JavaScript is disabled in your browser. Please enable JavaScript to view this website.
AB190070

Anti-Msx2/Hox8 antibody - N-terminal

Be the first to review this product! Submit a review

|

(2 Publications)

Rabbit Polyclonal Msx2/Hox8 antibody. N-terminal. Suitable for WB, IHC-P and reacts with Human samples. Cited in 2 publications. Immunogen corresponding to Synthetic Peptide within Human MSX2 conjugated to Keyhole Limpet Haemocyanin.

View Alternative Names

HOX8, MSX2, Homeobox protein MSX-2, Homeobox protein Hox-8

2 Images
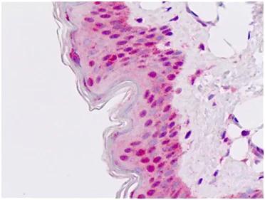
Immunohistochemistry (Formalin/PFA-fixed paraffin-embedded sections) - Anti-Msx2/Hox8 antibody - N-terminal (AB190070)
  • IHC-P

Supplier Data

Immunohistochemistry (Formalin/PFA-fixed paraffin-embedded sections) - Anti-Msx2/Hox8 antibody - N-terminal (AB190070)

Immunohistochemical analysis of formalin-fixed, paraffin-embedded Human skin tissue labeling Msx2/Hox8 with ab190070 at 10 μg/ml.

Western blot - Anti-Msx2/Hox8 antibody - N-terminal (AB190070)
  • WB

Supplier Data

Western blot - Anti-Msx2/Hox8 antibody - N-terminal (AB190070)

All lanes:

Western blot - Anti-Msx2/Hox8 antibody - N-terminal (ab190070) at 1/1000 dilution

Lane 1:

293 cell lysate, non-transfected at 2 µg

Lane 2:

293 cell lysate, transiently transfected with Msx2/Hox8 gene at 2 µg

Predicted band size: 29 kDa

false

Key facts

Host species

Rabbit

Clonality

Polyclonal

Isotype

IgG

Carrier free

No

Reacts with

Human

Applications

IHC-P, WB

applications

Immunogen

Synthetic Peptide within Human MSX2 conjugated to Keyhole Limpet Haemocyanin. The exact immunogen used to generate this antibody is proprietary information.

P35548

Reactivity data

{ "title": "Reactivity Data", "filters": { "stats": ["", "Species", "Dilution Info", "Notes"], "tabs": { "all-applications": {"fullname" : "All Applications", "shortname": "All Applications"}, "WB" : {"fullname" : "Western blot", "shortname":"WB"}, "IHCP" : {"fullname" : "Immunohistochemistry (Formalin/PFA-fixed paraffin-embedded sections)", "shortname":"IHC-P"} }, "product-promise": { "all": "all", "testedAndGuaranteed": "tested", "guaranteed": "expected", "predicted": "predicted", "notRecommended": "not-recommended" } }, "values": { "Human": { "WB-species-checked": "testedAndGuaranteed", "WB-species-dilution-info": "1/1000", "WB-species-notes": "<p></p>", "IHCP-species-checked": "testedAndGuaranteed", "IHCP-species-dilution-info": "10 µg/mL", "IHCP-species-notes": "<p></p>" } } }

Properties and storage information

Form
Liquid
Purification technique
Affinity purification Immunogen
Storage buffer
pH: 7.4 Preservative: 0.09% Sodium azide Constituents: PBS
Shipped at conditions
Blue Ice
Appropriate short-term storage duration
1-2 weeks
Appropriate short-term storage conditions
+4°C
Appropriate long-term storage conditions
-20°C
Aliquoting information
Upon delivery aliquot
Storage information
Avoid freeze / thaw cycle

Supplementary information

This supplementary information is collated from multiple sources and compiled automatically.

Msx2 also known as Hox8 or Msh homeobox 2 is a transcription factor that binds to specific DNA sequences influencing gene expression. It belongs to the homeobox gene family and has a molecular weight of approximately 35 kDa. This protein is expressed in several tissues including the craniofacial mesenchyme limbs and skin. Msx2 plays a role in embryonic development and tissue remodeling by regulating gene transcription required for cell proliferation differentiation and apoptosis.
Biological function summary

Msx2 influences craniofacial development and limb patterning. It acts as part of a regulatory complex that coordinates processes like cranial suture closure and appendage morphogenesis. Msx2 interacts with other transcription factors and signaling molecules to modulate cellular responses during important developmental phases. Disruptions in Msx2 activity can impact normal cell function leading to developmental defects especially in the skeletal system.

Pathways

Msx2 is an important player in the Wnt and BMP signaling pathways. It interacts with proteins such as β-catenin and Smad1/Smad5 to mediate these pathways' output affecting various cell fate decisions. In the Wnt pathway Msx2 modulation helps regulate bone formation while in the BMP pathway it influences osteoblast differentiation. This integration into multiple pathways highlights Msx2’s importance in skeletal development and homeostasis.

Msx2 is associated with craniosynostosis and osteopetrosis. In craniosynostosis the premature fusion of cranial sutures is linked to dysregulated expression of Msx2. Altered interactions with proteins like Runx2 and Twist1 contribute to this pathology. In osteopetrosis Msx2's involvement in bone density regulation through its interaction with the BMP pathway is critical. Insights into Msx2’s role in these conditions can advance therapeutic development targeting these molecular interactions.

Product protocols

For this product, it's our understanding that no specific protocols are required. You can visit:

Target data

Acts as a transcriptional regulator in bone development. Represses the ALPL promoter activity and antagonizes the stimulatory effect of DLX5 on ALPL expression during osteoblast differentiation. Probable morphogenetic role. May play a role in limb-pattern formation. In osteoblasts, suppresses transcription driven by the osteocalcin FGF response element (OCFRE). Binds to the homeodomain-response element of the ALPL promoter.
See full target information MSX2

Publications (2)

Recent publications for all applications. Explore the full list and refine your search

International journal of molecular sciences 23: PubMed36012688

2022

Expression of Cell Cycle Markers and Proliferation Factors during Human Eye Embryogenesis and Tumorigenesis.

Applications

Unspecified application

Species

Unspecified reactive species

Josipa Marin Lovrić,Natalija Filipović,Ljubo Znaor,Anita Rančić,Joško Petričević,Nenad Kunac,Violeta Šoljić,Mirna Saraga-Babić,Katarina Vukojević

Organogenesis 13:141-155 PubMed28933666

2017

Regulation of proliferation in developing human tooth germs by MSX homeodomain proteins and cyclin-dependent kinase inhibitor p19.

Applications

Unspecified application

Species

Unspecified reactive species

Darko Kero,Katarina Vukojevic,Petra Stazic,Danijela Sundov,Snjezana Mardesic Brakus,Mirna Saraga-Babic
View all publications

Product promise

We are committed to supporting your work with high-quality reagents, and we're here for you every step of the way. In the unlikely event that one of our products does not perform as expected, you're protected by our Product Promise.
For full details, please see our Terms & Conditions

Please note: All products are 'FOR RESEARCH USE ONLY. NOT FOR USE IN DIAGNOSTIC OR THERAPEUTIC PROCEDURES'.

For licensing inquiries, please contact partnerships@abcam.com