JavaScript is disabled in your browser. Please enable JavaScript to view this website.
AB203912

Anti-MTCO1 antibody [EPR19628]

Be the first to review this product! Submit a review

|

(35 Publications)

Rabbit Recombinant Monoclonal MTCO1 antibody. Suitable for WB, ICC/IF, Flow Cyt (Intra), IHC-P and reacts with Mouse, Rat, Human samples. Cited in 35 publications.

View Alternative Names

COI, COXI, MTCO1, MT-CO1, Cytochrome c oxidase subunit 1, Cytochrome c oxidase polypeptide I

13 Images
Immunohistochemistry (Formalin/PFA-fixed paraffin-embedded sections) - Anti-MTCO1 antibody [EPR19628] (AB203912)
  • IHC-P

Supplier Data

Immunohistochemistry (Formalin/PFA-fixed paraffin-embedded sections) - Anti-MTCO1 antibody [EPR19628] (AB203912)

Immunohistochemical analysis of paraffin-embedded Human cardiac muscle tissue labeling MTCO1 with ab203912 at 1/250 dilution, followed by Goat Anti-Rabbit IgG H&L (HRP) (ab97051) at 1/500 dilution.

Cytoplasm staining on Human cardiac muscle is observed.

Counter stained with Hematoxylin.

Secondary antibody only control : Used PBS instead of primary antibody, secondary antibody is ab97051 at 1/500 dilution.

Perform heat mediated antigen retrieval with Tris/EDTA buffer pH 9.0 before commencing with IHC staining protocol.

Flow Cytometry (Intracellular) - Anti-MTCO1 antibody [EPR19628] (AB203912)
  • Flow Cyt (Intra)

Unknown

Flow Cytometry (Intracellular) - Anti-MTCO1 antibody [EPR19628] (AB203912)

Intracellular flow cytometric analysis of 4% paraformaldehyde-fixed HeLa (Human epithelial cell line from cervix adenocarcinoma) cells labeling MTCO1with ab203912 at 1/70 dilution (red) compared with a Rabbit IgG,monoclonal [EPR25A] - Isotype Control (ab172730) (black) and an unlabelled control (cells without incubation with primary antibody and secondary antibody) (blue). Goat anti Rabbit IgG (Alexa Fluor® 488) at 1/500 dilution was used as the secondary antibody.

Cells were permeabilised with 90% methanol (diluted with 1X PBS).

Immunocytochemistry/ Immunofluorescence - Anti-MTCO1 antibody [EPR19628] (AB203912)
  • ICC/IF

Supplier Data

Immunocytochemistry/ Immunofluorescence - Anti-MTCO1 antibody [EPR19628] (AB203912)

Immunofluorescent analysis of 4% paraformaldehyde-fixed, 0.1% Triton X-100 permeabilized HeLa (Human epithelial cell line from cervix adenocarcinoma) cells labeling MTCO1 with ab203912 at 1/250 dilution, followed by Goat Anti-Rabbit IgG (Alexa Fluor® 488) (ab150077) secondary antibody at 1/1000 dilution (green).

Confocal image showing cytoplasmic staining on HeLa cell line.

The nuclear counterstain is DAPI (blue).

COX IV is detected with ab33985 (anti-COX IV mouse mAb) at 1/1000 dilution and ab150120 (AlexaFluor®594 Goat anti-Mouse secondary) at 1/1000 dilution (red).

The negative controls are as follows : -

-ve control 1 : ab203912 at 1/250 dilution followed by ab150120 at 1/1000 dilution.

-ve control 2 : ab33985 at 1/1000 dilution followed by ab150077 at 1/1000 dilution.

Immunocytochemistry/ Immunofluorescence - Anti-MTCO1 antibody [EPR19628] (AB203912)
  • ICC/IF

Supplier Data

Immunocytochemistry/ Immunofluorescence - Anti-MTCO1 antibody [EPR19628] (AB203912)

Immunofluorescent analysis of 4% paraformaldehyde-fixed, 0.1% Triton X-100 permeabilized HeLa (Human epithelial cell line from cervix adenocarcinoma) cells labeling MTCO1 with ab203912 at 1/250 dilution, followed by Goat Anti-Rabbit IgG (Alexa Fluor® 488) (ab150077) secondary antibody at 1/1000 dilution (green).

Confocal image showing cytoplasmic staining on HeLa cell line.

The nuclear counterstain is DAPI (blue).

Tubulin is detected with Anti-alpha Tubulin antibody [DM1A] - Loading Control (ab7291) at 1/1000 dilution and Goat Anti-Mouse IgG H&L (Alexa Fluor® 594) preadsorbed (ab150120) at 1/1000 dilution (red).

The negative controls are as follows : -

-ve control 1 : ab203912 at 1/250 dilution followed by ab150120 at 1/1000 dilution.

-ve control 2 : ab7291 at 1/1000 dilution followed by ab150077 at 1/1000 dilution.

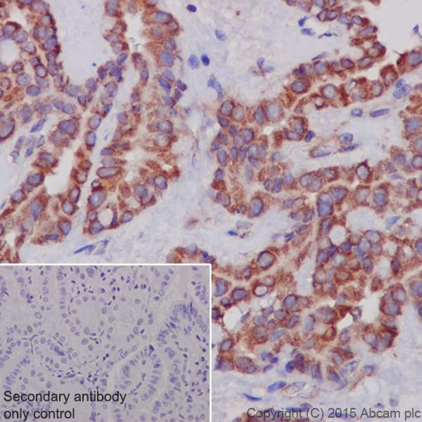
Immunohistochemistry (Formalin/PFA-fixed paraffin-embedded sections) - Anti-MTCO1 antibody [EPR19628] (AB203912)
  • IHC-P

Supplier Data

Immunohistochemistry (Formalin/PFA-fixed paraffin-embedded sections) - Anti-MTCO1 antibody [EPR19628] (AB203912)

Immunohistochemical analysis of paraffin-embedded Human thyroid cancer tissue labeling MTCO1 with ab203912 at 1/250 dilution, followed by Goat Anti-Rabbit IgG H&L (HRP) (ab97051) at 1/500 dilution.

Cytoplasm staining on Human thyroid cancer is observed.

Counter stained with Hematoxylin.

Secondary antibody only control : Used PBS instead of primary antibody, secondary antibody is ab97051 at 1/500 dilution.

Perform heat mediated antigen retrieval with Tris/EDTA buffer pH 9.0 before commencing with IHC staining protocol.

Immunocytochemistry/ Immunofluorescence - Anti-MTCO1 antibody [EPR19628] (AB203912)
  • ICC/IF

Supplier Data

Immunocytochemistry/ Immunofluorescence - Anti-MTCO1 antibody [EPR19628] (AB203912)

Immunofluorescent analysis of 4% paraformaldehyde-fixed, 0.1% Triton X-100 permeabilized Neuro-2a (Mouse neuroblastoma cell line) cells labeling MTCO1 with ab203912 at 1/250 dilution, followed by Goat Anti-Rabbit IgG (Alexa Fluor® 488) (ab150077) secondary antibody at 1/1000 dilution (green).

Confocal image showing cytoplasmic staining on Neuro-2a cell line.

The nuclear counterstain is DAPI (blue).

Tubulin is detected with Anti-alpha Tubulin antibody [DM1A] - Loading Control (ab7291) at 1/1000 dilution and Goat Anti-Mouse IgG H&L (Alexa Fluor® 594) preadsorbed (ab150120) at 1/1000 dilution (red).

The negative controls are as follows : -

-ve control 1 : ab203912 at 1/250 dilution followed by ab150120 at 1/1000 dilution.

-ve control 2 : ab7291 at 1/1000 dilution followed by ab150077 at 1/1000 dilution.

Immunohistochemistry (Formalin/PFA-fixed paraffin-embedded sections) - Anti-MTCO1 antibody [EPR19628] (AB203912)
  • IHC-P

Supplier Data

Immunohistochemistry (Formalin/PFA-fixed paraffin-embedded sections) - Anti-MTCO1 antibody [EPR19628] (AB203912)

Immunohistochemical analysis of paraffin-embedded Rat cardiac muscle tissue labeling MTCO1 with ab203912 at 1/250 dilution, followed by Goat Anti-Rabbit IgG H&L (HRP) (ab97051) at 1/500 dilution.

Cytoplasm staining on rat cardiac muscle is observed.

Counter stained with Hematoxylin.

Secondary antibody only control : Used PBS instead of primary antibody, secondary antibody is ab97051 at 1/500 dilution.

Perform heat mediated antigen retrieval with Tris/EDTA buffer pH 9.0 before commencing with IHC staining protocol.

Immunocytochemistry/ Immunofluorescence - Anti-MTCO1 antibody [EPR19628] (AB203912)
  • ICC/IF

Supplier Data

Immunocytochemistry/ Immunofluorescence - Anti-MTCO1 antibody [EPR19628] (AB203912)

Immunofluorescent analysis of 4% paraformaldehyde-fixed, 0.1% Triton X-100 permeabilized Neuro-2a (Mouse neuroblastoma cell line) cells labeling MTCO1 with ab203912 at 1/250 dilution, followed by Goat Anti-Rabbit IgG (Alexa Fluor® 488) (ab150077) secondary antibody at 1/1000 dilution (green).

Confocal image showing cytoplasmic staining on Neuro-2a cell line.

The nuclear counterstain is DAPI (blue).

COX IV is detected with ab33985 (anti-COX IV mouse mAb) at 1/1000 dilution and ab150120 (AlexaFluor®594 Goat anti-Mouse secondary) at 1/1000 dilution (red).

The negative controls are as follows : -

-ve control 1 : ab203912 at 1/250 dilution followed by ab150120 at 1/1000 dilution.

-ve control 2 : ab33985 at 1/1000 dilution followed by ab150077 at 1/1000 dilution.

Immunohistochemistry (Formalin/PFA-fixed paraffin-embedded sections) - Anti-MTCO1 antibody [EPR19628] (AB203912)
  • IHC-P

Supplier Data

Immunohistochemistry (Formalin/PFA-fixed paraffin-embedded sections) - Anti-MTCO1 antibody [EPR19628] (AB203912)

Immunohistochemical analysis of paraffin-embedded Mouse cardiac muscle tissue labeling MTCO1 with ab203912 at 1/250 dilution, followed by Goat Anti-Rabbit IgG H&L (HRP) (ab97051) at 1/500 dilution.

Cytoplasm staining on mouse cardiac muscle is observed.

Counter stained with Hematoxylin.

Secondary antibody only control : Used PBS instead of primary antibody, secondary antibody is ab97051 at 1/500 dilution.

Perform heat mediated antigen retrieval with Tris/EDTA buffer pH 9.0 before commencing with IHC staining protocol.

Western blot - Anti-MTCO1 antibody [EPR19628] (AB203912)
  • WB

Supplier Data

Western blot - Anti-MTCO1 antibody [EPR19628] (AB203912)

Blocking/Dilution buffer : 5% NFDM/TBST.

All lanes:

Western blot - Anti-MTCO1 antibody [EPR19628] (ab203912) at 1/1000 dilution

Lane 1:

C6 (Rat glial tumor cell line) mitochondria lysate at 10 µg

Lane 2:

SH-SY5Y (Human neuroblastoma cell line from bone marrow) mitochondria lysate at 10 µg

Secondary

All lanes:

Western blot - Goat Anti-Rabbit IgG H&L (HRP) (<a href='/en-us/products/secondary-antibodies/goat-rabbit-igg-h-l-hrp-ab97051'>ab97051</a>) at 1/100000 dilution

Predicted band size: 57 kDa

Observed band size: 37 kDa

false

Exposure time: 15s

Western blot - Anti-MTCO1 antibody [EPR19628] (AB203912)
  • WB

Supplier Data

Western blot - Anti-MTCO1 antibody [EPR19628] (AB203912)

Blocking/Dilution buffer : 5% NFDM/TBST.

Exposure time : Lane1 : 3 minutes; Lane 2 : 30seconds; Lane 3 and 4 : 10seconds; Lane 5 : 3 minutes; Lane 6 : 1 minute.

The molecular weight observed is consistent with what has been described in the literature (PMID : 23125210 & 22426402).

All lanes:

Western blot - Anti-MTCO1 antibody [EPR19628] (ab203912) at 1/2000 dilution

Lane 1:

HeLa (Human epithelial cell line from cervix adenocarcinoma) whole cell lysate at 20 µg

Lane 2:

HeLa (Human epithelial cell line from cervix adenocarcinoma) mitochondria lysate at 20 µg

Lane 3:

Neuro-2a (Mouse neuroblastoma cell line) whole cell lysate at 20 µg

Lane 4:

Neuro-2a (Mouse neuroblastoma cell line) mitochondria lysate at 20 µg

Lane 5:

Mouse liver whole cell lysate at 20 µg

Lane 6:

Mouse liver mitochondria lysate at 20 µg

Secondary

All lanes:

Western blot - Goat Anti-Rabbit IgG H&L (HRP) (<a href='/en-us/products/secondary-antibodies/goat-rabbit-igg-h-l-hrp-ab97051'>ab97051</a>) at 1/100000 dilution

Predicted band size: 57 kDa

Observed band size: 37 kDa

false

Western blot - Anti-MTCO1 antibody [EPR19628] (AB203912)
  • WB

Supplier Data

Western blot - Anti-MTCO1 antibody [EPR19628] (AB203912)

Blocking/Dilution buffer : 5% NFDM/TBST.

All lanes:

Western blot - Anti-MTCO1 antibody [EPR19628] (ab203912) at 1/1000 dilution

All lanes:

Human fetal liver whole cell lysate at 10 µg

Secondary

All lanes:

Goat Anti-Rabbit IgG Peroxidase Conjugate, specific to the non-reduced form of IgG at 1/10000 dilution

Predicted band size: 57 kDa

Observed band size: 37 kDa

false

Exposure time: 1min

Western blot - Anti-MTCO1 antibody [EPR19628] (AB203912)
  • WB

Supplier Data

Western blot - Anti-MTCO1 antibody [EPR19628] (AB203912)

Blocking/Dilution buffer : 5% NFDM/TBST.

All lanes:

Western blot - Anti-MTCO1 antibody [EPR19628] (ab203912) at 1/1000 dilution

Lane 1:

C6 (Rat glial tumor cell line) whole cell lysate at 10 µg

Lane 2:

RAW 264.7 (Mouse macrophage cell line transformed with Abelson murine leukemia virus) whole cell lysate at 10 µg

Secondary

All lanes:

Western blot - Goat Anti-Rabbit IgG H&L (HRP) (<a href='/en-us/products/secondary-antibodies/goat-rabbit-igg-h-l-hrp-ab97051'>ab97051</a>) at 1/100000 dilution

Predicted band size: 57 kDa

Observed band size: 37 kDa

false

Exposure time: 3min

  • Carrier free

    Anti-MTCO1 antibody [EPR19628] - BSA and Azide free

Key facts

Host species

Rabbit

Clonality

Monoclonal

Clone number

EPR19628

Isotype

IgG

Carrier free

No

Reacts with

Mouse, Rat, Human

Applications

Flow Cyt (Intra), IHC-P, WB, ICC/IF

applications

Immunogen

The exact immunogen used to generate this antibody is proprietary information.

Reactivity data

{ "title": "Reactivity Data", "filters": { "stats": ["", "Species", "Dilution Info", "Notes"], "tabs": { "all-applications": {"fullname" : "All Applications", "shortname": "All Applications"}, "WB" : {"fullname" : "Western blot", "shortname":"WB"}, "ICCIF" : {"fullname" : "Immunocytochemistry/ Immunofluorescence", "shortname":"ICC/IF"}, "FlowCytIntra" : {"fullname" : "Flow Cytometry (Intracellular)", "shortname":"Flow Cyt (Intra)"}, "IHCP" : {"fullname" : "Immunohistochemistry (Formalin/PFA-fixed paraffin-embedded sections)", "shortname":"IHC-P"} }, "product-promise": { "all": "all", "testedAndGuaranteed": "tested", "guaranteed": "expected", "predicted": "predicted", "notRecommended": "not-recommended" } }, "values": { "Human": { "WB-species-checked": "testedAndGuaranteed", "WB-species-dilution-info": "1/1000", "WB-species-notes": "<p></p>", "ICCIF-species-checked": "testedAndGuaranteed", "ICCIF-species-dilution-info": "1/250", "ICCIF-species-notes": "<p></p>", "FlowCytIntra-species-checked": "testedAndGuaranteed", "FlowCytIntra-species-dilution-info": "1/70", "FlowCytIntra-species-notes": "<p></p>", "IHCP-species-checked": "testedAndGuaranteed", "IHCP-species-dilution-info": "1/250", "IHCP-species-notes": "<p></p> Perform heat-mediated antigen retrieval with Tris/EDTA buffer pH 9.0 before commencing with IHC staining protocol." }, "Mouse": { "WB-species-checked": "testedAndGuaranteed", "WB-species-dilution-info": "1/1000", "WB-species-notes": "<p></p>", "ICCIF-species-checked": "testedAndGuaranteed", "ICCIF-species-dilution-info": "1/250", "ICCIF-species-notes": "<p></p>", "FlowCytIntra-species-checked": "guaranteed", "FlowCytIntra-species-dilution-info": "", "FlowCytIntra-species-notes": "", "IHCP-species-checked": "testedAndGuaranteed", "IHCP-species-dilution-info": "1/250", "IHCP-species-notes": "<p></p> Perform heat-mediated antigen retrieval with Tris/EDTA buffer pH 9.0 before commencing with IHC staining protocol." }, "Rat": { "WB-species-checked": "testedAndGuaranteed", "WB-species-dilution-info": "1/1000", "WB-species-notes": "<p></p>", "ICCIF-species-checked": "guaranteed", "ICCIF-species-dilution-info": "", "ICCIF-species-notes": "", "FlowCytIntra-species-checked": "guaranteed", "FlowCytIntra-species-dilution-info": "", "FlowCytIntra-species-notes": "", "IHCP-species-checked": "testedAndGuaranteed", "IHCP-species-dilution-info": "1/250", "IHCP-species-notes": "<p></p> Perform heat-mediated antigen retrieval with Tris/EDTA buffer pH 9.0 before commencing with IHC staining protocol." } } }

Product details

Patented technology
Our RabMAb® technology is a patented hybridoma-based technology for making rabbit monoclonal antibodies. For details on our patents, please refer to RabMAb® patents.

What are the advantages of a recombinant monoclonal antibody?
This product is a recombinant monoclonal antibody, which offers several advantages including:

  • - High batch-to-batch consistency and reproducibility
  • - Improved sensitivity and specificity
  • - Long-term security of supply
  • - Animal-free batch production

For more information, read more on recombinant antibodies.

Properties and storage information

Form
Liquid
Purification technique
Affinity purification Protein A
Storage buffer
pH: 7.2 - 7.4 Preservative: 0.01% Sodium azide Constituents: PBS, 40% Glycerol (glycerin, glycerine), 0.05% BSA
Shipped at conditions
Blue Ice
Appropriate short-term storage duration
1-2 weeks
Appropriate short-term storage conditions
+4°C
Appropriate long-term storage conditions
-20°C
Aliquoting information
Upon delivery aliquot
Storage information
Avoid freeze / thaw cycle

Supplementary information

This supplementary information is collated from multiple sources and compiled automatically.

MTCO1 also known as COX1 or MT-CO1 is an important component of the mitochondrial respiratory chain’s complex IV commonly called cytochrome c oxidase. This target is encoded by mitochondrial DNA and contributes to the complex's catalytic core. It is a transmembrane protein with a noted molecular weight of approximately 57 kDa. MTCO1 is predominantly expressed in tissues with high energy demand such as cardiac and skeletal muscles due to their reliance on efficient oxidative phosphorylation.
Biological function summary

MTCO1 is vital for the final step of the electron transport chain catalyzing the transfer of electrons from cytochrome c to oxygen. This process facilitates the reduction of oxygen molecules to water. MTCO1 is an integral part of cytochrome c oxidase a multi-subunit enzyme complex important for cellular energy production. Proper function of MTCO1 supports ATP synthesis by maintaining electrochemical gradients across the mitochondrial inner membrane.

Pathways

Electrons transfer through this protein is essential for effective oxidative phosphorylation and maintaining the proton gradient necessary for ATP synthesis. MTCO1 operates in tandem with proteins like COX2 within the electron transport chain to achieve optimal energy conversion and cellular respiration. The pathway interactions of MTCO1 are critical in efficiently powering cellular activities and upholding metabolic functions throughout the body.

Mutations or defects in MTCO1 have associations with various mitochondrial diseases such as Leber's Hereditary Optic Neuropathy (LHON) and mitochondrial complex IV deficiency. MTCO1 anomalies may disrupt normal function leading to impaired oxidative phosphorylation and energy deficits in cells. In LHON affected individuals can also demonstrate deficits linked to mutations in other mitochondrial genes like ND1 which further disrupt cellular energy balance and contribute to the clinical manifestations of these mitochondrial disorders.

Product protocols

For this product, it's our understanding that no specific protocols are required. You can visit:

Target data

Component of the cytochrome c oxidase, the last enzyme in the mitochondrial electron transport chain which drives oxidative phosphorylation. The respiratory chain contains 3 multisubunit complexes succinate dehydrogenase (complex II, CII), ubiquinol-cytochrome c oxidoreductase (cytochrome b-c1 complex, complex III, CIII) and cytochrome c oxidase (complex IV, CIV), that cooperate to transfer electrons derived from NADH and succinate to molecular oxygen, creating an electrochemical gradient over the inner membrane that drives transmembrane transport and the ATP synthase. Cytochrome c oxidase is the component of the respiratory chain that catalyzes the reduction of oxygen to water. Electrons originating from reduced cytochrome c in the intermembrane space (IMS) are transferred via the dinuclear copper A center (CU(A)) of subunit 2 and heme A of subunit 1 to the active site in subunit 1, a binuclear center (BNC) formed by heme A3 and copper B (CU(B)). The BNC reduces molecular oxygen to 2 water molecules using 4 electrons from cytochrome c in the IMS and 4 protons from the mitochondrial matrix.
See full target information MT-CO1

Publications (35)

Recent publications for all applications. Explore the full list and refine your search

Journal of nanobiotechnology 23:339 PubMed40340852

2025

Dual-responsive nanoparticles targeting ACE-II senescence for therapeutic mitigation of acute lung injury.

Applications

Unspecified application

Species

Unspecified reactive species

Linlin Gao,Fushuang Zheng,Zhiling Fu,Wei Wang

Nucleic acids research 53: PubMed39878211

2025

Selection of initiator tRNA and start codon by mammalian mitochondrial initiation factor 3 in leaderless mRNA translation.

Applications

Unspecified application

Species

Unspecified reactive species

Muhoon Lee,Taisei Wakigawa,Qimin Jia,Chang Liu,Ruiyuan Huang,Shuai Huang,Asuteka Nagao,Tsutomu Suzuki,Kozo Tomita,Shintaro Iwasaki,Nono Takeuchi-Tomita

Cell reports. Medicine 5:101840 PubMed39626672

2024

Chemical activation of mitochondrial ClpP to modulate energy metabolism of CD4 T cell for inflammatory bowel diseases treatment.

Applications

Unspecified application

Species

Unspecified reactive species

Jiangnan Zhang,Yunhan Jiang,Dongmei Fan,Zhiqiang Qiu,Xinlian He,Song Liu,Linjie Li,Zhengyi Dai,Lidan Zhang,Ziyi Shu,Lili Li,Hu Zhang,Tao Yang,Youfu Luo

Cancer discovery 15:401-426 PubMed39476412

2024

Copper Drives Remodeling of Metabolic State and Progression of Clear Cell Renal Cell Carcinoma.

Applications

Unspecified application

Species

Unspecified reactive species

Megan E Bischoff,Behrouz Shamsaei,Juechen Yang,Dina Secic,Bhargav Vemuri,Julie A Reisz,Angelo D'Alessandro,Caterina Bartolacci,Rafal Adamczak,Lucas Schmidt,Jiang Wang,Amelia Martines,Jahnavi Venkat,Vanina Toffessi Tcheuyap,Jacek Biesiada,Catherine A Behrmann,Katherine E Vest,James Brugarolas,Pier Paolo Scaglioni,David R Plas,Krushna C Patra,Shuchi Gulati,Julio A Landero Figueroa,Jarek Meller,John T Cunningham,Maria F Czyzyk-Krzeska

International journal of nanomedicine 19:9799-9819 PubMed39345912

2024

Metabolic Reprogramming of CD4 T Cells by Mesenchymal Stem Cell-Derived Extracellular Vesicles Attenuates Autoimmune Hepatitis Through Mitochondrial Protein Transfer.

Applications

Unspecified application

Species

Unspecified reactive species

Mengyi Shen,Leyu Zhou,Xiaoli Fan,Ruiqi Wu,Shuyun Liu,Qiaoyu Deng,Yanyi Zheng,Jingping Liu,Li Yang

Journal of cachexia, sarcopenia and muscle 15:2104-2117 PubMed39187977

2024

Betaine delays age-related muscle loss by mitigating Mss51-induced impairment in mitochondrial respiration via Yin Yang1.

Applications

Unspecified application

Species

Unspecified reactive species

Si Chen,Tongtong He,Jiedong Chen,Dongsheng Wen,Chen Wang,Wenge Huang,Zhijun Yang,Mengtao Yang,Mengchu Li,Siyu Huang,Zihui Huang,Huilian Zhu

Cell discovery 10:11 PubMed38291322

2024

Structural insights into the specific recognition of mitochondrial ribosome-binding factor hsRBFA and 12 S rRNA by methyltransferase METTL15.

Applications

Unspecified application

Species

Unspecified reactive species

Mengqi Lv,Wanwan Zhou,Yijie Hao,Fudong Li,Huafeng Zhang,Xuebiao Yao,Yunyu Shi,Liang Zhang

American journal of physiology. Renal physiology 326:F326-F337 PubMed38205542

2024

Energy depletion by cell proliferation sensitizes the kidney epithelial cells to injury.

Applications

Unspecified application

Species

Unspecified reactive species

Pierre Galichon,Morgane Lannoy,Li Li,Justine Serre,Sophie Vandermeersch,David Legouis,M Todd Valerius,Juliette Hadchouel,Joseph V Bonventre

Antioxidants (Basel, Switzerland) 12: PubMed38136199

2023

DHA and EPA Alleviate Epileptic Depression in PTZ-Treated Young Mice Model by Inhibiting Neuroinflammation through Regulating Microglial M2 Polarization and Improving Mitochondrial Metabolism.

Applications

Unspecified application

Species

Unspecified reactive species

Yueqi Yang,Lu Chen,Ning Zhang,Yingcai Zhao,Hongxia Che,Yuming Wang,Tiantian Zhang,Min Wen

Lipids in health and disease 22:189 PubMed37932729

2023

High-fat stimulation induces atrial neural remodeling by reducing NO production via the CRIF1/eNOS/P21 axi.

Applications

Unspecified application

Species

Unspecified reactive species

An Zhang,Huilin Li,Qiyuan Song,Yansong Cui,Yujiao Zhang,Ximin Wang,Zhan Li,Yinglong Hou
View all publications

Product promise

We are committed to supporting your work with high-quality reagents, and we're here for you every step of the way. In the unlikely event that one of our products does not perform as expected, you're protected by our Product Promise.
For full details, please see our Terms & Conditions

Please note: All products are 'FOR RESEARCH USE ONLY. NOT FOR USE IN DIAGNOSTIC OR THERAPEUTIC PROCEDURES'.

For licensing inquiries, please contact partnerships@abcam.com