JavaScript is disabled in your browser. Please enable JavaScript to view this website.
AB203786

Anti-MTHFR antibody [EPR19781]

Be the first to review this product! Submit a review

|

(7 Publications)

Rabbit Recombinant Monoclonal MTHFR antibody. Suitable for IP, WB, ICC/IF, IHC-P and reacts with Human, Mouse samples. Cited in 7 publications.

View Alternative Names

Methylenetetrahydrofolate reductase (NADPH), MTHFR

8 Images
Immunocytochemistry/ Immunofluorescence - Anti-MTHFR antibody [EPR19781] (AB203786)
  • ICC/IF

Supplier Data

Immunocytochemistry/ Immunofluorescence - Anti-MTHFR antibody [EPR19781] (AB203786)

Immunofluorescent analysis of 4% paraformaldehyde-fixed 0.1% Triton X-100 permeabilized Jurkat (Human T cell leukemia cell line from peripheral blood) cells labeling MTHFR with ab203786 at 1/100 dilution followed by Goat Anti-Rabbit IgG (Alexa Fluor® 488) (ab150077) secondary antibody at 1/1000 dilution (green).

Confocal image showing cytoplasmic staining on Jurkat cell line.

The nuclear counterstain is DAPI (blue).

Tubulin is detected with Anti-alpha Tubulin antibody [DM1A] - Loading Control (ab7291) at 1/1000 dilution and Goat Anti-Mouse IgG H&L (Alexa Fluor® 594) preadsorbed (ab150120) at 1/1000 dilution (red).

The negative controls are as follows : -

-ve control 1 : ab203786 at 1/100 dilution followed by ab150120 at 1/1000 dilution.

-ve control 2 : ab7291 at 1/1000 dilution followed by ab150077 at 1/1000 dilution.

Immunohistochemistry (Formalin/PFA-fixed paraffin-embedded sections) - Anti-MTHFR antibody [EPR19781] (AB203786)
  • IHC-P

Lab

Immunohistochemistry (Formalin/PFA-fixed paraffin-embedded sections) - Anti-MTHFR antibody [EPR19781] (AB203786)

Immunohistochemical analysis of paraffin-embedded Human thyroid carcinoma tissue labeling MTHFR with ab203786 at 1/1000 (0.509 µg/mL) dilution followed by a ready to use Rabbit specific IHC polymer detection kit HRP/DAB (ab209101). Cytoplasmic staining on human thyroid carcinoma. The section was incubated with ab203786 for 30 minutes at room temperature. The immunostaining was performed on a Leica Biosystems BOND® RX instrument Counterstained with Hematoxylin.

Secondary antibody only control : Secondary antibody is a ready to use Rabbit specific IHC polymer detection kit HRP/DAB (ab209101).

Heat mediated antigen retrieval with Tris-EDTA buffer (pH 9.0, epitope retrieval solution) for 20 minutes.

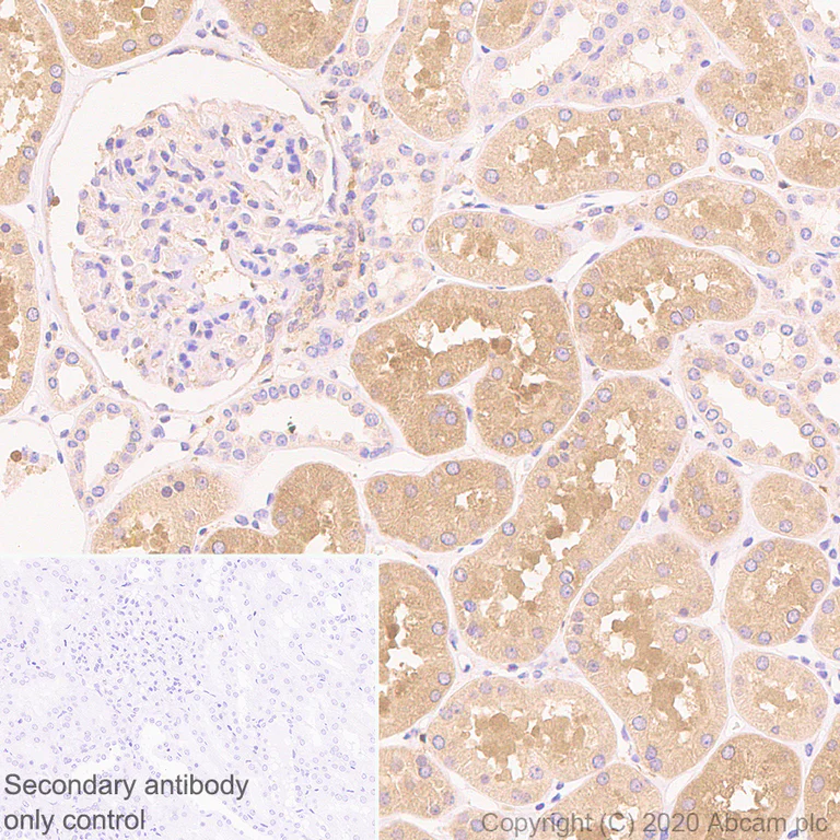
Immunohistochemistry (Formalin/PFA-fixed paraffin-embedded sections) - Anti-MTHFR antibody [EPR19781] (AB203786)
  • IHC-P

Lab

Immunohistochemistry (Formalin/PFA-fixed paraffin-embedded sections) - Anti-MTHFR antibody [EPR19781] (AB203786)

Immunohistochemical analysis of paraffin-embedded Human kidney tissue labeling MTHFR with ab203786 at 1/1000 (0.509 µg/mL) dilution followed by a ready to use Rabbit specific IHC polymer detection kit HRP/DAB (ab209101). Cytoplasmic staining on human kidney. The section was incubated with ab203786 for 30 minutes at room temperature. The immunostaining was performed on a Leica Biosystems BOND® RX instrument Counterstained with Hematoxylin.

Secondary antibody only control : Secondary antibody is a ready to use Rabbit specific IHC polymer detection kit HRP/DAB (ab209101).

Heat mediated antigen retrieval with Tris-EDTA buffer (pH 9.0, epitope retrieval solution) for 20 minutes.

Immunocytochemistry/ Immunofluorescence - Anti-MTHFR antibody [EPR19781] (AB203786)
  • ICC/IF

Supplier Data

Immunocytochemistry/ Immunofluorescence - Anti-MTHFR antibody [EPR19781] (AB203786)

Immunofluorescent analysis of 4% paraformaldehyde-fixed 0.1% Triton X-100 permeabilized RAW 264.7 (Mouse macrophage cell line transformed with Abelson murine leukemia virus) cells labeling MTHFR with ab203786 at 1/100 dilution followed by Goat Anti-Rabbit IgG (Alexa Fluor® 488) (ab150077) secondary antibody at 1/1000 dilution (green).

Confocal image showing cytoplasmic staining on RAW 264.7 cell line.

The nuclear counterstain is DAPI (blue).

Tubulin is detected with Anti-alpha Tubulin antibody [DM1A] - Loading Control (ab7291) at 1/1000 dilution and Goat Anti-Mouse IgG H&L (Alexa Fluor® 594) preadsorbed (ab150120) at 1/1000 dilution (red).

The negative controls are as follows : -

-ve control 1 : ab203786 at 1/100 dilution followed by ab150120 at 1/1000 dilution.

-ve control 2 : ab7291 at 1/1000 dilution followed by ab150077 at 1/1000 dilution.

Western blot - Anti-MTHFR antibody [EPR19781] (AB203786)
  • WB

Supplier Data

Western blot - Anti-MTHFR antibody [EPR19781] (AB203786)

Blocking/Dilution buffer : 5% NFDM/TBST.

Exposure time : Lane 1 : 3 minutes; Lane 2,3 and 4 : 30 seconds.

All lanes:

Western blot - Anti-MTHFR antibody [EPR19781] (ab203786) at 1/1000 dilution

Lane 1:

Human fetal brain lysate at 10 µg

Lane 2:

Human fetal heart lysate at 10 µg

Lane 3:

Human fetal kidney lysate at 10 µg

Lane 4:

Human spleen lysate at 10 µg

Secondary

All lanes:

Goat Anti-Rabbit IgG Peroxidase Conjugate, specific to the non-reduced form of IgG at 1/10000 dilution

Predicted band size: 35 kDa,75 kDa

Observed band size: 75 kDa

false

Western blot - Anti-MTHFR antibody [EPR19781] (AB203786)
  • WB

Supplier Data

Western blot - Anti-MTHFR antibody [EPR19781] (AB203786)

Blocking/Dilution buffer : 5% NFDM/TBST.

Lanes 1 - 3:

Western blot - Anti-MTHFR antibody [EPR19781] (ab203786) at 1/1000 dilution

Lanes 4 - 5:

Western blot - Anti-MTHFR antibody [EPR19781] (ab203786) at 1/5000 dilution

Lane 1:

Jurkat (Human T cell leukemia cell line from peripheral blood) whole cell lysate at 20 µg

Lane 2:

HT-29 (Human colorectal adenocarcinoma cell line) whole cell lysate at 20 µg

Lane 3:

Human fetal liver tissue lysate at 20 µg

Lane 4:

HEK-293 (Human epithelial cell line from embryonic kidney) whole cell lysate at 20 µg

Lane 5:

Mouse placenta tissue lysate at 20 µg

Secondary

All lanes:

Western blot - Goat Anti-Rabbit IgG H&L (HRP) (<a href='/en-us/products/secondary-antibodies/goat-rabbit-igg-h-l-hrp-ab97051'>ab97051</a>) at 1/100000 dilution

Predicted band size: 75 kDa

Observed band size: 75 kDa

false

Exposure time: 3min

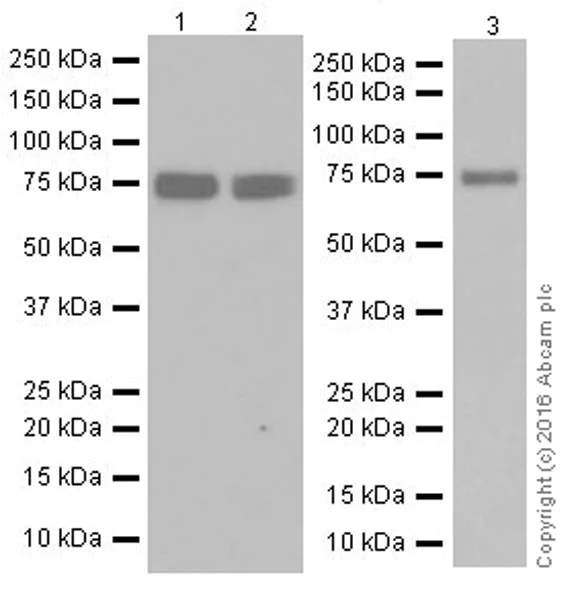
Western blot - Anti-MTHFR antibody [EPR19781] (AB203786)
  • WB

Supplier Data

Western blot - Anti-MTHFR antibody [EPR19781] (AB203786)

Blocking/Dilution buffer : 5% NFDM/TBST.

All lanes:

Western blot - Anti-MTHFR antibody [EPR19781] (ab203786) at 1/1000 dilution

Lane 1:

RAW 264.7 (Mouse macrophage cell line transformed with Abelson murine leukemia virus) whole cell lysate at 20 µg

Lane 2:

NIH/3T3 (Mouse embryonic fibroblast cell line) whole cell lysate at 20 µg

Lane 3:

Mouse kidney tissue lysate at 20 µg

Secondary

All lanes:

Western blot - Goat Anti-Rabbit IgG H&L (HRP) (<a href='/en-us/products/secondary-antibodies/goat-rabbit-igg-h-l-hrp-ab97051'>ab97051</a>) at 1/100000 dilution

Predicted band size: 42 kDa,45 kDa,75 kDa

Observed band size: 42 kDa,75 kDa,90-120 kDa

false

Exposure time: 3min

Immunoprecipitation - Anti-MTHFR antibody [EPR19781] (AB203786)
  • IP

Supplier Data

Immunoprecipitation - Anti-MTHFR antibody [EPR19781] (AB203786)

MTHFR was immunoprecipitated from 0.35mg of HT-29 (Human colorectal adenocarcinoma cell line) whole cell lysate with ab203786 at 1/30 dilution.

Western blot was performed from the immunoprecipitate using ab203786 at 1/500 dilution.

VeriBlot for IP Detection Reagent (HRP) (ab131366), was used for detection at 1/1000 dilution.

Lane 1 : HT-29 whole cell lysate, 10μg (Input).

Lane 2 : ab203786 IP in HT-29 whole cell lysate.

Lane 3 : Rabbit IgG, monoclonal [EPR25A] - Isotype Control (ab172730) instead of ab203786 in HT-29 whole cell lysate.

Blocking and dilution buffer and concentration : 5% NFDM/TBST.

Exposure time : 10 seconds.

All lanes:

Immunoprecipitation - Anti-MTHFR antibody [EPR19781] (ab203786)

Predicted band size: 75 kDa

false

Key facts

Host species

Rabbit

Clonality

Monoclonal

Clone number

EPR19781

Isotype

IgG

Carrier free

No

Reacts with

Mouse, Human

Applications

IP, IHC-P, ICC/IF, WB

applications

Immunogen

The exact immunogen used to generate this antibody is proprietary information.

Reactivity data

{ "title": "Reactivity Data", "filters": { "stats": ["", "Species", "Dilution Info", "Notes"], "tabs": { "all-applications": {"fullname" : "All Applications", "shortname": "All Applications"}, "IP" : {"fullname" : "Immunoprecipitation", "shortname":"IP"}, "WB" : {"fullname" : "Western blot", "shortname":"WB"}, "ICCIF" : {"fullname" : "Immunocytochemistry/ Immunofluorescence", "shortname":"ICC/IF"}, "IHCP" : {"fullname" : "Immunohistochemistry (Formalin/PFA-fixed paraffin-embedded sections)", "shortname":"IHC-P"} }, "product-promise": { "all": "all", "testedAndGuaranteed": "tested", "guaranteed": "expected", "predicted": "predicted", "notRecommended": "not-recommended" } }, "values": { "Human": { "IP-species-checked": "testedAndGuaranteed", "IP-species-dilution-info": "1/30", "IP-species-notes": "<p>Note that mouse was not tested in IP but is predicted to react.</p>", "WB-species-checked": "testedAndGuaranteed", "WB-species-dilution-info": "1/1000", "WB-species-notes": "<p></p>", "ICCIF-species-checked": "testedAndGuaranteed", "ICCIF-species-dilution-info": "1/100", "ICCIF-species-notes": "<p></p>", "IHCP-species-checked": "testedAndGuaranteed", "IHCP-species-dilution-info": "", "IHCP-species-notes": "<p></p>" }, "Mouse": { "IP-species-checked": "guaranteed", "IP-species-dilution-info": "", "IP-species-notes": "", "WB-species-checked": "testedAndGuaranteed", "WB-species-dilution-info": "1/1000", "WB-species-notes": "<p></p>", "ICCIF-species-checked": "testedAndGuaranteed", "ICCIF-species-dilution-info": "1/100", "ICCIF-species-notes": "<p></p>", "IHCP-species-checked": "notRecommended", "IHCP-species-dilution-info": "", "IHCP-species-notes": "<p></p>" }, "Rat": { "IP-species-checked": "notRecommended", "IP-species-dilution-info": "", "IP-species-notes": "", "WB-species-checked": "notRecommended", "WB-species-dilution-info": "", "WB-species-notes": "", "ICCIF-species-checked": "notRecommended", "ICCIF-species-dilution-info": "", "ICCIF-species-notes": "", "IHCP-species-checked": "notRecommended", "IHCP-species-dilution-info": "", "IHCP-species-notes": "<p></p>" } } }

Product details

Patented technology
Our RabMAb® technology is a patented hybridoma-based technology for making rabbit monoclonal antibodies. For details on our patents, please refer to RabMAb® patents.

What are the advantages of a recombinant monoclonal antibody?
This product is a recombinant monoclonal antibody, which offers several advantages including:

  • - High batch-to-batch consistency and reproducibility
  • - Improved sensitivity and specificity
  • - Long-term security of supply
  • - Animal-free batch production

For more information, read more on recombinant antibodies.

Properties and storage information

Form
Liquid
Purification technique
Affinity purification Protein A
Storage buffer
pH: 7.2 - 7.4 Preservative: 0.01% Sodium azide Constituents: PBS, 40% Glycerol (glycerin, glycerine), 0.05% BSA
Shipped at conditions
Blue Ice
Appropriate short-term storage duration
1-2 weeks
Appropriate short-term storage conditions
+4°C
Appropriate long-term storage conditions
-20°C
Aliquoting information
Upon delivery aliquot
Storage information
Avoid freeze / thaw cycle

Supplementary information

This supplementary information is collated from multiple sources and compiled automatically.

The 'MTHFR' protein also known as methylenetetrahydrofolate reductase plays an important role in folate metabolism by catalyzing the reduction of 510-methylenetetrahydrofolate to 5-methyltetrahydrofolate. This enzyme has a mass of approximately 70 kDa and is expressed in various tissues including liver kidney and brain. It exists primarily in the cytoplasm where it performs its enzymatic functions critical for cellular metabolism.
Biological function summary

Methylenetetrahydrofolate reductase is essential in the process of transferring one-carbon units especially in the synthesis of the amino acid methionine and the methylation of DNA. This enzyme does not form part of a larger protein complex but operates independently in the folate cycle. Its activity directly influences homocysteine levels within the cell with alterations in its function affecting many metabolic processes.

Pathways

Methylenetetrahydrofolate reductase is an important component of the folate and methionine cycles significant in the remethylation of homocysteine to methionine. These pathways intersect with transmethylation and nucleotide synthesis essential for cell functions and replication. It interacts with proteins like methionine synthase and cystathionine beta-synthase which further demonstrate the enzyme's importance in maintaining cellular homeostasis.

Methylenetetrahydrofolate reductase deficiency or mutations often lead to hyperhomocysteinemia and have been associated with cardiovascular diseases and neurological disorders. Mutations in this enzyme can alter its efficiency leading to the accumulation of homocysteine. This has connections with proteins such as methionine synthase where impaired functioning due to MTHFR mutation can exacerbate the disruption of homocysteine metabolism contributing to disease states.

Product protocols

For this product, it's our understanding that no specific protocols are required. You can visit:

Target data

Catalyzes the conversion of 5,10-methylenetetrahydrofolate to 5-methyltetrahydrofolate, a cosubstrate for homocysteine remethylation to methionine (PubMed : 29891918). Represents a key regulatory connection between the folate and methionine cycles (Probable).
See full target information MTHFR

Publications (7)

Recent publications for all applications. Explore the full list and refine your search

Cell death & disease 14:525 PubMed37582769

2023

Methionine orchestrates the metabolism vulnerability in cisplatin resistant bladder cancer microenvironment.

Applications

Unspecified application

Species

Unspecified reactive species

Chen Yang,Yuxi Ou,Quan Zhou,Yingchun Liang,Weijian Li,Yiling Chen,Wensun Chen,Siqi Wu,Yifan Chen,Xiyu Dai,Xinan Chen,Tian Chen,Shengming Jin,Yufei Liu,Limin Zhang,Shenghua Liu,Yun Hu,Lujia Zou,Shanhua Mao,Haowen Jiang

Acta pharmaceutica Sinica. B 13:4273-4290 PubMed37799388

2023

Use of recombinant microRNAs as antimetabolites to inhibit human non-small cell lung cancer.

Applications

Unspecified application

Species

Unspecified reactive species

Yixin Chen,Mei-Juan Tu,Fangwei Han,Zhenzhen Liu,Neelu Batra,Primo N Lara,Hong-Wu Chen,Huichang Bi,Ai-Ming Yu

Cells 11: PubMed36291153

2022

Intracellular Metabolomics Identifies Efflux Transporter Inhibitors in a Routine Caco-2 Cell Permeability Assay-Biological Implications.

Applications

Unspecified application

Species

Unspecified reactive species

Afia Naseem,Akos Pal,Sharon Gowan,Yasmin Asad,Adam Donovan,Csilla Temesszentandrási-Ambrus,Emese Kis,Zsuzsanna Gaborik,Gurdip Bhalay,Florence Raynaud

Cellular and molecular life sciences : CMLS 79:553 PubMed36251090

2022

A plant-based mutant huntingtin model-driven discovery of impaired expression of GTPCH and DHFR.

Applications

Unspecified application

Species

Unspecified reactive species

Chiu-Yueh Hung,Chuanshu Zhu,Farooqahmed S Kittur,Maotao He,Erland Arning,Jianhui Zhang,Asia J Johnson,Gurpreet S Jawa,Michelle D Thomas,Tomas T Ding,Jiahua Xie

Zygote (Cambridge, England) 30:674-688 PubMed35652653

2022

5,10-Methylenetetrahydrofolate reductase becomes phosphorylated during meiotic maturation in mouse oocytes.

Applications

Unspecified application

Species

Unspecified reactive species

Kyla Young,Allison K Tscherner,Baohua Zhang,Megan Meredith,Taylor McClatchie,Jacquetta M Trasler,Jay M Baltz

Journal of assisted reproduction and genetics 37:1807-1814 PubMed32767205

2020

Embryonic MTHFR contributes to blastocyst development.

Applications

Unspecified application

Species

Unspecified reactive species

Hiroki Ishitani,Shuntaro Ikeda,Kai Egashira,Miki Sugimoto,Shinichi Kume,Naojiro Minami,Takeshi Ohta

Scientific reports 6:36290 PubMed27819322

2016

MTHFR c.677C>T Inhibits Cell Proliferation and Decreases Prostate Cancer Susceptibility in the Han Chinese Population in Shanghai.

Applications

WB

Species

Human

Jun-Long Wu,Shu-Xian Zhou,Rui Zhao,Xuan Zhang,Kun Chang,Cheng-Yuan Gu,Hua-Lei Gan,Bo Dai,Yao Zhu,Hai-Liang Zhang,Guo-Hai Shi,Yuan-Yuan Qu,Jian-Yuan Zhao,Ding-Wei Ye
View all publications

Product promise

We are committed to supporting your work with high-quality reagents, and we're here for you every step of the way. In the unlikely event that one of our products does not perform as expected, you're protected by our Product Promise.
For full details, please see our Terms & Conditions

Please note: All products are 'FOR RESEARCH USE ONLY. NOT FOR USE IN DIAGNOSTIC OR THERAPEUTIC PROCEDURES'.

For licensing inquiries, please contact partnerships@abcam.com