JavaScript is disabled in your browser. Please enable JavaScript to view this website.
AB284689

Anti-MST4 antibody [EP1864Y] - BSA and Azide free

Be the first to review this product! Submit a review

|

(0 Publication)

Rabbit Recombinant Monoclonal MST4 antibody. Carrier free. Suitable for IP, WB, IHC-P, ICC/IF, Flow Cyt (Intra) and reacts with Human, Mouse, Rat, Recombinant full length protein - Human samples.

View Alternative Names

MASK, MST4, STK26, Serine/threonine-protein kinase 26, MST3 and SOK1-related kinase, Mammalian STE20-like protein kinase 4, Serine/threonine-protein kinase MASK, MST-4, STE20-like kinase MST4

7 Images
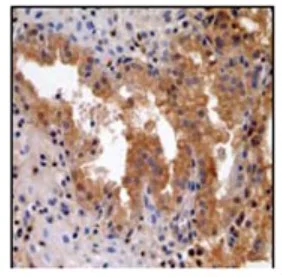
Immunohistochemistry (Formalin/PFA-fixed paraffin-embedded sections) - Anti-MST4 antibody [EP1864Y] - BSA and Azide free (AB284689)
  • IHC-P

Lab

Immunohistochemistry (Formalin/PFA-fixed paraffin-embedded sections) - Anti-MST4 antibody [EP1864Y] - BSA and Azide free (AB284689)

This data was developed using ab52491, the same antibody clone in a different buffer formulation.

Immunohistochemical analysis of paraffin-embedded human placenta using ab52491 at a 1/100 dilution.

Perform heat mediated antigen retrieval with citrate buffer pH 6 before commencing with IHC staining protocol.

Flow Cytometry (Intracellular) - Anti-MST4 antibody [EP1864Y] - BSA and Azide free (AB284689)
  • Flow Cyt (Intra)

Unknown

Flow Cytometry (Intracellular) - Anti-MST4 antibody [EP1864Y] - BSA and Azide free (AB284689)

This data was developed using ab52491, the same antibody clone in a different buffer formulation.

Overlay histogram showing HeLa cells stained with ab52491 (red line). The cells were fixed with 80% methanol (5 min) and then permeabilized with 0.1% PBS-Tween for 20 min. The cells were then incubated in 1x PBS / 10% normal goat serum / 0.3M glycine to block non-specific protein-protein interactions followed by the antibody (ab52491, 1/10000 dilution) for 30 min at 22°C. The secondary antibody used was Alexa Fluor® 488 goat anti-rabbit IgG (H&L) (ab150077) at 1/2000 dilution for 30 min at 22°C.

Isotype control antibody (black line) was rabbit IgG (monoclonal) (0.1μg/1x106 cells) used under the same conditions.

Unlabelled sample (blue line) was also used as a control.

Acquisition of >5,000 events were collected using a 20mW Argon ion laser (488nm) and 525/30 bandpass filter.

This antibody gave a positive signal in HeLa cells fixed with 4% paraformaldehyde (10 min)/permeabilized with 0.1% PBS-Tween for 20 min used under the same conditions.

Immunocytochemistry/ Immunofluorescence - Anti-MST4 antibody [EP1864Y] - BSA and Azide free (AB284689)
  • ICC/IF

Lab

Immunocytochemistry/ Immunofluorescence - Anti-MST4 antibody [EP1864Y] - BSA and Azide free (AB284689)

This data was developed using ab52491, the same antibody clone in a different buffer formulation.

Immunocytochemistry/Immunofluorescence analysis of HeLa (Human epithelial cell line from cervix adenocarcinoma) labelling MST4 with purified ab52491 at 1/500. Cells were fixed with 100% methanol and permeabilized with 0.1% triton X-100. ab150077 Goat anti rabbit IgG (Alexa Fluor® 488) at 1/1000 was used as the secondary antibody. Nuclei were counterstained with DAPI. PBS was used instead of the primary antibody as the negative control.

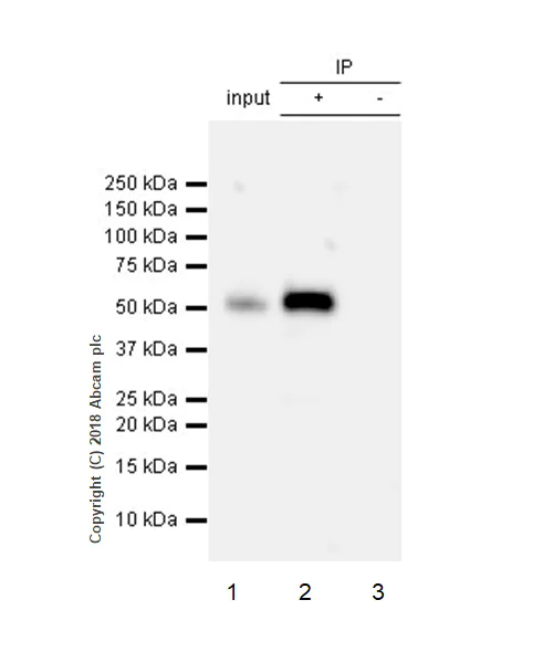
Immunoprecipitation - Anti-MST4 antibody [EP1864Y] - BSA and Azide free (AB284689)
  • IP

Lab

Immunoprecipitation - Anti-MST4 antibody [EP1864Y] - BSA and Azide free (AB284689)

This data was developed using ab52491, the same antibody clone in a different buffer formulation.MST4 was immunoprecipitated using ab52491 at 1 : 100 dilution (2μg in 0.35mg lysates).

Blocking and diluting buffer and concentration : 5% NFDM/TBST.

All lanes:

Immunoprecipitation - Anti-MST4 antibody [EP1864Y] (<a href='/en-us/products/primary-antibodies/mst4-antibody-ep1864y-ab52491'>ab52491</a>) at 1/1000 dilution

Lane 1:

HeLa (Human cervix adenocarcinoma epithelial cell) whole cell lysate at 10 µg

Lane 2:

HeLa whole cell lysate immunoprecipitated with <a href='/en-us/products/primary-antibodies/mst4-antibody-ep1864y-ab52491'>ab52491</a> 1:100 dilution (2μg in 0.35mg lysates) at 10 µg

Lane 3:

HeLa whole cell lysate immunoprecipitated with Rabbit monoclonal IgG (<a href='/en-us/products/primary-antibodies/rabbit-igg-monoclonal-epr25a-isotype-control-ab172730'>ab172730</a>) 1:100 dilution (2μg in 0.35mg lysates), at 10 µg

Secondary

All lanes:

Immunoprecipitation - VeriBlot for IP Detection Reagent (HRP) (<a href='/en-us/products/reagents/veriblot-for-ip-detection-reagent-hrp-ab131366'>ab131366</a>) at 1/5000 dilution

Predicted band size: 47 kDa

false

Exposure time: 10s

Western blot - Anti-MST4 antibody [EP1864Y] - BSA and Azide free (AB284689)
  • WB

Unknown

Western blot - Anti-MST4 antibody [EP1864Y] - BSA and Azide free (AB284689)

This data was developed using ab52491, the same antibody clone in a different buffer formulation.

All lanes:

Western blot - Anti-MST4 antibody [EP1864Y] (<a href='/en-us/products/primary-antibodies/mst4-antibody-ep1864y-ab52491'>ab52491</a>) at 1/200000 dilution

All lanes:

HeLa cell lysate at 10 µg

Secondary

All lanes:

Goat anti-rabbit HRP at 1/2000 dilution

Predicted band size: 47 kDa

Observed band size: 50 kDa

false

Western blot - Anti-MST4 antibody [EP1864Y] - BSA and Azide free (AB284689)
  • WB

Lab

Western blot - Anti-MST4 antibody [EP1864Y] - BSA and Azide free (AB284689)

This data was developed using ab52491, the same antibody clone in a different buffer formulation.

All lanes:

Western blot - Anti-MST4 antibody [EP1864Y] - BSA and Azide free (ab284689) at 1/100000 dilution

Lane 1:

Mouse brain tissue lysate at 20 µg

Lane 2:

Rat brain tissue lysate at 20 µg

Secondary

All lanes:

Western blot - Goat Anti-Rabbit IgG H&L (HRP) (<a href='/en-us/products/secondary-antibodies/goat-rabbit-igg-h-l-hrp-ab97051'>ab97051</a>) at 1/20000 dilution

Predicted band size: 47 kDa

Observed band size: 50 kDa

false

Exposure time: 30s

Western blot - Anti-MST4 antibody [EP1864Y] - BSA and Azide free (AB284689)
  • WB

Unknown

Western blot - Anti-MST4 antibody [EP1864Y] - BSA and Azide free (AB284689)

This data was developed using ab52491, the same antibody clone in a different buffer formulation.

ab52491 recognizes the full length tagged recombinant MST4 protein (ab60341) which has an expected molecular weight of 72 kDa.

All lanes:

Western blot - Anti-MST4 antibody [EP1864Y] (<a href='/en-us/products/primary-antibodies/mst4-antibody-ep1864y-ab52491'>ab52491</a>) at 1/20000 dilution

All lanes:

Western blot - Recombinant human MST4 protein (<a href='/en-us/products/proteins-peptides/recombinant-human-mst4-protein-ab60341'>ab60341</a>) at 0.01 µg

Secondary

All lanes:

Western blot - Goat Anti-Rabbit IgG H&L (HRP) preadsorbed (<a href='/en-us/products/secondary-antibodies/goat-rabbit-igg-h-l-hrp-preadsorbed-ab97080'>ab97080</a>) at 1/5000 dilution

Predicted band size: 47 kDa

false

Exposure time: 20s

Key facts

Host species

Rabbit

Clonality

Monoclonal

Clone number

EP1864Y

Isotype

IgG

Carrier free

Yes

Reacts with

Rat, Human, Mouse

Applications

IP, WB, IHC-P, ICC/IF, Flow Cyt (Intra)

applications

Immunogen

The exact immunogen used to generate this antibody is proprietary information.

Reactivity data

{ "title": "Reactivity Data", "filters": { "stats": ["", "Species", "Dilution Info", "Notes"], "tabs": { "all-applications": {"fullname" : "All Applications", "shortname": "All Applications"}, "IP" : {"fullname" : "Immunoprecipitation", "shortname":"IP"}, "WB" : {"fullname" : "Western blot", "shortname":"WB"}, "IHCP" : {"fullname" : "Immunohistochemistry (Formalin/PFA-fixed paraffin-embedded sections)", "shortname":"IHC-P"}, "ICCIF" : {"fullname" : "Immunocytochemistry/ Immunofluorescence", "shortname":"ICC/IF"}, "FlowCytIntra" : {"fullname" : "Flow Cytometry (Intracellular)", "shortname":"Flow Cyt (Intra)"} }, "product-promise": { "all": "all", "testedAndGuaranteed": "tested", "guaranteed": "expected", "predicted": "predicted", "notRecommended": "not-recommended" } }, "values": { "Human": { "IP-species-checked": "testedAndGuaranteed", "IP-species-dilution-info": "", "IP-species-notes": "<p></p>", "WB-species-checked": "testedAndGuaranteed", "WB-species-dilution-info": "", "WB-species-notes": "<p></p>", "IHCP-species-checked": "testedAndGuaranteed", "IHCP-species-dilution-info": "", "IHCP-species-notes": "<p></p>", "ICCIF-species-checked": "testedAndGuaranteed", "ICCIF-species-dilution-info": "", "ICCIF-species-notes": "<p></p>", "FlowCytIntra-species-checked": "testedAndGuaranteed", "FlowCytIntra-species-dilution-info": "", "FlowCytIntra-species-notes": "<p><a href='/en-us/products/primary-antibodies/rabbit-igg-monoclonal-epr25a-isotype-control-ab172730'>ab172730</a> - Rabbit monoclonal IgG, is suitable for use as an isotype control with this antibody.</p>" }, "Mouse": { "IP-species-checked": "guaranteed", "IP-species-dilution-info": "", "IP-species-notes": "", "WB-species-checked": "testedAndGuaranteed", "WB-species-dilution-info": "", "WB-species-notes": "<p></p>", "IHCP-species-checked": "guaranteed", "IHCP-species-dilution-info": "", "IHCP-species-notes": "", "ICCIF-species-checked": "guaranteed", "ICCIF-species-dilution-info": "", "ICCIF-species-notes": "", "FlowCytIntra-species-checked": "guaranteed", "FlowCytIntra-species-dilution-info": "", "FlowCytIntra-species-notes": "" }, "Rat": { "IP-species-checked": "guaranteed", "IP-species-dilution-info": "", "IP-species-notes": "", "WB-species-checked": "testedAndGuaranteed", "WB-species-dilution-info": "", "WB-species-notes": "<p></p>", "IHCP-species-checked": "guaranteed", "IHCP-species-dilution-info": "", "IHCP-species-notes": "", "ICCIF-species-checked": "guaranteed", "ICCIF-species-dilution-info": "", "ICCIF-species-notes": "", "FlowCytIntra-species-checked": "guaranteed", "FlowCytIntra-species-dilution-info": "", "FlowCytIntra-species-notes": "" }, "Recombinant full length protein - Human": { "IP-species-checked": "notRecommended", "IP-species-dilution-info": "", "IP-species-notes": "", "WB-species-checked": "testedAndGuaranteed", "WB-species-dilution-info": "", "WB-species-notes": "<p></p>", "IHCP-species-checked": "notRecommended", "IHCP-species-dilution-info": "", "IHCP-species-notes": "", "ICCIF-species-checked": "notRecommended", "ICCIF-species-dilution-info": "", "ICCIF-species-notes": "", "FlowCytIntra-species-checked": "notRecommended", "FlowCytIntra-species-dilution-info": "", "FlowCytIntra-species-notes": "" } } }

Product details

ab284689 is the carrier-free version of ab52491

Patented technology
Our RabMAb® technology is a patented hybridoma-based technology for making rabbit monoclonal antibodies. For details on our patents, please refer to RabMAb® patents.

Conjugation ready
Our carrier-free antibodies are typically supplied in a PBS-only formulation, purified and free of BSA, sodium azide and glycerol. This conjugation-ready format is designed for use with fluorochromes, metal isotopes, oligonucleotides, and enzymes, which makes them ideal for antibody labelling, functional and cell-based assays, flow-based assays (e.g. mass cytometry) and Multiplex Imaging applications.

Use our conjugation kits for antibody conjugates that are ready-to-use in as little as 20 minutes with 1 minute hands-on-time and 100% antibody recovery: available for fluorescent dyes, HRP, biotin and gold.

Compatibility
This product is compatible with the Maxpar® Antibody Labeling Kit from Fluidigm, without the need for antibody preparation. Maxpar® is a trademark of Fluidigm Canada Inc.

Properties and storage information

Form
Liquid
Purification technique
Affinity purification Protein A
Storage buffer
pH: 7.2 - 7.4 Constituents: PBS
Shipped at conditions
Blue Ice
Appropriate short-term storage conditions
+4°C
Appropriate long-term storage conditions
+4°C

Supplementary information

This supplementary information is collated from multiple sources and compiled automatically.

MST4 also known as mammalian sterile 20-like kinase 4 is a serine/threonine kinase with a molecular mass of approximately 53 kDa. It belongs to the germinal center kinase (GCK) family and is expressed in various tissues showing higher levels in the brain and testis. MST4 localizes to the Golgi apparatus where it plays a role in regulating cellular processes.
Biological function summary

MST4 contributes to cell growth apoptosis and stress response signaling. It does not operate alone; MST4 is a part of the STRIPAK complex. The protein involves itself in the regulation of the actin cytoskeleton thereby influencing cell motility and polarity. By modulating these processes MST4 can impact developmental and stress-induced cellular pathways.

Pathways

MST4 participates in the Hippo signaling pathway which regulates organ size by controlling cell proliferation and apoptosis. In this pathway MST4 interacts with other proteins such as MST1 and MST2 to execute its functions. MST4 also participates in the MAPK signaling pathway where it connects to various cellular stress responses contributing to the transcriptional activity of downstream effectors.

MST4 has implications in cancer and neurodegenerative diseases. Alterations in MST4 expression or activity have been associated with tumor progression in several cancers. Additionally it's linked to neurodegeneration through its interactions with proteins such as Tau where dysregulated pathways may lead to pathological conditions. These connections highlight the importance of MST4 in maintaining cellular homeostasis and the implications of its dysfunction in disease states.

Product protocols

For this product, it's our understanding that no specific protocols are required. You can visit:

Target data

Serine/threonine-protein kinase that acts as a mediator of cell growth (PubMed : 11641781, PubMed : 17360971). Modulates apoptosis (PubMed : 11641781, PubMed : 17360971). In association with STK24 negatively regulates Golgi reorientation in polarized cell migration upon RHO activation (PubMed : 27807006). Phosphorylates ATG4B at 'Ser-383', thereby increasing autophagic flux (PubMed : 29232556). Part of the striatin-interacting phosphatase and kinase (STRIPAK) complexes. STRIPAK complexes have critical roles in protein (de)phosphorylation and are regulators of multiple signaling pathways including Hippo, MAPK, nuclear receptor and cytoskeleton remodeling. Different types of STRIPAK complexes are involved in a variety of biological processes such as cell growth, differentiation, apoptosis, metabolism and immune regulation (PubMed : 18782753).
See full target information STK26

Product promise

We are committed to supporting your work with high-quality reagents, and we're here for you every step of the way. In the unlikely event that one of our products does not perform as expected, you're protected by our Product Promise.
For full details, please see our Terms & Conditions

Please note: All products are 'FOR RESEARCH USE ONLY. NOT FOR USE IN DIAGNOSTIC OR THERAPEUTIC PROCEDURES'.

For licensing inquiries, please contact partnerships@abcam.com