JavaScript is disabled in your browser. Please enable JavaScript to view this website.
AB314754

Anti-MTF2 antibody [EPR27196-167] - BSA and Azide free

Be the first to review this product! Submit a review

|

(0 Publication)

Rabbit Recombinant Monoclonal MTF2 antibody. Carrier free. Suitable for WB, ICC/IF, IHC-P and reacts with Human, Mouse, Rat samples.

View Alternative Names

PCL2, MTF2, Metal-response element-binding transcription factor 2, Metal regulatory transcription factor 2, Metal-response element DNA-binding protein M96, Polycomb-like protein 2, hPCl2

9 Images
Immunohistochemistry (Formalin/PFA-fixed paraffin-embedded sections) - Anti-MTF2 antibody [EPR27196-167] - BSA and Azide free (AB314754)
  • IHC-P

Supplier Data

Immunohistochemistry (Formalin/PFA-fixed paraffin-embedded sections) - Anti-MTF2 antibody [EPR27196-167] - BSA and Azide free (AB314754)

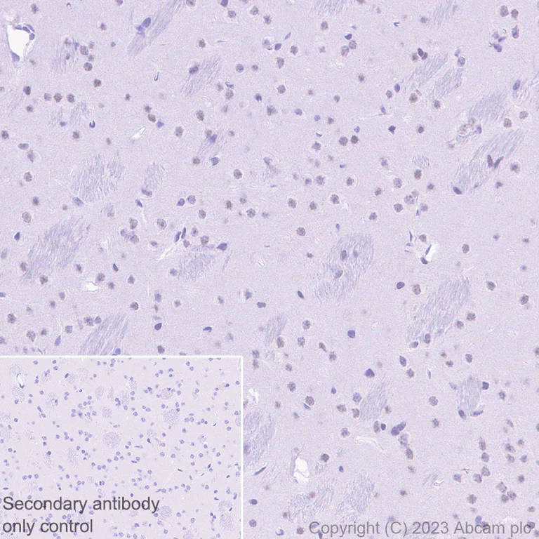
This data was developed using ab314753, the same antibody clone in a different buffer formulation. Immunohistochemical analysis of paraffin-embedded rat cerebrum tissue labeling MTF2 with ab314753 at 1/500 (1.056 ug/ml) dilution, followed by a ready to use rabbit specific IHC polymer detection kit HRP/DAB (ab209101). Low expression : almost no staining on rat cerebrum. The section was incubated with ab314753 for 30 mins at room temperature. The immunostaining was performed on a Leica Biosystems BOND® RX instrument. Counterstained with Hematoxylin. Secondary antibody only control : Secondary antibody is a ready to use rabbit specific IHC polymer detection kit HRP/DAB (ab209101). Heat mediated antigen retrieval was performed with Tris-EDTA buffer (pH 9.0, Epitope Retrieval Solution2) for 20 mins.

Immunohistochemistry (Formalin/PFA-fixed paraffin-embedded sections) - Anti-MTF2 antibody [EPR27196-167] - BSA and Azide free (AB314754)
  • IHC-P

Supplier Data

Immunohistochemistry (Formalin/PFA-fixed paraffin-embedded sections) - Anti-MTF2 antibody [EPR27196-167] - BSA and Azide free (AB314754)

This data was developed using ab314753, the same antibody clone in a different buffer formulation. Immunohistochemical analysis of paraffin-embedded mouse cerebrum tissue labeling MTF2 with ab314753 at 1/500 (1.056 ug/ml) dilution, followed by a ready to use rabbit specific IHC polymer detection kit HRP/DAB (ab209101). Low expression : almost no staining mouse cerebrum. The section was incubated with ab314753 for 30 mins at room temperature. The immunostaining was performed on a Leica Biosystems BOND® RX instrument. Counterstained with Hematoxylin. Secondary antibody only control : Secondary antibody is a ready to use rabbit specific IHC polymer detection kit HRP/DAB (ab209101). Heat mediated antigen retrieval was performed with Tris-EDTA buffer (pH 9.0, Epitope Retrieval Solution2) for 20 mins.

Immunohistochemistry (Formalin/PFA-fixed paraffin-embedded sections) - Anti-MTF2 antibody [EPR27196-167] - BSA and Azide free (AB314754)
  • IHC-P

Supplier Data

Immunohistochemistry (Formalin/PFA-fixed paraffin-embedded sections) - Anti-MTF2 antibody [EPR27196-167] - BSA and Azide free (AB314754)

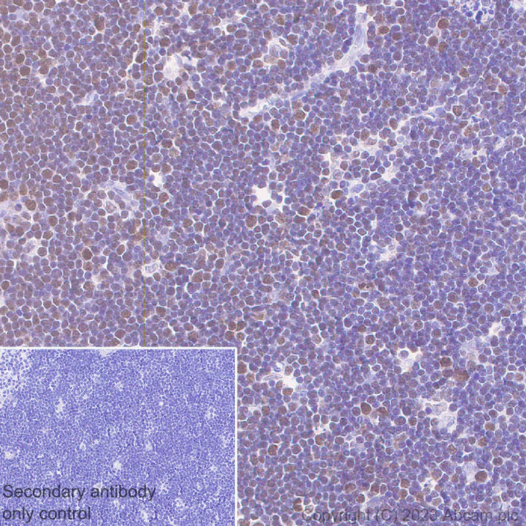
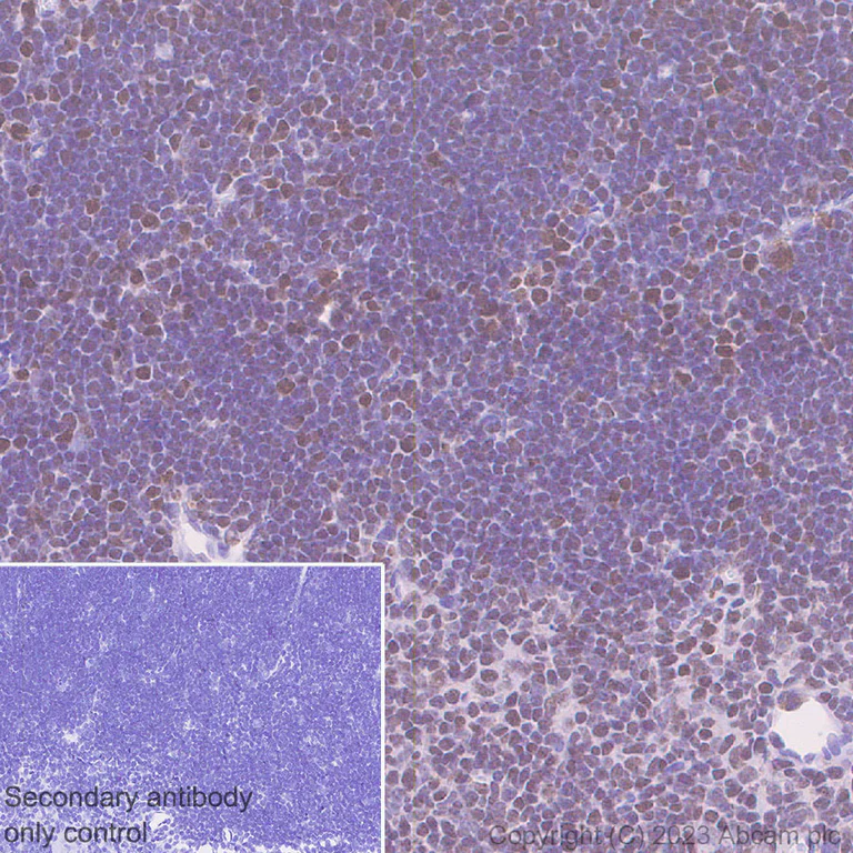
This data was developed using ab314753, the same antibody clone in a different buffer formulation. Immunohistochemical analysis of paraffin-embedded mouse thymus tissue labeling MTF2 with ab314753 at 1/500 (1.056 ug/ml) dilution, followed by a ready to use rabbit specific IHC polymer detection kit HRP/DAB (ab209101). Positive staining on mouse thymus. The section was incubated with ab314753 for 30 mins at room temperature. The immunostaining was performed on a Leica Biosystems BOND® RX instrument. Counterstained with Hematoxylin. Secondary antibody only control : Secondary antibody is a ready to use Rabbit specific IHC polymer detection kit HRP/DAB (ab209101). Heat mediated antigen retrieval was performed with Tris-EDTA buffer (pH 9.0, Epitope Retrieval Solution2) for 20 mins.

Immunohistochemistry (Formalin/PFA-fixed paraffin-embedded sections) - Anti-MTF2 antibody [EPR27196-167] - BSA and Azide free (AB314754)
  • IHC-P

Supplier Data

Immunohistochemistry (Formalin/PFA-fixed paraffin-embedded sections) - Anti-MTF2 antibody [EPR27196-167] - BSA and Azide free (AB314754)

This data was developed using ab314753, the same antibody clone in a different buffer formulation. Immunohistochemical analysis of paraffin-embedded rat thymus tissue labeling MTF2 with ab314753 at 1/500 (1.056 ug/ml) dilution, followed by a ready to use rabbit specific IHC polymer detection kit HRP/DAB (ab209101). Positive staining on rat thymus. The section was incubated with ab314753 for 30 mins at room temperature. The immunostaining was performed on a Leica Biosystems BOND® RX instrument. Counterstained with Hematoxylin. Secondary antibody only control : Secondary antibody is a ready to use Rabbit specific IHC polymer detection kit HRP/DAB (ab209101). Heat mediated antigen retrieval was performed with Tris-EDTA buffer (pH 9.0, Epitope Retrieval Solution2) for 20 mins.

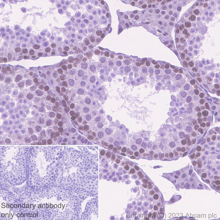
Immunohistochemistry (Formalin/PFA-fixed paraffin-embedded sections) - Anti-MTF2 antibody [EPR27196-167] - BSA and Azide free (AB314754)
  • IHC-P

Supplier Data

Immunohistochemistry (Formalin/PFA-fixed paraffin-embedded sections) - Anti-MTF2 antibody [EPR27196-167] - BSA and Azide free (AB314754)

This data was developed using ab314753, the same antibody clone in a different buffer formulation. Immunohistochemical analysis of paraffin-embedded mouse testis tissue labeling MTF2 with ab314753 at 1/500 (1.056 ug/ml) dilution, followed by a ready to use Rabbit specific IHC polymer detection kit HRP/DAB (ab209101). Positive staining on mouse testis. The section was incubated with ab314753 for 30 mins at room temperature. The immunostaining was performed on a Leica Biosystems BOND® RX instrument. Counterstained with Hematoxylin. Secondary antibody only control : Secondary antibody is a ready to use Rabbit specific IHC polymer detection kit HRP/DAB (ab209101). Heat mediated antigen retrieval was performed with Tris-EDTA buffer (pH 9.0, Epitope Retrieval Solution2) for 20 mins.

Immunocytochemistry/ Immunofluorescence - Anti-MTF2 antibody [EPR27196-167] - BSA and Azide free (AB314754)
  • ICC/IF

Supplier Data

Immunocytochemistry/ Immunofluorescence - Anti-MTF2 antibody [EPR27196-167] - BSA and Azide free (AB314754)

This data was developed using ab314753, the same antibody clone in a different buffer formulation. Immunofluorescent analysis of 4% Paraformaldehyde-fixed, 0.1% TritonX-100 permeabilized ES-D3 [D3] (mouse blastocyst-derived embryonic stem cell) cells labelling MTF2 with ab314753 at 1/50 (10.56 ug/ml) dilution, followed by ab150081 Goat Anti-Rabbit IgG H&L (Alexa Fluor® 488) preadsorbed antibody at 1/1000 2 ug/ml dilution (Green). Confocal image showing nuclear staining in ES-D3 [D3] cells and no staining in mouse primary neuron.Low expression : mouse primary neuron.Image was taken with a confocal microscope(Leica-Microsystems, TCS SP8). ab195889 Anti-alpha Tubulin mouse monoclonal antibody - Microtubule Marker (Alexa Fluor® 594) was used to counterstain tubulin at 1/200 2.5ug/ml dilution (Red). The Nuclear counterstain was DAPI (Blue). Secondary antibody only control : Secondary antibody is ab150081 Goat Anti-Rabbit IgG H&L (Alexa Fluor® 488) preadsorbed at 1/1000 2 ug/ml dilution.

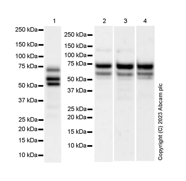
Western blot - Anti-MTF2 antibody [EPR27196-167] - BSA and Azide free (AB314754)
  • WB

Supplier Data

Western blot - Anti-MTF2 antibody [EPR27196-167] - BSA and Azide free (AB314754)

This data was developed using ab314753, the same antibody clone in a different buffer formulation. Blocking and diluting buffer and concentration : 5% NFDM/TBST. Lysates were freshly made and used for Western blotting immediately to minimize protein degradation. Exposure time : Lane 1 : 3 seconds, Lane 2 : 10 seconds, Lane 3-4 : 59 seconds.

All lanes:

Western blot - Anti-MTF2 antibody [EPR27196-167] (<a href='/en-us/products/primary-antibodies/mtf2-antibody-epr27196-167-ab314753'>ab314753</a>) at 1/1000 dilution

Lane 1:

ES-D3 (mouse embryonic pluripotent stem Cell) whole cell lysate at 20 µg

Lane 2:

293T (human embryonic kidney epithelial cell) whole cell lysate at 20 µg

Lane 3:

HeLa (human cervical adenocarcinoma epithelial cell) whole cell lysate at 20 µg

Lane 4:

NIH/3T3 (mouse embryonic fibroblast) whole cell lysate at 20 µg

Secondary

All lanes:

Western blot - Goat Anti-Rabbit IgG H&L (HRP) (<a href='/en-us/products/secondary-antibodies/goat-rabbit-igg-h-l-hrp-ab97051'>ab97051</a>) at 1/20000 dilution

Observed band size: 50 kDa,60 kDa,75 kDa

false

Western blot - Anti-MTF2 antibody [EPR27196-167] - BSA and Azide free (AB314754)
  • WB

Supplier Data

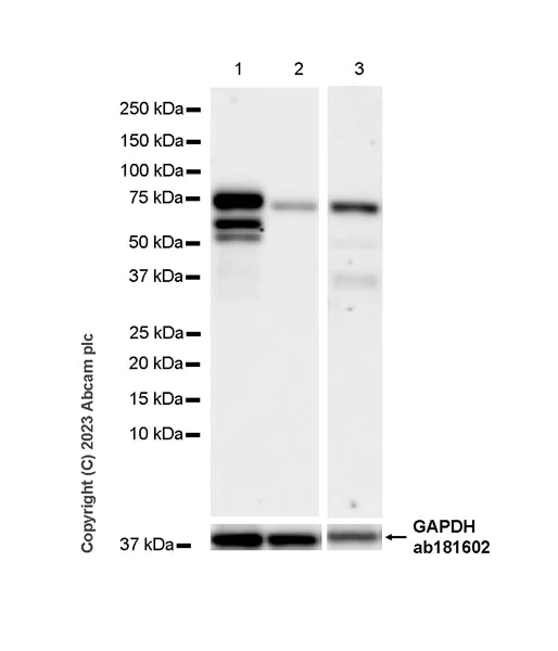
Western blot - Anti-MTF2 antibody [EPR27196-167] - BSA and Azide free (AB314754)

This data was developed using ab314753, the same antibody clone in a different buffer formulation. Blocking and diluting buffer and concentration : 5% NFDM/TBST. Low expression : Mouse stomach (PMID : 17266133).In Western blot, Anti-GAPDH antibody [EPR16891] - Loading Control (ab181602) staining at 1/200000 dilution. Exposure time : Lane 1-2 : 15 seconds, Lane 3 : 59 seconds.

All lanes:

Western blot - Anti-MTF2 antibody [EPR27196-167] (<a href='/en-us/products/primary-antibodies/mtf2-antibody-epr27196-167-ab314753'>ab314753</a>) at 1/1000 dilution

Lane 1:

Mouse thymus tissue lysate at 20 µg

Lane 2:

Mouse stomach tissue lysate at 20 µg

Lane 3:

Human liver cancer tissue lysate at 20 µg

Secondary

All lanes:

Western blot - Goat Anti-Rabbit IgG H&L (HRP) (<a href='/en-us/products/secondary-antibodies/goat-rabbit-igg-h-l-hrp-ab97051'>ab97051</a>) at 1/20000 dilution

Observed band size: 50 kDa,60 kDa,75 kDa

false

Western blot - Anti-MTF2 antibody [EPR27196-167] - BSA and Azide free (AB314754)
  • WB

Supplier Data

Western blot - Anti-MTF2 antibody [EPR27196-167] - BSA and Azide free (AB314754)

This data was developed using ab314753, the same antibody clone in a different buffer formulation. Blocking and diluting buffer and concentration : 5% NFDM/TBST. Low expression : brain (PMID : 17266133). Lysates were freshly made and used for Western blotting immediately to minimize protein degradation. In Western blot, Anti-GAPDH antibody [EPR16891] - Loading Control (ab181602) staining at 1/200000 dilution. Exposure time : Lane 1-2 : 48 seconds, Lane 3-4 : 26 seconds.

All lanes:

Western blot - Anti-MTF2 antibody [EPR27196-167] (<a href='/en-us/products/primary-antibodies/mtf2-antibody-epr27196-167-ab314753'>ab314753</a>) at 1/1000 dilution

Lane 1:

Rat brain tissue lysate at 20 µg

Lane 2:

Rat liver tissue lysate at 20 µg

Lane 3:

Mouse brain tissue lysate at 20 µg

Lane 4:

Mouse spleen tissue lysate at 20 µg

Secondary

All lanes:

Western blot - Goat Anti-Rabbit IgG H&L (HRP) (<a href='/en-us/products/secondary-antibodies/goat-rabbit-igg-h-l-hrp-ab97051'>ab97051</a>) at 1/20000 dilution

Observed band size: 75 kDa,50 kDa,60 kDa

false

Key facts

Host species

Rabbit

Clonality

Monoclonal

Clone number

EPR27196-167

Isotype

IgG

Carrier free

Yes

Reacts with

Human, Mouse, Rat

Applications

IHC-P, WB, ICC/IF

applications

Immunogen

The exact immunogen used to generate this antibody is proprietary information.

Specificity

Unsuitable for human IHC and ICC.

Reactivity data

{ "title": "Reactivity Data", "filters": { "stats": ["", "Species", "Dilution Info", "Notes"], "tabs": { "all-applications": {"fullname" : "All Applications", "shortname": "All Applications"}, "WB" : {"fullname" : "Western blot", "shortname":"WB"}, "ICCIF" : {"fullname" : "Immunocytochemistry/ Immunofluorescence", "shortname":"ICC/IF"}, "IHCP" : {"fullname" : "Immunohistochemistry (Formalin/PFA-fixed paraffin-embedded sections)", "shortname":"IHC-P"}, "IP" : {"fullname" : "Immunoprecipitation", "shortname":"IP"}, "FlowCytIntra" : {"fullname" : "Flow Cytometry (Intracellular)", "shortname":"Flow Cyt (Intra)"} }, "product-promise": { "all": "all", "testedAndGuaranteed": "tested", "guaranteed": "expected", "predicted": "predicted", "notRecommended": "not-recommended" } }, "values": { "Human": { "WB-species-checked": "testedAndGuaranteed", "WB-species-dilution-info": "", "WB-species-notes": "<p></p>", "ICCIF-species-checked": "notRecommended", "ICCIF-species-dilution-info": "", "ICCIF-species-notes": "<p></p>", "IHCP-species-checked": "notRecommended", "IHCP-species-dilution-info": "", "IHCP-species-notes": "<p></p>", "IP-species-checked": "notRecommended", "IP-species-dilution-info": "", "IP-species-notes": "<p></p>", "FlowCytIntra-species-checked": "notRecommended", "FlowCytIntra-species-dilution-info": "", "FlowCytIntra-species-notes": "<p></p>" }, "Mouse": { "WB-species-checked": "testedAndGuaranteed", "WB-species-dilution-info": "", "WB-species-notes": "<p></p>", "ICCIF-species-checked": "testedAndGuaranteed", "ICCIF-species-dilution-info": "", "ICCIF-species-notes": "<p></p>", "IHCP-species-checked": "testedAndGuaranteed", "IHCP-species-dilution-info": "", "IHCP-species-notes": "<p></p>", "IP-species-checked": "notRecommended", "IP-species-dilution-info": "", "IP-species-notes": "", "FlowCytIntra-species-checked": "notRecommended", "FlowCytIntra-species-dilution-info": "", "FlowCytIntra-species-notes": "" }, "Rat": { "WB-species-checked": "testedAndGuaranteed", "WB-species-dilution-info": "", "WB-species-notes": "<p></p>", "ICCIF-species-checked": "guaranteed", "ICCIF-species-dilution-info": "", "ICCIF-species-notes": "", "IHCP-species-checked": "testedAndGuaranteed", "IHCP-species-dilution-info": "", "IHCP-species-notes": "<p></p>", "IP-species-checked": "notRecommended", "IP-species-dilution-info": "", "IP-species-notes": "", "FlowCytIntra-species-checked": "notRecommended", "FlowCytIntra-species-dilution-info": "", "FlowCytIntra-species-notes": "" } } }

Product details

ab314754 is the carrier-free version of ab314753.

Patented technology
Our RabMAb® technology is a patented hybridoma-based technology for making rabbit monoclonal antibodies. For details on our patents, please refer to RabMAb® patents.

What are the advantages of a recombinant monoclonal antibody?
This product is a recombinant monoclonal antibody, which offers several advantages including:

  • - High batch-to-batch consistency and reproducibility
  • - Improved sensitivity and specificity
  • - Long-term security of supply
  • - Animal-free batch production

For more information, read more on recombinant antibodies.

Conjugation ready
Our carrier-free antibodies are typically supplied in a PBS-only formulation, purified and free of BSA, sodium azide and glycerol. This conjugation-ready format is designed for use with fluorochromes, metal isotopes, oligonucleotides, and enzymes, which makes them ideal for antibody labelling, functional and cell-based assays, flow-based assays (e.g. mass cytometry) and Multiplex Imaging applications.

Use our conjugation kits for antibody conjugates that are ready-to-use in as little as 20 minutes with 1 minute hands-on-time and 100% antibody recovery: available for fluorescent dyes, HRP, biotin and gold.

Compatibility
This product is compatible with the Maxpar® Antibody Labeling Kit from Fluidigm, without the need for antibody preparation. Maxpar® is a trademark of Fluidigm Canada Inc.

Properties and storage information

Form
Liquid
Purification technique
Affinity purification Protein A
Storage buffer
pH: 7.2 - 7.4 Constituents: PBS
Shipped at conditions
Blue Ice
Appropriate short-term storage conditions
+4°C
Appropriate long-term storage conditions
+4°C

Supplementary information

This supplementary information is collated from multiple sources and compiled automatically.

MTF2 also known as metal response element binding transcription factor 2 or M96 is a component of the Polycomb group (PcG) proteins. It's a protein involved in the regulation of gene expression via chromatin remodeling. MTF2 has a mass of approximately 110 kDa. It is expressed in various tissues with significant presence in the brain and embryonic stem cells where regulatory control of gene expression plays an important role in development.
Biological function summary

MTF2 acts mainly as a recruiter of Polycomb Repressive Complex (PRC) 2 to specific gene loci. This recruitment is essential for the methylation of histone H3 at lysine 27 (H3K27me3) a modification linked to transcriptional repression. MTF2’s role in gene silencing involves interaction with multiple other PcG proteins like EZH2 a component of PRC2 which further emphasizes its central position in maintaining the transcriptional repression needed for proper cell differentiation and development.

Pathways

MTF2 plays an important part in the regulation of the Wnt and Hedgehog signaling pathways. These pathways are significant in embryonic development and cell fate decisions. MTF2 interfaces with proteins such as SUZ12 within PRC2 which modulate repression activities by influencing chromatin structure in these pathways. Through these interactions MTF2 helps manage expression levels of downstream genes ultimately affecting cellular differentiation processes.

MTF2 has been implicated in several conditions related to dysregulation of gene expression. For example aberrant function or expression of MTF2 can contribute to cancers due in part to its role in controlling cell proliferation through gene silencing. Additionally mutations or dysfunctions in MTF2 have been connected to neurological disorders because of its high expression in brain tissues. The relationship between MTF2 and proteins in the PRC2 complex such as EZH2 is of particular interest in research related to these diseases as they collectively contribute to the maintenance of gene expression patterns critical to both normal development and disease states.

Product protocols

For this product, it's our understanding that no specific protocols are required. You can visit:

Target data

Polycomb group (PcG) protein that specifically binds histone H3 trimethylated at 'Lys-36' (H3K36me3) and recruits the PRC2 complex, thus enhancing PRC2 H3K27me3 methylation activity (PubMed : 23142980, PubMed : 23228662, PubMed : 31959557). Regulates the transcriptional networks during embryonic stem cell self-renewal and differentiation (By similarity). Promotes recruitment of the PRC2 complex to the inactive X chromosome in differentiating XX ES cells and PRC2 recruitment to target genes in undifferentiated ES cells (By similarity). Required to repress Hox genes by enhancing H3K27me3 methylation of the PRC2 complex (By similarity). In some conditions may act as an inhibitor of PRC2 activity : able to activate the CDKN2A gene and promote cellular senescence by suppressing the catalytic activity of the PRC2 complex locally (By similarity). Binds to the metal-regulating-element (MRE) of MT1A gene promoter (By similarity).
See full target information MTF2

Product promise

We are committed to supporting your work with high-quality reagents, and we're here for you every step of the way. In the unlikely event that one of our products does not perform as expected, you're protected by our Product Promise.
For full details, please see our Terms & Conditions

Please note: All products are 'FOR RESEARCH USE ONLY. NOT FOR USE IN DIAGNOSTIC OR THERAPEUTIC PROCEDURES'.

For licensing inquiries, please contact partnerships@abcam.com