JavaScript is disabled in your browser. Please enable JavaScript to view this website.
AB251399

Anti-MTHFR antibody [EPR19781] - BSA and Azide free

Be the first to review this product! Submit a review

|

(1 Publication)

Rabbit Recombinant Monoclonal MTHFR antibody. Carrier free. Suitable for ICC/IF, IP, WB, IHC-P and reacts with Mouse, Human samples. Cited in 1 publication.

View Alternative Names

Methylenetetrahydrofolate reductase (NADPH), MTHFR

8 Images
Immunohistochemistry (Formalin/PFA-fixed paraffin-embedded sections) - Anti-MTHFR antibody [EPR19781] - BSA and Azide free (AB251399)
  • IHC-P

Lab

Immunohistochemistry (Formalin/PFA-fixed paraffin-embedded sections) - Anti-MTHFR antibody [EPR19781] - BSA and Azide free (AB251399)

This data was developed using ab203786, the same antibody clone in a different buffer formulation.

Immunohistochemical analysis of paraffin-embedded Human thyroid carcinoma tissue labeling MTHFR with ab203786 at 1/1000 (0.509 µg/mL) dilution followed by a ready to use Rabbit specific IHC polymer detection kit HRP/DAB (ab209101). Cytoplasmic staining on human thyroid carcinoma. The section was incubated with ab203786 for 30 minutes at room temperature. The immunostaining was performed on a Leica Biosystems BOND® RX instrument Counterstained with Hematoxylin.

Secondary antibody only control : Secondary antibody is a ready to use Rabbit specific IHC polymer detection kit HRP/DAB (ab209101).

Heat mediated antigen retrieval with Tris-EDTA buffer (pH 9.0, epitope retrieval solution) for 20 minutes.

Immunocytochemistry/ Immunofluorescence - Anti-MTHFR antibody [EPR19781] - BSA and Azide free (AB251399)
  • ICC/IF

Supplier Data

Immunocytochemistry/ Immunofluorescence - Anti-MTHFR antibody [EPR19781] - BSA and Azide free (AB251399)

This data was developed using ab203786, the same antibody clone in a different buffer formulation.

Immunofluorescent analysis of 4% paraformaldehyde-fixed, 0.1% Triton X-100 permeabilized Jurkat (Human T cell leukemia cell line from peripheral blood) cells labeling MTHFR with ab203786 at 1/100 dilution, followed by Goat Anti-Rabbit IgG (Alexa Fluor® 488) (ab150077) secondary antibody at 1/1000 dilution (green).

Confocal image showing cytoplasmic staining on Jurkat cell line.

The nuclear counterstain is DAPI (blue).

Tubulin is detected with Anti-alpha Tubulin antibody [DM1A] - Loading Control (ab7291) at 1/1000 dilution and Goat Anti-Mouse IgG H&L (Alexa Fluor® 594) preadsorbed (ab150120) at 1/1000 dilution (red).

The negative controls are as follows : -

-ve control 1 : ab203786 at 1/100 dilution followed by ab150120 at 1/1000 dilution.

-ve control 2 : ab7291 at 1/1000 dilution followed by ab150077 at 1/1000 dilution.

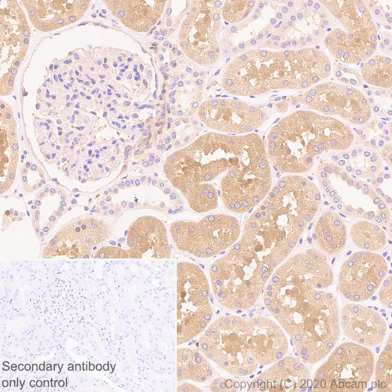
Immunohistochemistry (Formalin/PFA-fixed paraffin-embedded sections) - Anti-MTHFR antibody [EPR19781] - BSA and Azide free (AB251399)
  • IHC-P

Lab

Immunohistochemistry (Formalin/PFA-fixed paraffin-embedded sections) - Anti-MTHFR antibody [EPR19781] - BSA and Azide free (AB251399)

This data was developed using ab203786, the same antibody clone in a different buffer formulation.

Immunohistochemical analysis of paraffin-embedded Human kidney tissue labeling MTHFR with ab203786 at 1/1000 (0.509 µg/mL) dilution followed by a ready to use Rabbit specific IHC polymer detection kit HRP/DAB (ab209101). Cytoplasmic staining on human kidney. The section was incubated with ab203786 for 30 minutes at room temperature. The immunostaining was performed on a Leica Biosystems BOND® RX instrument Counterstained with Hematoxylin.

Secondary antibody only control : Secondary antibody is a ready to use Rabbit specific IHC polymer detection kit HRP/DAB (ab209101).

Heat mediated antigen retrieval with Tris-EDTA buffer (pH 9.0, epitope retrieval solution) for 20 minutes.

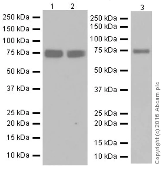
Immunoprecipitation - Anti-MTHFR antibody [EPR19781] - BSA and Azide free (AB251399)
  • IP

Supplier Data

Immunoprecipitation - Anti-MTHFR antibody [EPR19781] - BSA and Azide free (AB251399)

This data was developed using ab203786, the same antibody clone in a different buffer formulation.

MTHFR was immunoprecipitated from 0.35mg of HT-29 (Human colorectal adenocarcinoma cell line) whole cell lysate with ab203786 at 1/30 dilution.

Western blot was performed from the immunoprecipitate using ab203786 at 1/500 dilution.

VeriBlot for IP Detection Reagent (HRP) (ab131366), was used for detection at 1/1000 dilution.

Lane 1 : HT-29 whole cell lysate, 10μg (Input).
Lane 2 : ab203786 IP in HT-29 whole cell lysate.
Lane 3 : Rabbit IgG, monoclonal [EPR25A] - Isotype Control (ab172730) instead of ab203786 in HT-29 whole cell lysate.

Blocking and dilution buffer and concentration : 5% NFDM/TBST.

Exposure time : 10 seconds.

All lanes:

Immunoprecipitation - Anti-MTHFR antibody [EPR19781] (<a href='/en-us/products/primary-antibodies/mthfr-antibody-epr19781-ab203786'>ab203786</a>)

Predicted band size: 75 kDa

false

Immunocytochemistry/ Immunofluorescence - Anti-MTHFR antibody [EPR19781] - BSA and Azide free (AB251399)
  • ICC/IF

Supplier Data

Immunocytochemistry/ Immunofluorescence - Anti-MTHFR antibody [EPR19781] - BSA and Azide free (AB251399)

This data was developed using ab203786, the same antibody clone in a different buffer formulation.

Immunofluorescent analysis of 4% paraformaldehyde-fixed, 0.1% Triton X-100 permeabilized RAW 264.7 (Mouse macrophage cell line transformed with Abelson murine leukemia virus) cells labeling MTHFR with ab203786 at 1/100 dilution, followed by Goat Anti-Rabbit IgG (Alexa Fluor® 488) (ab150077) secondary antibody at 1/1000 dilution (green).

Confocal image showing cytoplasmic staining on RAW 264.7 cell line.

The nuclear counterstain is DAPI (blue).

Tubulin is detected with Anti-alpha Tubulin antibody [DM1A] - Loading Control (ab7291) at 1/1000 dilution and Goat Anti-Mouse IgG H&L (Alexa Fluor® 594) preadsorbed (ab150120) at 1/1000 dilution (red).

The negative controls are as follows : -

-ve control 1 : ab203786 at 1/100 dilution followed by ab150120 at 1/1000 dilution.

-ve control 2 : ab7291 at 1/1000 dilution followed by ab150077 at 1/1000 dilution.

Western blot - Anti-MTHFR antibody [EPR19781] - BSA and Azide free (AB251399)
  • WB

Supplier Data

Western blot - Anti-MTHFR antibody [EPR19781] - BSA and Azide free (AB251399)

This data was developed using ab203786, the same antibody clone in a different buffer formulation.

Blocking and dilution buffer : 5% NFDM/TBST.

Exposure times : Lane 1 : 3 minutes; Lanes 2-4 : 30 seconds.

All lanes:

Western blot - Anti-MTHFR antibody [EPR19781] (<a href='/en-us/products/primary-antibodies/mthfr-antibody-epr19781-ab203786'>ab203786</a>) at 1/1000 dilution

Lane 1:

Human fetal brain lysate at 10 µg

Lane 2:

Human fetal heart lysate at 10 µg

Lane 3:

Human fetal kidney lysate at 10 µg

Lane 4:

Human spleen lysate at 10 µg

Secondary

All lanes:

Goat Anti-Rabbit IgG Peroxidase Conjugate, specific to the non-reduced form of IgG at 1/10000 dilution

Predicted band size: 35 kDa,75 kDa

Observed band size: 75 kDa

false

Western blot - Anti-MTHFR antibody [EPR19781] - BSA and Azide free (AB251399)
  • WB

Supplier Data

Western blot - Anti-MTHFR antibody [EPR19781] - BSA and Azide free (AB251399)

This data was developed using ab203786, the same antibody clone in a different buffer formulation.

Blocking and dilution buffer : 5% NFDM/TBST.

Lanes 1 - 3:

Western blot - Anti-MTHFR antibody [EPR19781] (<a href='/en-us/products/primary-antibodies/mthfr-antibody-epr19781-ab203786'>ab203786</a>) at 1/1000 dilution

Lanes 4 - 5:

Western blot - Anti-MTHFR antibody [EPR19781] (<a href='/en-us/products/primary-antibodies/mthfr-antibody-epr19781-ab203786'>ab203786</a>) at 1/5000 dilution

Lane 1:

Jurkat (Human T cell leukemia cell line from peripheral blood) whole cell lysate at 20 µg

Lane 2:

HT-29 (Human colorectal adenocarcinoma cell line) whole cell lysate at 20 µg

Lane 3:

Human fetal liver tissue lysate at 20 µg

Lane 4:

HEK-293 (Human epithelial cell line from embryonic kidney) whole cell lysate at 20 µg

Lane 5:

Mouse placenta tissue lysate at 20 µg

Secondary

All lanes:

Western blot - Goat Anti-Rabbit IgG H&L (HRP) (<a href='/en-us/products/secondary-antibodies/goat-rabbit-igg-h-l-hrp-ab97051'>ab97051</a>) at 1/100000 dilution

Predicted band size: 75 kDa

Observed band size: 75 kDa

false

Exposure time: 3min

Western blot - Anti-MTHFR antibody [EPR19781] - BSA and Azide free (AB251399)
  • WB

Supplier Data

Western blot - Anti-MTHFR antibody [EPR19781] - BSA and Azide free (AB251399)

This data was developed using ab203786, the same antibody clone in a different buffer formulation.

Blocking and dilution buffer : 5% NFDM/TBST.

All lanes:

Western blot - Anti-MTHFR antibody [EPR19781] (<a href='/en-us/products/primary-antibodies/mthfr-antibody-epr19781-ab203786'>ab203786</a>) at 1/1000 dilution

Lane 1:

RAW 264.7 (Mouse macrophage cell line transformed with Abelson murine leukemia virus) whole cell lysate at 20 µg

Lane 2:

NIH/3T3 (Mouse embryonic fibroblast cell line) whole cell lysate at 20 µg

Lane 3:

Mouse kidney tissue lysate at 20 µg

Secondary

All lanes:

Western blot - Goat Anti-Rabbit IgG H&L (HRP) (<a href='/en-us/products/secondary-antibodies/goat-rabbit-igg-h-l-hrp-ab97051'>ab97051</a>) at 1/100000 dilution

Predicted band size: 42 kDa,45 kDa,75 kDa

Observed band size: 42 kDa,75 kDa,90-120 kDa

false

Exposure time: 3min

Key facts

Host species

Rabbit

Clonality

Monoclonal

Clone number

EPR19781

Isotype

IgG

Carrier free

Yes

Reacts with

Mouse, Human

Applications

IHC-P, ICC/IF, WB, IP

applications

Immunogen

The exact immunogen used to generate this antibody is proprietary information.

Reactivity data

{ "title": "Reactivity Data", "filters": { "stats": ["", "Species", "Dilution Info", "Notes"], "tabs": { "all-applications": {"fullname" : "All Applications", "shortname": "All Applications"}, "ICCIF" : {"fullname" : "Immunocytochemistry/ Immunofluorescence", "shortname":"ICC/IF"}, "IP" : {"fullname" : "Immunoprecipitation", "shortname":"IP"}, "WB" : {"fullname" : "Western blot", "shortname":"WB"}, "IHCP" : {"fullname" : "Immunohistochemistry (Formalin/PFA-fixed paraffin-embedded sections)", "shortname":"IHC-P"} }, "product-promise": { "all": "all", "testedAndGuaranteed": "tested", "guaranteed": "expected", "predicted": "predicted", "notRecommended": "not-recommended" } }, "values": { "Human": { "ICCIF-species-checked": "testedAndGuaranteed", "ICCIF-species-dilution-info": "", "ICCIF-species-notes": "<p></p>", "IP-species-checked": "testedAndGuaranteed", "IP-species-dilution-info": "", "IP-species-notes": "<p>Note that mouse was not tested in IP but is predicted to react.</p>", "WB-species-checked": "testedAndGuaranteed", "WB-species-dilution-info": "", "WB-species-notes": "<p></p>", "IHCP-species-checked": "testedAndGuaranteed", "IHCP-species-dilution-info": "", "IHCP-species-notes": "<p></p>" }, "Mouse": { "ICCIF-species-checked": "testedAndGuaranteed", "ICCIF-species-dilution-info": "", "ICCIF-species-notes": "<p></p>", "IP-species-checked": "guaranteed", "IP-species-dilution-info": "", "IP-species-notes": "", "WB-species-checked": "testedAndGuaranteed", "WB-species-dilution-info": "", "WB-species-notes": "<p></p>", "IHCP-species-checked": "guaranteed", "IHCP-species-dilution-info": "", "IHCP-species-notes": "" } } }

Product details

ab251399 is the carrier-free version of ab203786.

Patented technology
Our RabMAb® technology is a patented hybridoma-based technology for making rabbit monoclonal antibodies. For details on our patents, please refer to RabMAb® patents.

What are the advantages of a recombinant monoclonal antibody?
This product is a recombinant monoclonal antibody, which offers several advantages including:

  • - High batch-to-batch consistency and reproducibility
  • - Improved sensitivity and specificity
  • - Long-term security of supply
  • - Animal-free batch production

For more information, read more on recombinant antibodies.

Conjugation ready
Our carrier-free antibodies are typically supplied in a PBS-only formulation, purified and free of BSA, sodium azide and glycerol. This conjugation-ready format is designed for use with fluorochromes, metal isotopes, oligonucleotides, and enzymes, which makes them ideal for antibody labelling, functional and cell-based assays, flow-based assays (e.g. mass cytometry) and Multiplex Imaging applications.

Use our conjugation kits for antibody conjugates that are ready-to-use in as little as 20 minutes with 1 minute hands-on-time and 100% antibody recovery: available for fluorescent dyes, HRP, biotin and gold.

Compatibility
This product is compatible with the Maxpar® Antibody Labeling Kit from Fluidigm, without the need for antibody preparation. Maxpar® is a trademark of Fluidigm Canada Inc.

Properties and storage information

Form
Liquid
Purification technique
Affinity purification Protein A
Storage buffer
pH: 7.2 - 7.4 Constituents: PBS
Shipped at conditions
Blue Ice
Appropriate short-term storage conditions
+4°C
Appropriate long-term storage conditions
+4°C
Storage information
Do Not Freeze

Supplementary information

This supplementary information is collated from multiple sources and compiled automatically.

The 'MTHFR' protein also known as methylenetetrahydrofolate reductase plays an important role in folate metabolism by catalyzing the reduction of 510-methylenetetrahydrofolate to 5-methyltetrahydrofolate. This enzyme has a mass of approximately 70 kDa and is expressed in various tissues including liver kidney and brain. It exists primarily in the cytoplasm where it performs its enzymatic functions critical for cellular metabolism.
Biological function summary

Methylenetetrahydrofolate reductase is essential in the process of transferring one-carbon units especially in the synthesis of the amino acid methionine and the methylation of DNA. This enzyme does not form part of a larger protein complex but operates independently in the folate cycle. Its activity directly influences homocysteine levels within the cell with alterations in its function affecting many metabolic processes.

Pathways

Methylenetetrahydrofolate reductase is an important component of the folate and methionine cycles significant in the remethylation of homocysteine to methionine. These pathways intersect with transmethylation and nucleotide synthesis essential for cell functions and replication. It interacts with proteins like methionine synthase and cystathionine beta-synthase which further demonstrate the enzyme's importance in maintaining cellular homeostasis.

Methylenetetrahydrofolate reductase deficiency or mutations often lead to hyperhomocysteinemia and have been associated with cardiovascular diseases and neurological disorders. Mutations in this enzyme can alter its efficiency leading to the accumulation of homocysteine. This has connections with proteins such as methionine synthase where impaired functioning due to MTHFR mutation can exacerbate the disruption of homocysteine metabolism contributing to disease states.

Product protocols

For this product, it's our understanding that no specific protocols are required. You can visit:

Target data

Catalyzes the conversion of 5,10-methylenetetrahydrofolate to 5-methyltetrahydrofolate, a cosubstrate for homocysteine remethylation to methionine (PubMed : 29891918). Represents a key regulatory connection between the folate and methionine cycles (Probable).
See full target information MTHFR

Publications (1)

Recent publications for all applications. Explore the full list and refine your search

Nature communications 12:3596 PubMed34155205

2021

ERRγ enhances cardiac maturation with T-tubule formation in human iPSC-derived cardiomyocytes.

Applications

Unspecified application

Species

Unspecified reactive species

Kenji Miki,Kohei Deguchi,Misato Nakanishi-Koakutsu,Antonio Lucena-Cacace,Shigeru Kondo,Yuya Fujiwara,Takeshi Hatani,Masako Sasaki,Yuki Naka,Chikako Okubo,Megumi Narita,Ikue Takei,Stephanie C Napier,Tsukasa Sugo,Sachiko Imaichi,Taku Monjo,Tatsuya Ando,Norihisa Tamura,Kenichi Imahashi,Tomoyuki Nishimoto,Yoshinori Yoshida
View all publications

Product promise

We are committed to supporting your work with high-quality reagents, and we're here for you every step of the way. In the unlikely event that one of our products does not perform as expected, you're protected by our Product Promise.
For full details, please see our Terms & Conditions

Please note: All products are 'FOR RESEARCH USE ONLY. NOT FOR USE IN DIAGNOSTIC OR THERAPEUTIC PROCEDURES'.

For licensing inquiries, please contact partnerships@abcam.com