JavaScript is disabled in your browser. Please enable JavaScript to view this website.
AB198192

Anti-MTFR1 antibody

Be the first to review this product! Submit a review

|

(2 Publications)

Rabbit Polyclonal MTFR1 antibody. Suitable for WB, IHC-P and reacts with Human samples. Cited in 2 publications. Immunogen corresponding to Recombinant Fragment Protein within Human MTFR1.

View Alternative Names

CHPPR, FAM54A2, KIAA0009, MTFR1, Mitochondrial fission regulator 1, Chondrocyte protein with a poly-proline region

2 Images
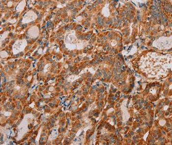
Immunohistochemistry (Formalin/PFA-fixed paraffin-embedded sections) - Anti-MTFR1 antibody (AB198192)
  • IHC-P

Supplier Data

Immunohistochemistry (Formalin/PFA-fixed paraffin-embedded sections) - Anti-MTFR1 antibody (AB198192)

Immunohistochemical analysis of formalin fixed paraffin embedded human thyroid cancer tissue labeling MTFR1 with ab198192 at 1/40

Western blot - Anti-MTFR1 antibody (AB198192)
  • WB

Supplier Data

Western blot - Anti-MTFR1 antibody (AB198192)

All lanes:

Western blot - Anti-MTFR1 antibody (ab198192) at 1/500 dilution

Lane 1:

A549 cell lysate at 40 µg

Lane 2:

HT-29 cell lysate at 40 µg

Lane 3:

A172 cell lysate at 40 µg

Predicted band size: 37 kDa

false

Exposure time: 5s

Key facts

Host species

Rabbit

Clonality

Polyclonal

Isotype

IgG

Carrier free

No

Reacts with

Human

Applications

WB, IHC-P

applications

Immunogen

Recombinant Fragment Protein within Human MTFR1. The exact immunogen used to generate this antibody is proprietary information.

Q15390

Reactivity data

{ "title": "Reactivity Data", "filters": { "stats": ["", "Species", "Dilution Info", "Notes"], "tabs": { "all-applications": {"fullname" : "All Applications", "shortname": "All Applications"}, "WB" : {"fullname" : "Western blot", "shortname":"WB"}, "IHCP" : {"fullname" : "Immunohistochemistry (Formalin/PFA-fixed paraffin-embedded sections)", "shortname":"IHC-P"} }, "product-promise": { "all": "all", "testedAndGuaranteed": "tested", "guaranteed": "expected", "predicted": "predicted", "notRecommended": "not-recommended" } }, "values": { "Human": { "WB-species-checked": "testedAndGuaranteed", "WB-species-dilution-info": "1/500 - 1/2000", "WB-species-notes": "<p></p>", "IHCP-species-checked": "testedAndGuaranteed", "IHCP-species-dilution-info": "1/40 - 1/200", "IHCP-species-notes": "<p></p>" } } }

Properties and storage information

Form
Liquid
Purification technique
Affinity purification Immunogen
Storage buffer
pH: 7.4 Preservative: 0.05% Sodium azide Constituents: PBS, 50% Glycerol (glycerin, glycerine)
Shipped at conditions
Blue Ice
Appropriate short-term storage duration
1-2 weeks
Appropriate short-term storage conditions
+4°C
Appropriate long-term storage conditions
-20°C
Aliquoting information
Upon delivery aliquot
Storage information
Avoid freeze / thaw cycle

Supplementary information

This supplementary information is collated from multiple sources and compiled automatically.

MTFR1 also known as mitochondrial fission regulator 1 is a protein involved in mitochondrial dynamics. It has a molecular mass of approximately 32 kDa. This protein is predominantly expressed in tissues with high metabolic demand such as muscle and liver. MTFR1 plays a role in mitochondrial fission impacting how mitochondria divide and distribute within cells. The protein's regulation of mitochondrial shape and distribution affects energy supply and cellular homeostasis.
Biological function summary

The regulation of mitochondrial fission by MTFR1 is important for energy production and cell signaling. It is often found as part of a larger protein complex that works together to execute mitochondrial fission. This function ensures that cells have the necessary energy supply and can properly react to metabolic changes. The balance between mitochondrial fission and fusion maintains cellular functions and supports cellular adaptation to metabolic stress.

Pathways

MTFR1 integrates into pathways involved in energy homeostasis and mitochondrial quality control. It plays a role in the mitochondrial fission pathway interacting with proteins like DRP1 (Dynamin-related protein 1) which is important for driving the division of mitochondria. MTFR1 also influences pathways affecting metabolic control linking mitochondrial dynamics to broader cellular functions and energy balance.

MTFR1 dysregulation has associations with neurodegenerative diseases like Parkinson's disease and metabolic disorders such as diabetes. MTFR1’s interaction with DRP1 and other fission proteins influences mitochondrial function and may lead to mitochondrial dysfunction contributing to the pathogenesis of these conditions. Understanding how MTFR1 and its network influence these diseases may offer insights into potential therapeutic targets.

Product protocols

For this product, it's our understanding that no specific protocols are required. You can visit:

Target data

May play a role in mitochondrial aerobic respiration. May also regulate mitochondrial organization and fission (By similarity).
See full target information MTFR1

Publications (2)

Recent publications for all applications. Explore the full list and refine your search

Frontiers in cell and developmental biology 9:771824 PubMed34926459

2021

Negatively Regulated by miR-29c-3p, MTFR1 Promotes the Progression and Glycolysis in Lung Adenocarcinoma the AMPK/mTOR Signalling Pathway.

Applications

Unspecified application

Species

Unspecified reactive species

Yongmeng Li,Yanfei Liu,Kai Jin,Rui Dong,Cun Gao,Libo Si,Zitong Feng,Huiying Zhang,Hui Tian

Bioengineered 12:8217-8232 PubMed34596006

2021

LncRNA DARS-AS1 aggravates the growth and metastasis of hepatocellular carcinoma via regulating the miR-3200-5p-Cytoskeleton associated protein 2 (CKAP2) axis.

Applications

Unspecified application

Species

Unspecified reactive species

Yanqing Feng,Gang Wei,Linfei Zhang,Huadong Zhou,Wei Wang,Peng Guo,Caitao Cheng,Lei Ji,Qinghe Cai,Yong Feng,Huahua Tu
View all publications

Product promise

We are committed to supporting your work with high-quality reagents, and we're here for you every step of the way. In the unlikely event that one of our products does not perform as expected, you're protected by our Product Promise.
For full details, please see our Terms & Conditions

Please note: All products are 'FOR RESEARCH USE ONLY. NOT FOR USE IN DIAGNOSTIC OR THERAPEUTIC PROCEDURES'.

For licensing inquiries, please contact partnerships@abcam.com