JavaScript is disabled in your browser. Please enable JavaScript to view this website.
AB317834

Anti-MST antibody [EPR29168-60] - BSA and Azide free

  • BOND RX™ Validated
  • Recombinant
  • RabMAb
  • KO Validated
  • What is this?

Be the first to review this product! Submit a review

|

(0 Publication)

Knockout Tested Rabbit Recombinant Monoclonal MST antibody. Carrier free. Suitable for Dot, ICC/IF, Flow Cyt (Intra), IP, WB, IHC-P and reacts with Recombinant fragment - Human, Human, Mouse, Rat samples.

View Alternative Names

TST2, MPST, 3-mercaptopyruvate sulfurtransferase, MST

13 Images
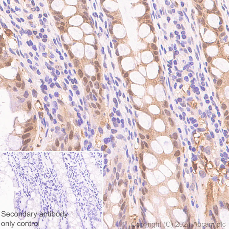
Immunohistochemistry (Formalin/PFA-fixed paraffin-embedded sections) - Anti-MST antibody [EPR29168-60] - BSA and Azide free (AB317834)
  • IHC-P

Supplier Data

Immunohistochemistry (Formalin/PFA-fixed paraffin-embedded sections) - Anti-MST antibody [EPR29168-60] - BSA and Azide free (AB317834)

This data was developed using ab317833, the same antibody clone in a different buffer formulation.

Immunohistochemical analysis of paraffin-embedded Human colon tissue labeling MST with ab317833 at 1/5000 (0.102 ug/ml) dilution, followed by a ready to use LeicaDS9800 (Bond™ Polymer Refine Detection).

Positive staining on human colon. The section was incubated with ab317833 for 30 mins at room temperature.
The immunostaining was performed on a Leica Biosystems BOND® RX instrument

Counterstained with Hematoxylin.

Secondary antibody only control : Secondary antibody is a ready to use LeicaDS9800 (Bond™ Polymer Refine Detection).

Heat mediated antigen retrieval was performed with Citrate buffer (pH 6.0, Epitope Retrieval Solution 1) for 10 mins

Immunocytochemistry/ Immunofluorescence - Anti-MST antibody [EPR29168-60] - BSA and Azide free (AB317834)
  • ICC/IF

Supplier Data

Immunocytochemistry/ Immunofluorescence - Anti-MST antibody [EPR29168-60] - BSA and Azide free (AB317834)

This data was developed using ab317833, the same antibody clone in a different buffer formulation.

Immunofluorescent analysis of 100% methanol-fixed, 0.1% TritonX-100 permeabilized MPST (MST) KO HEK-293T (MPST(MST) knockout human embryonic kidney epithelial cell), ab266789 cells labelling MST with ab317833 at 1/500 (1.018 ug/ml) dilution, followed by ab150081 Goat Anti-Rabbit IgG H&L (Alexa Fluor® 488) preadsorbed antibody at 1/1000 2 ug/ml dilution (Green).

Confocal image showing mainly cytoplasmic staining in wildtype HEK-293T cells and negative staining in MPST (MST) knockout HEK-293T cells (shown in green). The counterstain was observed in magenta. Nuclear DNA was labelled with DAPI (shown in blue). Image was taken with a confocal microscope (Leica-Microsystems, TCS SP8).

ab195889 Anti-alpha Tubulin mouse monoclonal antibody - Microtubule Marker (Alexa Fluor® 594) was used to counterstain tubulin at 1/200 2.5ug/ml dilution (Magenta). The Nuclear counterstain was DAPI (Blue).

Secondary antibody only control : Secondary antibody is ab150081 Goat Anti-Rabbit IgG H&L (Alexa Fluor® 488) preadsorbed at 1/1000 2 ug/ml dilution.

Flow Cytometry (Intracellular) - Anti-MST antibody [EPR29168-60] - BSA and Azide free (AB317834)
  • Flow Cyt (Intra)

Supplier Data

Flow Cytometry (Intracellular) - Anti-MST antibody [EPR29168-60] - BSA and Azide free (AB317834)

This data was developed using ab317833, the same antibody clone in a different buffer formulation.

Flow cytometric analysis of 4% paraformaldehyde fixed 90% methanol permeabilized Wild-type HEK293T (human embryonic kidney epithelial cell, Left) / MPST(MST) knockout HEK293T (Right) cells labelling MST with ab317833 at 1/500 dilution (0.1 ug)/Red (Red) compared with a Rabbit monoclonal IgG (ab172730) (Black) isotype control and an unlabelled control (cells without incubation with primary antibody and secondary antibody) (Blue).

Goat Anti-Rabbit IgG (Alexa Fluor® 488, ab150081) at 1/5000 dilution was used as the secondary antibody.

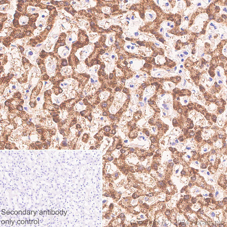
Immunohistochemistry (Formalin/PFA-fixed paraffin-embedded sections) - Anti-MST antibody [EPR29168-60] - BSA and Azide free (AB317834)
  • IHC-P

Supplier Data

Immunohistochemistry (Formalin/PFA-fixed paraffin-embedded sections) - Anti-MST antibody [EPR29168-60] - BSA and Azide free (AB317834)

This data was developed using ab317833, the same antibody clone in a different buffer formulation.

Immunohistochemical analysis of paraffin-embedded Human liver tissue labeling MST with ab317833 at 1/5000 (0.102 ug/ml) dilution, followed by a ready to use LeicaDS9800 (Bond™ Polymer Refine Detection).

Positive staining on human liver. The section was incubated with ab317833 for 30 mins at room temperature.
The immunostaining was performed on a Leica Biosystems BOND® RX instrument

Counterstained with Hematoxylin.

Secondary antibody only control : Secondary antibody is a ready to use LeicaDS9800 (Bond™ Polymer Refine Detection).

Heat mediated antigen retrieval was performed with Citrate buffer (pH 6.0, Epitope Retrieval Solution 1) for 10 mins

Flow Cytometry (Intracellular) - Anti-MST antibody [EPR29168-60] - BSA and Azide free (AB317834)
  • Flow Cyt (Intra)

Supplier Data

Flow Cytometry (Intracellular) - Anti-MST antibody [EPR29168-60] - BSA and Azide free (AB317834)

This data was developed using ab317833, the same antibody clone in a different buffer formulation.

Flow cytometric analysis of 4% paraformaldehyde fixed 90% methanol permeabilized A431 (human epidermoid carcinoma epithelial cell) cells labelling MST with ab317833 at 1/500 dilution (0.1 ug)/Red (Red) compared with a Rabbit monoclonal IgG (ab172730) (Black) isotype control and an unlabelled control (cells without incubation with primary antibody and secondary antibody) (Blue).

Goat Anti-Rabbit IgG (Alexa Fluor® 488, ab150081) at 1/5000 dilution was used as the secondary antibody.

Immunocytochemistry/ Immunofluorescence - Anti-MST antibody [EPR29168-60] - BSA and Azide free (AB317834)
  • ICC/IF

Supplier Data

Immunocytochemistry/ Immunofluorescence - Anti-MST antibody [EPR29168-60] - BSA and Azide free (AB317834)

This data was developed using ab317833, the same antibody clone in a different buffer formulation.

Immunofluorescent analysis of 100% methanol-fixed, 0.1% TritonX-100 permeabilized A431 (human epidermoid carcinoma epithelial cell) cells labelling MST with ab317833 at 1/500 (1.018 ug/ml) dilution, followed by ab150081 Goat Anti-Rabbit IgG H&L (Alexa Fluor® 488) preadsorbed antibody at 1/1000 2 ug/ml dilution (Green).

Confocal image showing mainly cytoplasmic staining in A431 cells (shown in green). The counterstain was observed in magenta. Nuclear DNA was labelled with DAPI (shown in blue). Image was taken with a confocal microscope (Leica-Microsystems, TCS SP8).

ab195889 Anti-alpha Tubulin mouse monoclonal antibody - Microtubule Marker (Alexa Fluor® 594) was used to counterstain tubulin at 1/200 2.5ug/ml dilution (Magenta). The Nuclear counterstain was DAPI (Blue).

Secondary antibody only control : Secondary antibody is ab150081 Goat Anti-Rabbit IgG H&L (Alexa Fluor® 488) preadsorbed at 1/1000 2 ug/ml dilution.

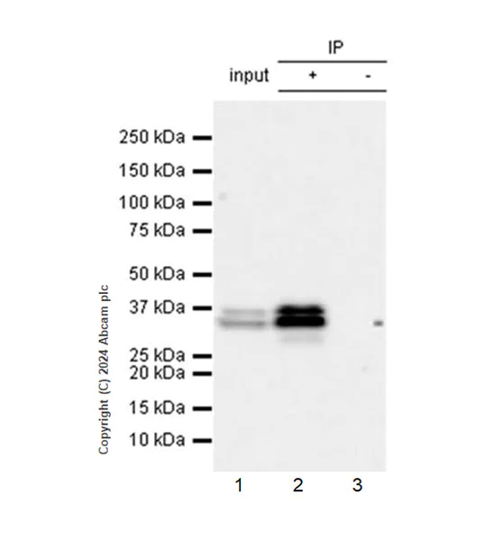
Immunoprecipitation - Anti-MST antibody [EPR29168-60] - BSA and Azide free (AB317834)
  • IP

Supplier Data

Immunoprecipitation - Anti-MST antibody [EPR29168-60] - BSA and Azide free (AB317834)

This data was developed using ab317833, the same antibody clone in a different buffer formulation.

MST was immunoprecipitated from 0.35 mg 293T (human embryonic kidney epithelial cell) whole cell lysate with ab317833 at 1/30 dilution (2ug in 0.35mg lysates). Western blot was performed on the immunoprecipitate using ab317833 at 1/1000 dilution. VeriBlot for IP secondary antibody(HRP)(ab131366) was used at 1/5000 dilution.

Lane 1 : 293T (human embryonic kidney epithelial cell) whole cell lysate
Lane 2 : ab317833 IP in 293T (human embryonic kidney epithelial cell) whole cell lysate
Lane 3 : Rabbit monoclonal IgG (ab172730) instead of ab317833 in 293T whole cell lysate

All lanes:

Immunoprecipitation - Anti-MST antibody [EPR29168-60] (<a href='/en-us/products/primary-antibodies/mst-antibody-epr29168-60-ab317833'>ab317833</a>) at 1/30 dilution

All lanes:

293T (human embryonic kidney epithelial cell) whole cell lysate with NFDM/TBST

Secondary

All lanes:

Immunoprecipitation - VeriBlot for IP Detection Reagent (HRP) (<a href='/en-us/products/reagents/veriblot-for-ip-detection-reagent-hrp-ab131366'>ab131366</a>) at 1/5000 dilution

false

Exposure time: 24s

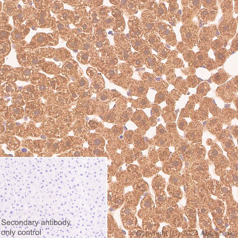
Immunohistochemistry (Formalin/PFA-fixed paraffin-embedded sections) - Anti-MST antibody [EPR29168-60] - BSA and Azide free (AB317834)
  • IHC-P

Supplier Data

Immunohistochemistry (Formalin/PFA-fixed paraffin-embedded sections) - Anti-MST antibody [EPR29168-60] - BSA and Azide free (AB317834)

This data was developed using ab317833, the same antibody clone in a different buffer formulation.

Immunohistochemical analysis of paraffin-embedded Mouse liver tissue labeling MST with ab317833 at 1/2000 (0.255 ug/ml) dilution, followed by a ready to use LeicaDS9800 (Bond™ Polymer Refine Detection).

Positive staining on mouse liver (PMID : 27973427). The section was incubated with ab317833 for 30 mins at room temperature.
The immunostaining was performed on a Leica Biosystems BOND® RX instrument

Counterstained with Hematoxylin.

Secondary antibody only control : Secondary antibody is a ready to use LeicaDS9800 (Bond™ Polymer Refine Detection).

Heat mediated antigen retrieval was performed with Citrate buffer (pH 6.0, Epitope Retrieval Solution 1) for 10 mins

Immunohistochemistry (Formalin/PFA-fixed paraffin-embedded sections) - Anti-MST antibody [EPR29168-60] - BSA and Azide free (AB317834)
  • IHC-P

Supplier Data

Immunohistochemistry (Formalin/PFA-fixed paraffin-embedded sections) - Anti-MST antibody [EPR29168-60] - BSA and Azide free (AB317834)

This data was developed using ab317833, the same antibody clone in a different buffer formulation.

Immunohistochemical analysis of paraffin-embedded Rat liver tissue labeling MST with ab317833 at 1/2000 (0.255 ug/ml) dilution, followed by a ready to use LeicaDS9800 (Bond™ Polymer Refine Detection).

Positive staining on rat liver. The section was incubated with ab317833 for 30 mins at room temperature.
The immunostaining was performed on a Leica Biosystems BOND® RX instrument

Counterstained with Hematoxylin.

Secondary antibody only control : Secondary antibody is a ready to use LeicaDS9800 (Bond™ Polymer Refine Detection).

Heat mediated antigen retrieval was performed with Citrate buffer (pH 6.0, Epitope Retrieval Solution 1) for 10 mins

Western blot - Anti-MST antibody [EPR29168-60] - BSA and Azide free (AB317834)
  • WB

Supplier Data

Western blot - Anti-MST antibody [EPR29168-60] - BSA and Azide free (AB317834)

This data was developed using ab317833, the same antibody clone in a different buffer formulation.

The samples were run on a Bis-Tris gel under reducing conditions.

Western blot : Anti-MST antibody (ab317833) staining at 1/1000 dilution, shown in green; Mouse anti-alpha Tubulin antibody [DM1A] (ab7291) loading control staining at 1/20, 000 dilution, shown in magenta.

In Western blot, ab317833 was shown to bind specifically to MST. Target of interest was observed at 33 kDa and 35 KDa in wild-type HEK-293T cell lysates (lane 1) with no signal observed at these sizes in MPST (MST) knockout cell line (lane 2, knockout cell line ab266789 / knockout cell lysate ab258524). To generate this image, samples were first run on an SDS-PAGE gel then transferred onto an immobilon-FL PVDF membrane. Membranes were blocked in a fluorescent western blot (TBS-based) blocking solution before incubation with primary antibodies overnight at 4 °C. Blots were washed in TBS-T, incubated with secondary antibodies Goat anti-Rabbit IgG H&L 800CW and Goat anti-Mouse IgG H&L 680RD at 1/20000 dilution for 1 h at room temperature, washed again then imaged.

All lanes:

Western blot - Anti-MST antibody [EPR29168-60] (<a href='/en-us/products/primary-antibodies/mst-antibody-epr29168-60-ab317833'>ab317833</a>) at 1/1000 dilution

Lane 1:

Wild-type HEK-293T (human embryonic kidney epithelial cell) whole cell lysate at 20 µg with Intercept® (TBS) Blocking Buffer diluted with an equal volume of 0.1% TBS

Lane 2:

MPST (MST) knockout HEK-293T whole cell lysate at 20 µg with Intercept® (TBS) Blocking Buffer diluted with an equal volume of 0.1% TBS

Lane 3:

HT-29 (human colorectal adenocarcinoma epithelial cell) whole cell lysate at 20 µg with Intercept® (TBS) Blocking Buffer diluted with an equal volume of 0.1% TBS

Lane 4:

A431 (human epidermoid carcinoma epithelial cell) whole cell lysate at 20 µg with Intercept® (TBS) Blocking Buffer diluted with an equal volume of 0.1% TBS

Secondary

All lanes:

Goat Anti-Rabbit IgG H&L (800CW) and Goat Anti-Mouse IgG H&L (680RD) at 1/20000 dilution

Observed band size: 33 kDa,35 kDa

false

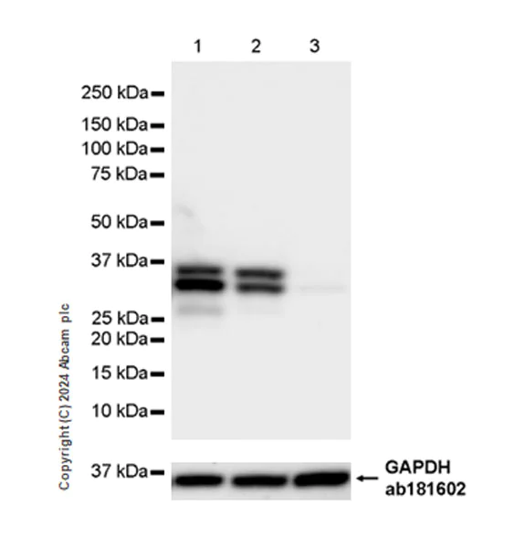
Western blot - Anti-MST antibody [EPR29168-60] - BSA and Azide free (AB317834)
  • WB

Supplier Data

Western blot - Anti-MST antibody [EPR29168-60] - BSA and Azide free (AB317834)

This data was developed using ab317833, the same antibody clone in a different buffer formulation.

Low expression : MOLT-4 (PMID : 35204649).

The identity of the lower MW band at approximately 27 kDa (in lane 1) is unknown.

In Western blot, Anti-GAPDH antibody [EPR16891] - Loading Control (ab181602) staining at 1/200000 dilution.

All lanes:

Western blot - Anti-MST antibody [EPR29168-60] (<a href='/en-us/products/primary-antibodies/mst-antibody-epr29168-60-ab317833'>ab317833</a>) at 1/1000 dilution

Lane 1:

Human lung tissue lysate at 20 µg with NFDM/TBST

Lane 2:

K-562 (human chronic myelogenous leukemia lymphoblast) whole cell lysate at 20 µg with NFDM/TBST

Lane 3:

MOLT-4 (human lymphoblastic leukemia t lymphoblast) whole cell lysate at 20 µg with NFDM/TBST

Secondary

All lanes:

Goat Anti-Rabbit IgG (HRP) with minimal cross-reactivity with human IgG at 1/2000 dilution

Observed band size: 33 kDa,35 kDa,36 kDa

false

Exposure time: 3s

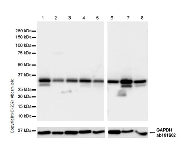
Western blot - Anti-MST antibody [EPR29168-60] - BSA and Azide free (AB317834)
  • WB

Supplier Data

Western blot - Anti-MST antibody [EPR29168-60] - BSA and Azide free (AB317834)

This data was developed using ab317833, the same antibody clone in a different buffer formulation.

Low expression : lung (PMID : 29712741).

In Western blot, Anti-GAPDH antibody [EPR16891] - Loading Control (ab181602) staining at 1/200000 dilution.

Exposure time : Lanes 1-5 : 1 second; Lanes 6-8 : 3 seconds.

All lanes:

Western blot - Anti-MST antibody [EPR29168-60] (<a href='/en-us/products/primary-antibodies/mst-antibody-epr29168-60-ab317833'>ab317833</a>) at 1/1000 dilution

Lane 1:

Mouse liver tissue lysate at 20 µg with NFDM/TBST

Lane 2:

Mouse lung tissue lysate at 20 µg with NFDM/TBST

Lane 3:

Mouse brain tissue lysate at 20 µg with NFDM/TBST

Lane 4:

Rat liver tissue lysate at 20 µg with NFDM/TBST

Lane 5:

Rat lung tissue lysate at 20 µg with NFDM/TBST

Lane 6:

F9 (mouse embryonal carcinoma epithelial cell) whole cell lysate at 20 µg with NFDM/TBST

Lane 7:

mIMCD3 (mouse inner medullary collecting duct epithelial cell) whole cell lysate at 20 µg with NFDM/TBST

Lane 8:

Neuro-2a (mouse neuroblastoma neuroblast) whole cell lysate at 20 µg with NFDM/TBST

Secondary

All lanes:

Western blot - Goat Anti-Rabbit IgG H&L (HRP) (<a href='/en-us/products/secondary-antibodies/goat-rabbit-igg-h-l-hrp-ab97051'>ab97051</a>) at 1/20000 dilution

Observed band size: 33 kDa,35 kDa,36 kDa

false

Dot Blot - Anti-MST antibody [EPR29168-60] - BSA and Azide free (AB317834)
  • Dot

Supplier Data

Dot Blot - Anti-MST antibody [EPR29168-60] - BSA and Azide free (AB317834)

This data was developed using ab317833, the same antibody clone in a different buffer formulation.

Dot blot analysis of MST using ab317833 at 1 : 1000 (0.509 ug/ml) followed by a Goat Anti-Rabbit IgG, (H+L), Peroxidase conjugated (ab97051) at 1 : 100,000 dilution.

Blocking and diluting buffer and concentration : 5% NFDM/TBST.

This antibody does not cross-react with human TST.

Anti-His tag® antibody (1 : 10000) as total protein control.

All lanes:

Dot Blot - Anti-MST antibody [EPR29168-60] (<a href='/en-us/products/primary-antibodies/mst-antibody-epr29168-60-ab317833'>ab317833</a>) at 1/1000 dilution

Lane 1:

His-tagged human MST fragment

Lane 2:

His-tagged human TST fragment

Secondary

All lanes:

Dot Blot - Goat Anti-Rabbit IgG H&L (HRP) (<a href='/en-us/products/secondary-antibodies/goat-rabbit-igg-h-l-hrp-ab97051'>ab97051</a>) at 1/100000 dilution

false

Exposure time: 3s

Key facts

Host species

Rabbit

Clonality

Monoclonal

Clone number

EPR29168-60

Isotype

IgG

Carrier free

Yes

Reacts with

Human, Mouse, Rat

Applications

WB, ICC/IF, IHC-P, Flow Cyt (Intra), IP, Dot

applications

Immunogen

The exact immunogen used to generate this antibody is proprietary information.

Reactivity data

{ "title": "Reactivity Data", "filters": { "stats": ["", "Species", "Dilution Info", "Notes"], "tabs": { "all-applications": {"fullname" : "All Applications", "shortname": "All Applications"}, "Dot" : {"fullname" : "Dot Blot", "shortname":"Dot"}, "ICCIF" : {"fullname" : "Immunocytochemistry/ Immunofluorescence", "shortname":"ICC/IF"}, "FlowCytIntra" : {"fullname" : "Flow Cytometry (Intracellular)", "shortname":"Flow Cyt (Intra)"}, "IP" : {"fullname" : "Immunoprecipitation", "shortname":"IP"}, "WB" : {"fullname" : "Western blot", "shortname":"WB"}, "IHCP" : {"fullname" : "Immunohistochemistry (Formalin/PFA-fixed paraffin-embedded sections)", "shortname":"IHC-P"} }, "product-promise": { "all": "all", "testedAndGuaranteed": "tested", "guaranteed": "expected", "predicted": "predicted", "notRecommended": "not-recommended" } }, "values": { "Human": { "Dot-species-checked": "guaranteed", "Dot-species-dilution-info": "", "Dot-species-notes": "", "ICCIF-species-checked": "testedAndGuaranteed", "ICCIF-species-dilution-info": "", "ICCIF-species-notes": "<p></p>", "FlowCytIntra-species-checked": "testedAndGuaranteed", "FlowCytIntra-species-dilution-info": "", "FlowCytIntra-species-notes": "<p></p>", "IP-species-checked": "testedAndGuaranteed", "IP-species-dilution-info": "", "IP-species-notes": "<p></p>", "WB-species-checked": "testedAndGuaranteed", "WB-species-dilution-info": "", "WB-species-notes": "<p></p>", "IHCP-species-checked": "testedAndGuaranteed", "IHCP-species-dilution-info": "", "IHCP-species-notes": "<p></p>" }, "Mouse": { "Dot-species-checked": "guaranteed", "Dot-species-dilution-info": "", "Dot-species-notes": "", "ICCIF-species-checked": "guaranteed", "ICCIF-species-dilution-info": "", "ICCIF-species-notes": "", "FlowCytIntra-species-checked": "guaranteed", "FlowCytIntra-species-dilution-info": "", "FlowCytIntra-species-notes": "", "IP-species-checked": "guaranteed", "IP-species-dilution-info": "", "IP-species-notes": "", "WB-species-checked": "testedAndGuaranteed", "WB-species-dilution-info": "", "WB-species-notes": "<p></p>", "IHCP-species-checked": "testedAndGuaranteed", "IHCP-species-dilution-info": "", "IHCP-species-notes": "<p></p>" }, "Rat": { "Dot-species-checked": "guaranteed", "Dot-species-dilution-info": "", "Dot-species-notes": "", "ICCIF-species-checked": "guaranteed", "ICCIF-species-dilution-info": "", "ICCIF-species-notes": "", "FlowCytIntra-species-checked": "guaranteed", "FlowCytIntra-species-dilution-info": "", "FlowCytIntra-species-notes": "", "IP-species-checked": "guaranteed", "IP-species-dilution-info": "", "IP-species-notes": "", "WB-species-checked": "testedAndGuaranteed", "WB-species-dilution-info": "", "WB-species-notes": "<p></p>", "IHCP-species-checked": "testedAndGuaranteed", "IHCP-species-dilution-info": "", "IHCP-species-notes": "<p></p>" }, "Recombinant fragment - Human": { "Dot-species-checked": "testedAndGuaranteed", "Dot-species-dilution-info": "", "Dot-species-notes": "<p></p>", "ICCIF-species-checked": "notRecommended", "ICCIF-species-dilution-info": "", "ICCIF-species-notes": "", "FlowCytIntra-species-checked": "notRecommended", "FlowCytIntra-species-dilution-info": "", "FlowCytIntra-species-notes": "", "IP-species-checked": "notRecommended", "IP-species-dilution-info": "", "IP-species-notes": "", "WB-species-checked": "notRecommended", "WB-species-dilution-info": "", "WB-species-notes": "", "IHCP-species-checked": "notRecommended", "IHCP-species-dilution-info": "", "IHCP-species-notes": "" } } }

Product details

ab317834 is the carrier-free version of ab317833.

Patented technology
Our RabMAb® technology is a patented hybridoma-based technology for making rabbit monoclonal antibodies. For details on our patents, please refer to RabMAb® patents.

What are the advantages of a recombinant monoclonal antibody?
This product is a recombinant monoclonal antibody, which offers several advantages including:

  • - High batch-to-batch consistency and reproducibility
  • - Improved sensitivity and specificity
  • - Long-term security of supply
  • - Animal-free batch production

For more information, read more on recombinant antibodies.

Conjugation ready
Our carrier-free antibodies are typically supplied in a PBS-only formulation, purified and free of BSA, sodium azide and glycerol. This conjugation-ready format is designed for use with fluorochromes, metal isotopes, oligonucleotides, and enzymes, which makes them ideal for antibody labelling, functional and cell-based assays, flow-based assays (e.g. mass cytometry) and Multiplex Imaging applications.

Use our conjugation kits for antibody conjugates that are ready-to-use in as little as 20 minutes with 1 minute hands-on-time and 100% antibody recovery: available for fluorescent dyes, HRP, biotin and gold.

Compatibility
This product is compatible with the Maxpar® Antibody Labeling Kit from Fluidigm, without the need for antibody preparation. Maxpar® is a trademark of Fluidigm Canada Inc.

Properties and storage information

Form
Liquid
Purification technique
Affinity purification Protein A
Storage buffer
pH: 7.2 - 7.4 Constituents: PBS
Shipped at conditions
Blue Ice
Appropriate short-term storage conditions
+4°C
Appropriate long-term storage conditions
+4°C

Supplementary information

This supplementary information is collated from multiple sources and compiled automatically.

MST also known as Mammalian Sterile 20-like kinase or STK3 is a serine/threonine kinase with a molecular mass of about 60 kDa. MST is expressed in various tissues including the brain liver and skeletal muscle. This kinase functions mechanically by phosphorylating downstream substrates exerting control over cell proliferation apoptosis and cytoskeletal reorganization. Alternate names like 3-MST also exist which can sometimes lead to confusion regarding its precise identity among similar kinases.
Biological function summary

MST plays a significant role in the regulation of the Hippo signaling pathway particularly as a core component of the MST kinase complex. This complex interacts with several other proteins to control organ size and suppress tumor development by regulating the balance between cell division and apoptosis. MST kinases exert influence on cell cycle checkpoints and promote cellular apoptosis aiding in the maintenance of tissue homeostasis.

Pathways

MST proteins are essential within the Hippo signaling pathway and are integrally involved in modulating the MAPK pathway. MST interacts with proteins like LATS1/2 activating them to help mediate the phosphorylation of downstream effectors including YAP and TAZ in the Hippo pathway. These interactions lead to transcriptional changes that govern cell proliferation and apoptosis highlighting MST's role in ensuring proper cellular responses to external and internal stimuli.

MST dysregulation is closely linked to cancers and neurodegenerative diseases. In cancer MST's inability to regulate cell growth can result in uninhibited cell proliferation as seen in hepatocellular carcinoma where MST's interaction with YAP becomes dysfunctional. In neurodegenerative disorders particularly Alzheimer's disease pathways involving MST and related proteins such as MARK may contribute to pathological tau hyperphosphorylation leading to neuronal damage. Understanding MST's relation to these diseases aids in targeting therapeutic interventions.

Product protocols

For this product, it's our understanding that no specific protocols are required. You can visit:

Target data

Transfer of a sulfur ion to cyanide or to other thiol compounds. Also has weak rhodanese activity. Detoxifies cyanide and is required for thiosulfate biosynthesis. Acts as an antioxidant. In combination with cysteine aminotransferase (CAT), contributes to the catabolism of cysteine and is an important producer of hydrogen sulfide in the brain, retina and vascular endothelial cells. Hydrogen sulfide H(2)S is an important synaptic modulator, signaling molecule, smooth muscle contractor and neuroprotectant. Its production by the 3MST/CAT pathway is regulated by calcium ions.
See full target information MPST

Product promise

We are committed to supporting your work with high-quality reagents, and we're here for you every step of the way. In the unlikely event that one of our products does not perform as expected, you're protected by our Product Promise.
For full details, please see our Terms & Conditions

Please note: All products are 'FOR RESEARCH USE ONLY. NOT FOR USE IN DIAGNOSTIC OR THERAPEUTIC PROCEDURES'.

For licensing inquiries, please contact partnerships@abcam.com