JavaScript is disabled in your browser. Please enable JavaScript to view this website.
AB171073

Anti-MTA2/PID antibody [EPR8537(2)]

Be the first to review this product! Submit a review

|

(5 Publications)

Rabbit Recombinant Monoclonal MTA2/PID antibody. Suitable for IHC-P, WB, ICC/IF, Flow Cyt (Intra) and reacts with Human samples. Cited in 5 publications.

View Alternative Names

MTA1L1, PID, MTA2, Metastasis-associated protein MTA2, Metastasis-associated 1-like 1, p53 target protein in deacetylase complex, MTA1-L1 protein

5 Images
Immunohistochemistry (Formalin/PFA-fixed paraffin-embedded sections) - Anti-MTA2/PID antibody [EPR8537(2)] (AB171073)
  • IHC-P

Supplier Data

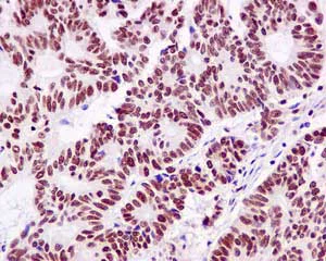
Immunohistochemistry (Formalin/PFA-fixed paraffin-embedded sections) - Anti-MTA2/PID antibody [EPR8537(2)] (AB171073)

Immunohistochemical analysis of paraffin-embedded Human colonic carcinoma tissue labeling MTA2/PID with ab171073 at 1/50 dilution.

Perform heat mediated antigen retrieval with citrate buffer pH 6 before commencing with IHC staining protocol.

Immunocytochemistry/ Immunofluorescence - Anti-MTA2/PID antibody [EPR8537(2)] (AB171073)
  • ICC/IF

Supplier Data

Immunocytochemistry/ Immunofluorescence - Anti-MTA2/PID antibody [EPR8537(2)] (AB171073)

Immunofluorescent staining of HeLa cells labeling MTA2/PID with ab171073 at 1/250 dilution.

Immunohistochemistry (Formalin/PFA-fixed paraffin-embedded sections) - Anti-MTA2/PID antibody [EPR8537(2)] (AB171073)
  • IHC-P

Supplier Data

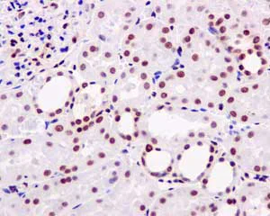
Immunohistochemistry (Formalin/PFA-fixed paraffin-embedded sections) - Anti-MTA2/PID antibody [EPR8537(2)] (AB171073)

Immunohistochemical analysis of paraffin-embedded Human kidney tissue labeling MTA2/PID with ab171073 at 1/50 dilution.

Perform heat mediated antigen retrieval with citrate buffer pH 6 before commencing with IHC staining protocol.

Western blot - Anti-MTA2/PID antibody [EPR8537(2)] (AB171073)
  • WB

Supplier Data

Western blot - Anti-MTA2/PID antibody [EPR8537(2)] (AB171073)

All lanes:

Western blot - Anti-MTA2/PID antibody [EPR8537(2)] (ab171073) at 1/1000 dilution

Lane 1:

MCF7 cell lysate at 10 µg

Lane 2:

HeLa cell lysate at 10 µg

Lane 3:

SW480 cell lysate at 10 µg

Predicted band size: 75 kDa

false

Flow Cytometry (Intracellular) - Anti-MTA2/PID antibody [EPR8537(2)] (AB171073)
  • Flow Cyt (Intra)

Supplier Data

Flow Cytometry (Intracellular) - Anti-MTA2/PID antibody [EPR8537(2)] (AB171073)

Intracellular flow cytometric analysis of permeabilized Hela cells labeling MTA2/PID with ab171073 at 1/100 dilution (red)or a rabbit IgG negative (green).

  • Carrier free

    Anti-MTA2/PID antibody [EPR8537(2)] - BSA and Azide free

Key facts

Host species

Rabbit

Clonality

Monoclonal

Clone number

EPR8537(2)

Isotype

IgG

Carrier free

No

Reacts with

Human

Applications

ICC/IF, Flow Cyt (Intra), IHC-P, WB

applications

Immunogen

The exact immunogen used to generate this antibody is proprietary information.

Reactivity data

{ "title": "Reactivity Data", "filters": { "stats": ["", "Species", "Dilution Info", "Notes"], "tabs": { "all-applications": {"fullname" : "All Applications", "shortname": "All Applications"}, "IHCP" : {"fullname" : "Immunohistochemistry (Formalin/PFA-fixed paraffin-embedded sections)", "shortname":"IHC-P"}, "IP" : {"fullname" : "Immunoprecipitation", "shortname":"IP"}, "WB" : {"fullname" : "Western blot", "shortname":"WB"}, "ICCIF" : {"fullname" : "Immunocytochemistry/ Immunofluorescence", "shortname":"ICC/IF"}, "FlowCytIntra" : {"fullname" : "Flow Cytometry (Intracellular)", "shortname":"Flow Cyt (Intra)"} }, "product-promise": { "all": "all", "testedAndGuaranteed": "tested", "guaranteed": "expected", "predicted": "predicted", "notRecommended": "not-recommended" } }, "values": { "Human": { "IHCP-species-checked": "testedAndGuaranteed", "IHCP-species-dilution-info": "1/50 - 1/100", "IHCP-species-notes": "<p>Antigen retrieval is recommended</p> Perform heat-mediated antigen retrieval with citrate buffer pH 6 before commencing with IHC staining protocol.", "IP-species-checked": "notRecommended", "IP-species-dilution-info": "", "IP-species-notes": "<p></p>", "WB-species-checked": "testedAndGuaranteed", "WB-species-dilution-info": "1/1000 - 1/5000", "WB-species-notes": "<p></p>", "ICCIF-species-checked": "testedAndGuaranteed", "ICCIF-species-dilution-info": "1/250 - 1/500", "ICCIF-species-notes": "<p></p>", "FlowCytIntra-species-checked": "testedAndGuaranteed", "FlowCytIntra-species-dilution-info": "1/100 - 1/500", "FlowCytIntra-species-notes": "<p><a href='/en-us/products/primary-antibodies/rabbit-igg-monoclonal-epr25a-isotype-control-ab172730'>ab172730</a> - Rabbit monoclonal IgG, is suitable for use as an isotype control with this antibody.</p>" }, "Mouse": { "IHCP-species-checked": "notRecommended", "IHCP-species-dilution-info": "1/50 - 1/100", "IHCP-species-notes": "<p>Antigen retrieval is recommended</p> Perform heat-mediated antigen retrieval with citrate buffer pH 6 before commencing with IHC staining protocol.", "IP-species-checked": "notRecommended", "IP-species-dilution-info": "", "IP-species-notes": "<p></p>", "WB-species-checked": "notRecommended", "WB-species-dilution-info": "1/1000 - 1/5000", "WB-species-notes": "<p></p>", "ICCIF-species-checked": "notRecommended", "ICCIF-species-dilution-info": "1/250 - 1/500", "ICCIF-species-notes": "<p></p>", "FlowCytIntra-species-checked": "notRecommended", "FlowCytIntra-species-dilution-info": "1/100 - 1/500", "FlowCytIntra-species-notes": "<p><a href='/en-us/products/primary-antibodies/rabbit-igg-monoclonal-epr25a-isotype-control-ab172730'>ab172730</a> - Rabbit monoclonal IgG, is suitable for use as an isotype control with this antibody.</p>" }, "Rat": { "IHCP-species-checked": "notRecommended", "IHCP-species-dilution-info": "1/50 - 1/100", "IHCP-species-notes": "<p>Antigen retrieval is recommended</p> Perform heat-mediated antigen retrieval with citrate buffer pH 6 before commencing with IHC staining protocol.", "IP-species-checked": "notRecommended", "IP-species-dilution-info": "", "IP-species-notes": "<p></p>", "WB-species-checked": "notRecommended", "WB-species-dilution-info": "1/1000 - 1/5000", "WB-species-notes": "<p></p>", "ICCIF-species-checked": "notRecommended", "ICCIF-species-dilution-info": "1/250 - 1/500", "ICCIF-species-notes": "<p></p>", "FlowCytIntra-species-checked": "notRecommended", "FlowCytIntra-species-dilution-info": "1/100 - 1/500", "FlowCytIntra-species-notes": "<p><a href='/en-us/products/primary-antibodies/rabbit-igg-monoclonal-epr25a-isotype-control-ab172730'>ab172730</a> - Rabbit monoclonal IgG, is suitable for use as an isotype control with this antibody.</p>" } } }

Product details

Patented technology
Our RabMAb® technology is a patented hybridoma-based technology for making rabbit monoclonal antibodies. For details on our patents, please refer to RabMAb® patents.

What are the advantages of a recombinant monoclonal antibody?
This product is a recombinant monoclonal antibody, which offers several advantages including:

  • - High batch-to-batch consistency and reproducibility
  • - Improved sensitivity and specificity
  • - Long-term security of supply
  • - Animal-free batch production

For more information, read more on recombinant antibodies.

Properties and storage information

Form
Liquid
Purity
Tissue culture supernatant
Storage buffer
pH: 7.2 - 7.4 Preservative: 0.01% Sodium azide Constituents: 50% Tissue culture supernatant, 40% Glycerol (glycerin, glycerine), 9% PBS, 0.05% BSA
Shipped at conditions
Blue Ice
Appropriate short-term storage duration
1-2 weeks
Appropriate short-term storage conditions
+4°C
Appropriate long-term storage conditions
-20°C
Aliquoting information
Upon delivery aliquot
Storage information
Avoid freeze / thaw cycle

Supplementary information

This supplementary information is collated from multiple sources and compiled automatically.

MTA2 also known as metastasis-associated protein 2 is a component of the nucleosome remodeling and deacetylase (NuRD) complex weighing approximately 77 kDa. MTA2 is widely expressed throughout the human body including in vital organs and tissues such as the liver brain and lung. It plays a significant role in regulating gene expression by modifying chromatin structure. This protein often localizes in the nucleus where it can regulate various cellular processes.
Biological function summary

MTA2 influences the suppression and activation of gene transcription. It acts as an integral part of the NuRD complex which combines chromatin remodeling and histone deacetylase activities. Through this role MTA2 helps control cellular differentiation proliferation and development. By modulating epigenetic states MTA2 can impact cellular responses to external stimuli helping cells adapt to changes in their environment.

Pathways

MTA2 engages in cellular signaling pathways including the Notch signaling and Wnt signaling pathways. These pathways are important for regulating cell fate decisions. MTA2 interacts with other proteins such as HDAC1 and HDAC2 to exert its influence on transcriptional repression and gene silencing. The NuRD complex of which MTA2 is part serves as a critical mediator in these pathways highlighting its importance in cellular homeostasis.

MTA2 participation links it to cancer progression and metastasis. It shows overexpression in several cancers including breast and liver cancer where it correlates with more aggressive tumor behavior and poor prognosis. Interestingly MTA2 also associates with prostate cancer through its interaction with the androgen receptor influencing cancer cell survival and proliferation. Identifying MTA2’s connections with these conditions has pointed to potential therapeutic targets within these molecular pathways.

Product protocols

For this product, it's our understanding that no specific protocols are required. You can visit:

Target data

May function as a transcriptional coregulator (PubMed : 16428440, PubMed : 28977666). Acts as a component of the histone deacetylase NuRD complex which participates in the remodeling of chromatin (PubMed : 16428440, PubMed : 28977666).
See full target information MTA2

Publications (5)

Recent publications for all applications. Explore the full list and refine your search

The EMBO journal 42:e113448 PubMed37737560

2023

BCL11B and the NuRD complex cooperatively guard T-cell fate and inhibit OPA1-mediated mitochondrial fusion in T cells.

Applications

Unspecified application

Species

Unspecified reactive species

Rui Liao,Yi Wu,Le Qin,Zhiwu Jiang,Shixue Gou,Linfu Zhou,Qilan Hong,Yao Li,Jingxuan Shi,Yao Yao,Liangxue Lai,Yangqiu Li,Pentao Liu,Jean Paul Thiery,Dajiang Qin,Thomas Graf,Xingguo Liu,Peng Li

Biomolecules 13: PubMed37371463

2023

Prognostic, Immunological, and Mutational Analysis of MTA2 in Pan-Cancer and Drug Screening for Hepatocellular Carcinoma.

Applications

Unspecified application

Species

Unspecified reactive species

Xueshan Huang,Jingyi Tan,Mei Chen,Weirang Zheng,Shanyang Zou,Xiaoxia Ye,Yutong Li,Minhua Wu

Pharmacology 106:573-587 PubMed34488224

2021

Long Noncoding RNA TTC39A-AS1 Promotes Breast Cancer Tumorigenicity by Sponging MicroRNA-483-3p and Thereby Upregulating MTA2.

Applications

Unspecified application

Species

Unspecified reactive species

Zhaohui Zhou,Ping Yang,Binming Zhang,Maohui Yao,Yali Jia,Na Li,Huimin Liu,Haiya Bai,Xiaojun Gong

Cancers 11: PubMed31771219

2019

MTA2 as a Potential Biomarker and Its Involvement in Metastatic Progression of Human Renal Cancer by miR-133b Targeting MMP-9.

Applications

Unspecified application

Species

Unspecified reactive species

Yong-Syuan Chen,Tung-Wei Hung,Shih-Chi Su,Chia-Liang Lin,Shun-Fa Yang,Chu-Che Lee,Chang-Fang Yeh,Yi-Hsien Hsieh,Jen-Pi Tsai

Science advances 3:e1700298 PubMed28560351

2017

Global increase in replication fork speed during a p57-regulated erythroid cell fate switch.

Applications

Unspecified application

Species

Unspecified reactive species

Yung Hwang,Melinda Futran,Daniel Hidalgo,Ramona Pop,Divya Ramalingam Iyer,Ralph Scully,Nicholas Rhind,Merav Socolovsky
View all publications

Product promise

We are committed to supporting your work with high-quality reagents, and we're here for you every step of the way. In the unlikely event that one of our products does not perform as expected, you're protected by our Product Promise.
For full details, please see our Terms & Conditions

Please note: All products are 'FOR RESEARCH USE ONLY. NOT FOR USE IN DIAGNOSTIC OR THERAPEUTIC PROCEDURES'.

For licensing inquiries, please contact partnerships@abcam.com