JavaScript is disabled in your browser. Please enable JavaScript to view this website.
AB187531

Anti-MTH1 antibody

Be the first to review this product! Submit a review

|

(3 Publications)

Rabbit Polyclonal MTH1 antibody. Suitable for WB, IHC-P and reacts with Human, Rat samples. Cited in 3 publications. Immunogen corresponding to Recombinant Fragment Protein within Human NUDT1.

View Alternative Names

MTH1, NUDT1, Oxidized purine nucleoside triphosphate hydrolase, 2-hydroxy-dATP diphosphatase, 8-oxo-dGTPase, Methylated purine nucleoside triphosphate hydrolase, Nucleoside diphosphate-linked moiety X motif 1, Nudix motif 1

3 Images
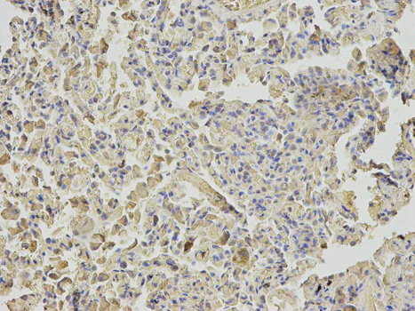
Immunohistochemistry (Formalin/PFA-fixed paraffin-embedded sections) - Anti-MTH1 antibody (AB187531)
  • IHC-P

Unknown

Immunohistochemistry (Formalin/PFA-fixed paraffin-embedded sections) - Anti-MTH1 antibody (AB187531)

Immunohistochemistry (Formalin/PFA-fixed paraffin-embedded sections) analysis of human lung tissue labelling MTH1 with ab187531 at 1/200. Magnification : 200x.

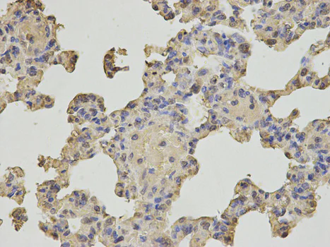
Immunohistochemistry (Formalin/PFA-fixed paraffin-embedded sections) - Anti-MTH1 antibody (AB187531)
  • IHC-P

Unknown

Immunohistochemistry (Formalin/PFA-fixed paraffin-embedded sections) - Anti-MTH1 antibody (AB187531)

Immunohistochemistry (Formalin/PFA-fixed paraffin-embedded sections) analysis of rat lung tissue labelling MTH1 with ab187531 at 1/200. Magnification : 400x.

Western blot - Anti-MTH1 antibody (AB187531)
  • WB

Supplier Data

Western blot - Anti-MTH1 antibody (AB187531)

All lanes:

Western blot - Anti-MTH1 antibody (ab187531) at 1/500 dilution

Lane 1:

SW480 cell extracts

Lane 2:

K562 cell extracts

Lane 3:

22RV1 cell extracts

Lane 4:

THP1 cell extracts

Lane 5:

HepG2 cell extracts

Lane 6:

SKOV3 cell extracts

Lane 7:

293T cell extracts

Predicted band size: 23 kDa

false

Key facts

Host species

Rabbit

Clonality

Polyclonal

Isotype

IgG

Carrier free

No

Reacts with

Rat, Human

Applications

IHC-P, WB

applications

Immunogen

Recombinant Fragment Protein within Human NUDT1. The exact immunogen used to generate this antibody is proprietary information.

P36639

Reactivity data

{ "title": "Reactivity Data", "filters": { "stats": ["", "Species", "Dilution Info", "Notes"], "tabs": { "all-applications": {"fullname" : "All Applications", "shortname": "All Applications"}, "WB" : {"fullname" : "Western blot", "shortname":"WB"}, "IHCP" : {"fullname" : "Immunohistochemistry (Formalin/PFA-fixed paraffin-embedded sections)", "shortname":"IHC-P"} }, "product-promise": { "all": "all", "testedAndGuaranteed": "tested", "guaranteed": "expected", "predicted": "predicted", "notRecommended": "not-recommended" } }, "values": { "Human": { "WB-species-checked": "testedAndGuaranteed", "WB-species-dilution-info": "1/500 - 1/2000", "WB-species-notes": "<p></p>", "IHCP-species-checked": "testedAndGuaranteed", "IHCP-species-dilution-info": "1/50 - 1/200", "IHCP-species-notes": "<p></p>" }, "Rat": { "WB-species-checked": "guaranteed", "WB-species-dilution-info": "", "WB-species-notes": "", "IHCP-species-checked": "testedAndGuaranteed", "IHCP-species-dilution-info": "1/50 - 1/200", "IHCP-species-notes": "<p></p>" } } }

Properties and storage information

Form
Liquid
Purification technique
Affinity purification Immunogen
Storage buffer
pH: 7.3 Preservative: 0.02% Sodium azide Constituents: PBS, 50% Glycerol (glycerin, glycerine)
Shipped at conditions
Blue Ice
Appropriate short-term storage duration
1-2 weeks
Appropriate short-term storage conditions
+4°C
Appropriate long-term storage conditions
-20°C
Aliquoting information
Upon delivery aliquot
Storage information
Avoid freeze / thaw cycle

Supplementary information

This supplementary information is collated from multiple sources and compiled automatically.

The target MTH1 also known as NUDT1 or karonudib is a protein with a mass of approximately 18.5 kDa. This protein belongs to the Nudix hydrolase family and is expressed in various tissues including liver brain and pancreas. Mechanically MTH1 plays a role in hydrolyzing oxidized nucleotides like 8-oxo-dGTP and 2-OH-dATP preventing their incorporation into DNA and maintaining genomic integrity.
Biological function summary

MTH1 prevents the incorporation of oxidized purine nucleotides into DNA. Without MTH1 cells risk mutations that can lead to genomic instability. The protein does not form part of a larger complex but acts independently. MTH1 functions are particularly relevant in cell types with high oxidative stress or rapidly dividing cells where its activity helps to protect against oxidative damage.

Pathways

MTH1 fits into DNA repair and antioxidant defense systems. It is notably involved in pathways managing oxidative stress damage. MTH1 works alongside other proteins like superoxide dismutase and catalase contributing to the detoxification of reactive oxygen species ultimately protecting the DNA repair machinery from oxidative damage.

MTH1 relates to cancer and neurodegenerative diseases. High MTH1 activity can be seen in cancer cells as these cells depend on MTH1 to prevent DNA damage from oxidative stress. In this context MTH1 pairs up with proteins like p53 which also has a role in maintaining genomic stability. In neurodegenerative diseases such as Parkinson's oxidative stress plays an important role implicating MTH1 since it mitigates oxidative nucleotide damage that might worsen neuronal damage.

Product protocols

For this product, it's our understanding that no specific protocols are required. You can visit:

Target data

Oxidized purine nucleoside triphosphate hydrolase which is a prominent sanitizer of the oxidized nucleotide pool (PubMed : 10608900, PubMed : 12857738, PubMed : 22556419, PubMed : 24695224, PubMed : 24695225, PubMed : 26238318, PubMed : 28679043, PubMed : 7713500, PubMed : 8226881). Catalyzes the hydrolysis of 2-oxo-dATP (2-hydroxy-dATP) into 2-oxo-dAMP (PubMed : 10373420). Has also a significant hydrolase activity toward 2-oxo-ATP, 8-oxo-dGTP and 8-oxo-dATP (PubMed : 10373420, PubMed : 11139615). Through the hydrolysis of oxidized purine nucleoside triphosphates, prevents their incorporation into DNA and the subsequent transversions A : T to C : G and G : C to T : A (PubMed : 10373420, PubMed : 10608900, PubMed : 11756418, PubMed : 12857738, PubMed : 16607562, PubMed : 24695224, PubMed : 24695225, PubMed : 26999531, PubMed : 28035004, PubMed : 8226881). Also catalyzes the hydrolysis of methylated purine nucleoside triphosphate preventing their integration into DNA (PubMed : 30304478, PubMed : 32144205). Through this antimutagenic activity protects cells from oxidative stress (PubMed : 10608900, PubMed : 12857738, PubMed : 24695224, PubMed : 24695225, PubMed : 30304478, PubMed : 32144205, PubMed : 7713500, PubMed : 8226881).
See full target information NUDT1

Publications (3)

Recent publications for all applications. Explore the full list and refine your search

Cancers 16: PubMed39272872

2024

Hypoxia-Targeted Immunotherapy with PD-1 Blockade in Head and Neck Cancer.

Applications

Unspecified application

Species

Unspecified reactive species

Risa Wakisaka,Hidekiyo Yamaki,Michihisa Kono,Takahiro Inoue,Ryosuke Sato,Hiroki Komatsuda,Kenzo Ohara,Akemi Kosaka,Takayuki Ohkuri,Toshihiro Nagato,Kan Kishibe,Koh Nakayama,Hiroya Kobayashi,Takumi Kumai,Miki Takahara

PeerJ 8:e9195 PubMed32518727

2020

The high expression of MTH1 and NUDT5 predict a poor survival and are associated with malignancy of esophageal squamous cell carcinoma.

Applications

Unspecified application

Species

Unspecified reactive species

Jing-Jing Wang,Teng-Hui Liu,Jin Li,Dan-Ni Li,Xin-Yuan Tian,Qiu-Geng Ouyang,Jian-Ping Cai

Oncotarget 8:105714-105726 PubMed29285286

2017

MutT-related proteins are novel progression and prognostic markers for colorectal cancer.

Applications

Unspecified application

Species

Unspecified reactive species

Jin Li,Cheng-Cheng Yang,Xin-Yuan Tian,Yun-Xuan Li,Ju Cui,Zhe Chen,Zhou-Lu Deng,Fu-Jun Chen,Hiroshi Hayakawa,Mutsuo Sekiguchi,Jian-Ping Cai
View all publications

Product promise

We are committed to supporting your work with high-quality reagents, and we're here for you every step of the way. In the unlikely event that one of our products does not perform as expected, you're protected by our Product Promise.
For full details, please see our Terms & Conditions

Please note: All products are 'FOR RESEARCH USE ONLY. NOT FOR USE IN DIAGNOSTIC OR THERAPEUTIC PROCEDURES'.

For licensing inquiries, please contact partnerships@abcam.com