JavaScript is disabled in your browser. Please enable JavaScript to view this website.
AB252934

Anti-MTAP antibody [EPR22574-104]

Be the first to review this product! Submit a review

|

(1 Publication)

Anti-MTAP antibody [EPR22574-104] (ab252934) is a rabbit monoclonal antibody detecting MTAP in Western Blot, IP, IHC-P. Suitable for Human, Mouse, Rat.

- Biophysical QC for unrivalled batch-batch consistency

View Alternative Names

MSAP, MTAP, S-methyl-5'-thioadenosine phosphorylase, 5'-methylthioadenosine phosphorylase, MTA phosphorylase, MTAPase

7 Images
Immunohistochemistry (Formalin/PFA-fixed paraffin-embedded sections) - Anti-MTAP antibody [EPR22574-104] (AB252934)
  • IHC-P

Unknown

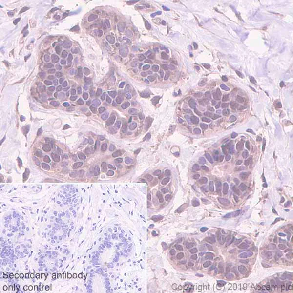
Immunohistochemistry (Formalin/PFA-fixed paraffin-embedded sections) - Anti-MTAP antibody [EPR22574-104] (AB252934)

Immunohistochemical analysis of paraffin-embedded human breast cancer tissue labeling MTAP with ab252934 at 1/500 dilution, followed by Goat Anti-Rabbit IgG H&L (HRP) ready to use. Positive staining in stroma cells and no staining in tumor cells of human breast cancer (PMID : 26751376) is observed. Counter stained with hematoxylin.

Secondary antibody only control : Used PBS instead of primary antibody, secondary antibody is Goat Anti-Rabbit IgG H&L (HRP) ready to use.

Heat mediated antigen retrieval using ab93684 (Tris/EDTA buffer, pH 9.0).

Immunohistochemistry (Formalin/PFA-fixed paraffin-embedded sections) - Anti-MTAP antibody [EPR22574-104] (AB252934)
  • IHC-P

Unknown

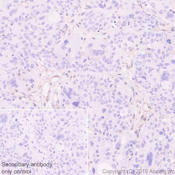
Immunohistochemistry (Formalin/PFA-fixed paraffin-embedded sections) - Anti-MTAP antibody [EPR22574-104] (AB252934)

Immunohistochemical analysis of paraffin-embedded human bladder cancer tissue labeling MTAP with ab252934 at 1/500 dilution, followed by Goat Anti-Rabbit IgG H&L (HRP) ready to use. Positive staining in stroma cells and no staining in tumor cells of human bladder cancer (PMID : 27270441) is observed. Counter stained with hematoxylin.

Secondary antibody only control : Used PBS instead of primary antibody, secondary antibody is Goat Anti-Rabbit IgG H&L (HRP) ready to use.

Heat mediated antigen retrieval using ab93684 (Tris/EDTA buffer, pH 9.0).

Immunohistochemistry (Formalin/PFA-fixed paraffin-embedded sections) - Anti-MTAP antibody [EPR22574-104] (AB252934)
  • IHC-P

Unknown

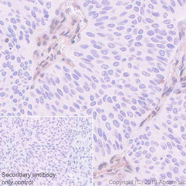
Immunohistochemistry (Formalin/PFA-fixed paraffin-embedded sections) - Anti-MTAP antibody [EPR22574-104] (AB252934)

Immunohistochemical analysis of paraffin-embedded human breast tissue labeling MTAP with ab252934 at 1/500 dilution, followed by Goat Anti-Rabbit IgG H&L (HRP) ready to use. Positive staining in human breast (PMID : 26751376, 18712977) is observed. Counter stained with hematoxylin.

Secondary antibody only control : Used PBS instead of primary antibody, secondary antibody is Goat Anti-Rabbit IgG H&L (HRP) ready to use.

Heat mediated antigen retrieval using ab93684 (Tris/EDTA buffer, pH 9.0).

Immunohistochemistry (Formalin/PFA-fixed paraffin-embedded sections) - Anti-MTAP antibody [EPR22574-104] (AB252934)
  • IHC-P

Unknown

Immunohistochemistry (Formalin/PFA-fixed paraffin-embedded sections) - Anti-MTAP antibody [EPR22574-104] (AB252934)

Immunohistochemical analysis of paraffin-embedded human breast cancer tissue labeling MTAP with ab252934 at 1/500 dilution, followed by Goat Anti-Rabbit IgG H&L (HRP) ready to use. Positive staining in human breast cancer (PMID : 26751376,18712977) is observed. Counter stained with hematoxylin.

Secondary antibody only control : Used PBS instead of primary antibody, secondary antibody is Goat Anti-Rabbit IgG H&L (HRP) ready to use.

Heat mediated antigen retrieval using ab93684 (Tris/EDTA buffer, pH 9.0).

Immunoprecipitation - Anti-MTAP antibody [EPR22574-104] (AB252934)
  • IP

Unknown

Immunoprecipitation - Anti-MTAP antibody [EPR22574-104] (AB252934)

MTAP was immunoprecipitated from 0.35 mg of HT-29 (human colorectal adenocarcinoma cell line) whole cell lysate with ab252934 at 1/30 dilution. Western blot was performed from the immunoprecipitate using ab252934 at 1/1000 dilution. VeriBlot for IP Detection Reagent (HRP) (ab131366), was used as secondary antibody at 1/5000 dilution.

Lane 1 : HT-29 whole cell lysate 10 μg (Input).
Lane 2 : ab252934 IP in HT-29 whole cell lysate.
Lane 3 : Rabbit monoclonal IgG (ab172730) instead of ab252934 in HT-29 whole cell lysate.

Blocking and dilution buffer and concentration : 5% NFDM/TBST.
Exposure time : 3 minutes.

All lanes:

Immunoprecipitation - Anti-MTAP antibody [EPR22574-104] (ab252934)

Predicted band size: 31 kDa

Observed band size: 32 kDa

false

Western blot - Anti-MTAP antibody [EPR22574-104] (AB252934)
  • WB

Unknown

Western blot - Anti-MTAP antibody [EPR22574-104] (AB252934)

Blocking and dilution buffer : 5% NFDM/TBST.

Negative control : A549 (PMID : 17548352).

The expression molecular weight observed is consistent with what has been described in the literature (PMID : 15492751).

All lanes:

Western blot - Anti-MTAP antibody [EPR22574-104] (ab252934) at 1/1000 dilution

Lane 1:

HT-29 (human colorectal adenocarcinoma cell line) whole cell lysate at 20 µg

Lane 2:

MDA-MB-235S (human ductal carcinoma cell line) whole cell lysate at 20 µg

Lane 3:

A549 (human lung carcinoma cell line) whole cell lysate at 20 µg

Secondary

All lanes:

Western blot - Goat Anti-Rabbit IgG H&L (HRP) (<a href='/en-us/products/secondary-antibodies/goat-rabbit-igg-h-l-hrp-ab97051'>ab97051</a>) at 1/100000 dilution

Predicted band size: 31 kDa

Observed band size: 32 kDa

false

Exposure time: 3min

Western blot - Anti-MTAP antibody [EPR22574-104] (AB252934)
  • WB

Unknown

Western blot - Anti-MTAP antibody [EPR22574-104] (AB252934)

Blocking and dilution buffer : 5% NFDM/TBST.

All lanes:

Western blot - Anti-MTAP antibody [EPR22574-104] (ab252934) at 1/1000 dilution

Lane 1:

C6 (rat glial tumor glial cell line) whole cell lysate at 10 µg

Lane 2:

NIH/3T3 (mouse embryo fibroblast cell line) whole cell lysate at 10 µg

Secondary

All lanes:

Western blot - Goat Anti-Rabbit IgG H&L (HRP) (<a href='/en-us/products/secondary-antibodies/goat-rabbit-igg-h-l-hrp-ab97051'>ab97051</a>) at 1/100000 dilution

Predicted band size: 31 kDa

Observed band size: 32 kDa

false

Exposure time: 3min

  • Carrier free

    Anti-MTAP antibody [EPR22574-104] - BSA and Azide free

Key facts

Host species

Rabbit

Clonality

Monoclonal

Clone number

EPR22574-104

Isotype

IgG

Carrier free

No

Reacts with

Mouse, Rat, Human

Applications

IP, WB, IHC-P

applications

Immunogen

The exact immunogen used to generate this antibody is proprietary information.

Specificity

IHC-P is recommended for human only.

Reactivity data

{ "title": "Reactivity Data", "filters": { "stats": ["", "Species", "Dilution Info", "Notes"], "tabs": { "all-applications": {"fullname" : "All Applications", "shortname": "All Applications"}, "IP" : {"fullname" : "Immunoprecipitation", "shortname":"IP"}, "FlowCyt" : {"fullname" : "Flow Cytometry", "shortname":"Flow Cyt"}, "WB" : {"fullname" : "Western blot", "shortname":"WB"}, "ICCIF" : {"fullname" : "Immunocytochemistry/ Immunofluorescence", "shortname":"ICC/IF"}, "IHCP" : {"fullname" : "Immunohistochemistry (Formalin/PFA-fixed paraffin-embedded sections)", "shortname":"IHC-P"} }, "product-promise": { "all": "all", "testedAndGuaranteed": "tested", "guaranteed": "expected", "predicted": "predicted", "notRecommended": "not-recommended" } }, "values": { "Human": { "IP-species-checked": "testedAndGuaranteed", "IP-species-dilution-info": "1/30", "IP-species-notes": "<p></p>", "FlowCyt-species-checked": "notRecommended", "FlowCyt-species-dilution-info": "", "FlowCyt-species-notes": "<p></p>", "WB-species-checked": "testedAndGuaranteed", "WB-species-dilution-info": "1/1000", "WB-species-notes": "<p></p>", "ICCIF-species-checked": "notRecommended", "ICCIF-species-dilution-info": "", "ICCIF-species-notes": "<p></p>", "IHCP-species-checked": "testedAndGuaranteed", "IHCP-species-dilution-info": "1/500", "IHCP-species-notes": "<p>Recommended for human only.</p>" }, "Mouse": { "IP-species-checked": "guaranteed", "IP-species-dilution-info": "", "IP-species-notes": "", "FlowCyt-species-checked": "notRecommended", "FlowCyt-species-dilution-info": "", "FlowCyt-species-notes": "<p></p>", "WB-species-checked": "testedAndGuaranteed", "WB-species-dilution-info": "1/1000", "WB-species-notes": "<p></p>", "ICCIF-species-checked": "notRecommended", "ICCIF-species-dilution-info": "", "ICCIF-species-notes": "<p></p>", "IHCP-species-checked": "guaranteed", "IHCP-species-dilution-info": "", "IHCP-species-notes": "" }, "Rat": { "IP-species-checked": "guaranteed", "IP-species-dilution-info": "", "IP-species-notes": "", "FlowCyt-species-checked": "notRecommended", "FlowCyt-species-dilution-info": "", "FlowCyt-species-notes": "<p></p>", "WB-species-checked": "testedAndGuaranteed", "WB-species-dilution-info": "1/1000", "WB-species-notes": "<p></p>", "ICCIF-species-checked": "notRecommended", "ICCIF-species-dilution-info": "", "ICCIF-species-notes": "<p></p>", "IHCP-species-checked": "guaranteed", "IHCP-species-dilution-info": "", "IHCP-species-notes": "" } } }

Product details

What is this antibody validated in?
Anti-MTAP antibody [EPR22574-104] (ab252934) is a rabbit recombinant monoclonal antibody and is validated for use in Western Blot (WB), Immunoprecipitation (IP), Immunohistochemistry (IHC-P) in Human, Mouse, Rat samples.

What is the molecular weight of MTAP?
Anti-MTAP [EPR22574-104] (ab252934) specifically detects a band for MTAP (UniProt: Q13126) at a molecular weight of 31kDa.

Trial sizes available!
Test your antibody or perform pre-screening before committing to a larger quantity. Sold in 10µl. Discover our selection of trial-size antibodies.

Other related products
We have a range of other formats of antibody clone [EPR22574-104] also available for your convenience: ab252934, Carrier free - ab256358

Patented technology
Our RabMAb® technology is a patented hybridoma-based technology for making rabbit monoclonal antibodies. For details on our patents, please refer to RabMAb® patents.

What are the advantages of a recombinant monoclonal antibody?
This product is a recombinant monoclonal antibody, which offers several advantages including:

  • - High batch-to-batch consistency and reproducibility
  • - Improved sensitivity and specificity
  • - Long-term security of supply
  • - Animal-free batch production

For more information, read more on recombinant antibodies.

Properties and storage information

Form
Liquid
Purification technique
Affinity purification Protein A
Storage buffer
pH: 7.2 - 7.4 Preservative: 0.01% Sodium azide Constituents: PBS, 40% Glycerol (glycerin, glycerine), 0.05% BSA
Shipped at conditions
Blue Ice
Appropriate short-term storage duration
1-2 weeks
Appropriate short-term storage conditions
+4°C
Appropriate long-term storage conditions
-20°C
Aliquoting information
Upon delivery aliquot
Storage information
Avoid freeze / thaw cycle

Supplementary information

This supplementary information is collated from multiple sources and compiled automatically.

MTAP also known as methylthioadenosine phosphorylase is an essential enzyme that breaks down 5'-methylthioadenosine (MTA) a byproduct of polyamine synthesis. MTAP has a molecular weight of about 31 kDa. The enzyme converts MTA into adenine and 5-methylthioribose-1-phosphate which re-enter the methionine and adenine salvage pathways. MTAP is widely expressed in most tissues but its activity is especially high in the liver and kidney. Alternative names for MTAP include 2G4 and MTAP-A.
Biological function summary

Methylthioadenosine phosphorylase plays a significant role in the salvage pathways for methionine and adenine critical for cellular growth and proliferation. MTAP operates as a part of a complex metabolic network involved in polyamine metabolism. In addition to its metabolic functions MTAP contributes to the regulation of the immune response and cell cycle. MTAP immunohistochemistry is often used to study its expression patterns in various tissues.

Pathways

Methylthioadenosine phosphorylase participates importantly in the polyamine biosynthesis and methionine salvage pathways. These pathways are integral for maintaining cellular homeostasis and nucleotide pools. MTAP works closely with proteins such as methionine adenosyltransferase (MAT) and adenosylmethionine decarboxylase (AMD). In concert they facilitate the regeneration of methionine highlighting MTAP's role in cellular adaptation to metabolic demands.

Methylthioadenosine phosphorylase deficiency or deletion is linked to certain cancers such as gliomas and lymphomas. Loss of MTAP function is often associated with co-deletion of the tumor suppressor protein p16INK4a observed in various malignancies. This deletion can lead to an accumulation of MTA creating a toxic environment that promotes cancer cell proliferation. MTAP and its interaction with proteins like p16INK4a highlight its relevance as a potential target for therapeutic intervention in cancer treatment programs.

Product protocols

For this product, it's our understanding that no specific protocols are required. You can visit:

Target data

Catalyzes the reversible phosphorylation of S-methyl-5'-thioadenosine (MTA) to adenine and 5-methylthioribose-1-phosphate. Involved in the breakdown of MTA, a major by-product of polyamine biosynthesis. Responsible for the first step in the methionine salvage pathway after MTA has been generated from S-adenosylmethionine. Has broad substrate specificity with 6-aminopurine nucleosides as preferred substrates.
See full target information MTAP

Publications (1)

Recent publications for all applications. Explore the full list and refine your search

ACR open rheumatology 7:e70044 PubMed40331437

2025

Urinary V-Set Ig Domain-Containing Protein 4 and Immune Complexes for Tracking Lupus Nephritis and Renal Pathology.

Applications

Unspecified application

Species

Unspecified reactive species

Aygun Teymur,Chenling Tang,Fariz Nazir,Neda Ostadnejad,Qi Cai,Ramesh Saxena,Tianfu Wu
View all publications

Product promise

We are committed to supporting your work with high-quality reagents, and we're here for you every step of the way. In the unlikely event that one of our products does not perform as expected, you're protected by our Product Promise.
For full details, please see our Terms & Conditions

Please note: All products are 'FOR RESEARCH USE ONLY. NOT FOR USE IN DIAGNOSTIC OR THERAPEUTIC PROCEDURES'.

For licensing inquiries, please contact partnerships@abcam.com