JavaScript is disabled in your browser. Please enable JavaScript to view this website.
AB230006

Anti-MTCH1/PSAP antibody

Be the first to review this product! Submit a review

|

(1 Publication)

Rabbit Polyclonal MTCH1/PSAP antibody. Suitable for WB, IHC-P and reacts with Human samples. Cited in 1 publication. Immunogen corresponding to Recombinant Fragment Protein within Human MTCH1 aa 100-250.

View Alternative Names

PSAP, CGI-64, UNQ1871/PRO4314, MTCH1, Mitochondrial carrier homolog 1, Presenilin-associated protein

3 Images
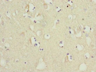
Immunohistochemistry (Formalin/PFA-fixed paraffin-embedded sections) - Anti-MTCH1/PSAP antibody (AB230006)
  • IHC-P

Supplier Data

Immunohistochemistry (Formalin/PFA-fixed paraffin-embedded sections) - Anti-MTCH1/PSAP antibody (AB230006)

Paraffin-embedded human brain tissue stained for MTCH1/PSAP using ab230006 at 1/100 dilution in immunohistochemical analysis.

Immunohistochemistry (Formalin/PFA-fixed paraffin-embedded sections) - Anti-MTCH1/PSAP antibody (AB230006)
  • IHC-P

Supplier Data

Immunohistochemistry (Formalin/PFA-fixed paraffin-embedded sections) - Anti-MTCH1/PSAP antibody (AB230006)

Paraffin-embedded human liver tissue stained for MTCH1/PSAP using ab230006 at 1/100 dilution in immunohistochemical analysis.

Western blot - Anti-MTCH1/PSAP antibody (AB230006)
  • WB

Supplier Data

Western blot - Anti-MTCH1/PSAP antibody (AB230006)

All lanes:

Western blot - Anti-MTCH1/PSAP antibody (ab230006) at 1/1000 dilution

Lane 1:

MCF7 (human breast adenocarcinoma cell line) whole cell lysate

Lane 2:

HepG2 (human liver hepatocellular carcinoma cell line) whole cell lysate

Secondary

All lanes:

Goat polyclonal to Rabbit IgG at 1/10000 dilution

Predicted band size: 42 kDa

Observed band size: 42 kDa

false

Key facts

Host species

Rabbit

Clonality

Polyclonal

Isotype

IgG

Carrier free

No

Reacts with

Human

Applications

IHC-P, WB

applications

Immunogen

Recombinant Fragment Protein within Human MTCH1 aa 100-250. The exact immunogen used to generate this antibody is proprietary information.

Q9NZJ7

Reactivity data

{ "title": "Reactivity Data", "filters": { "stats": ["", "Species", "Dilution Info", "Notes"], "tabs": { "all-applications": {"fullname" : "All Applications", "shortname": "All Applications"}, "WB" : {"fullname" : "Western blot", "shortname":"WB"}, "IHCP" : {"fullname" : "Immunohistochemistry (Formalin/PFA-fixed paraffin-embedded sections)", "shortname":"IHC-P"} }, "product-promise": { "all": "all", "testedAndGuaranteed": "tested", "guaranteed": "expected", "predicted": "predicted", "notRecommended": "not-recommended" } }, "values": { "Human": { "WB-species-checked": "testedAndGuaranteed", "WB-species-dilution-info": "1/1000 - 1/5000", "WB-species-notes": "<p></p>", "IHCP-species-checked": "testedAndGuaranteed", "IHCP-species-dilution-info": "1/20 - 1/200", "IHCP-species-notes": "<p></p>" }, "Mouse": { "WB-species-checked": "predicted", "WB-species-dilution-info": "", "WB-species-notes": "", "IHCP-species-checked": "predicted", "IHCP-species-dilution-info": "", "IHCP-species-notes": "" } } }

Properties and storage information

Form
Liquid
Purification technique
Affinity purification Immunogen
Storage buffer
pH: 7.3 Preservative: 0.02% Sodium azide Constituents: PBS, 50% Glycerol (glycerin, glycerine)
Shipped at conditions
Blue Ice
Appropriate short-term storage duration
1-2 weeks
Appropriate short-term storage conditions
+4°C
Appropriate long-term storage conditions
-20°C
Aliquoting information
Upon delivery aliquot
Storage information
Avoid freeze / thaw cycle

Supplementary information

This supplementary information is collated from multiple sources and compiled automatically.

The protein MTCH1 also known as PSAP or mitochondrial carrier homolog 1 plays an important role in mitochondrial processes. With a mass of approximately 43 kDa it is expressed mainly in mitochondria-rich tissues found prominently in human skeletal muscle and heart. MTCH1 localizes to the outer mitochondrial membrane where it likely participates in the regulation of apoptosis by interacting with other mitochondrial proteins.
Biological function summary

Mitochondria-associated MTCH1 influences apoptosis and energy regulation. It acts as a pro-apoptotic factor and is observed to bind with the proapoptotic protein Bax which promotes mitochondrial outer membrane permeabilization. Through this involvement it becomes part of a complex interplay between pro- and anti-apoptotic molecules that regulates cell death pathways responding to cellular stress signals.

Pathways

The protein MTCH1 holds significance in mitochondrial apoptosis and energy homeostasis pathways. It closely associates with the Bcl-2 protein family which includes key proteins involved in the intrinsic apoptotic pathway. MTCH1 influences cellular fate decisions by affecting the mitochondrial apoptotic pathway alongside proteins such as Bcl-xL and Bax thereby regulating cell survival and death.

The mitochondrial functions of MTCH1 relates it to neurodegenerative diseases and cancers. Abnormalities in MTCH1 expression can contribute to mitochondrial dysfunction linking it to disorders such as Alzheimer's disease. This connection involves MTCH1 interaction with proteins like Bcl-2 influencing the disease's progress through apoptotic dysregulation. MTCH1's role in apoptosis also associates it with various cancers where its abnormal expression impacts cell death regulation and tumor progression.

Product protocols

For this product, it's our understanding that no specific protocols are required. You can visit:

Target data

Protein insertase that mediates insertion of transmembrane proteins into the mitochondrial outer membrane (PubMed : 36264797). Catalyzes insertion of proteins with alpha-helical transmembrane regions, such as signal-anchored, tail-anchored and multi-pass membrane proteins (By similarity). Does not mediate insertion of beta-barrel transmembrane proteins (By similarity). May play a role in apoptosis (PubMed : 12377771).
See full target information MTCH1

Publications (1)

Recent publications for all applications. Explore the full list and refine your search

Discover oncology 16:1047 PubMed40493298

2025

TCF19 expression and significance analysis in breast cancer: integrated bioinformatics analysis and histological validation.

Applications

Unspecified application

Species

Unspecified reactive species

Haiyang Yu,Jingjing Wei,Qinhao Chen,Yueyin Pan,Xiaojun Qian,Jing Pan,Yubei Sun
View all publications

Product promise

We are committed to supporting your work with high-quality reagents, and we're here for you every step of the way. In the unlikely event that one of our products does not perform as expected, you're protected by our Product Promise.
For full details, please see our Terms & Conditions

Please note: All products are 'FOR RESEARCH USE ONLY. NOT FOR USE IN DIAGNOSTIC OR THERAPEUTIC PROCEDURES'.

For licensing inquiries, please contact partnerships@abcam.com