JavaScript is disabled in your browser. Please enable JavaScript to view this website.
AB249629

Anti-MTA2/PID antibody [EPR8537(2)] - BSA and Azide free

Be the first to review this product! Submit a review

|

(0 Publication)

Rabbit Recombinant Monoclonal MTA2/PID antibody. Carrier free. Suitable for IHC-P, ICC/IF, WB, Flow Cyt (Intra) and reacts with Human samples.

View Alternative Names

MTA1L1, PID, MTA2, Metastasis-associated protein MTA2, Metastasis-associated 1-like 1, p53 target protein in deacetylase complex, MTA1-L1 protein

5 Images
Western blot - Anti-MTA2/PID antibody [EPR8537(2)] - BSA and Azide free (AB249629)
  • WB

Supplier Data

Western blot - Anti-MTA2/PID antibody [EPR8537(2)] - BSA and Azide free (AB249629)

This data was developed using ab171073, the same antibody clone in a different buffer formulation.

All lanes:

Western blot - Anti-MTA2/PID antibody [EPR8537(2)] (<a href='/en-us/products/primary-antibodies/mta2-pid-antibody-epr85372-ab171073'>ab171073</a>) at 1/1000 dilution

Lane 1:

MCF7 cell lysate at 10 µg

Lane 2:

HeLa cell lysate at 10 µg

Lane 3:

SW480 cell lysate at 10 µg

Predicted band size: 75 kDa

false

Immunohistochemistry (Formalin/PFA-fixed paraffin-embedded sections) - Anti-MTA2/PID antibody [EPR8537(2)] - BSA and Azide free (AB249629)
  • IHC-P

Supplier Data

Immunohistochemistry (Formalin/PFA-fixed paraffin-embedded sections) - Anti-MTA2/PID antibody [EPR8537(2)] - BSA and Azide free (AB249629)

This data was developed using ab171073, the same antibody clone in a different buffer formulation.

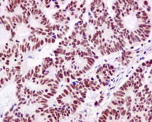
Immunohistochemical analysis of paraffin-embedded Human colonic carcinoma tissue labeling MTA2/PID with ab171073 at 1/50 dilution.

Perform heat mediated antigen retrieval with citrate buffer pH 6 before commencing with IHC staining protocol.

Immunohistochemistry (Formalin/PFA-fixed paraffin-embedded sections) - Anti-MTA2/PID antibody [EPR8537(2)] - BSA and Azide free (AB249629)
  • IHC-P

Supplier Data

Immunohistochemistry (Formalin/PFA-fixed paraffin-embedded sections) - Anti-MTA2/PID antibody [EPR8537(2)] - BSA and Azide free (AB249629)

This data was developed using ab171073, the same antibody clone in a different buffer formulation.

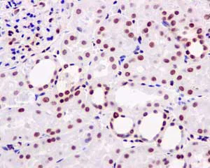
Immunohistochemical analysis of paraffin-embedded Human kidney tissue labeling MTA2/PID with ab171073 at 1/50 dilution.

Perform heat mediated antigen retrieval with citrate buffer pH 6 before commencing with IHC staining protocol.

Immunocytochemistry/ Immunofluorescence - Anti-MTA2/PID antibody [EPR8537(2)] - BSA and Azide free (AB249629)
  • ICC/IF

Supplier Data

Immunocytochemistry/ Immunofluorescence - Anti-MTA2/PID antibody [EPR8537(2)] - BSA and Azide free (AB249629)

This data was developed using ab171073, the same antibody clone in a different buffer formulation.

Immunofluorescent staining of HeLa cells labeling MTA2/PID with ab171073 at 1/250 dilution.

Flow Cytometry (Intracellular) - Anti-MTA2/PID antibody [EPR8537(2)] - BSA and Azide free (AB249629)
  • Flow Cyt (Intra)

Supplier Data

Flow Cytometry (Intracellular) - Anti-MTA2/PID antibody [EPR8537(2)] - BSA and Azide free (AB249629)

This data was developed using ab171073, the same antibody clone in a different buffer formulation.

Intracellular flow cytometric analysis of permeabilized Hela cells labeling MTA2/PID with ab171073 at 1/100 dilution (red) or a rabbit IgG negative (green).

Key facts

Host species

Rabbit

Clonality

Monoclonal

Clone number

EPR8537(2)

Isotype

IgG

Carrier free

Yes

Reacts with

Human

Applications

Flow Cyt (Intra), WB, IHC-P, ICC/IF

applications

Immunogen

The exact immunogen used to generate this antibody is proprietary information.

Reactivity data

{ "title": "Reactivity Data", "filters": { "stats": ["", "Species", "Dilution Info", "Notes"], "tabs": { "all-applications": {"fullname" : "All Applications", "shortname": "All Applications"}, "IHCP" : {"fullname" : "Immunohistochemistry (Formalin/PFA-fixed paraffin-embedded sections)", "shortname":"IHC-P"}, "ICCIF" : {"fullname" : "Immunocytochemistry/ Immunofluorescence", "shortname":"ICC/IF"}, "IP" : {"fullname" : "Immunoprecipitation", "shortname":"IP"}, "WB" : {"fullname" : "Western blot", "shortname":"WB"}, "FlowCytIntra" : {"fullname" : "Flow Cytometry (Intracellular)", "shortname":"Flow Cyt (Intra)"} }, "product-promise": { "all": "all", "testedAndGuaranteed": "tested", "guaranteed": "expected", "predicted": "predicted", "notRecommended": "not-recommended" } }, "values": { "Human": { "IHCP-species-checked": "testedAndGuaranteed", "IHCP-species-dilution-info": "", "IHCP-species-notes": "<p>Antigen retrieval is recommended.</p> Perform heat-mediated antigen retrieval with citrate buffer pH 6 before commencing with IHC staining protocol.", "ICCIF-species-checked": "testedAndGuaranteed", "ICCIF-species-dilution-info": "", "ICCIF-species-notes": "<p></p>", "IP-species-checked": "notRecommended", "IP-species-dilution-info": "", "IP-species-notes": "<p></p>", "WB-species-checked": "testedAndGuaranteed", "WB-species-dilution-info": "", "WB-species-notes": "<p></p>", "FlowCytIntra-species-checked": "testedAndGuaranteed", "FlowCytIntra-species-dilution-info": "", "FlowCytIntra-species-notes": "<p></p>" }, "Mouse": { "IHCP-species-checked": "notRecommended", "IHCP-species-dilution-info": "", "IHCP-species-notes": "<p>Antigen retrieval is recommended.</p> Perform heat-mediated antigen retrieval with citrate buffer pH 6 before commencing with IHC staining protocol.", "ICCIF-species-checked": "notRecommended", "ICCIF-species-dilution-info": "", "ICCIF-species-notes": "<p></p>", "IP-species-checked": "notRecommended", "IP-species-dilution-info": "", "IP-species-notes": "<p></p>", "WB-species-checked": "notRecommended", "WB-species-dilution-info": "", "WB-species-notes": "<p></p>", "FlowCytIntra-species-checked": "notRecommended", "FlowCytIntra-species-dilution-info": "", "FlowCytIntra-species-notes": "<p></p>" }, "Rat": { "IHCP-species-checked": "notRecommended", "IHCP-species-dilution-info": "", "IHCP-species-notes": "<p>Antigen retrieval is recommended.</p> Perform heat-mediated antigen retrieval with citrate buffer pH 6 before commencing with IHC staining protocol.", "ICCIF-species-checked": "notRecommended", "ICCIF-species-dilution-info": "", "ICCIF-species-notes": "<p></p>", "IP-species-checked": "notRecommended", "IP-species-dilution-info": "", "IP-species-notes": "<p></p>", "WB-species-checked": "notRecommended", "WB-species-dilution-info": "", "WB-species-notes": "<p></p>", "FlowCytIntra-species-checked": "notRecommended", "FlowCytIntra-species-dilution-info": "", "FlowCytIntra-species-notes": "<p></p>" } } }

Product details

ab249629 is the carrier-free version of ab171073.

Patented technology
Our RabMAb® technology is a patented hybridoma-based technology for making rabbit monoclonal antibodies. For details on our patents, please refer to RabMAb® patents.

What are the advantages of a recombinant monoclonal antibody?
This product is a recombinant monoclonal antibody, which offers several advantages including:

  • - High batch-to-batch consistency and reproducibility
  • - Improved sensitivity and specificity
  • - Long-term security of supply
  • - Animal-free batch production

For more information, read more on recombinant antibodies.

Conjugation ready
Our carrier-free antibodies are typically supplied in a PBS-only formulation, purified and free of BSA, sodium azide and glycerol. This conjugation-ready format is designed for use with fluorochromes, metal isotopes, oligonucleotides, and enzymes, which makes them ideal for antibody labelling, functional and cell-based assays, flow-based assays (e.g. mass cytometry) and Multiplex Imaging applications.

Use our conjugation kits for antibody conjugates that are ready-to-use in as little as 20 minutes with 1 minute hands-on-time and 100% antibody recovery: available for fluorescent dyes, HRP, biotin and gold.

Compatibility
This product is compatible with the Maxpar® Antibody Labeling Kit from Fluidigm, without the need for antibody preparation. Maxpar® is a trademark of Fluidigm Canada Inc.

Properties and storage information

Form
Liquid
Purification technique
Affinity purification
Storage buffer
pH: 7.2 - 7.4 Constituents: PBS
Shipped at conditions
Blue Ice
Appropriate short-term storage conditions
+4°C
Appropriate long-term storage conditions
+4°C
Storage information
Do Not Freeze

Supplementary information

This supplementary information is collated from multiple sources and compiled automatically.

MTA2 also known as metastasis-associated protein 2 is a component of the nucleosome remodeling and deacetylase (NuRD) complex weighing approximately 77 kDa. MTA2 is widely expressed throughout the human body including in vital organs and tissues such as the liver brain and lung. It plays a significant role in regulating gene expression by modifying chromatin structure. This protein often localizes in the nucleus where it can regulate various cellular processes.
Biological function summary

MTA2 influences the suppression and activation of gene transcription. It acts as an integral part of the NuRD complex which combines chromatin remodeling and histone deacetylase activities. Through this role MTA2 helps control cellular differentiation proliferation and development. By modulating epigenetic states MTA2 can impact cellular responses to external stimuli helping cells adapt to changes in their environment.

Pathways

MTA2 engages in cellular signaling pathways including the Notch signaling and Wnt signaling pathways. These pathways are important for regulating cell fate decisions. MTA2 interacts with other proteins such as HDAC1 and HDAC2 to exert its influence on transcriptional repression and gene silencing. The NuRD complex of which MTA2 is part serves as a critical mediator in these pathways highlighting its importance in cellular homeostasis.

MTA2 participation links it to cancer progression and metastasis. It shows overexpression in several cancers including breast and liver cancer where it correlates with more aggressive tumor behavior and poor prognosis. Interestingly MTA2 also associates with prostate cancer through its interaction with the androgen receptor influencing cancer cell survival and proliferation. Identifying MTA2’s connections with these conditions has pointed to potential therapeutic targets within these molecular pathways.

Product protocols

For this product, it's our understanding that no specific protocols are required. You can visit:

Target data

May function as a transcriptional coregulator (PubMed : 16428440, PubMed : 28977666). Acts as a component of the histone deacetylase NuRD complex which participates in the remodeling of chromatin (PubMed : 16428440, PubMed : 28977666).
See full target information MTA2

Product promise

We are committed to supporting your work with high-quality reagents, and we're here for you every step of the way. In the unlikely event that one of our products does not perform as expected, you're protected by our Product Promise.
For full details, please see our Terms & Conditions

Associated Products

Select an associated product type
Alternative Product
Primary Antibodies

AB264123

Anti-MTA2/PID antibody

primary-antibodies

mta2-pid-antibody-ab264123

0

(0 reviews)

Please note: All products are 'FOR RESEARCH USE ONLY. NOT FOR USE IN DIAGNOSTIC OR THERAPEUTIC PROCEDURES'.

For licensing inquiries, please contact partnerships@abcam.com