JavaScript is disabled in your browser. Please enable JavaScript to view this website.
AB203917

Anti-MTCO1 antibody [EPR19642]

Be the first to review this product! Submit a review

|

(3 Publications)

Rabbit Recombinant Monoclonal MTCO1 antibody. Suitable for WB, ICC/IF, Flow Cyt (Intra), IHC-P and reacts with Human samples. Cited in 3 publications.

View Alternative Names

COI, COXI, MTCO1, MT-CO1, Cytochrome c oxidase subunit 1, Cytochrome c oxidase polypeptide I

7 Images
Immunohistochemistry (Formalin/PFA-fixed paraffin-embedded sections) - Anti-MTCO1 antibody [EPR19642] (AB203917)
  • IHC-P

Supplier Data

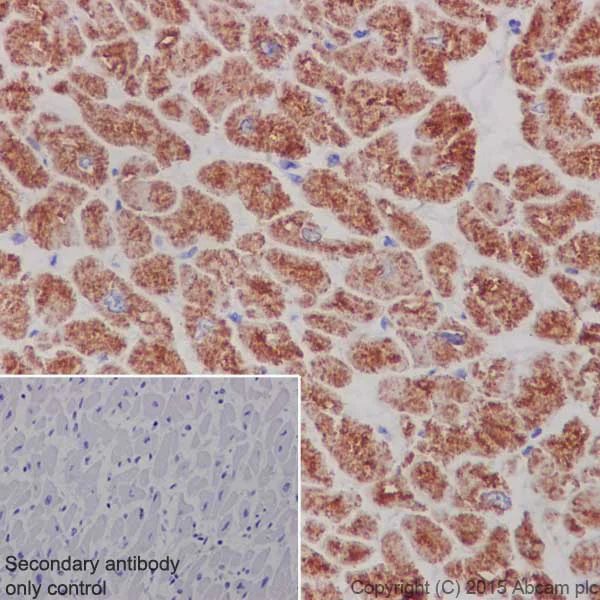
Immunohistochemistry (Formalin/PFA-fixed paraffin-embedded sections) - Anti-MTCO1 antibody [EPR19642] (AB203917)

Immunohistochemical analysis of paraffin-embedded Human cardiac muscle tissue labeling MTCO1 with ab203917 at 1/250 dilution followed by Goat Anti-Rabbit IgG H&L (HRP) (ab97051) at 1/500 dilution.

Cytoplasm staining on Human cardiac muscle is observed.

Counter stained with Hematoxylin.

Secondary antibody only control : Used PBS instead of primary antibody secondary antibody is ab97051 at 1/500 dilution.

Perform heat mediated antigen retrieval with Tris/EDTA buffer pH 9.0 before commencing with IHC staining protocol.

Immunocytochemistry/ Immunofluorescence - Anti-MTCO1 antibody [EPR19642] (AB203917)
  • ICC/IF

Supplier Data

Immunocytochemistry/ Immunofluorescence - Anti-MTCO1 antibody [EPR19642] (AB203917)

Immunofluorescent analysis of 4% paraformaldehyde-fixed 0.1% Triton X-100 permeabilized HeLa (Human epithelial cell line from cervix adenocarcinoma) cells labeling MTCO1 with ab203917 at 1/1000 dilution followed by Goat Anti-Rabbit IgG (Alexa Fluor® 488) (ab150077) secondary antibody at 1/1000 dilution (green).

Confocal image showing cytoplasmic staining on HeLa cell line.

The nuclear counterstain is DAPI (blue).

COX IV is detected with ab33985 (anti-COX IV mouse mAb) at 1/1000 dilution and Goat Anti-Mouse IgG H&L (Alexa Fluor® 594) preadsorbed (ab150120) at 1/1000 dilution (red).

The negative controls are as follows : -

-ve control 1 : ab203917 at 1/1000 dilution followed by ab150120 at 1/1000 dilution.

-ve control 2 : ab33985 at 1/1000 dilution followed by ab150077 at 1/1000 dilution.

Immunohistochemistry (Formalin/PFA-fixed paraffin-embedded sections) - Anti-MTCO1 antibody [EPR19642] (AB203917)
  • IHC-P

Supplier Data

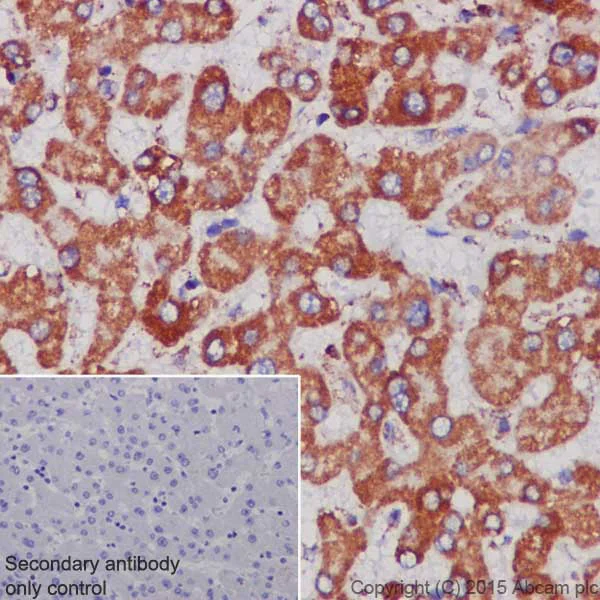
Immunohistochemistry (Formalin/PFA-fixed paraffin-embedded sections) - Anti-MTCO1 antibody [EPR19642] (AB203917)

Immunohistochemical analysis of paraffin-embedded Human liver tissue labeling MTCO1 with ab203917 at 1/250 dilution followed by Goat Anti-Rabbit IgG H&L (HRP) (ab97051) at 1/500 dilution.

Cytoplasm staining on hepatocytes of Human liver is observed.

Counter stained with Hematoxylin.

Secondary antibody only control : Used PBS instead of primary antibody secondary antibody is ab97051 at 1/500 dilution.

Perform heat mediated antigen retrieval with Tris/EDTA buffer pH 9.0 before commencing with IHC staining protocol.

Immunocytochemistry/ Immunofluorescence - Anti-MTCO1 antibody [EPR19642] (AB203917)
  • ICC/IF

Supplier Data

Immunocytochemistry/ Immunofluorescence - Anti-MTCO1 antibody [EPR19642] (AB203917)

Immunofluorescent analysis of 4% paraformaldehyde-fixed 0.1% Triton X-100 permeabilized HeLa (Human epithelial cell line from cervix adenocarcinoma) cells labeling MTCO1 with ab203917 at 1/1000 dilution followed by Goat Anti-Rabbit IgG (Alexa Fluor® 488) (ab150077) secondary antibody at 1/1000 dilution (green).

Confocal image showing cytoplasmic staining on HeLa cell line.

The nuclear counterstain is DAPI (blue).

Tubulin is detected with Anti-alpha Tubulin antibody [DM1A] - Loading Control (ab7291) at 1/1000 dilution and Goat Anti-Mouse IgG H&L (Alexa Fluor® 594) preadsorbed (ab150120) at 1/1000 dilution (red).

The negative controls are as follows : -

-ve control 1 : ab203917 at 1/1000 dilution followed by ab150120 at 1/1000 dilution.

-ve control 2 : ab7291 at 1/1000 dilution followed by ab150077 at 1/1000 dilution.

Flow Cytometry (Intracellular) - Anti-MTCO1 antibody [EPR19642] (AB203917)
  • Flow Cyt (Intra)

Supplier Data

Flow Cytometry (Intracellular) - Anti-MTCO1 antibody [EPR19642] (AB203917)

Intracellular flow cytometric analysis of 4% paraformaldehyde-fixed HeLa (Human epithelial cell line from cervix adenocarcinoma) cells labeling MTCO1with ab203917 at 1/700 dilution (red) compared with a Rabbit IgG,monoclonal [EPR25A] - Isotype Control (ab172730) (black) and an unlabelled control (cells without incubation with primary antibody and secondary antibody) (blue). Goat anti Rabbit IgG (Alexa Fluorr® 488) at 1/500 dilution was used as the secondary antibody.

Western blot - Anti-MTCO1 antibody [EPR19642] (AB203917)
  • WB

Supplier Data

Western blot - Anti-MTCO1 antibody [EPR19642] (AB203917)

Blocking/Dilution buffer : 5% NFDM/TBST.

Exposure time : Lane 1 : 5 seconds; Lane 2 : 1 second.

All lanes:

Western blot - Anti-MTCO1 antibody [EPR19642] (ab203917) at 1/1000 dilution

Lane 1:

HeLa (Human epithelial cell line from cervix adenocarcinoma) whole cell lysate at 20 µg

Lane 2:

HeLa (Human epithelial cell line from cervix adenocarcinoma) mitochondria lysate at 20 µg

Secondary

All lanes:

Western blot - Goat Anti-Rabbit IgG H&L (HRP) (<a href='/en-us/products/secondary-antibodies/goat-rabbit-igg-h-l-hrp-ab97051'>ab97051</a>) at 1/100000 dilution

Predicted band size: 57 kDa

Observed band size: 37 kDa

false

Western blot - Anti-MTCO1 antibody [EPR19642] (AB203917)
  • WB

Supplier Data

Western blot - Anti-MTCO1 antibody [EPR19642] (AB203917)

Blocking/Dilution buffer : 5% NFDM/TBST.

All lanes:

Western blot - Anti-MTCO1 antibody [EPR19642] (ab203917) at 1/1000 dilution

All lanes:

Human fetal liver lysate at 10 µg

Secondary

All lanes:

Goat Anti-Rabbit IgG Peroxidase Conjugate, specific to the non-reduced form of IgG at 1/10000 dilution

Predicted band size: 57 kDa

Observed band size: 37 kDa,45 kDa

false

Exposure time: 15s

  • Carrier free

    Anti-MTCO1 antibody [EPR19642] - BSA and Azide free

Key facts

Host species

Rabbit

Clonality

Monoclonal

Clone number

EPR19642

Isotype

IgG

Carrier free

No

Reacts with

Human

Applications

WB, IHC-P, ICC/IF, Flow Cyt (Intra)

applications

Immunogen

The exact immunogen used to generate this antibody is proprietary information.

Reactivity data

{ "title": "Reactivity Data", "filters": { "stats": ["", "Species", "Dilution Info", "Notes"], "tabs": { "all-applications": {"fullname" : "All Applications", "shortname": "All Applications"}, "WB" : {"fullname" : "Western blot", "shortname":"WB"}, "ICCIF" : {"fullname" : "Immunocytochemistry/ Immunofluorescence", "shortname":"ICC/IF"}, "FlowCytIntra" : {"fullname" : "Flow Cytometry (Intracellular)", "shortname":"Flow Cyt (Intra)"}, "IHCP" : {"fullname" : "Immunohistochemistry (Formalin/PFA-fixed paraffin-embedded sections)", "shortname":"IHC-P"} }, "product-promise": { "all": "all", "testedAndGuaranteed": "tested", "guaranteed": "expected", "predicted": "predicted", "notRecommended": "not-recommended" } }, "values": { "Human": { "WB-species-checked": "testedAndGuaranteed", "WB-species-dilution-info": "1/1000", "WB-species-notes": "<p></p>", "ICCIF-species-checked": "testedAndGuaranteed", "ICCIF-species-dilution-info": "1/1000", "ICCIF-species-notes": "<p></p>", "FlowCytIntra-species-checked": "testedAndGuaranteed", "FlowCytIntra-species-dilution-info": "1/700", "FlowCytIntra-species-notes": "<p></p>", "IHCP-species-checked": "testedAndGuaranteed", "IHCP-species-dilution-info": "1/250", "IHCP-species-notes": "<p></p>" } } }

Product details

NOTE: COXI is a highly hydrophobic protein and appears as a broad band at ~35 kDa (not at its true molecular weight at 57 kDa). It is very sensitive to heating. Therefore, the samples, including the positive control, should not be heated over 50°C before loaded on the gel.

Patented technology
Our RabMAb® technology is a patented hybridoma-based technology for making rabbit monoclonal antibodies. For details on our patents, please refer to RabMAb® patents.

What are the advantages of a recombinant monoclonal antibody?
This product is a recombinant monoclonal antibody, which offers several advantages including:

  • - High batch-to-batch consistency and reproducibility
  • - Improved sensitivity and specificity
  • - Long-term security of supply
  • - Animal-free batch production

For more information, read more on recombinant antibodies.

Properties and storage information

Form
Liquid
Purification technique
Affinity purification Protein A
Storage buffer
pH: 7.2 - 7.4 Preservative: 0.01% Sodium azide Constituents: PBS, 40% Glycerol (glycerin, glycerine), 0.05% BSA
Shipped at conditions
Blue Ice
Appropriate short-term storage duration
1-2 weeks
Appropriate short-term storage conditions
+4°C
Appropriate long-term storage conditions
-20°C
Aliquoting information
Upon delivery aliquot
Storage information
Avoid freeze / thaw cycle

Supplementary information

This supplementary information is collated from multiple sources and compiled automatically.

MTCO1 also known as COX1 or MT-CO1 is an important component of the mitochondrial respiratory chain’s complex IV commonly called cytochrome c oxidase. This target is encoded by mitochondrial DNA and contributes to the complex's catalytic core. It is a transmembrane protein with a noted molecular weight of approximately 57 kDa. MTCO1 is predominantly expressed in tissues with high energy demand such as cardiac and skeletal muscles due to their reliance on efficient oxidative phosphorylation.
Biological function summary

MTCO1 is vital for the final step of the electron transport chain catalyzing the transfer of electrons from cytochrome c to oxygen. This process facilitates the reduction of oxygen molecules to water. MTCO1 is an integral part of cytochrome c oxidase a multi-subunit enzyme complex important for cellular energy production. Proper function of MTCO1 supports ATP synthesis by maintaining electrochemical gradients across the mitochondrial inner membrane.

Pathways

Electrons transfer through this protein is essential for effective oxidative phosphorylation and maintaining the proton gradient necessary for ATP synthesis. MTCO1 operates in tandem with proteins like COX2 within the electron transport chain to achieve optimal energy conversion and cellular respiration. The pathway interactions of MTCO1 are critical in efficiently powering cellular activities and upholding metabolic functions throughout the body.

Mutations or defects in MTCO1 have associations with various mitochondrial diseases such as Leber's Hereditary Optic Neuropathy (LHON) and mitochondrial complex IV deficiency. MTCO1 anomalies may disrupt normal function leading to impaired oxidative phosphorylation and energy deficits in cells. In LHON affected individuals can also demonstrate deficits linked to mutations in other mitochondrial genes like ND1 which further disrupt cellular energy balance and contribute to the clinical manifestations of these mitochondrial disorders.

Product protocols

For this product, it's our understanding that no specific protocols are required. You can visit:

Target data

Component of the cytochrome c oxidase, the last enzyme in the mitochondrial electron transport chain which drives oxidative phosphorylation. The respiratory chain contains 3 multisubunit complexes succinate dehydrogenase (complex II, CII), ubiquinol-cytochrome c oxidoreductase (cytochrome b-c1 complex, complex III, CIII) and cytochrome c oxidase (complex IV, CIV), that cooperate to transfer electrons derived from NADH and succinate to molecular oxygen, creating an electrochemical gradient over the inner membrane that drives transmembrane transport and the ATP synthase. Cytochrome c oxidase is the component of the respiratory chain that catalyzes the reduction of oxygen to water. Electrons originating from reduced cytochrome c in the intermembrane space (IMS) are transferred via the dinuclear copper A center (CU(A)) of subunit 2 and heme A of subunit 1 to the active site in subunit 1, a binuclear center (BNC) formed by heme A3 and copper B (CU(B)). The BNC reduces molecular oxygen to 2 water molecules using 4 electrons from cytochrome c in the IMS and 4 protons from the mitochondrial matrix.
See full target information MT-CO1

Publications (3)

Recent publications for all applications. Explore the full list and refine your search

Nature communications 16:4633 PubMed40389397

2025

Single-cell RNA-sequencing reveals early mitochondrial dysfunction unique to motor neurons shared across FUS- and TARDBP-ALS.

Applications

Unspecified application

Species

Unspecified reactive species

Christoph Schweingruber,Jik Nijssen,Jonas Mechtersheimer,Stefan Reber,Mélanie Lebœuf,Niamh L O'Brien,Irene Mei,Erin Hedges,Michaela Keuper,Julio Aguila Benitez,Vlad Radoi,Martin Jastroch,Marc-David Ruepp,Eva Hedlund

Journal of nanobiotechnology 23:339 PubMed40340852

2025

Dual-responsive nanoparticles targeting ACE-II senescence for therapeutic mitigation of acute lung injury.

Applications

Unspecified application

Species

Unspecified reactive species

Linlin Gao,Fushuang Zheng,Zhiling Fu,Wei Wang

Neurophotonics 9:015006 PubMed35345494

2022

Transcranial photobiomodulation (808 nm) attenuates pentylenetetrazole-induced seizures by suppressing hippocampal neuroinflammation, astrogliosis, and microgliosis in peripubertal rats.

Applications

Unspecified application

Species

Unspecified reactive species

Chung-Min Tsai,Shwu-Fen Chang,Chih-Chuan Li,Hsi Chang
View all publications

Product promise

We are committed to supporting your work with high-quality reagents, and we're here for you every step of the way. In the unlikely event that one of our products does not perform as expected, you're protected by our Product Promise.
For full details, please see our Terms & Conditions

Please note: All products are 'FOR RESEARCH USE ONLY. NOT FOR USE IN DIAGNOSTIC OR THERAPEUTIC PROCEDURES'.

For licensing inquiries, please contact partnerships@abcam.com