JavaScript is disabled in your browser. Please enable JavaScript to view this website.
AB288770

Anti-MTA1 antibody [EPR24507-64] - BSA and Azide free

Be the first to review this product! Submit a review

|

(0 Publication)

Rabbit Recombinant Monoclonal MTA1 antibody. Carrier free. Suitable for WB, Flow Cyt (Intra), ICC/IF and reacts with Human samples.

View Alternative Names

Metastasis-associated protein MTA1, MTA1

5 Images
Immunocytochemistry/ Immunofluorescence - Anti-MTA1 antibody [EPR24507-64] - BSA and Azide free (AB288770)
  • ICC/IF

Supplier Data

Immunocytochemistry/ Immunofluorescence - Anti-MTA1 antibody [EPR24507-64] - BSA and Azide free (AB288770)

This data was developed using ab288765, the same antibody clone in a different buffer formulation.

Immunofluorescent analysis of 100% methanol-fixed, 0.1% TritonX-100 permeabilized HeLa cells labelling MTA1 with ab288765 at 1/50 (9.62 ug/ml) dilution, followed by ab150081 Goat Anti-Rabbit IgG H&L (Alexa Fluor® 488) preadsorbed antibody at 1/1000 (2 ug/ml) dilution (Green). Confocal image showing nuclear staining in HeLa cell line is observed. ab195889 Anti-alpha Tubulin mouse monoclonal antibody - Microtubule Marker (Alexa Fluor® 594) was used to counterstain tubulin at 1/200 (2.5 ug/ml) dilution (Red). The Nuclear counterstain was DAPI (Blue).

Secondary antibody only control : Secondary antibody is ab150081 Goat Anti-Rabbit IgG H&L (Alexa Fluor® 488) preadsorbed at 1/1000 (2 ug/ml) dilution.

Flow Cytometry (Intracellular) - Anti-MTA1 antibody [EPR24507-64] - BSA and Azide free (AB288770)
  • Flow Cyt (Intra)

Supplier Data

Flow Cytometry (Intracellular) - Anti-MTA1 antibody [EPR24507-64] - BSA and Azide free (AB288770)

This data was developed using ab288765, the same antibody clone in a different buffer formulation.

Flow cytometric analysis of 4% paraformaldehyde fixed 90% methanol permeabilized MCF7 (Human breast adenocarcinoma epithelial cell) cells labelling MTA1 with ab288765 at 1/500 dilution (0.1ug)(Red) compared with a Rabbit monoclonal IgG (ab172730) (Black) isotype control and an unlabelled control (cells without incubation with primary antibody and secondary antibody) (Blue). A Goat Anti-Rabbit IgG (Alexa Fluor® 488, ab150081) at 1/2000 dilution was used as the secondary antibody.

Immunocytochemistry/ Immunofluorescence - Anti-MTA1 antibody [EPR24507-64] - BSA and Azide free (AB288770)
  • ICC/IF

Supplier Data

Immunocytochemistry/ Immunofluorescence - Anti-MTA1 antibody [EPR24507-64] - BSA and Azide free (AB288770)

This data was developed using ab288765, the same antibody clone in a different buffer formulation.

Immunofluorescent analysis of 100% methanol-fixed, 0.1% TritonX-100 permeabilized 293T cells labelling MTA1 with ab288765 at 1/50 (9.62 ug/ml) dilution, followed by ab150081 Goat Anti-Rabbit IgG H&L (Alexa Fluor® 488) preadsorbed antibody at 1/1000 (2 ug/ml) dilution (Green). Confocal image showing nuclear staining in 293T cell line is observed. ab195889 Anti-alpha Tubulin mouse monoclonal antibody - Microtubule Marker (Alexa Fluor® 594) was used to counterstain tubulin at 1/200 (2.5 ug/ml) dilution (Red). The Nuclear counterstain was DAPI (Blue).

Secondary antibody only control : Secondary antibody is ab150081 Goat Anti-Rabbit IgG H&L (Alexa Fluor® 488) preadsorbed at 1/1000 (2 ug/ml) dilution.

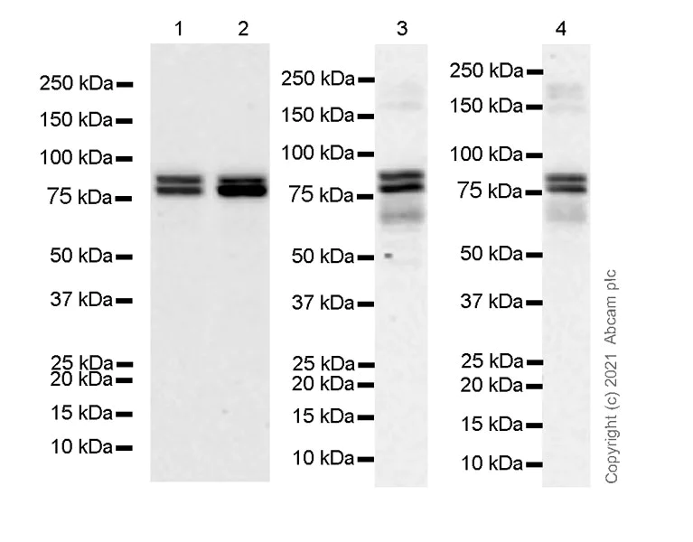
Western blot - Anti-MTA1 antibody [EPR24507-64] - BSA and Azide free (AB288770)
  • WB

Lab

Western blot - Anti-MTA1 antibody [EPR24507-64] - BSA and Azide free (AB288770)

This data was developed using ab288765, the same antibody clone in a different buffer formulation.

Blocking and diluting buffer and concentration : 5% NFDM/TBST

Lanes 1-2 : This blot was developed using a higher sensitivity ECL substrate.

Lysates was made freshly and used in WB immediately.

Exposure time : 3 minutes

All lanes:

Western blot - Anti-MTA1 antibody [EPR24507-64] (<a href='/en-us/products/primary-antibodies/mta1-antibody-epr24507-64-ab288765'>ab288765</a>) at 1/1000 dilution

Lane 1:

HeLa (human cervix adenocarcinoma epithelial cell), whole cell lysate at 20 µg

Lane 2:

293T (human embryonic kidney epithelial cell), whole cell lysate at 20 µg

Lane 3:

MCF7 (human breast adenocarcinoma epithelial cell), whole cell lysate at 10 µg

Lane 4:

A549 (Human lung carcinoma cell line) whole cell lysate at 10 µg

Secondary

All lanes:

Goat Anti-Rabbit IgG, (H+L), Peroxidase conjugated (<a href='/en-us/products/secondary-antibodies/goat-rabbit-igg-h-l-hrp-ab97051'>ab97051</a>) at 1/100000 dilution

Predicted band size: 81 kDa

Observed band size: 78-82 kDa

false

Western blot - Anti-MTA1 antibody [EPR24507-64] - BSA and Azide free (AB288770)
  • WB

Lab

Western blot - Anti-MTA1 antibody [EPR24507-64] - BSA and Azide free (AB288770)

This data was developed using the same antibody clone in a different buffer formulation (ab288765).

Western blot : Anti-MTA1 antibody [EPR24507-64] (ab288765) staining at 1/1000 dilution, shown in green; Mouse anti-GAPDH antibody [6C5] (ab8245) loading control staining at 1/20000 dilution, shown in magenta. In Western blot, ab288765 was shown to bind specifically to MTA1. A band was observed at 80-85 kDa in wild-type A549 cell lysates with no signal observed at this size in MTA1 knockout cell line. To generate this image, wild-type and MTA1 knockout A549 cell lysates were analysed. First, samples were run on an SDS-PAGE gel then transferred onto a nitrocellulose membrane. Membranes were blocked in 5 % milk in TBS-0.1 % Tween® 20 (TBS-T) before incubation with primary antibodies overnight at 4 °C. Blots were washed four times in TBS-T, incubated with secondary antibodies for 1 h at room temperature, washed again four times then imaged. Secondary antibodies used were Goat anti-Rabbit IgG H&L 800CW and Goat anti-Mouse IgG H&L 680RD at 1/20000 dilution.

All lanes:

Western blot - Anti-MTA1 antibody [EPR24507-64] (<a href='/en-us/products/primary-antibodies/mta1-antibody-epr24507-64-ab288765'>ab288765</a>) at 1/1000 dilution

Lane 1:

Wild-type A549 cell lysate at 20 µg

Lanes 2 and 4:

Empty cell lysate at 20 µg

Lane 3:

MTA1 knockout A549 ab314986 cell lysate at 20 µg

Lane 5:

Wild-type HEK-293 ab259780 cell lysate at 20 µg

Lane 6:

MTA1 knockout HEK-293 <a href='/en-us/products/cell-lines/human-mta1-knockout-hek-293-cell-line-ab277164'>ab277164</a> cell lysate at 20 µg

Secondary

All lanes:

Goat anti-Rabbit IgG H&L 800CW and Goat anti-Mouse IgG H&L 680RD at 1/20000 dilution

Observed band size: 80 kDa,85 kDa

false

  • Unconjugated

    Anti-MTA1 antibody [EPR24507-64]

  • Carrier free

    Anti-MTA1 antibody [EPR24507-64] - BSA and Azide free (Detector)

Key facts

Host species

Rabbit

Clonality

Monoclonal

Clone number

EPR24507-64

Isotype

IgG

Carrier free

Yes

Reacts with

Human

Applications

WB, ICC/IF, Flow Cyt (Intra)

applications

Immunogen

The exact immunogen used to generate this antibody is proprietary information.

Reactivity data

{ "title": "Reactivity Data", "filters": { "stats": ["", "Species", "Dilution Info", "Notes"], "tabs": { "all-applications": {"fullname" : "All Applications", "shortname": "All Applications"}, "IP" : {"fullname" : "Immunoprecipitation", "shortname":"IP"}, "WB" : {"fullname" : "Western blot", "shortname":"WB"}, "FlowCytIntra" : {"fullname" : "Flow Cytometry (Intracellular)", "shortname":"Flow Cyt (Intra)"}, "ICCIF" : {"fullname" : "Immunocytochemistry/ Immunofluorescence", "shortname":"ICC/IF"}, "IHCP" : {"fullname" : "Immunohistochemistry (Formalin/PFA-fixed paraffin-embedded sections)", "shortname":"IHC-P"} }, "product-promise": { "all": "all", "testedAndGuaranteed": "tested", "guaranteed": "expected", "predicted": "predicted", "notRecommended": "not-recommended" } }, "values": { "Human": { "IP-species-checked": "notRecommended", "IP-species-dilution-info": "", "IP-species-notes": "<p></p>", "WB-species-checked": "testedAndGuaranteed", "WB-species-dilution-info": "", "WB-species-notes": "<p></p>", "FlowCytIntra-species-checked": "testedAndGuaranteed", "FlowCytIntra-species-dilution-info": "", "FlowCytIntra-species-notes": "<p></p>", "ICCIF-species-checked": "testedAndGuaranteed", "ICCIF-species-dilution-info": "", "ICCIF-species-notes": "<p></p>", "IHCP-species-checked": "notRecommended", "IHCP-species-dilution-info": "", "IHCP-species-notes": "<p></p>" }, "Mouse": { "IP-species-checked": "notRecommended", "IP-species-dilution-info": "", "IP-species-notes": "<p></p>", "WB-species-checked": "notRecommended", "WB-species-dilution-info": "", "WB-species-notes": "<p></p>", "FlowCytIntra-species-checked": "notRecommended", "FlowCytIntra-species-dilution-info": "", "FlowCytIntra-species-notes": "<p></p>", "ICCIF-species-checked": "notRecommended", "ICCIF-species-dilution-info": "", "ICCIF-species-notes": "<p></p>", "IHCP-species-checked": "notRecommended", "IHCP-species-dilution-info": "", "IHCP-species-notes": "<p></p>" }, "Rat": { "IP-species-checked": "notRecommended", "IP-species-dilution-info": "", "IP-species-notes": "", "WB-species-checked": "notRecommended", "WB-species-dilution-info": "", "WB-species-notes": "<p></p>", "FlowCytIntra-species-checked": "notRecommended", "FlowCytIntra-species-dilution-info": "", "FlowCytIntra-species-notes": "", "ICCIF-species-checked": "notRecommended", "ICCIF-species-dilution-info": "", "ICCIF-species-notes": "", "IHCP-species-checked": "notRecommended", "IHCP-species-dilution-info": "", "IHCP-species-notes": "<p></p>" } } }

Product details

ab288770 is the carrier free version of ab288765.

Patented technology
Our RabMAb® technology is a patented hybridoma-based technology for making rabbit monoclonal antibodies. For details on our patents, please refer to RabMAb® patents.

What are the advantages of a recombinant monoclonal antibody?
This product is a recombinant monoclonal antibody, which offers several advantages including:

  • - High batch-to-batch consistency and reproducibility
  • - Improved sensitivity and specificity
  • - Long-term security of supply
  • - Animal-free batch production

For more information, read more on recombinant antibodies.

Conjugation ready
Our carrier-free antibodies are typically supplied in a PBS-only formulation, purified and free of BSA, sodium azide and glycerol. This conjugation-ready format is designed for use with fluorochromes, metal isotopes, oligonucleotides, and enzymes, which makes them ideal for antibody labelling, functional and cell-based assays, flow-based assays (e.g. mass cytometry) and Multiplex Imaging applications.

Use our conjugation kits for antibody conjugates that are ready-to-use in as little as 20 minutes with 1 minute hands-on-time and 100% antibody recovery: available for fluorescent dyes, HRP, biotin and gold.

Compatibility
This product is compatible with the Maxpar® Antibody Labeling Kit from Fluidigm, without the need for antibody preparation. Maxpar® is a trademark of Fluidigm Canada Inc.

Properties and storage information

Form
Liquid
Purification technique
Affinity purification Protein A
Storage buffer
pH: 7.2 - 7.4 Constituents: PBS
Shipped at conditions
Blue Ice
Appropriate short-term storage conditions
+4°C
Appropriate long-term storage conditions
+4°C

Supplementary information

This supplementary information is collated from multiple sources and compiled automatically.

The MTA1 protein short for Metastasis-Associated 1 is a significant player in cellular mechanisms. It has an approximate molecular weight of 80 kDa. MTA1 is known for its function as a chromatin remodeling factor involved in altering chromatin structure to regulate gene expression. Alternate names include metastasis tumor antigen 1. MTA1 expresses widely but has higher levels in metastatic tumor cells playing a role in cancer progression by influencing gene transcription and chromatin dynamics.
Biological function summary

MTA1 contributes to regulating diverse cellular processes. It forms part of the NuRD complex which plays a critical role in mediating chromatin remodeling and histone deacetylation. This association enables MTA1 to influence key aspects of cellular behavior including cell proliferation differentiation and response to stress. The protein's involvement extends to modulating transcription factors and interacting with several other proteins impacting cellular growth and metastasis.

Pathways

MTA1 participates actively in the regulation of several key signaling networks. One significant pathway is the Wnt/β-catenin signaling pathway where MTA1 modulates gene expression by interacting with β-catenin. In another pathway it affects the estrogen receptor signaling pathway impacting gene transcription in hormone-dependent cancers. MTA1’s interaction with HDAC (Histone deacetylase) proteins emphasizes its role in epigenetic regulation across different biological pathways.

MTA1 is frequently connected with cancer progression and metastasis. Its overexpression correlates with poor prognosis in breast cancer highlighting its impact on tumor aggressiveness. Additionally MTA1 has implications in prostate cancer where it interacts with the androgen receptor influencing cancer cell proliferation and resistance to therapy. Understanding the role of MTA1 in these diseases could potentially lead to new therapeutic targets for cancer treatment.

Product protocols

For this product, it's our understanding that no specific protocols are required. You can visit:

Target data

Transcriptional coregulator which can act as both a transcriptional corepressor and coactivator (PubMed : 16617102, PubMed : 17671180, PubMed : 17922032, PubMed : 21965678, PubMed : 24413532). Acts as a component of the histone deacetylase NuRD complex which participates in the remodeling of chromatin (PubMed : 16428440, PubMed : 28977666). In the NuRD complex, regulates transcription of its targets by modifying the acetylation status of the target chromatin and cofactor accessibility to the target DNA (PubMed : 17671180). In conjunction with other components of NuRD, acts as a transcriptional corepressor of BRCA1, ESR1, TFF1 and CDKN1A (PubMed : 17922032, PubMed : 24413532). Acts as a transcriptional coactivator of BCAS3, and SUMO2, independent of the NuRD complex (PubMed : 16617102, PubMed : 17671180, PubMed : 21965678). Stimulates the expression of WNT1 by inhibiting the expression of its transcriptional corepressor SIX3 (By similarity). Regulates p53-dependent and -independent DNA repair processes following genotoxic stress (PubMed : 19837670). Regulates the stability and function of p53/TP53 by inhibiting its ubiquitination by COP1 and MDM2 thereby regulating the p53-dependent DNA repair (PubMed : 19837670). Plays a role in the regulation of the circadian clock and is essential for the generation and maintenance of circadian rhythms under constant light and for normal entrainment of behavior to light-dark (LD) cycles (By similarity). Positively regulates the CLOCK-BMAL1 heterodimer mediated transcriptional activation of its own transcription and the transcription of CRY1 (By similarity). Regulates deacetylation of BMAL1 by regulating SIRT1 expression, resulting in derepressing CRY1-mediated transcription repression (By similarity). With TFCP2L1, promotes establishment and maintenance of pluripotency in embryonic stem cells (ESCs) and inhibits endoderm differentiation (By similarity).. Isoform Short. Binds to ESR1 and sequesters it in the cytoplasm and enhances its non-genomic responses.
See full target information MTA1

Product promise

We are committed to supporting your work with high-quality reagents, and we're here for you every step of the way. In the unlikely event that one of our products does not perform as expected, you're protected by our Product Promise.
For full details, please see our Terms & Conditions

Please note: All products are 'FOR RESEARCH USE ONLY. NOT FOR USE IN DIAGNOSTIC OR THERAPEUTIC PROCEDURES'.

For licensing inquiries, please contact partnerships@abcam.com