JavaScript is disabled in your browser. Please enable JavaScript to view this website.
AB239889

Anti-MTCO2 antibody [EPR3314] - BSA and Azide free

Be the first to review this product! Submit a review

|

(1 Publication)

Rabbit Recombinant Monoclonal MTCO2 antibody. Carrier free. Suitable for IP, WB, ICC/IF, Flow Cyt (Intra), IHC-P and reacts with Human samples. Cited in 1 publication.

View Alternative Names

COII, COX2, COXII, MTCO2, MT-CO2, Cytochrome c oxidase subunit 2, Cytochrome c oxidase polypeptide II

4 Images
Flow Cytometry (Intracellular) - Anti-MTCO2 antibody [EPR3314] - BSA and Azide free (AB239889)
  • Flow Cyt (Intra)

Unknown

Flow Cytometry (Intracellular) - Anti-MTCO2 antibody [EPR3314] - BSA and Azide free (AB239889)

Overlay histogram showing HepG2 cells stained with ab79393 (red line). The cells were fixed with 4% paraformaldehyde (10 min) and then permeabilized with 0.1% PBS-Tween for 20 min. The cells were then incubated in 1x PBS / 10% normal goat serum / 0.3M glycine to block non-specific protein-protein interactions followed by the antibody (ab79393, 1/50 dilution) for 30 min at 22°C. The secondary antibody used was DyLight® 488 goat anti-rabbit IgG (H+L) (ab96899) at 1/500 dilution for 30 min at 22°C. Isotype control antibody (black line) was rabbit IgG (monoclonal) (1μg/1x106 cells) used under the same conditions. Acquisition of >5,000 events was performed.

This data was developed using the same antibody clone in a different buffer formulation containing PBS, BSA, glycerol, and sodium azide (ab79393).

Immunocytochemistry/ Immunofluorescence - Anti-MTCO2 antibody [EPR3314] - BSA and Azide free (AB239889)
  • ICC/IF

Unknown

Immunocytochemistry/ Immunofluorescence - Anti-MTCO2 antibody [EPR3314] - BSA and Azide free (AB239889)

ICC/IF image of ab79393 stained HepG2 cells. The cells were 100% PFA fixed (10 min) and then incubated in 1%BSA / 10% normal goat serum / 0.3M glycine in 0.1% PBS-Tween for 1h to permeabilise the cells and block non-specific protein-protein interactions. The cells were then incubated with the antibody (ab79393, 5μg/ml) overnight at +4°C. The secondary antibody (green) was Alexa Fluor® 488 goat anti-rabbit IgG (H+L) used at a 1/1000 dilution for 1h. Alexa Fluor® 594 WGA was used to label plasma membranes (red) at a 1/200 dilution for 1h. DAPI was used to stain the cell nuclei (blue) at a concentration of 1.43μM.

This data was developed using the same antibody clone in a different buffer formulation containing PBS, BSA, glycerol, and sodium azide (ab79393).

Immunohistochemistry (Formalin/PFA-fixed paraffin-embedded sections) - Anti-MTCO2 antibody [EPR3314] - BSA and Azide free (AB239889)
  • IHC-P

Unknown

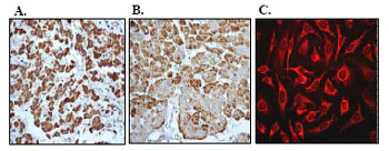
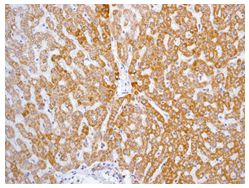
Immunohistochemistry (Formalin/PFA-fixed paraffin-embedded sections) - Anti-MTCO2 antibody [EPR3314] - BSA and Azide free (AB239889)

ab79393 at 1/100 dilution staining Cytochrome C oxidase subunit II in human liver (A), human heart (B) and HeLa cell line (C) by Immunohistochemistry, Paraffin-embedded tissues. Detection method of A and B was HRP-conjugated anti-rabbit with DAB substrate used for staining.

This data was developed using the same antibody clone in a different buffer formulation containing PBS, BSA, glycerol, and sodium azide (ab79393).

Perform heat mediated antigen retrieval with EDTA buffer pH 9 before commencing with IHC staining protocol.

Immunoprecipitation - Anti-MTCO2 antibody [EPR3314] - BSA and Azide free (AB239889)
  • IP

Lab

Immunoprecipitation - Anti-MTCO2 antibody [EPR3314] - BSA and Azide free (AB239889)

This data was developed using ab79393, the same antibody clone in a different buffer formulation.
Purified ab79393 at 1/50 dilution (2μg) immunoprecipitating MTCO2 in HeLa whole cell lysate.
Lane 1 (input) : HeLa (Human cervix adenocarcinoma epithelial cell) whole cell lysate 10μg
Lane 2 (+) : ab79393 + HeLa whole cell lysate.
Lane 3 (-) : Rabbit monoclonal IgG (ab172730) instead of ab79393 in HeLa whole cell lysate.
VeriBlot for IP Detection Reagent (HRP) (ab131366) (1/1000 dilution) was used for Western blotting.
Blocking Buffer and concentration : 5% NFDM/TBST.
Diluting buffer and concentration : 5% NFDM/TBST.
Observed band size : 21 kDa

All lanes:

Immunoprecipitation - Anti-MTCO2 antibody [EPR3314] (<a href='/en-us/products/primary-antibodies/mtco2-antibody-epr3314-ab79393'>ab79393</a>)

Predicted band size: 25 kDa

false

Key facts

Host species

Rabbit

Clonality

Monoclonal

Clone number

EPR3314

Isotype

IgG

Carrier free

Yes

Reacts with

Human

Applications

WB, IHC-P, ICC/IF, Flow Cyt (Intra), IP

applications

Immunogen

The exact immunogen used to generate this antibody is proprietary information.

Reactivity data

{ "title": "Reactivity Data", "filters": { "stats": ["", "Species", "Dilution Info", "Notes"], "tabs": { "all-applications": {"fullname" : "All Applications", "shortname": "All Applications"}, "IP" : {"fullname" : "Immunoprecipitation", "shortname":"IP"}, "WB" : {"fullname" : "Western blot", "shortname":"WB"}, "ICCIF" : {"fullname" : "Immunocytochemistry/ Immunofluorescence", "shortname":"ICC/IF"}, "FlowCytIntra" : {"fullname" : "Flow Cytometry (Intracellular)", "shortname":"Flow Cyt (Intra)"}, "IHCP" : {"fullname" : "Immunohistochemistry (Formalin/PFA-fixed paraffin-embedded sections)", "shortname":"IHC-P"} }, "product-promise": { "all": "all", "testedAndGuaranteed": "tested", "guaranteed": "expected", "predicted": "predicted", "notRecommended": "not-recommended" } }, "values": { "Human": { "IP-species-checked": "testedAndGuaranteed", "IP-species-dilution-info": "", "IP-species-notes": "<p></p>", "WB-species-checked": "guaranteed", "WB-species-dilution-info": "", "WB-species-notes": "<p></p>", "ICCIF-species-checked": "testedAndGuaranteed", "ICCIF-species-dilution-info": "", "ICCIF-species-notes": "<p></p>", "FlowCytIntra-species-checked": "testedAndGuaranteed", "FlowCytIntra-species-dilution-info": "", "FlowCytIntra-species-notes": "<p><a href='/en-us/products/primary-antibodies/rabbit-igg-monoclonal-epr25a-isotype-control-low-endotoxin-azide-free-ab199376'>ab199376</a> - Rabbit monoclonal IgG, is suitable for use as an isotype control with this antibody.</p>", "IHCP-species-checked": "testedAndGuaranteed", "IHCP-species-dilution-info": "", "IHCP-species-notes": "<p></p>" } } }

Product details

ab239889 is the carrier-free version of ab79393.

Species reactivity
Mouse, Rat: We have preliminary internal testing data to indicate this antibody may not react with these species.
Please contact us for more information.

Patented technology
Our RabMAb® technology is a patented hybridoma-based technology for making rabbit monoclonal antibodies. For details on our patents, please refer to RabMAb® patents.

What are the advantages of a recombinant monoclonal antibody?
This product is a recombinant monoclonal antibody, which offers several advantages including:

  • - High batch-to-batch consistency and reproducibility
  • - Improved sensitivity and specificity
  • - Long-term security of supply
  • - Animal-free batch production

For more information, read more on recombinant antibodies.

Conjugation ready
Our carrier-free antibodies are typically supplied in a PBS-only formulation, purified and free of BSA, sodium azide and glycerol. This conjugation-ready format is designed for use with fluorochromes, metal isotopes, oligonucleotides, and enzymes, which makes them ideal for antibody labelling, functional and cell-based assays, flow-based assays (e.g. mass cytometry) and Multiplex Imaging applications.

Use our conjugation kits for antibody conjugates that are ready-to-use in as little as 20 minutes with 1 minute hands-on-time and 100% antibody recovery: available for fluorescent dyes, HRP, biotin and gold.

Compatibility
This product is compatible with the Maxpar® Antibody Labeling Kit from Fluidigm, without the need for antibody preparation. Maxpar® is a trademark of Fluidigm Canada Inc.

Properties and storage information

Form
Liquid
Purification technique
Affinity purification Protein A
Storage buffer
pH: 7.2 - 7.4 Constituents: PBS
Shipped at conditions
Blue Ice
Appropriate short-term storage conditions
+4°C
Appropriate long-term storage conditions
+4°C
Storage information
Do Not Freeze

Supplementary information

This supplementary information is collated from multiple sources and compiled automatically.

'MTCO2' also known as 'mt-co2' or 'mtco2e' is a mitochondrial gene that encodes for a component of the cytochrome c oxidase complex referred to as Complex IV in the electron transport chain. The protein plays a mechanical role in facilitating electron transfer within mitochondria an essential process in cellular respiration. MTCO2 is predominantly expressed in tissues with high energy demands such as muscle and neurons. The known mass of the MTCO2 protein is approximately 25 kDa. It sits in the mitochondrial inner membrane where it contributes to creating the proton gradient driving ATP synthesis.
Biological function summary

MTCO2 (or cytochrome c oxidase subunit II) serves as an important player in aerobic respiration. It is part of the cytochrome c oxidase complex which forms the last enzyme complex of the electron transport chain. As part of this complex MTCO2 facilitates the transfer of electrons from cytochrome c to oxygen resulting in the reduction of oxygen to water. This electron transfer is paired with proton translocation across the mitochondrial membrane which is critical for ATP production.

Pathways

MTCO2 contributes significantly to the oxidative phosphorylation pathway which is essential for ATP production in eukaryotic cells. It directly interacts with other components of the mitochondrial electron transport chain like cytochrome c and NADH dehydrogenase which are critical for maintaining the flow of electrons and the integrity of the energy production process. Another pathway it is part of is the apoptosis pathway regulated by non-lethal stress conditions where controlled release of cytochrome c can trigger programmed cell death.

MTCO2 mutations and dysfunctions have been linked with mitochondrial disorders especially those affecting energy-demanding tissues leading to conditions such as mitochondrial myopathy and Leber's hereditary optic neuropathy. These disorders result from compromised oxidative phosphorylation leading to inadequate energy supply. The dysfunction of cytochrome c oxidase which contains the MTCO2 subunit is a central aspect of these diseases often tying this protein to other complexes within the electron transport chain that also underpin mitochondrial diseases.

Product protocols

For this product, it's our understanding that no specific protocols are required. You can visit:

Target data

Component of the cytochrome c oxidase, the last enzyme in the mitochondrial electron transport chain which drives oxidative phosphorylation. The respiratory chain contains 3 multisubunit complexes succinate dehydrogenase (complex II, CII), ubiquinol-cytochrome c oxidoreductase (cytochrome b-c1 complex, complex III, CIII) and cytochrome c oxidase (complex IV, CIV), that cooperate to transfer electrons derived from NADH and succinate to molecular oxygen, creating an electrochemical gradient over the inner membrane that drives transmembrane transport and the ATP synthase. Cytochrome c oxidase is the component of the respiratory chain that catalyzes the reduction of oxygen to water. Electrons originating from reduced cytochrome c in the intermembrane space (IMS) are transferred via the dinuclear copper A center (CU(A)) of subunit 2 and heme A of subunit 1 to the active site in subunit 1, a binuclear center (BNC) formed by heme A3 and copper B (CU(B)). The BNC reduces molecular oxygen to 2 water molecules using 4 electrons from cytochrome c in the IMS and 4 protons from the mitochondrial matrix.
See full target information MT-CO2

Publications (1)

Recent publications for all applications. Explore the full list and refine your search

Frontiers in immunology 13:869365 PubMed35967407

2022

ILC2s expanded by exogenous IL-33 regulate CD45+CD11b+F4/80high macrophage polarization to alleviate hepatic ischemia-reperfusion injury.

Applications

Unspecified application

Species

Unspecified reactive species

Hai-Ming Zhang,Xiao-Jie Chen,Shi-Peng Li,Jin-Ming Zhang,Jie Sun,Liu-Xin Zhou,Guang-Peng Zhou,Bin Cui,Li-Ying Sun,Zhi-Jun Zhu
View all publications

Product promise

We are committed to supporting your work with high-quality reagents, and we're here for you every step of the way. In the unlikely event that one of our products does not perform as expected, you're protected by our Product Promise.
For full details, please see our Terms & Conditions

Please note: All products are 'FOR RESEARCH USE ONLY. NOT FOR USE IN DIAGNOSTIC OR THERAPEUTIC PROCEDURES'.

For licensing inquiries, please contact partnerships@abcam.com