-term storage conditions
+4°C
Appropriate long-term storage conditions
-20°C
Aliquoting information
Upon delivery aliquot
Storage information
Avoid freeze / thaw cycle

Supplementary information

This supplementary information is collated from multiple sources and compiled automatically.

The mitogen- and stress-activated protein kinase 1 known as MSK1 or RPS6KA5 acts as a serine/threonine kinase. It has a mass of approximately 92 kDa. MSK1 phosphorylates various substrates including proteins involved in gene expression regulation. Researchers find MSK1 expressed mainly in the brain but it appears also in kidneys and lungs. Phosphorylation by MSK1 influences transcription factors like CREB and ATF1 affecting cellular responses to stimuli.
Biological function summary

MSK1 influences cell proliferation and survival. It operates as part of the MAPK signaling pathway driven by extracellular signals. MSK1 activation occurs through ERK1/2 and p38 MAPK therefore linking it to essential cellular processes. As a kinase MSK1 phosphorylates downstream targets contributing to inflammatory responses apoptosis and gene expression modulation. MSK1 often partners with other proteins to form complexes enhancing its regulatory capabilities.

Pathways

MSK1 plays a role in both the MAPK and NF-kB pathways. These pathways contribute to controlling cell growth and immune responses. In the MAPK pathway the involvement of MSK1 influences further regulation of transcription factors. In connection with the NF-kB pathway MSK1 can regulate NF-kB activity promoting gene expression related to inflammation. Related proteins in these pathways include ERK1/2 which activate MSK1 enhancing the kinase's function in these critical cellular circuits.

MSK1 links to various conditions including cancer and neurodegenerative diseases. The dysregulation of MSK1 activity is associated with processes like uncontrolled cell proliferation and abnormal inflammation factors that contribute to tumor development and progression. In neurodegenerative diseases changes in MSK1 activity disrupt neuronal survival pathways affecting cognitive functions. MSK1 connects with proteins like CREB influencing the expression of genes relevant to these diseases' development.

Product protocols

For this product, it's our understanding that no specific protocols are required. You can visit:

Target data

Serine/threonine-protein kinase that is required for the mitogen or stress-induced phosphorylation of the transcription factors CREB1 and ATF1 and for the regulation of the transcription factors RELA, STAT3 and ETV1/ER81, and that contributes to gene activation by histone phosphorylation and functions in the regulation of inflammatory genes (PubMed : 11909979, PubMed : 12569367, PubMed : 12763138, PubMed : 18511904, PubMed : 9687510, PubMed : 9873047). Phosphorylates CREB1 and ATF1 in response to mitogenic or stress stimuli such as UV-C irradiation, epidermal growth factor (EGF) and anisomycin (PubMed : 11909979, PubMed : 9873047). Plays an essential role in the control of RELA transcriptional activity in response to TNF and upon glucocorticoid, associates in the cytoplasm with the glucocorticoid receptor NR3C1 and contributes to RELA inhibition and repression of inflammatory gene expression (PubMed : 12628924, PubMed : 18511904). In skeletal myoblasts is required for phosphorylation of RELA at 'Ser-276' during oxidative stress (PubMed : 12628924). In erythropoietin-stimulated cells, is necessary for the 'Ser-727' phosphorylation of STAT3 and regulation of its transcriptional potential (PubMed : 12763138). Phosphorylates ETV1/ER81 at 'Ser-191' and 'Ser-216', and thereby regulates its ability to stimulate transcription, which may be important during development and breast tumor formation (PubMed : 12569367). Directly represses transcription via phosphorylation of 'Ser-1' of histone H2A (PubMed : 15010469). Phosphorylates 'Ser-10' of histone H3 in response to mitogenics, stress stimuli and EGF, which results in the transcriptional activation of several immediate early genes, including proto-oncogenes c-fos/FOS and c-jun/JUN (PubMed : 12773393). May also phosphorylate 'Ser-28' of histone H3 (PubMed : 12773393). Mediates the mitogen- and stress-induced phosphorylation of high mobility group protein 1 (HMGN1/HMG14) (PubMed : 12773393). In lipopolysaccharide-stimulated primary macrophages, acts downstream of the Toll-like receptor TLR4 to limit the production of pro-inflammatory cytokines (By similarity). Functions probably by inducing transcription of the MAP kinase phosphatase DUSP1 and the anti-inflammatory cytokine interleukin 10 (IL10), via CREB1 and ATF1 transcription factors (By similarity). Plays a role in neuronal cell death by mediating the downstream effects of excitotoxic injury (By similarity). Phosphorylates TRIM7 at 'Ser-107' in response to growth factor signaling via the MEK/ERK pathway, thereby stimulating its ubiquitin ligase activity (PubMed : 25851810).
See full target information RPS6KA5 phospho S212

Publications (2)

Recent publications for all applications. Explore the full list and refine your search

Nature communications 12:896 PubMed33563994

2021

Programmable human histone phosphorylation and gene activation using a CRISPR/Cas9-based chromatin kinase.

Applications

Unspecified application

Species

Unspecified reactive species

Jing Li,Barun Mahata,Mario Escobar,Jacob Goell,Kaiyuan Wang,Pranav Khemka,Isaac B Hilton

Scandinavian journal of immunology 78:408-18 PubMed24033709

2013

Lack of functional TSLP receptors mitigates Th2 polarization and the establishment and growth of 4T1 primary breast tumours but has different effects on tumour quantities in the lung and brain.

Applications

Unspecified application

Species

Unspecified reactive species

R B Erdmann,J G Gartner,W J Leonard,C A Ellison
View all publications

Product promise

We are committed to supporting your work with high-quality reagents, and we're here for you every step of the way. In the unlikely event that one of our products does not perform as expected, you're protected by our Product Promise.
For full details, please see our Terms & Conditions

Please note: All products are 'FOR RESEARCH USE ONLY. NOT FOR USE IN DIAGNOSTIC OR THERAPEUTIC PROCEDURES'.

For licensing inquiries, please contact partnerships@abcam.com