JavaScript is disabled in your browser. Please enable JavaScript to view this website.
AB52491

Anti-MST4 antibody [EP1864Y]

Be the first to review this product! Submit a review

|

(19 Publications)

Rabbit Recombinant Monoclonal MST4 antibody. Suitable for IHC-P, IP, WB, ICC/IF, Flow Cyt (Intra) and reacts with Human, Mouse, Rat, Synthetic peptide - Human samples. Cited in 19 publications.

View Alternative Names

MASK, MST4, STK26, Serine/threonine-protein kinase 26, MST3 and SOK1-related kinase, Mammalian STE20-like protein kinase 4, Serine/threonine-protein kinase MASK, MST-4, STE20-like kinase MST4

7 Images
Flow Cytometry (Intracellular) - Anti-MST4 antibody [EP1864Y] (AB52491)
  • Flow Cyt (Intra)

Unknown

Flow Cytometry (Intracellular) - Anti-MST4 antibody [EP1864Y] (AB52491)

Overlay histogram showing HeLa cells stained with ab52491 (red line). The cells were fixed with 80% methanol (5 min) and then permeabilized with 0.1% PBS-Tween for 20 min. The cells were then incubated in 1x PBS / 10% normal goat serum / 0.3M glycine to block non-specific protein-protein interactions followed by the antibody (ab52491, 1/10000 dilution) for 30 min at 22°C. The secondary antibody used was Alexa Fluor® 488 goat anti-rabbit IgG (H&L) (ab150077) at 1/2000 dilution for 30 min at 22°C. Isotype control antibody (black line) was rabbit IgG (monoclonal) (0.1μg/1x106 cells) used under the same conditions. Unlabelled sample (blue line) was also used as a control. Acquisition of >5,000 events were collected using a 20mW Argon ion laser (488nm) and 525/30 bandpass filter. This antibody gave a positive signal in HeLa cells fixed with 4% paraformaldehyde (10 min)/permeabilized with 0.1% PBS-Tween for 20 min used under the same conditions.

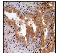
Immunohistochemistry (Formalin/PFA-fixed paraffin-embedded sections) - Anti-MST4 antibody [EP1864Y] (AB52491)
  • IHC-P

Unknown

Immunohistochemistry (Formalin/PFA-fixed paraffin-embedded sections) - Anti-MST4 antibody [EP1864Y] (AB52491)

Immunohistochemical analysis of paraffin-embedded human placenta using ab52491 at a 1/100 dilution.

Perform heat mediated antigen retrieval with citrate buffer pH 6 before commencing with IHC staining protocol.

Immunocytochemistry/ Immunofluorescence - Anti-MST4 antibody [EP1864Y] (AB52491)
  • ICC/IF

Lab

Immunocytochemistry/ Immunofluorescence - Anti-MST4 antibody [EP1864Y] (AB52491)

Immunocytochemistry/Immunofluorescence analysis of HeLa (Human epithelial cell line from cervix adenocarcinoma) labelling MST4 with purified ab52491 at 1/500. Cells were fixed with 100% methanol and permeabilized with 0.1% triton X-100. ab150077 Goat anti rabbit IgG (Alexa Fluor® 488) at 1/1000 was used as the secondary antibody. Nuclei were counterstained with DAPI. PBS was used instead of the primary antibody as the negative control.

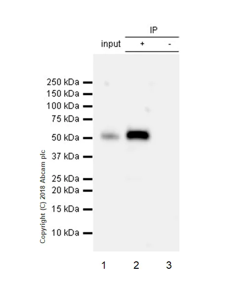
Immunoprecipitation - Anti-MST4 antibody [EP1864Y] (AB52491)
  • IP

Lab

Immunoprecipitation - Anti-MST4 antibody [EP1864Y] (AB52491)

MST4 was immunoprecipitated using ab52491 at 1 : 100 dilution (2μg in 0.35mg lysates).

Blocking and diluting buffer and concentration : 5% NFDM/TBST.

All lanes:

Immunoprecipitation - Anti-MST4 antibody [EP1864Y] (ab52491) at 1/1000 dilution

Lane 1:

HeLa (Human cervix adenocarcinoma epithelial cell) whole cell lysate at 10 µg

Lane 2:

HeLa whole cell lysate immunoprecipitated with ab52491 1:100 dilution (2μg in 0.35mg lysates) at 10 µg

Lane 3:

HeLa whole cell lysate immunoprecipitated with Rabbit monoclonal IgG (<a href='/en-us/products/primary-antibodies/rabbit-igg-monoclonal-epr25a-isotype-control-ab172730'>ab172730</a>) 1:100 dilution (2μg in 0.35mg lysates), at 10 µg

Secondary

All lanes:

Immunoprecipitation - VeriBlot for IP Detection Reagent (HRP) (<a href='/en-us/products/reagents/veriblot-for-ip-detection-reagent-hrp-ab131366'>ab131366</a>) at 1/5000 dilution

Predicted band size: 47 kDa

false

Exposure time: 10s

Western blot - Anti-MST4 antibody [EP1864Y] (AB52491)
  • WB

Unknown

Western blot - Anti-MST4 antibody [EP1864Y] (AB52491)

All lanes:

Western blot - Anti-MST4 antibody [EP1864Y] (ab52491) at 1/200000 dilution

All lanes:

HeLa cell lysate at 10 µg

Secondary

All lanes:

Goat anti-rabbit HRP at 1/2000 dilution

Predicted band size: 47 kDa

Observed band size: 50 kDa

false

Western blot - Anti-MST4 antibody [EP1864Y] (AB52491)
  • WB

Lab

Western blot - Anti-MST4 antibody [EP1864Y] (AB52491)

Blocking and diluting buffer and concentration : 5% NFDM/TBST.

All lanes:

Western blot - Anti-MST4 antibody [EP1864Y] (ab52491) at 1/100000 dilution

Lane 1:

Mouse brain tissue lysate at 20 µg

Lane 2:

Rat brain tissue lysate at 20 µg

Secondary

All lanes:

Western blot - Goat Anti-Rabbit IgG H&L (HRP) (<a href='/en-us/products/secondary-antibodies/goat-rabbit-igg-h-l-hrp-ab97051'>ab97051</a>) at 1/20000 dilution

Predicted band size: 47 kDa

Observed band size: 50 kDa

false

Exposure time: 30s

Western blot - Anti-MST4 antibody [EP1864Y] (AB52491)
  • WB

Unknown

Western blot - Anti-MST4 antibody [EP1864Y] (AB52491)

ab52491 recognizes the full length tagged recombinant MST4 protein (ab60341) which has an expected molecular weight of 72 kDa.

All lanes:

Western blot - Anti-MST4 antibody [EP1864Y] (ab52491) at 1/20000 dilution

All lanes:

Western blot - Recombinant human MST4 protein (<a href='/en-us/products/proteins-peptides/recombinant-human-mst4-protein-ab60341'>ab60341</a>) at 0.01 µg

Secondary

All lanes:

Western blot - Goat Anti-Rabbit IgG H&L (HRP) preadsorbed (<a href='/en-us/products/secondary-antibodies/goat-rabbit-igg-h-l-hrp-preadsorbed-ab97080'>ab97080</a>) at 1/5000 dilution

Predicted band size: 47 kDa

false

Exposure time: 20s

  • Carrier free

    Anti-MST4 antibody [EP1864Y] - BSA and Azide free

Key facts

Host species

Rabbit

Clonality

Monoclonal

Clone number

EP1864Y

Isotype

IgG

Carrier free

No

Reacts with

Mouse, Rat, Human

Applications

IP, Flow Cyt (Intra), IHC-P, WB, ICC/IF

applications

Immunogen

The exact immunogen used to generate this antibody is proprietary information.

Reactivity data

{ "title": "Reactivity Data", "filters": { "stats": ["", "Species", "Dilution Info", "Notes"], "tabs": { "all-applications": {"fullname" : "All Applications", "shortname": "All Applications"}, "IHCP" : {"fullname" : "Immunohistochemistry (Formalin/PFA-fixed paraffin-embedded sections)", "shortname":"IHC-P"}, "IP" : {"fullname" : "Immunoprecipitation", "shortname":"IP"}, "WB" : {"fullname" : "Western blot", "shortname":"WB"}, "ICCIF" : {"fullname" : "Immunocytochemistry/ Immunofluorescence", "shortname":"ICC/IF"}, "FlowCytIntra" : {"fullname" : "Flow Cytometry (Intracellular)", "shortname":"Flow Cyt (Intra)"} }, "product-promise": { "all": "all", "testedAndGuaranteed": "tested", "guaranteed": "expected", "predicted": "predicted", "notRecommended": "not-recommended" } }, "values": { "Human": { "IHCP-species-checked": "testedAndGuaranteed", "IHCP-species-dilution-info": "", "IHCP-species-notes": "<p></p>", "IP-species-checked": "testedAndGuaranteed", "IP-species-dilution-info": "1/1000", "IP-species-notes": "<p></p>", "WB-species-checked": "testedAndGuaranteed", "WB-species-dilution-info": "1/100000 - 1/200000", "WB-species-notes": "<p></p>", "ICCIF-species-checked": "testedAndGuaranteed", "ICCIF-species-dilution-info": "1/500", "ICCIF-species-notes": "<p></p>", "FlowCytIntra-species-checked": "testedAndGuaranteed", "FlowCytIntra-species-dilution-info": "1/1000 - 1/10000", "FlowCytIntra-species-notes": "<p><a href='/en-us/products/primary-antibodies/rabbit-igg-monoclonal-epr25a-isotype-control-ab172730'>ab172730</a> - Rabbit monoclonal IgG, is suitable for use as an isotype control with this antibody.</p>" }, "Mouse": { "IHCP-species-checked": "guaranteed", "IHCP-species-dilution-info": "", "IHCP-species-notes": "", "IP-species-checked": "guaranteed", "IP-species-dilution-info": "", "IP-species-notes": "", "WB-species-checked": "testedAndGuaranteed", "WB-species-dilution-info": "1/100000 - 1/200000", "WB-species-notes": "<p></p>", "ICCIF-species-checked": "guaranteed", "ICCIF-species-dilution-info": "", "ICCIF-species-notes": "", "FlowCytIntra-species-checked": "guaranteed", "FlowCytIntra-species-dilution-info": "", "FlowCytIntra-species-notes": "" }, "Rat": { "IHCP-species-checked": "guaranteed", "IHCP-species-dilution-info": "", "IHCP-species-notes": "", "IP-species-checked": "guaranteed", "IP-species-dilution-info": "", "IP-species-notes": "", "WB-species-checked": "testedAndGuaranteed", "WB-species-dilution-info": "1/100000 - 1/200000", "WB-species-notes": "<p></p>", "ICCIF-species-checked": "guaranteed", "ICCIF-species-dilution-info": "", "ICCIF-species-notes": "", "FlowCytIntra-species-checked": "guaranteed", "FlowCytIntra-species-dilution-info": "", "FlowCytIntra-species-notes": "" }, "Synthetic peptide - Human": { "IHCP-species-checked": "notRecommended", "IHCP-species-dilution-info": "", "IHCP-species-notes": "", "IP-species-checked": "notRecommended", "IP-species-dilution-info": "", "IP-species-notes": "", "WB-species-checked": "testedAndGuaranteed", "WB-species-dilution-info": "1/100000 - 1/200000", "WB-species-notes": "<p></p>", "ICCIF-species-checked": "notRecommended", "ICCIF-species-dilution-info": "", "ICCIF-species-notes": "", "FlowCytIntra-species-checked": "notRecommended", "FlowCytIntra-species-dilution-info": "", "FlowCytIntra-species-notes": "" } } }

Product details

Patented technology
Our RabMAb® technology is a patented hybridoma-based technology for making rabbit monoclonal antibodies. For details on our patents, please refer to RabMAb® patents.

Properties and storage information

Form
Liquid
Purification technique
Affinity purification Protein A
Storage buffer
pH: 7.2 - 7.4 Preservative: 0.05% Sodium azide Constituents: 50% Tissue culture supernatant, 40% Glycerol (glycerin, glycerine), 9.85% Tris glycine, 0.1% BSA
Shipped at conditions
Blue Ice
Appropriate short-term storage conditions
+4°C
Appropriate long-term storage conditions
-20°C
Storage information
Stable for 12 months at -20°C

Supplementary information

This supplementary information is collated from multiple sources and compiled automatically.

MST4 also known as mammalian sterile 20-like kinase 4 is a serine/threonine kinase with a molecular mass of approximately 53 kDa. It belongs to the germinal center kinase (GCK) family and is expressed in various tissues showing higher levels in the brain and testis. MST4 localizes to the Golgi apparatus where it plays a role in regulating cellular processes.
Biological function summary

MST4 contributes to cell growth apoptosis and stress response signaling. It does not operate alone; MST4 is a part of the STRIPAK complex. The protein involves itself in the regulation of the actin cytoskeleton thereby influencing cell motility and polarity. By modulating these processes MST4 can impact developmental and stress-induced cellular pathways.

Pathways

MST4 participates in the Hippo signaling pathway which regulates organ size by controlling cell proliferation and apoptosis. In this pathway MST4 interacts with other proteins such as MST1 and MST2 to execute its functions. MST4 also participates in the MAPK signaling pathway where it connects to various cellular stress responses contributing to the transcriptional activity of downstream effectors.

MST4 has implications in cancer and neurodegenerative diseases. Alterations in MST4 expression or activity have been associated with tumor progression in several cancers. Additionally it's linked to neurodegeneration through its interactions with proteins such as Tau where dysregulated pathways may lead to pathological conditions. These connections highlight the importance of MST4 in maintaining cellular homeostasis and the implications of its dysfunction in disease states.

Product protocols

For this product, it's our understanding that no specific protocols are required. You can visit:

Target data

Serine/threonine-protein kinase that acts as a mediator of cell growth (PubMed : 11641781, PubMed : 17360971). Modulates apoptosis (PubMed : 11641781, PubMed : 17360971). In association with STK24 negatively regulates Golgi reorientation in polarized cell migration upon RHO activation (PubMed : 27807006). Phosphorylates ATG4B at 'Ser-383', thereby increasing autophagic flux (PubMed : 29232556). Part of the striatin-interacting phosphatase and kinase (STRIPAK) complexes. STRIPAK complexes have critical roles in protein (de)phosphorylation and are regulators of multiple signaling pathways including Hippo, MAPK, nuclear receptor and cytoskeleton remodeling. Different types of STRIPAK complexes are involved in a variety of biological processes such as cell growth, differentiation, apoptosis, metabolism and immune regulation (PubMed : 18782753).
See full target information STK26

Publications (19)

Recent publications for all applications. Explore the full list and refine your search

The Journal of biological chemistry 300:107255 PubMed38579991

2024

Mst4, a novel cardiac STRIPAK complex-associated kinase, regulates cardiomyocyte growth and survival and is upregulated in human cardiomyopathy.

Applications

Unspecified application

Species

Unspecified reactive species

Matthias Eden,Marius Leye,Justus Hahn,Emanuel Heilein,Marcin Luzarowski,Bill Völschow,Christin Tannert,Samuel Sossalla,Carlota Lucena-Porcel,Derk Frank,Norbert Frey

Nature communications 15:449 PubMed38200023

2024

Microglia govern the extinction of acute stress-induced anxiety-like behaviors in male mice.

Applications

Unspecified application

Species

Unspecified reactive species

Danyang Chen,Qianqian Lou,Xiang-Jie Song,Fang Kang,An Liu,Changjian Zheng,Yanhua Li,Di Wang,Sen Qun,Zhi Zhang,Peng Cao,Yan Jin

Heliyon 9:e16735 PubMed37313160

2023

MST4 promotes proliferation, invasion, and metastasis of gastric cancer by enhancing autophagy.

Applications

Unspecified application

Species

Unspecified reactive species

Pengwei Liu,Lin Li,Wei Wang,Chiyi He,Chunfang Xu

eLife 12: PubMed37144879

2023

The dark kinase STK32A regulates hair cell planar polarity opposite of EMX2 in the developing mouse inner ear.

Applications

Unspecified application

Species

Unspecified reactive species

Shihai Jia,Evan M Ratzan,Ellison J Goodrich,Raisa Abrar,Luke Heiland,Basile Tarchini,Michael R Deans

IUBMB life 75:117-136 PubMed36239138

2022

MST4 as a novel therapeutic target for autophagy and radiosensitivity in gastric cancer.

Applications

Unspecified application

Species

Unspecified reactive species

Xiuhua Shi,Junwei Zou,Yinhua Wang,Jian Zhao,Bin Ye,Qinghua Qi,Fei Liu,Jun Hu,Shu Li,Ye Tian

Cell communication and signaling : CCS 20:103 PubMed35820905

2022

MST4 negatively regulates type I interferons production via targeting MAVS-mediated pathway.

Applications

Unspecified application

Species

Unspecified reactive species

Wei Liu,Zhenling Ma,Yaru Wu,Cui Yuan,Yanyan Zhang,Zeyang Liang,Yu Yang,Wenwen Zhang,Pengtao Jiao

The Journal of neuroscience : the official journal of the Society for Neuroscience 41:8887-8903 PubMed34518307

2021

STK25 and MST3 Have Overlapping Roles to Regulate Rho GTPases during Cortical Development.

Applications

Unspecified application

Species

Unspecified reactive species

Tohru Matsuki,Akio Iio,Masashi Ueda,Yumi Tsuneura,Brian W Howell,Atsuo Nakayama

Journal of Cancer 11:5106-5117 PubMed32742458

2020

MST4 inhibits human hepatocellular carcinoma cell proliferation and induces cell cycle arrest via suppression of PI3K/AKT pathway.

Applications

Unspecified application

Species

Unspecified reactive species

Wei-Chao Hao,Qiu-Ling Zhong,Wen-Qian Pang,Mei-Juan Dian,Jing Li,Liu-Xin Han,Wen-Tao Zhao,Xiao-Ling Zhang,Sheng-Jun Xiao,Dong Xiao,Xiao-Lin Lin,Jun-Shuang Jia

Investigative ophthalmology & visual science 61:28 PubMed32539131

2020

Downregulation of MST4 Underlies a Novel Inhibitory Role of MicroRNA Let-7a in the Progression of Retinoblastoma.

Applications

Unspecified application

Species

Unspecified reactive species

Xinli Zhang,Lili Song,Yanxia Huang,Shaoping Han,Min Hou,Hongxia Li

Brain research bulletin 160:74-84 PubMed32302649

2020

Cerebral cavernous malformation 3 relieves subarachnoid hemorrhage-induced neuroinflammation in rats through inhibiting NF-kB signaling pathway.

Applications

Unspecified application

Species

Unspecified reactive species

Wei Peng,Xin Wu,Dongxie Feng,Yunhai Zhang,Xiao Chen,Chao Ma,Haitao Shen,Xiang Li,Haiying Li,Jian Zhang,Gang Chen
View all publications

Product promise

We are committed to supporting your work with high-quality reagents, and we're here for you every step of the way. In the unlikely event that one of our products does not perform as expected, you're protected by our Product Promise.
For full details, please see our Terms & Conditions

Please note: All products are 'FOR RESEARCH USE ONLY. NOT FOR USE IN DIAGNOSTIC OR THERAPEUTIC PROCEDURES'.

For licensing inquiries, please contact partnerships@abcam.com