JavaScript is disabled in your browser. Please enable JavaScript to view this website.
AB99411

Anti-MSK2 / RSK-B antibody

Be the first to review this product! Submit a review

|

(2 Publications)

Rabbit Polyclonal MSK2 / RSK-B antibody. Suitable for IHC-P, IP, WB and reacts with Human, Mouse samples. Cited in 2 publications. Immunogen corresponding to Synthetic Peptide within Human RPS6KA4 aa 700 to C-terminus.

View Alternative Names

MSK2, RPS6KA4, Ribosomal protein S6 kinase alpha-4, S6K-alpha-4, 90 kDa ribosomal protein S6 kinase 4, Nuclear mitogen- and stress-activated protein kinase 2, Ribosomal protein kinase B, RSKB

3 Images
Western blot - Anti-MSK2 / RSK-B antibody (AB99411)
  • WB

Unknown

Western blot - Anti-MSK2 / RSK-B antibody (AB99411)

All lanes:

Western blot - Anti-MSK2 / RSK-B antibody (ab99411) at 0.04 µg/mL

Lane 1:

HeLa whole cell lysate at 50 µg

Lane 2:

HeLa whole cell lysate at 15 µg

Lane 3:

HeLa whole cell lysate at 5 µg

Lane 4:

293T whole cell lysate at 50 µg

Lane 5:

NIH 3T3 whole cell lysate at 50 µg

Predicted band size: 86 kDa

true

Exposure time: 30s

Immunoprecipitation - Anti-MSK2 / RSK-B antibody (AB99411)
  • IP

Unknown

Immunoprecipitation - Anti-MSK2 / RSK-B antibody (AB99411)

Detection of MSK2 / RSK-B in immunoprecipitates of HeLa whole cell lysate (1 mg lysate for IP, 20% of IP loaded on gel) using ab99411 at 3 µg/mg lysate for IP, and at 1 µg/ml for the subsequent western blot.

Detection : chemiluminescence with an exposure time of 30 seconds.

All lanes:

Immunoprecipitation - Anti-MSK2 / RSK-B antibody (ab99411)

Predicted band size: 86 kDa

false

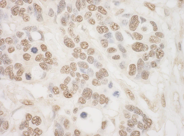
Immunohistochemistry (Formalin/PFA-fixed paraffin-embedded sections) - Anti-MSK2 / RSK-B antibody (AB99411)
  • IHC-P

Unknown

Immunohistochemistry (Formalin/PFA-fixed paraffin-embedded sections) - Anti-MSK2 / RSK-B antibody (AB99411)

Immunohistochemistry (Formalin/PFA-fixed paraffin-embedded sections) analysis of human breast carcinoma tissue labelling MSK2 / RSK-B with ab99411 at 1/200 (1µg/mg). Detection : DAB.

Key facts

Host species

Rabbit

Clonality

Polyclonal

Isotype

IgG

Carrier free

No

Reacts with

Mouse, Human

Applications

IP, IHC-P, WB

applications

Immunogen

Synthetic Peptide within Human RPS6KA4 aa 700 to C-terminus. The exact immunogen used to generate this antibody is proprietary information.

O75676

Reactivity data

{ "title": "Reactivity Data", "filters": { "stats": ["", "Species", "Dilution Info", "Notes"], "tabs": { "all-applications": {"fullname" : "All Applications", "shortname": "All Applications"}, "IHCP" : {"fullname" : "Immunohistochemistry (Formalin/PFA-fixed paraffin-embedded sections)", "shortname":"IHC-P"}, "IP" : {"fullname" : "Immunoprecipitation", "shortname":"IP"}, "WB" : {"fullname" : "Western blot", "shortname":"WB"} }, "product-promise": { "all": "all", "testedAndGuaranteed": "tested", "guaranteed": "expected", "predicted": "predicted", "notRecommended": "not-recommended" } }, "values": { "Human": { "IHCP-species-checked": "testedAndGuaranteed", "IHCP-species-dilution-info": "1/100 - 1/500", "IHCP-species-notes": "<p></p> Perform heat-mediated antigen retrieval with citrate buffer pH 6 before commencing with IHC staining protocol.", "IP-species-checked": "testedAndGuaranteed", "IP-species-dilution-info": "2-5 µg/mg of lysate", "IP-species-notes": "<p></p>", "WB-species-checked": "testedAndGuaranteed", "WB-species-dilution-info": "1/2000 - 1/10000", "WB-species-notes": "<p></p>" }, "Mouse": { "IHCP-species-checked": "guaranteed", "IHCP-species-dilution-info": "", "IHCP-species-notes": "", "IP-species-checked": "guaranteed", "IP-species-dilution-info": "", "IP-species-notes": "", "WB-species-checked": "testedAndGuaranteed", "WB-species-dilution-info": "1/2000 - 1/10000", "WB-species-notes": "<p></p>" } } }

Properties and storage information

Form
Liquid
Purification technique
Affinity purification Immunogen
Storage buffer
pH: 6.8 - 7.4 Preservative: 0.09% Sodium azide Constituents: Tris buffered saline, 0.1% BSA
Shipped at conditions
Blue Ice
Appropriate short-term storage conditions
+4°C
Appropriate long-term storage conditions
-20°C
Aliquoting information
Upon delivery aliquot
Storage information
Avoid freeze / thaw cycle

Supplementary information

This supplementary information is collated from multiple sources and compiled automatically.

MSK2 also known as RSK-B is a member of the serine/threonine-protein kinase family and weighs approximately 84 kDa. It plays a role in the phosphorylation of various transcription factors which impact gene expression. You can find MSK2 in the cytoplasm and nucleus of cells with significant expression in neuron tissues and immune cells. In response to external stimuli MSK2 modulates nuclear and cytoplasmic targets influencing cellular responses and adaptations.
Biological function summary

This kinase involves itself in the regulation of transcription by phosphorylating CREB and activating histone acetylation. MSK2 acts in concert with other kinases and proteins forming part of larger signaling complexes that modulate gene expression and chromatin states. It also impacts inflammation by activating specific pathways that target inflammatory gene expression serving as a connection point between various cellular signals and responses.

Pathways

MSK2 plays a significant role in the MAPK signaling pathway and the NF-kB pathway. These pathways are pivotal in cell differentiation proliferation and stress responses. MSK2 often functions in conjunction with proteins like ERK1/2 and p38 MAPK facilitating the downstream effects of these signaling molecules. In particular MSK2's phosphorylation activities have direct effects on transcription factors within these pathways impacting cellular fate decisions.

The kinase MSK2 holds implications in inflammatory diseases and neurodegenerative disorders. Dysregulation in MSK2 activity contributes to conditions such as rheumatoid arthritis through its interaction with proteins involved in inflammation signaling. Additionally in neurodegenerative diseases altered MSK2 activity affects neuron survival and neurotransmitter regulation. Its connection to the NF-kB pathway also links MSK2 to immune response disorders further highlighting its importance in disease mechanisms.

Product protocols

For this product, it's our understanding that no specific protocols are required. You can visit:

Target data

Serine/threonine-protein kinase that is required for the mitogen or stress-induced phosphorylation of the transcription factors CREB1 and ATF1 and for the regulation of the transcription factor RELA, and that contributes to gene activation by histone phosphorylation and functions in the regulation of inflammatory genes. Phosphorylates CREB1 and ATF1 in response to mitogenic or stress stimuli such as UV-C irradiation, epidermal growth factor (EGF) and anisomycin. Plays an essential role in the control of RELA transcriptional activity in response to TNF. Phosphorylates 'Ser-10' of histone H3 in response to mitogenics, stress stimuli and EGF, which results in the transcriptional activation of several immediate early genes, including proto-oncogenes c-fos/FOS and c-jun/JUN. May also phosphorylate 'Ser-28' of histone H3. Mediates the mitogen- and stress-induced phosphorylation of high mobility group protein 1 (HMGN1/HMG14). In lipopolysaccharide-stimulated primary macrophages, acts downstream of the Toll-like receptor TLR4 to limit the production of pro-inflammatory cytokines. Functions probably by inducing transcription of the MAP kinase phosphatase DUSP1 and the anti-inflammatory cytokine interleukin 10 (IL10), via CREB1 and ATF1 transcription factors.
See full target information RPS6KA4

Publications (2)

Recent publications for all applications. Explore the full list and refine your search

Cancer cell international 19:342 PubMed31889894

2019

Sulforaphene induces apoptosis and inhibits the invasion of esophageal cancer cells through MSK2/CREB/Bcl-2 and cadherin pathway in vivo and in vitro.

Applications

Unspecified application

Species

Unspecified reactive species

Chengjuan Zhang,Junxia Zhang,Qiong Wu,Benling Xu,Guoguo Jin,Yan Qiao,Simin Zhao,Yang Yang,Jinwen Shang,Xiaofang Li,Kangdong Liu

PloS one 8:e63189 PubMed23675462

2013

Mitogen- and stress-activated protein kinases 1 and 2 are required for maximal trefoil factor 1 induction.

Applications

Unspecified application

Species

Unspecified reactive species

Protiti Khan,Bojan Drobic,Beatriz Pérez-Cadahía,Shannon Healy,Shihua He,James R Davie
View all publications

Product promise

We are committed to supporting your work with high-quality reagents, and we're here for you every step of the way. In the unlikely event that one of our products does not perform as expected, you're protected by our Product Promise.
For full details, please see our Terms & Conditions

Please note: All products are 'FOR RESEARCH USE ONLY. NOT FOR USE IN DIAGNOSTIC OR THERAPEUTIC PROCEDURES'.

For licensing inquiries, please contact partnerships@abcam.com