JavaScript is disabled in your browser. Please enable JavaScript to view this website.
AB87275

Anti-MTA3 antibody

5

(3 Reviews)

|

(6 Publications)

Rabbit Polyclonal MTA3 antibody. Suitable for IHC-P and reacts with Human samples. Cited in 6 publications. Immunogen corresponding to Synthetic Peptide within Human MTA3 aa 400-450.

View Alternative Names

KIAA1266, MTA3, Metastasis-associated protein MTA3

2 Images
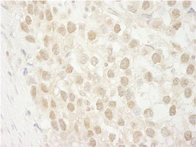
Immunohistochemistry (Formalin/PFA-fixed paraffin-embedded sections) - Anti-MTA3 antibody (AB87275)
  • IHC-P

Unknown

Immunohistochemistry (Formalin/PFA-fixed paraffin-embedded sections) - Anti-MTA3 antibody (AB87275)

ab87275 at 1/250 dilution staining MTA3 in Human breast carcinoma by Immunohistochemistry Formalin-fixed, Paraffin-embedded tissue. Detection : DAB staining

Immunohistochemistry (Formalin/PFA-fixed paraffin-embedded sections) - Anti-MTA3 antibody (AB87275)
  • IHC-P

Unknown

Immunohistochemistry (Formalin/PFA-fixed paraffin-embedded sections) - Anti-MTA3 antibody (AB87275)

ab87275 at 1/250 dilution staining MTA3 in Human seminoma by Immunohistochemistry Formalin-fixed, Paraffin-embedded tissue. Detection : DAB staining

Key facts

Host species

Rabbit

Clonality

Polyclonal

Isotype

IgG

Carrier free

No

Reacts with

Human

Applications

IHC-P

applications

Immunogen

Synthetic Peptide within Human MTA3 aa 400-450. The exact immunogen used to generate this antibody is proprietary information.

Q9BTC8

Reactivity data

{ "title": "Reactivity Data", "filters": { "stats": ["", "Species", "Dilution Info", "Notes"], "tabs": { "all-applications": {"fullname" : "All Applications", "shortname": "All Applications"}, "IHCP" : {"fullname" : "Immunohistochemistry (Formalin/PFA-fixed paraffin-embedded sections)", "shortname":"IHC-P"} }, "product-promise": { "all": "all", "testedAndGuaranteed": "tested", "guaranteed": "expected", "predicted": "predicted", "notRecommended": "not-recommended" } }, "values": { "Human": { "IHCP-species-checked": "testedAndGuaranteed", "IHCP-species-dilution-info": "1/100 - 1/500", "IHCP-species-notes": "<p></p> Perform heat-mediated antigen retrieval with Tris/EDTA buffer pH 9.0 before commencing with IHC staining protocol." }, "Chimpanzee": { "IHCP-species-checked": "predicted", "IHCP-species-dilution-info": "", "IHCP-species-notes": "" }, "Orangutan": { "IHCP-species-checked": "predicted", "IHCP-species-dilution-info": "", "IHCP-species-notes": "" }, "Rhesus monkey": { "IHCP-species-checked": "predicted", "IHCP-species-dilution-info": "", "IHCP-species-notes": "" } } }

Product details

Concentration is optimized for IHC and not determined

Properties and storage information

Form
Liquid
Purification technique
Affinity purification Immunogen
Purification notes
MTA3 antibody was affinity purified using an epitope specific to MTA3 immobilized on solid support.
Storage buffer
pH: 6.8 - 7.4 Preservative: 0.09% Sodium azide Constituents: Tris buffered saline, 0.1% BSA
Shipped at conditions
Blue Ice
Appropriate short-term storage conditions
+4°C
Appropriate long-term storage conditions
-20°C
Aliquoting information
Upon delivery aliquot
Storage information
Avoid freeze / thaw cycle

Supplementary information

This supplementary information is collated from multiple sources and compiled automatically.

The MTA3 protein also known as Metastasis-Associated Protein 3 is a member of the MTA family and has a molecular mass of approximately 53 kDa. MTA3 localizes in the nucleus and shows expression in various tissues including breast tissue and the immune system. It functions as a transcriptional corepressor particularly influencing E-cadherin repression by being part of the nucleosome remodeling and histone deacetylase (NuRD) complex.
Biological function summary

Activities involving gene expression regulation occur through interactions with other chromatin-associated molecules. MTA3 participates as a component of the NuRD complex which also includes Mi2 and HDAC1 that is critical in chromatin remodeling and transcriptional repression. Through MTA3's involvement the complex influences cell proliferation differentiation and epithelial-mesenchymal transition (EMT).

Pathways

MTA3 is particularly significant in the EMT pathway affecting cell migration and invasion capacities. It interacts with proteins such as TWIST and ZEB1 which are associated with EMT. Additionally MTA3 plays a role in the Notch signaling pathway where it helps in maintaining proper cell lineage differentiation by modulating transcription factors through deacetylation processes.

Altered MTA3 expression is seen in breast cancer and has a link to its progression. It connects closely with E-cadherin which serves as a marker for EMT and cancer metastasis. MTA3's involvement in histone modification pathways also correlates with altered gene expression seen in various autoimmune disorders making it a possible point of interest for therapeutic research and interventions.

Product protocols

For this product, it's our understanding that no specific protocols are required. You can visit:

Target data

Acts as a component of the histone deacetylase NuRD complex which participates in the remodeling of chromatin (PubMed : 12705869, PubMed : 16428440, PubMed : 28977666). Plays a role in maintenance of the normal epithelial architecture through the repression of SNAI1 transcription in a histone deacetylase-dependent manner, and thus the regulation of E-cadherin levels (PubMed : 12705869). Contributes to transcriptional repression by BCL6 (PubMed : 15454082).
See full target information MTA3

Publications (6)

Recent publications for all applications. Explore the full list and refine your search

Journal of cellular and molecular medicine 24:5998-6007 PubMed32187849

2020

Metastasis-associated protein 1 promotes epithelial-mesenchymal transition in idiopathic pulmonary fibrosis by up-regulating Snail expression.

Applications

Unspecified application

Species

Unspecified reactive species

Weibin Qian,Xinrui Cai,Qiuhai Qian,Wei Zhang,Li Tian

Technology in cancer research & treatment 18:1533033819892258 PubMed31870221

2019

DDX5 Silencing Suppresses the Migration of Basal cell Carcinoma Cells by Downregulating JAK2/STAT3 Pathway.

Applications

Unspecified application

Species

Unspecified reactive species

Zhe Quan,Bei-Bei Zhang,Fang Yin,Jiru Du,Yuan-Ting Zhi,Jin Xu,Ningjing Song

AIMS medical science 4:17-27 PubMed28959722

2017

MTA3 Regulates Extravillous Trophoblast Invasion Through NuRD Complex.

Applications

Unspecified application

Species

Unspecified reactive species

Ying Chen,Sok Kean Khoo,Richard Leach,Kai Wang

Oncotarget 8:2916-2935 PubMed27935866

2016

HIC1 (hypermethylated in cancer

  1. SUMOylation is dispensable for DNA repair but is essential for the apoptotic DNA damage response (DDR) to irreparable DNA double-strand breaks (DSBs).

Applications

WB

Species

Unspecified reactive species

Sonia Paget,Marion Dubuissez,Vanessa Dehennaut,Joe Nassour,Brennan T Harmon,Nathalie Spruyt,Ingrid Loison,Corinne Abbadie,Brian R Rood,Dominique Leprince

Molecular and cellular biology 36:1881-98 PubMed27161321

2016

Protein Kinase C-Mediated Phosphorylation of BCL11B at Serine 2 Negatively Regulates Its Interaction with NuRD Complexes during CD4+ T-Cell Activation.

Applications

Unspecified application

Species

Unspecified reactive species

Marion Dubuissez,Ingrid Loison,Sonia Paget,Han Vorng,Saliha Ait-Yahia,Olivier Rohr,Anne Tsicopoulos,Dominique Leprince

Oncology reports 30:745-50 PubMed23732279

2013

β-elemene decreases cell invasion by upregulating E-cadherin expression in MCF-7 human breast cancer cells.

Applications

Unspecified application

Species

Human

Xian Zhang,Yang Zhang,Yinghua Li
View all publications

Product promise

We are committed to supporting your work with high-quality reagents, and we're here for you every step of the way. In the unlikely event that one of our products does not perform as expected, you're protected by our Product Promise.
For full details, please see our Terms & Conditions

Please note: All products are 'FOR RESEARCH USE ONLY. NOT FOR USE IN DIAGNOSTIC OR THERAPEUTIC PROCEDURES'.

For licensing inquiries, please contact partnerships@abcam.com