JavaScript is disabled in your browser. Please enable JavaScript to view this website.
AB200832

Anti-MTH1 antibody [EPR15934-50]

Be the first to review this product! Submit a review

|

(6 Publications)

Rabbit Recombinant Monoclonal MTH1 antibody. Suitable for IP, WB, ICC/IF, Flow Cyt (Intra), IHC-P and reacts with Human samples. Cited in 6 publications.

View Alternative Names

MTH1, NUDT1, Oxidized purine nucleoside triphosphate hydrolase, 2-hydroxy-dATP diphosphatase, 8-oxo-dGTPase, Methylated purine nucleoside triphosphate hydrolase, Nucleoside diphosphate-linked moiety X motif 1, Nudix motif 1

9 Images
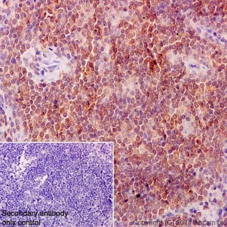
Immunohistochemistry (Formalin/PFA-fixed paraffin-embedded sections) - Anti-MTH1 antibody [EPR15934-50] (AB200832)
  • IHC-P

Supplier Data

Immunohistochemistry (Formalin/PFA-fixed paraffin-embedded sections) - Anti-MTH1 antibody [EPR15934-50] (AB200832)

Immunohistochemical analysis of paraffin-embedded Human thymus tissue labeling MTH1 with ab200832 at 1/100 dilution followed by Goat Anti-Rabbit IgG H&L (HRP) (ab97051) at 1/500 dilution. Cytoplasmic and nuclear staining on Human thymus tissue is observed. Counter stained with Hematoxylin.

Secondary antibody only control : Used PBS instead of primary antibody, secondary antibody is Goat Anti-Rabbit IgG H&L (HRP) (ab97051) at 1/500 dilution.

Perform heat mediated antigen retrieval with Tris/EDTA buffer pH 9.0 before commencing with IHC staining protocol.

Flow Cytometry (Intracellular) - Anti-MTH1 antibody [EPR15934-50] (AB200832)
  • Flow Cyt (Intra)

Supplier Data

Flow Cytometry (Intracellular) - Anti-MTH1 antibody [EPR15934-50] (AB200832)

Intracellular flow cytometric analysis of 2% paraformaldehyde-fixed Jurkat (Human T cell leukemia cells from peripheral blood)cells labeling MTH1 with ab200832 at 1/150 dilution (red) compared with a rabbit monoclonal IgG isotype control (ab172730; black) and an unlabelled control (cells without incubation with primary antibody and secondary antibody; blue). Goat anti rabbit IgG (FITC) at 1/150 dilution was used as the secondary antibody.

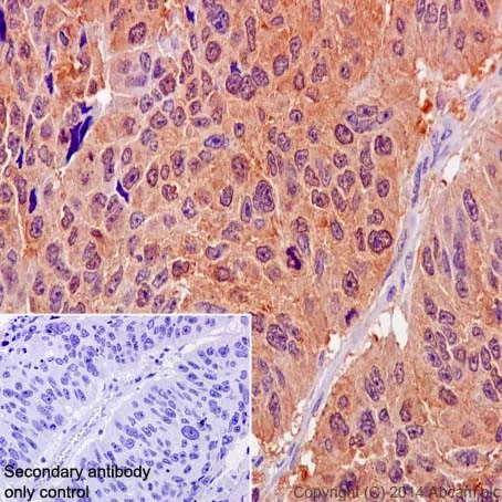
Immunohistochemistry (Formalin/PFA-fixed paraffin-embedded sections) - Anti-MTH1 antibody [EPR15934-50] (AB200832)
  • IHC-P

Supplier Data

Immunohistochemistry (Formalin/PFA-fixed paraffin-embedded sections) - Anti-MTH1 antibody [EPR15934-50] (AB200832)

Immunohistochemical analysis of paraffin-embedded Human squamous cell carcinoma of lung tissue labeling MTH1 with ab200832 at 1/100 dilution followed by Goat Anti-Rabbit IgG H&L (HRP) (ab97051) at 1/500 dilution. Cytoplasmic and nuclear staining on Human squamous cell carcinoma of lung tissue is observed. Counter stained with Hematoxylin.

Secondary antibody only control : Used PBS instead of primary antibody, secondary antibody is Goat Anti-Rabbit IgG H&L (HRP) (ab97051) at 1/500 dilution.

Perform heat mediated antigen retrieval with Tris/EDTA buffer pH 9.0 before commencing with IHC staining protocol.

Immunocytochemistry/ Immunofluorescence - Anti-MTH1 antibody [EPR15934-50] (AB200832)
  • ICC/IF

Unknown

Immunocytochemistry/ Immunofluorescence - Anti-MTH1 antibody [EPR15934-50] (AB200832)

Immunocytochemistry/Immunofluorescence analysis of Daudi (human Burkitt's lymphoma) labelling MTH-1 with purified ab200832 at 1/500. Cells were fixed with 100% methanol. An Alexa Fluor® 488-conjugated goat anti-rabbit IgG (1/1000) was used as the secondary antibody (ab150077). Nuclei counterstained with DAPI (blue).

Control : PBS only

Immunoprecipitation - Anti-MTH1 antibody [EPR15934-50] (AB200832)
  • IP

Supplier Data

Immunoprecipitation - Anti-MTH1 antibody [EPR15934-50] (AB200832)

MTH1 was immunoprecipitated from 1mg of Jurkat (Human T cell leukemia cells from peripheral blood) whole cell lysate with ab200832 at 1/50 dilution. Western blot was performed from the immunoprecipitate using ab200832 at 1/2000 dilution. Anti-Rabbit IgG (HRP), specific to the non-reduced form of IgG, was used as secondary antibody at 1/1500 dilution.

Lane 1 : Jurkat whole cell lysate 10ug (Input). Lane 2 : ab200832 IP in Jurkat whole cell lysate. Lane 3 : Rabbit monoclonal IgG (ab172730) instead of ab200832 in Jurkat whole cell lysate.
Blocking and dilution buffer and concentration : 5% NFDM/TBST.

Exposure time : 3 seconds.

All lanes:

Immunoprecipitation - Anti-MTH1 antibody [EPR15934-50] (ab200832)

Predicted band size: 23 kDa

Observed band size: 18 kDa

false

Western blot - Anti-MTH1 antibody [EPR15934-50] (AB200832)
  • WB

Supplier Data

Western blot - Anti-MTH1 antibody [EPR15934-50] (AB200832)

Blocking/dilution Buffer : 5% NFDM/TBST.

The expression profile observed is consistent with the following literature PMID : 11296483.

All lanes:

Western blot - Anti-MTH1 antibody [EPR15934-50] (ab200832) at 1/5000 dilution

Lane 1:

Human fetal kidney lysate at 20 µg

Lane 2:

Human fetal thymus lysate at 20 µg

Secondary

All lanes:

Anti-Rabbit IgG (HRP), specific to the non-reduced form of IgG at 1/1000 dilution

Predicted band size: 23 kDa

Observed band size: 18 kDa

false

Exposure time: 1min

Western blot - Anti-MTH1 antibody [EPR15934-50] (AB200832)
  • WB

Supplier Data

Western blot - Anti-MTH1 antibody [EPR15934-50] (AB200832)

Blocking/dilution Buffer : 5% NFDM/TBST.

The expression profile observed is consistent with the following literature PMID : 11296483.

All lanes:

Western blot - Anti-MTH1 antibody [EPR15934-50] (ab200832) at 1/5000 dilution

All lanes:

Jurkat (Human T cell leukemia cells from peripheral blood) whole cell lysate at 20 µg

Secondary

All lanes:

Anti-Rabbit IgG (HRP), specific to the non-reduced form of IgG at 1/1000 dilution

Predicted band size: 23 kDa

Observed band size: 18 kDa

false

Exposure time: 15s

Western blot - Anti-MTH1 antibody [EPR15934-50] (AB200832)
  • WB

Lab

Western blot - Anti-MTH1 antibody [EPR15934-50] (AB200832)

Lane 1 : Wild-type HAP1 cell lysate (20 μg)
Lane 2 : MTH1 knockout HAP1 cell lysate (20 μg)
Lane 3 : Jurkat cell lysate (20 μg)
Lane 4 : A549 cell lysate (20 μg)
Lanes 1 - 4 : Merged signal (red and green). Green - ab200832 observed at 18 kDa. Red - loading control, ab8245, observed at 37 kDa.

ab200832 was shown to specifically react with MTH1 when MTH1 knockout samples were used. Wild-type and MTH1 knockout samples were subjected to SDS-PAGE. ab200832 at a dilution of 1/5000 and ab8245 (loading control to GAPDH) diluted to 1/10,000 were incubated overnight at 4°C. Blots were developed with Goat anti-Rabbit IgG H&L (IRDye® 800CW) preadsorbed (ab216773) and Goat anti-Mouse IgG H&L (IRDye® 680RD) preadsorbed (ab216776) secondary antibodies at 1/10,000 dilution for 1 hour at room temperature before imaging.

All lanes:

Western blot - Anti-MTH1 antibody [EPR15934-50] (ab200832)

Predicted band size: 23 kDa

false

Western blot - Anti-MTH1 antibody [EPR15934-50] (AB200832)
  • WB

Lab

Western blot - Anti-MTH1 antibody [EPR15934-50] (AB200832)

Lanes 1- 4 : Merged signal (red and green). Green - ab200832 observed at 18 kDa. Red - Anti-GAPDH antibody [6C5] - Loading Control (ab8245) observed at 37 kDa.

ab200832 was shown to react with MTH1 in wild-type HEK-293T cells in western blot. Loss of signal was observed when knockout cell line ab266400 (knockout cell lysate ab257565) was used. Wild-type HEK-293T and NUDT1 knockout HEK-293T cell lysates were subjected to SDS-PAGE. Membrane was blocked for 1 hour at room temperature in 0.1% TBST with 3% non-fat dried milk. ab200832 and Anti-GAPDH antibody [6C5] - Loading Control (ab8245) overnight at 4°C at a 1 in 5000 dilution and a 1 in 20000 dilution respectively. Blots were developed with Goat anti-Rabbit IgG H&L (IRDye®800CW) preadsorbed (ab216773) and Goat anti-Mouse IgG H&L (IRDye®680RD) preadsorbed (ab216776) secondary antibodies at 1 in 20000 dilution for 1 hour at room temperature before imaging.

All lanes:

Western blot - Anti-MTH1 antibody [EPR15934-50] (ab200832) at 1/5000 dilution

Lane 1:

Wild-type HEK-293T cell lysate at 20 µg

Lane 2:

NUDT1 knockout HEK-293T cell lysate at 20 µg

Lane 2:

Western blot - Human NUDT1 (MTH1) knockout HEK-293T cell line (<a href='/en-us/products/cell-lines/human-nudt1-mth1-knockout-hek-293t-cell-line-ab266400'>ab266400</a>)

Lane 3:

HAP1 cell lysate at 20 µg

Lane 4:

HeLa cell lysate at 20 µg

Predicted band size: 23 kDa

Observed band size: 18 kDa

false

  • Carrier free

    Anti-MTH1 antibody [EPR15934-50] - BSA and Azide free

Key facts

Host species

Rabbit

Clonality

Monoclonal

Clone number

EPR15934-50

Isotype

IgG

Carrier free

No

Reacts with

Human

Applications

IP, WB, IHC-P, ICC/IF, Flow Cyt (Intra)

applications

Immunogen

The exact immunogen used to generate this antibody is proprietary information.

Reactivity data

{ "title": "Reactivity Data", "filters": { "stats": ["", "Species", "Dilution Info", "Notes"], "tabs": { "all-applications": {"fullname" : "All Applications", "shortname": "All Applications"}, "IP" : {"fullname" : "Immunoprecipitation", "shortname":"IP"}, "WB" : {"fullname" : "Western blot", "shortname":"WB"}, "ICCIF" : {"fullname" : "Immunocytochemistry/ Immunofluorescence", "shortname":"ICC/IF"}, "FlowCytIntra" : {"fullname" : "Flow Cytometry (Intracellular)", "shortname":"Flow Cyt (Intra)"}, "IHCP" : {"fullname" : "Immunohistochemistry (Formalin/PFA-fixed paraffin-embedded sections)", "shortname":"IHC-P"} }, "product-promise": { "all": "all", "testedAndGuaranteed": "tested", "guaranteed": "expected", "predicted": "predicted", "notRecommended": "not-recommended" } }, "values": { "Human": { "IP-species-checked": "testedAndGuaranteed", "IP-species-dilution-info": "1/50", "IP-species-notes": "<p></p>", "WB-species-checked": "testedAndGuaranteed", "WB-species-dilution-info": "1/5000", "WB-species-notes": "<p></p>", "ICCIF-species-checked": "testedAndGuaranteed", "ICCIF-species-dilution-info": "1/500", "ICCIF-species-notes": "<p></p>", "FlowCytIntra-species-checked": "testedAndGuaranteed", "FlowCytIntra-species-dilution-info": "1/150", "FlowCytIntra-species-notes": "<p><a href='/en-us/products/primary-antibodies/rabbit-igg-monoclonal-epr25a-isotype-control-ab172730'>ab172730</a> - Rabbit monoclonal IgG, is suitable for use as an isotype control with this antibody.</p>", "IHCP-species-checked": "testedAndGuaranteed", "IHCP-species-dilution-info": "1/50", "IHCP-species-notes": "<p></p> Perform heat-mediated antigen retrieval with Tris/EDTA buffer pH 9.0 before commencing with IHC staining protocol." } } }

Product details

Patented technology
Our RabMAb® technology is a patented hybridoma-based technology for making rabbit monoclonal antibodies. For details on our patents, please refer to RabMAb® patents.

What are the advantages of a recombinant monoclonal antibody?
This product is a recombinant monoclonal antibody, which offers several advantages including:

  • - High batch-to-batch consistency and reproducibility
  • - Improved sensitivity and specificity
  • - Long-term security of supply
  • - Animal-free batch production

For more information, read more on recombinant antibodies.

Properties and storage information

Form
Liquid
Purification technique
Affinity purification Protein A
Storage buffer
pH: 7.2 - 7.4 Preservative: 0.01% Sodium azide Constituents: PBS, 40% Glycerol (glycerin, glycerine), 0.05% BSA
Shipped at conditions
Blue Ice
Appropriate short-term storage duration
1-2 weeks
Appropriate short-term storage conditions
+4°C
Appropriate long-term storage conditions
-20°C
Aliquoting information
Upon delivery aliquot
Storage information
Avoid freeze / thaw cycle

Supplementary information

This supplementary information is collated from multiple sources and compiled automatically.

The target MTH1 also known as NUDT1 or karonudib is a protein with a mass of approximately 18.5 kDa. This protein belongs to the Nudix hydrolase family and is expressed in various tissues including liver brain and pancreas. Mechanically MTH1 plays a role in hydrolyzing oxidized nucleotides like 8-oxo-dGTP and 2-OH-dATP preventing their incorporation into DNA and maintaining genomic integrity.
Biological function summary

MTH1 prevents the incorporation of oxidized purine nucleotides into DNA. Without MTH1 cells risk mutations that can lead to genomic instability. The protein does not form part of a larger complex but acts independently. MTH1 functions are particularly relevant in cell types with high oxidative stress or rapidly dividing cells where its activity helps to protect against oxidative damage.

Pathways

MTH1 fits into DNA repair and antioxidant defense systems. It is notably involved in pathways managing oxidative stress damage. MTH1 works alongside other proteins like superoxide dismutase and catalase contributing to the detoxification of reactive oxygen species ultimately protecting the DNA repair machinery from oxidative damage.

MTH1 relates to cancer and neurodegenerative diseases. High MTH1 activity can be seen in cancer cells as these cells depend on MTH1 to prevent DNA damage from oxidative stress. In this context MTH1 pairs up with proteins like p53 which also has a role in maintaining genomic stability. In neurodegenerative diseases such as Parkinson's oxidative stress plays an important role implicating MTH1 since it mitigates oxidative nucleotide damage that might worsen neuronal damage.

Product protocols

For this product, it's our understanding that no specific protocols are required. You can visit:

Target data

Oxidized purine nucleoside triphosphate hydrolase which is a prominent sanitizer of the oxidized nucleotide pool (PubMed : 10608900, PubMed : 12857738, PubMed : 22556419, PubMed : 24695224, PubMed : 24695225, PubMed : 26238318, PubMed : 28679043, PubMed : 7713500, PubMed : 8226881). Catalyzes the hydrolysis of 2-oxo-dATP (2-hydroxy-dATP) into 2-oxo-dAMP (PubMed : 10373420). Has also a significant hydrolase activity toward 2-oxo-ATP, 8-oxo-dGTP and 8-oxo-dATP (PubMed : 10373420, PubMed : 11139615). Through the hydrolysis of oxidized purine nucleoside triphosphates, prevents their incorporation into DNA and the subsequent transversions A : T to C : G and G : C to T : A (PubMed : 10373420, PubMed : 10608900, PubMed : 11756418, PubMed : 12857738, PubMed : 16607562, PubMed : 24695224, PubMed : 24695225, PubMed : 26999531, PubMed : 28035004, PubMed : 8226881). Also catalyzes the hydrolysis of methylated purine nucleoside triphosphate preventing their integration into DNA (PubMed : 30304478, PubMed : 32144205). Through this antimutagenic activity protects cells from oxidative stress (PubMed : 10608900, PubMed : 12857738, PubMed : 24695224, PubMed : 24695225, PubMed : 30304478, PubMed : 32144205, PubMed : 7713500, PubMed : 8226881).
See full target information NUDT1

Publications (6)

Recent publications for all applications. Explore the full list and refine your search

Pharmaceuticals (Basel, Switzerland) 17: PubMed38543077

2024

Targeting MutT Homolog 1 (MTH1) for Breast Cancer Suppression by Using a Novel MTH1 Inhibitor MA-24 with Tumor-Selective Toxicity.

Applications

Unspecified application

Species

Unspecified reactive species

Nannan Kang,Jun Ma,Yuling Hu,Rongrong Di,Lei Wang,Xuanling Zhang,Yisheng Lai,Yu Liu

Spine 48:E54-E69 PubMed36130054

2022

miR-4478 Accelerates Nucleus Pulposus Cells Apoptosis Induced by Oxidative Stress by Targeting MTH1.

Applications

Unspecified application

Species

Unspecified reactive species

Jiafang Zhang,Ruiduan Liu,Ling Mo,Caijun Liu,Jianming Jiang

Hepatology communications 6:1016-1031 PubMed34894107

2021

MutT Homolog 1 Inhibitor Karonudib Attenuates Autoimmune Hepatitis by Inhibiting DNA Repair in Activated T Cells.

Applications

Unspecified application

Species

Unspecified reactive species

Yong Chen,Xiangwei Hua,Bingyuan Huang,Stella Karsten,Zhengrui You,Bo Li,You Li,Yikang Li,Jubo Liang,Jun Zhang,Yiran Wei,Ruiling Chen,Zhuwan Lyu,Xiao Xiao,Min Lian,Jue Wei,Jingyuan Fang,Qi Miao,Qixia Wang,Ulrika Warpman Berglung,Ruqi Tang,Thomas Helleday,Xiong Ma

Aging 12:7363-7379 PubMed32341205

2020

Nudix hydrolase 1 is a prognostic biomarker in hepatocellular carcinoma.

Applications

Unspecified application

Species

Unspecified reactive species

Qifeng Ou,Ning Ma,Zheng Yu,Rongchang Wang,Yucheng Hou,Ziming Wang,Fan Chen,Wen Li,Jiong Bi,Jieyi Ma,Longjuan Zhang,Qiao Su,Xiaohui Huang

Genes & development 32:658-669 PubMed29773556

2018

PRDX1 and MTH1 cooperate to prevent ROS-mediated inhibition of telomerase.

Applications

Unspecified application

Species

Unspecified reactive species

Wareed Ahmed,Joachim Lingner

Anti-cancer drugs 29:341-352 PubMed29420337

2018

Anticancer effect of (S)-crizotinib on osteosarcoma cells by targeting MTH1 and activating reactive oxygen species.

Applications

Unspecified application

Species

Unspecified reactive species

Xiangcheng Qing,Zengwu Shao,Xiao Lv,Feifei Pu,Feng Gao,Lei Liu,Deyao Shi
View all publications

Product promise

We are committed to supporting your work with high-quality reagents, and we're here for you every step of the way. In the unlikely event that one of our products does not perform as expected, you're protected by our Product Promise.
For full details, please see our Terms & Conditions

Please note: All products are 'FOR RESEARCH USE ONLY. NOT FOR USE IN DIAGNOSTIC OR THERAPEUTIC PROCEDURES'.

For licensing inquiries, please contact partnerships@abcam.com