JavaScript is disabled in your browser. Please enable JavaScript to view this website.
AB231138

Anti-MSP/MST1 antibody

Be the first to review this product! Submit a review

|

(3 Publications)

Rabbit Polyclonal Macrophage stimulating 1 (Hepatocyte growth factor-like) antibody. Suitable for WB, IHC-P and reacts with Rat, Human samples. Cited in 3 publications.

View Alternative Names

Mst1

3 Images
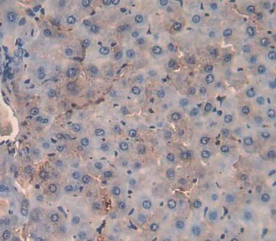
Immunohistochemistry (Formalin/PFA-fixed paraffin-embedded sections) - Anti-MSP/MST1 antibody (AB231138)
  • IHC-P

Supplier Data

Immunohistochemistry (Formalin/PFA-fixed paraffin-embedded sections) - Anti-MSP/MST1 antibody (AB231138)

Formalin-fixed, paraffin-embedded rat liver tissue stained for MSP/MST1 with ab231138 at 20 μg/ml in immunohistochemical analysis. DAB staining.

Western blot - Anti-MSP/MST1 antibody (AB231138)
  • WB

Supplier Data

Western blot - Anti-MSP/MST1 antibody (AB231138)

All lanes:

Western blot - Anti-MSP/MST1 antibody (ab231138) at 2 µg/mL

All lanes:

Rat serum

Secondary

All lanes:

HRP-Linked Guinea pig anti-Rabbit at 1/1000 dilution

Predicted band size: 80 kDa

true

Western blot - Anti-MSP/MST1 antibody (AB231138)
  • WB

Supplier Data

Western blot - Anti-MSP/MST1 antibody (AB231138)

All lanes:

Western blot - Anti-MSP/MST1 antibody (ab231138) at 2 µg/mL

All lanes:

Recombinant rat MSP/MST1 protein

Predicted band size: 80 kDa

true

Key facts

Host species

Rabbit

Clonality

Polyclonal

Isotype

IgG

Carrier free

No

Reacts with

Rat, Human

Applications

IHC-P, WB

applications

Reactivity data

{ "title": "Reactivity Data", "filters": { "stats": ["", "Species", "Dilution Info", "Notes"], "tabs": { "all-applications": {"fullname" : "All Applications", "shortname": "All Applications"}, "WB" : {"fullname" : "Western blot", "shortname":"WB"}, "IHCP" : {"fullname" : "Immunohistochemistry (Formalin/PFA-fixed paraffin-embedded sections)", "shortname":"IHC-P"} }, "product-promise": { "all": "all", "testedAndGuaranteed": "tested", "guaranteed": "expected", "predicted": "predicted", "notRecommended": "not-recommended" } }, "values": { "Human": { "WB-species-checked": "testedAndGuaranteed", "WB-species-dilution-info": "0.2-2 µg/mL", "WB-species-notes": "<p></p>", "IHCP-species-checked": "guaranteed", "IHCP-species-dilution-info": "", "IHCP-species-notes": "" }, "Mouse": { "WB-species-checked": "predicted", "WB-species-dilution-info": "", "WB-species-notes": "", "IHCP-species-checked": "predicted", "IHCP-species-dilution-info": "", "IHCP-species-notes": "" }, "Rat": { "WB-species-checked": "testedAndGuaranteed", "WB-species-dilution-info": "0.2-2 µg/mL", "WB-species-notes": "<p></p>", "IHCP-species-checked": "testedAndGuaranteed", "IHCP-species-dilution-info": "5-20 µg/mL", "IHCP-species-notes": "<p></p>" } } }

Properties and storage information

Form
Liquid
Purification technique
Affinity purification Immunogen
Purification notes
ab231138 was purified by antigen-specific affinity chromatography followed by Protein A affinity chromatography.
Storage buffer
pH: 7.4 Preservative: 0.02% Sodium azide Constituents: PBS, 55.77% Glycerol (glycerin, glycerine)
Shipped at conditions
Blue Ice
Appropriate short-term storage duration
1-2 weeks
Appropriate short-term storage conditions
+4°C
Appropriate long-term storage conditions
-20°C
Aliquoting information
Upon delivery aliquot
Storage information
Avoid freeze / thaw cycle

Supplementary information

This supplementary information is collated from multiple sources and compiled automatically.

MSP/MST1 also known as macrophage stimulating protein is a serine protease family protein with a molecular mass of approximately 80 kDa. It expresses in various tissues with significant presence in liver tissue. MST1 is a precursor protein that undergoes proteolytic cleavage to become its active form. MSP protein plays an important role in signaling processes acting as a ligand for the RON receptor tyrosine kinase triggering downstream effects in various cellular systems.
Biological function summary

MSP protein contributes to numerous cellular events including migration differentiation and survival. It forms a complex with the RON receptor facilitating cell signaling cascades that influence these processes. MSP is key in the regulation of immune responses and tissue remodeling which makes it significant in inflammation and wound healing contexts. It influences macrophage activity promoting their ability to clear pathogens and repair tissues.

Pathways

MSP protein is integral to the HGF/MET signaling pathway and the related MSP/RON pathway. These pathways are involved in cellular growth motility and morphogenesis with a notable impact on epithelial cellular dynamics. MST1 through its interaction with RON influences c-Met and related pathways that intertwine with cell cycle regulation. The crosstalk with hepatocyte growth factor (HGF) can further elucidate the sophisticated regulation of cellular functions where MSP plays a role.

MSP protein has been implicated in cancer progression and inflammatory diseases. It associates closely with the progression of certain carcinomas through its interaction with the RON receptor influencing tumor proliferation and metastasis. Additionally the dysregulation of MSP is associated with chronic inflammatory conditions linking it to key pathway proteins such as HGF. The therapeutic targeting of MSP might offer insights into anticancer and anti-inflammatory treatment strategies.

Product protocols

For this product, it's our understanding that no specific protocols are required. You can visit:

Publications (3)

Recent publications for all applications. Explore the full list and refine your search

Nutrients 17: PubMed40290068

2025

l-Carnitine and Acetyl-l-Carnitine Induce Metabolism Alteration and Mitophagy-Related Cell Death in Colorectal Cancer Cells.

Applications

Unspecified application

Species

Unspecified reactive species

Isabella Donisi,Anna Balestrieri,Vitale Del Vecchio,Giovanna Bifulco,Maria Luisa Balestrieri,Giuseppe Campanile,Nunzia D'Onofrio

Molecular medicine reports 23: PubMed33760220

2021

MST1 inhibits the progression of breast cancer by regulating the Hippo signaling pathway and may serve as a prognostic biomarker.

Applications

Unspecified application

Species

Unspecified reactive species

Xiang Jin,Lihua Zhu,Sheng Xiao,Zhuhong Cui,Jing Tang,Jiangyong Yu,Mingjun Xie

Journal of cellular physiology 234:22299-22310 PubMed31148202

2019

GNAS knockdown suppresses osteogenic differentiation of mesenchymal stem cells via activation of Hippo signaling pathway.

Applications

Unspecified application

Species

Unspecified reactive species

Jiangdong An,Guangjie Li,Jin Zhang,Haiyu Zhou,Jin Jiang,Xingwen Wang,Xiaofei Feng,Shuanke Wang
View all publications

Product promise

We are committed to supporting your work with high-quality reagents, and we're here for you every step of the way. In the unlikely event that one of our products does not perform as expected, you're protected by our Product Promise.
For full details, please see our Terms & Conditions

Please note: All products are 'FOR RESEARCH USE ONLY. NOT FOR USE IN DIAGNOSTIC OR THERAPEUTIC PROCEDURES'.

For licensing inquiries, please contact partnerships@abcam.com