JavaScript is disabled in your browser. Please enable JavaScript to view this website.
AB307429

Anti-MTHFD2 antibody [EPR26938-20] - BSA and Azide free

  • BOND RX™ Validated
  • RabMAb
  • Recombinant
  • KO Validated
  • What is this?

Be the first to review this product! Submit a review

|

(0 Publication)

Rabbit Recombinant Monoclonal MTHFD2 antibody. Carrier free. Suitable for IHC-P, IP, Flow Cyt (Intra), ICC/IF, WB and reacts with Human, Mouse, Rat samples.

View Alternative Names

NMDMC, MTHFD2

14 Images
Immunocytochemistry/ Immunofluorescence - Anti-MTHFD2 antibody [EPR26938-20] - BSA and Azide free (AB307429)
  • ICC/IF

Supplier Data

Immunocytochemistry/ Immunofluorescence - Anti-MTHFD2 antibody [EPR26938-20] - BSA and Azide free (AB307429)

This data was developed using ab307428, the same antibody clone in a different buffer formulation. Immunofluorescent analysis of 4% Paraformaldehyde-fixed, 0.1% TritonX-100 permeABilized MTHFD2 KO HEK293T (MTHFD2 knockout human embryonic kidney epithelial cell), ab266383 cells lABelling MTHFD2 with ab307428 at 1/1000 (0.504 ug/ml) dilution, followed by ab150081 Goat Anti-RABbit IgG H&L (Alexa Fluor? 488) preadsorbed antibody at 1/1000 2 ug/ml dilution (Green). Confocal image showing mitochondrial staining in wildtype HEK293T cells and no staining in MTHFD2 knockout HEK293T cells.Image was taken with a confocal microscope(Leica-Microsystems, TCS SP8). is observed. ab197491 Anti-COX IV Mouse monoclonal antibody (Alexa Fluor? 647) - Mitochondrial Marker was used to counterstain tubulin at 1/200 2.5ug/ml dilution (Red). The Nuclear counterstain was DAPI (Blue). Secondary antibody only control : Secondary antibody is ab150081 Goat Anti-RABbit IgG H&L (Alexa Fluor? 488) preadsorbed at 1/1000 2 ug/ml dilution.

Flow Cytometry (Intracellular) - Anti-MTHFD2 antibody [EPR26938-20] - BSA and Azide free (AB307429)
  • Flow Cyt (Intra)

Supplier Data

Flow Cytometry (Intracellular) - Anti-MTHFD2 antibody [EPR26938-20] - BSA and Azide free (AB307429)

This data was developed using ab307428, the same antibody clone in a different buffer formulation.

Flow cytometric analysis of 4% paraformaldehyde fixed 90% methanol permeabilized Wild-type 293T (human embryonic kidney epithelial cell, Right) / MTHFD2 knockout 293T (Left) cells labelling MTHFD2 with ab307428 at 1/5000 dilution (0.01ug) (Red) compared with a Rabbit monoclonal IgG (ab172730) (Black) isotype control and an unlabelled control (cells without incubation with primary antibody and secondary antibody) (Blue). A Goat Anti-Rabbit IgG (Alexa Fluor® 488, ab150081) at 1/2000 dilution was used as the secondary antibody. Positive staining on 293T cells (ab255449), while no staining on MTHFD2 knockout 293T cells (ab266383).

Immunohistochemistry (Formalin/PFA-fixed paraffin-embedded sections) - Anti-MTHFD2 antibody [EPR26938-20] - BSA and Azide free (AB307429)
  • IHC-P

Supplier Data

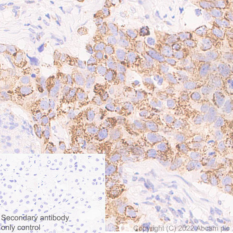
Immunohistochemistry (Formalin/PFA-fixed paraffin-embedded sections) - Anti-MTHFD2 antibody [EPR26938-20] - BSA and Azide free (AB307429)

This data was developed using ab307428, the same antibody clone in a different buffer formulation. Immunohistochemical analysis of paraffin-embedded Human breast cancer tissue labeling MTHFD2 with ab307428 at 1/500 (1.008 ug/ml) followed by a ready to use LeicaDS9800 (Bond? Polymer Refine Detection) was used. Positive staining on human breast cancer (PMID : 26461067).The section was incubated with ab307428 for 30 mins at room temperature.The immunostaining was performed on a Leica Biosystems BOND? RX instrument Counterstained with Hematoxylin. Secondary antibody only control : Secondary antibody is a ready to use LeicaDS9800 (Bond? Polymer Refine Detection) was used. Heat mediated antigen retrieval was performed with Tris-EDTA buffer (pH 9.0, Epitope Retrieval Solution2) for 20 mins

Immunohistochemistry (Formalin/PFA-fixed paraffin-embedded sections) - Anti-MTHFD2 antibody [EPR26938-20] - BSA and Azide free (AB307429)
  • IHC-P

Supplier Data

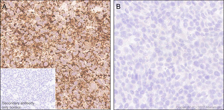
Immunohistochemistry (Formalin/PFA-fixed paraffin-embedded sections) - Anti-MTHFD2 antibody [EPR26938-20] - BSA and Azide free (AB307429)

This data was developed using ab307428, the same antibody clone in a different buffer formulation. Immunohistochemical analysis of paraffin-embedded (A) Wild-type HEK293 tissue labeling MTHFD2 with ab307428 at 1/500 (1.008 ug/ml) followed by a ready to use LeicaDS9800 (Bond? Polymer Refine Detection) was used. Positive staining on (A) Wild-type HEK293T (human embryonic kidney epithelial cell) cell pellet, no staining on (B) MTHFD2 knockout HEK293T (ab266383) cell pellet.The section was incubated with ab307428 for 30 mins at room temperature.The immunostaining was performed on a Leica Biosystems BOND? RX instrument Counterstained with Hematoxylin. Secondary antibody only control : Secondary antibody is a ready to use LeicaDS9800 (Bond? Polymer Refine Detection) was used. Heat mediated antigen retrieval was performed with Tris-EDTA buffer (pH 9.0, Epitope Retrieval Solution2) for 20 mins

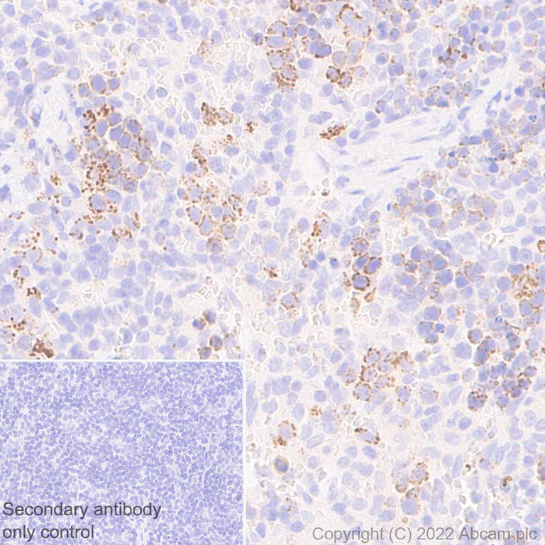
Immunohistochemistry (Formalin/PFA-fixed paraffin-embedded sections) - Anti-MTHFD2 antibody [EPR26938-20] - BSA and Azide free (AB307429)
  • IHC-P

Supplier Data

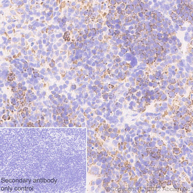
Immunohistochemistry (Formalin/PFA-fixed paraffin-embedded sections) - Anti-MTHFD2 antibody [EPR26938-20] - BSA and Azide free (AB307429)

This data was developed using ab307428, the same antibody clone in a different buffer formulation. Immunohistochemical analysis of paraffin-embedded Human tonsil tissue labeling MTHFD2 with ab307428 at 1/500 (1.008 ug/ml) followed by a ready to use LeicaDS9800 (Bond? Polymer Refine Detection) was used. Positive staining on human tonsil (PMID : 24451681).The section was incubated with ab307428 for 30 mins at room temperature.The immunostaining was performed on a Leica Biosystems BOND? RX instrument Counterstained with Hematoxylin. Secondary antibody only control : Secondary antibody is a ready to use LeicaDS9800 (Bond? Polymer Refine Detection) was used. Heat mediated antigen retrieval was performed with Tris-EDTA buffer (pH 9.0, Epitope Retrieval Solution2) for 20 mins

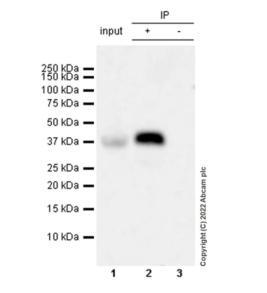
Immunoprecipitation - Anti-MTHFD2 antibody [EPR26938-20] - BSA and Azide free (AB307429)
  • IP

Supplier Data

Immunoprecipitation - Anti-MTHFD2 antibody [EPR26938-20] - BSA and Azide free (AB307429)

This data was developed using ab307428, the same antibody clone in a different buffer formulation.

MTHFD2 was immunoprecipitated from 0.35 mg HEK-293 (human embryonic kidney epithelial cell) whole cell lysate 10 ug with ab307428 at 1/30 dilution (2ug in 0.35mg lysates). Western blot was performed on the immunoprecipitate using ab307428 at 1/1000 dilution. VeriBlot for IP secondary antibody (HRP) (ab131366) was used at 1/5000 dilution.

Lane 1 : HEK-293 (human embryonic kidney epithelial cell) whole cell lysate 10 ug
Lane 2 : ab307428 IP in HEK-293 whole cell lysate
Lane 3 : Rabbit monoclonal IgG (ab172730) instead of ab307428 in HEK-293 whole cell lysate

Blocking and dilution buffer and concentration : 5% NFDM/TBST.

Exposure time : 1 second

All lanes:

Immunoprecipitation - Anti-MTHFD2 antibody [EPR26938-20] (<a href='/en-us/products/primary-antibodies/mthfd2-antibody-epr26938-20-ab307428'>ab307428</a>) at 1/1000 dilution

Lane 1:

HEK-293 (human embryonic kidney epithelial cell) whole cell lysate 10 μg

Lane 2:

HEK-293 whole cell lysate

Secondary

All lanes:

Immunoprecipitation - VeriBlot for IP Detection Reagent (HRP) (<a href='/en-us/products/reagents/veriblot-for-ip-detection-reagent-hrp-ab131366'>ab131366</a>) at 1/5000 dilution

Observed band size: 35 kDa

false

Exposure time: 1s

Immunocytochemistry/ Immunofluorescence - Anti-MTHFD2 antibody [EPR26938-20] - BSA and Azide free (AB307429)
  • ICC/IF

Supplier Data

Immunocytochemistry/ Immunofluorescence - Anti-MTHFD2 antibody [EPR26938-20] - BSA and Azide free (AB307429)

This data was developed using ab307428, the same antibody clone in a different buffer formulation. Immunofluorescent analysis of 4% Paraformaldehyde-fixed, 0.1% TritonX-100 permeABilized MEF (mouse embryo fibroblast) cells lABelling MTHFD2 with ab307428 at 1/1000 (0.504 ug/ml) dilution, followed by ab150081 Goat Anti-RABbit IgG H&L (Alexa Fluor? 488) preadsorbed antibody at 1/1000 2 ug/ml dilution (Green). Confocal image showing cytoplasmic staining in MEF cell line.Image was taken with a confocal microscope(Leica-Microsystems, TCS SP8). is observed. ab195889 Anti-alpha Tubulin mouse monoclonal antibody - Microtubule Marker (Alexa Fluor? 594) was used to counterstain tubulin at 1/200 2.5ug/ml dilution (Red). The Nuclear counterstain was DAPI (Blue). Secondary antibody only control : Secondary antibody is ab150081 Goat Anti-RABbit IgG H&L (Alexa Fluor? 488) preadsorbed at 1/1000 2 ug/ml dilution.

Flow Cytometry (Intracellular) - Anti-MTHFD2 antibody [EPR26938-20] - BSA and Azide free (AB307429)
  • Flow Cyt (Intra)

Supplier Data

Flow Cytometry (Intracellular) - Anti-MTHFD2 antibody [EPR26938-20] - BSA and Azide free (AB307429)

This data was developed using ab307428, the same antibody clone in a different buffer formulation.

Flow cytometric analysis of 4% paraformaldehyde fixed 90% methanol permeabilized MEF (mouse embryonic fibroblast (immortalized)) cells labelling MTHFD2 with ab307428 at 1/500 dilution (0.1ug) (Red) compared with a Rabbit monoclonal IgG (ab172730) (Black) isotype control and an unlabelled control (cells without incubation with primary antibody and secondary antibody) (Blue). A Goat Anti-Rabbit IgG (Alexa Fluor® 488, ab150081) at 1/2000 dilution was used as the secondary antibody.

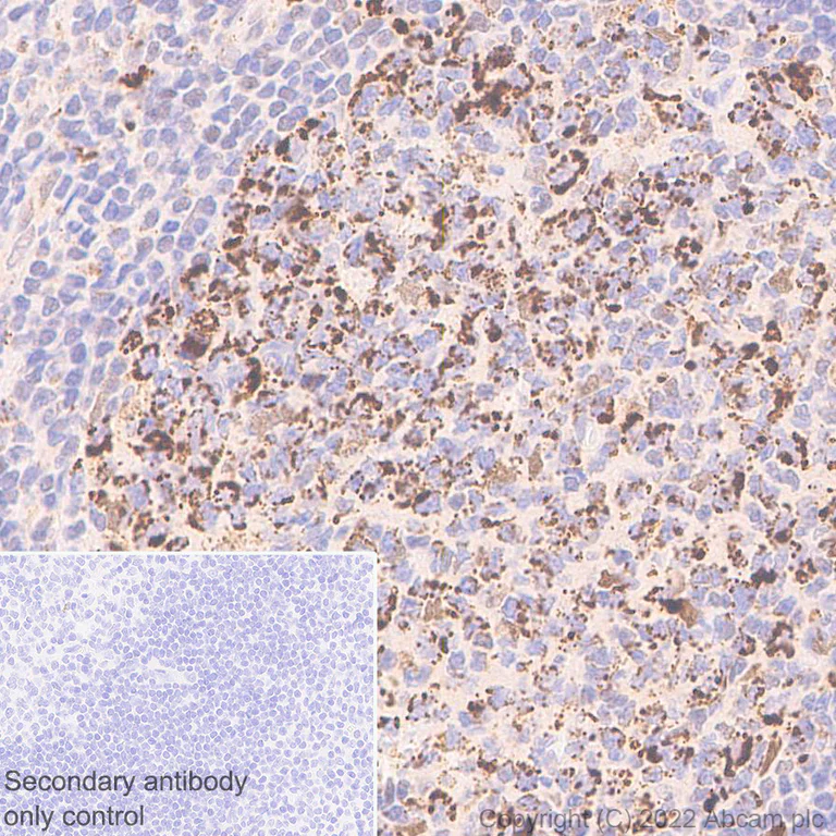
Immunohistochemistry (Formalin/PFA-fixed paraffin-embedded sections) - Anti-MTHFD2 antibody [EPR26938-20] - BSA and Azide free (AB307429)
  • IHC-P

Supplier Data

Immunohistochemistry (Formalin/PFA-fixed paraffin-embedded sections) - Anti-MTHFD2 antibody [EPR26938-20] - BSA and Azide free (AB307429)

This data was developed using ab307428, the same antibody clone in a different buffer formulation. Immunohistochemical analysis of paraffin-embedded Rat spleen tissue labeling MTHFD2 with ab307428 at 1/500 (1.008 ug/ml) followed by a ready to use LeicaDS9800 (Bond? Polymer Refine Detection) was used. Positive staining on rat spleen.The section was incubated with ab307428 for 30 mins at room temperature.The immunostaining was performed on a Leica Biosystems BOND? RX instrument Counterstained with Hematoxylin. Secondary antibody only control : Secondary antibody is a ready to use LeicaDS9800 (Bond? Polymer Refine Detection) was used. Heat mediated antigen retrieval was performed with Tris-EDTA buffer (pH 9.0, Epitope Retrieval Solution2) for 20 mins

Immunohistochemistry (Formalin/PFA-fixed paraffin-embedded sections) - Anti-MTHFD2 antibody [EPR26938-20] - BSA and Azide free (AB307429)
  • IHC-P

Supplier Data

Immunohistochemistry (Formalin/PFA-fixed paraffin-embedded sections) - Anti-MTHFD2 antibody [EPR26938-20] - BSA and Azide free (AB307429)

This data was developed using ab307428, the same antibody clone in a different buffer formulation. Immunohistochemical analysis of paraffin-embedded Mouse spleen tissue labeling MTHFD2 with ab307428 at 1/500 (1.008 ug/ml) followed by a ready to use LeicaDS9800 (Bond? Polymer Refine Detection) was used. Positive staining on mouse spleen.The section was incubated with ab307428 for 30 mins at room temperature.The immunostaining was performed on a Leica Biosystems BOND? RX instrument Counterstained with Hematoxylin. Secondary antibody only control : Secondary antibody is a ready to use LeicaDS9800 (Bond? Polymer Refine Detection) was used. Heat mediated antigen retrieval was performed with Tris-EDTA buffer (pH 9.0, Epitope Retrieval Solution2) for 20 mins

Immunoprecipitation - Anti-MTHFD2 antibody [EPR26938-20] - BSA and Azide free (AB307429)
  • IP

Supplier Data

Immunoprecipitation - Anti-MTHFD2 antibody [EPR26938-20] - BSA and Azide free (AB307429)

This data was developed using ab307428, the same antibody clone in a different buffer formulation.

MTHFD2 was immunoprecipitated from 0.35 mg MEF (mouse embryonic fibroblast) whole cell lysate 10 ug with ab307428 at 1/30 dilution (2ug in 0.35mg lysates). Western blot was performed on the immunoprecipitate using ab307428 at 1/1000 dilution. VeriBlot for IP secondary antibody (HRP) (ab131366) was used at 1/5000 dilution.

Lane 1 : MEF (mouse embryonic fibroblast) whole cell lysate 10 ug
Lane 2 : ab307428 IP in MEF whole cell lysate
Lane 3 : Rabbit monoclonal IgG (ab172730) instead of ab307428 in MEF whole cell lysate

Blocking and dilution buffer and concentration : 5% NFDM/TBST.

Exposure time : 10 seconds

All lanes:

Immunoprecipitation - Anti-MTHFD2 antibody [EPR26938-20] (<a href='/en-us/products/primary-antibodies/mthfd2-antibody-epr26938-20-ab307428'>ab307428</a>) at 1/1000 dilution

Lane 1:

MEF (mouse embryonic fibroblast) whole cell lysate 10 μg

Lane 2:

MEF whole cell lysate

Secondary

All lanes:

Immunoprecipitation - VeriBlot for IP Detection Reagent (HRP) (<a href='/en-us/products/reagents/veriblot-for-ip-detection-reagent-hrp-ab131366'>ab131366</a>) at 1/5000 dilution

Observed band size: 35 kDa

false

Exposure time: 10s

Western blot - Anti-MTHFD2 antibody [EPR26938-20] - BSA and Azide free (AB307429)
  • WB

Supplier Data

Western blot - Anti-MTHFD2 antibody [EPR26938-20] - BSA and Azide free (AB307429)

This data was developed using 307428, the same antibody clone in a different buffer formulation. Blocking and diluting buffer and concentration : Lane 1 : 15 seconds, Lanes 2-6 and 8-9 : 180 seconds, Lane 7 : 48 seconds. Exposure time :

All lanes:

Western blot - Anti-MTHFD2 antibody [EPR26938-20] (<a href='/en-us/products/primary-antibodies/mthfd2-antibody-epr26938-20-ab307428'>ab307428</a>) at 1/1000 dilution

Lane 1:

786-O (Human kidney renal cell adenocarcinoma) whole cell lysate 20 μg

Lane 2:

LNCaP (human prostate carcinoma epithelial cell) whole cell lysate 20 μg

Secondary

All lanes:

Western blot - Goat Anti-Rabbit IgG H&L (HRP) (<a href='/en-us/products/secondary-antibodies/goat-rabbit-igg-h-l-hrp-ab97051'>ab97051</a>) at 1/100000 dilution

Observed band size: 35 kDa

false

Exposure time: 48s

Western blot - Anti-MTHFD2 antibody [EPR26938-20] - BSA and Azide free (AB307429)
  • WB

Supplier Data

Western blot - Anti-MTHFD2 antibody [EPR26938-20] - BSA and Azide free (AB307429)

This data was developed using 307428, the same antibody clone in a different buffer formulation. Blocking and diluting buffer and concentration : In Western blot, ab307428 was shown to bind specifically to MTHFD2. A band was observed at 35 kDa in wild-type HEK-293 cell lysates whereas no signal observed at this size in MTHFD2 knockout cell line ab266383 (knockout cell lysate ab258528). 15 seconds Exposure time :

All lanes:

Western blot - Anti-MTHFD2 antibody [EPR26938-20] (<a href='/en-us/products/primary-antibodies/mthfd2-antibody-epr26938-20-ab307428'>ab307428</a>) at 1/1000 dilution

Lane 1:

Wild-type HEK-293 (human embryonic kidney epithelial cell) whole cell lysate 20 μg

Lane 2:

MTHFD2 knockout HEK-293 whole cell lysate 20 μg

Lane 3:

MDA-MB-231 (human breast adenocarcinoma epithelial cell) whole cell lysate 20 μg

Lane 4:

MEF (mouse embryonic fibroblast) whole cell lysate 20 μg

Secondary

All lanes:

Western blot - Goat Anti-Rabbit IgG H&L (HRP) (<a href='/en-us/products/secondary-antibodies/goat-rabbit-igg-h-l-hrp-ab97051'>ab97051</a>) at 1/100000 dilution

Observed band size: 35 kDa

false

Exposure time: 15s

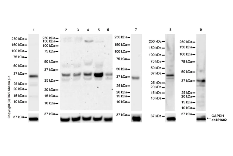
Western blot - Anti-MTHFD2 antibody [EPR26938-20] - BSA and Azide free (AB307429)
  • WB

Supplier Data

Western blot - Anti-MTHFD2 antibody [EPR26938-20] - BSA and Azide free (AB307429)

This data was developed using 307428, the same antibody clone in a different buffer formulation. Blocking and diluting buffer and concentration : The Lanes 2-6 were developed using a high sensitivity ECL substrate. Exposure time :

All lanes:

Western blot - Anti-MTHFD2 antibody [EPR26938-20] (<a href='/en-us/products/primary-antibodies/mthfd2-antibody-epr26938-20-ab307428'>ab307428</a>) at 1/1000 dilution

Lane 1:

Human tonsil tissue lysate 20 μg

Lane 2:

Human colon tissue lysate 20 μg

Lane 3:

Human colon cancer tissue lysate 20 μg

Lane 4:

Human testis tissue lysate 20 μg

Lane 5:

Human ovary tissue lysate 20 μg

Lane 6:

Mouse breast cancer tissue lysate 20 μg

Lane 7:

Mouse pancreas tissue lysate 20 μg

Lane 8:

Mouse kidney tissue lysate 20 μg

Lane 9:

Rat kidney tissue lysate 20 μg

Secondary

All lanes:

Western blot - Goat Anti-Rabbit IgG H&L (HRP) (<a href='/en-us/products/secondary-antibodies/goat-rabbit-igg-h-l-hrp-ab97051'>ab97051</a>) at 1/100000 dilution

Observed band size: 35 kDa

true

Exposure time: 15s

Key facts

Host species

Rabbit

Clonality

Monoclonal

Clone number

EPR26938-20

Isotype

IgG

Carrier free

Yes

Reacts with

Human, Mouse, Rat

Applications

IHC-P, WB, Flow Cyt (Intra), ICC/IF, IP

applications

Immunogen

The exact immunogen used to generate this antibody is proprietary information.

Reactivity data

{ "title": "Reactivity Data", "filters": { "stats": ["", "Species", "Dilution Info", "Notes"], "tabs": { "all-applications": {"fullname" : "All Applications", "shortname": "All Applications"}, "IHCP" : {"fullname" : "Immunohistochemistry (Formalin/PFA-fixed paraffin-embedded sections)", "shortname":"IHC-P"}, "IP" : {"fullname" : "Immunoprecipitation", "shortname":"IP"}, "FlowCytIntra" : {"fullname" : "Flow Cytometry (Intracellular)", "shortname":"Flow Cyt (Intra)"}, "ICCIF" : {"fullname" : "Immunocytochemistry/ Immunofluorescence", "shortname":"ICC/IF"}, "WB" : {"fullname" : "Western blot", "shortname":"WB"} }, "product-promise": { "all": "all", "testedAndGuaranteed": "tested", "guaranteed": "expected", "predicted": "predicted", "notRecommended": "not-recommended" } }, "values": { "Human": { "IHCP-species-checked": "testedAndGuaranteed", "IHCP-species-dilution-info": "", "IHCP-species-notes": "<p></p>", "IP-species-checked": "testedAndGuaranteed", "IP-species-dilution-info": "", "IP-species-notes": "<p></p>", "FlowCytIntra-species-checked": "testedAndGuaranteed", "FlowCytIntra-species-dilution-info": "", "FlowCytIntra-species-notes": "<p></p>", "ICCIF-species-checked": "testedAndGuaranteed", "ICCIF-species-dilution-info": "", "ICCIF-species-notes": "<p></p>", "WB-species-checked": "testedAndGuaranteed", "WB-species-dilution-info": "", "WB-species-notes": "<p></p>" }, "Mouse": { "IHCP-species-checked": "testedAndGuaranteed", "IHCP-species-dilution-info": "", "IHCP-species-notes": "<p></p>", "IP-species-checked": "testedAndGuaranteed", "IP-species-dilution-info": "", "IP-species-notes": "<p></p>", "FlowCytIntra-species-checked": "testedAndGuaranteed", "FlowCytIntra-species-dilution-info": "", "FlowCytIntra-species-notes": "<p></p>", "ICCIF-species-checked": "testedAndGuaranteed", "ICCIF-species-dilution-info": "", "ICCIF-species-notes": "<p></p>", "WB-species-checked": "testedAndGuaranteed", "WB-species-dilution-info": "", "WB-species-notes": "<p></p>" }, "Rat": { "IHCP-species-checked": "testedAndGuaranteed", "IHCP-species-dilution-info": "", "IHCP-species-notes": "<p></p>", "IP-species-checked": "guaranteed", "IP-species-dilution-info": "", "IP-species-notes": "", "FlowCytIntra-species-checked": "guaranteed", "FlowCytIntra-species-dilution-info": "", "FlowCytIntra-species-notes": "<p></p>", "ICCIF-species-checked": "guaranteed", "ICCIF-species-dilution-info": "", "ICCIF-species-notes": "", "WB-species-checked": "testedAndGuaranteed", "WB-species-dilution-info": "", "WB-species-notes": "<p></p>" } } }

Product details

Patented technology
Our RabMAb® technology is a patented hybridoma-based technology for making rabbit monoclonal antibodies. For details on our patents, please refer to RabMAb® patents.

What are the advantages of a recombinant monoclonal antibody?
This product is a recombinant monoclonal antibody, which offers several advantages including:

  • - High batch-to-batch consistency and reproducibility
  • - Improved sensitivity and specificity
  • - Long-term security of supply
  • - Animal-free batch production

For more information, read more on recombinant antibodies.

Conjugation ready
Our carrier-free antibodies are typically supplied in a PBS-only formulation, purified and free of BSA, sodium azide and glycerol. This conjugation-ready format is designed for use with fluorochromes, metal isotopes, oligonucleotides, and enzymes, which makes them ideal for antibody labelling, functional and cell-based assays, flow-based assays (e.g. mass cytometry) and Multiplex Imaging applications.

Use our conjugation kits for antibody conjugates that are ready-to-use in as little as 20 minutes with 1 minute hands-on-time and 100% antibody recovery: available for fluorescent dyes, HRP, biotin and gold.

Compatibility
This product is compatible with the Maxpar® Antibody Labeling Kit from Fluidigm, without the need for antibody preparation. Maxpar® is a trademark of Fluidigm Canada Inc.

Properties and storage information

Form
Liquid
Purification technique
Affinity purification Protein A
Storage buffer
pH: 7.2 - 7.4 Constituents: PBS
Shipped at conditions
Blue Ice
Appropriate short-term storage conditions
+4°C
Appropriate long-term storage conditions
+4°C

Supplementary information

This supplementary information is collated from multiple sources and compiled automatically.

MTHFD2 also known as methylenetetrahydrofolate dehydrogenase (NADP+ dependent) 2 is an enzyme with a mass of approximately 36 kDa. It catalyzes the conversion of methylenetetrahydrofolate to methenyltetrahydrofolate using NADP+ as a cofactor. MTHFD2 is a mitochondrial protein and is highly expressed in embryonic tissues and various cancers while showing low expression in normal adult tissues. This differential expression makes it an interesting target for cancer research.
Biological function summary

Methylenetetrahydrofolate dehydrogenase plays an important role in folate metabolism contributing to the one-carbon metabolic pathway. MTHFD2 is part of the tetrahydrofolate (THF) complex critical for DNA synthesis and repair. The enzyme supports the production of nucleotides and amino acids by providing necessary one-carbon units linking it to rapid cellular proliferation as seen in cancerous cells.

Pathways

MTHFD2 is key in connecting the folate-mediated one-carbon metabolic network to the central metabolism. It is involved in the metabolic pathways that synthesize purines and thymidylate. In these networks MTHFD2 interacts with proteins such as SHMT2 (serine hydroxymethyltransferase 2) facilitating serine to glycine conversion which is important for the provision of one-carbon donors for methylation reactions.

The upregulation of MTHFD2 strongly associates with various cancers including breast and colorectal cancers. The involvement of MTHFD2 in these cancers indicates its potential as a biomarker and therapeutic target. Through cancer-related pathways MTHFD2 shows a connection to enzymes such as ALDH1L2 (aldehyde dehydrogenase 1 family member L2) which also participates in folate metabolism and influences cancer progression.

Product protocols

For this product, it's our understanding that no specific protocols are required. You can visit:

Target data

Although its dehydrogenase activity is NAD-specific, it can also utilize NADP at a reduced efficiency.
See full target information MTHFD2

Product promise

We are committed to supporting your work with high-quality reagents, and we're here for you every step of the way. In the unlikely event that one of our products does not perform as expected, you're protected by our Product Promise.
For full details, please see our Terms & Conditions

Please note: All products are 'FOR RESEARCH USE ONLY. NOT FOR USE IN DIAGNOSTIC OR THERAPEUTIC PROCEDURES'.

For licensing inquiries, please contact partnerships@abcam.com