JavaScript is disabled in your browser. Please enable JavaScript to view this website.
AB134903

Anti-mTOR antibody [EPR390(N)]

  • BOND RX™ Validated
  • RabMAb
  • Recombinant
  • KO Validated
  • Lab Essentials
  • 20ul selling size
  • What is this?

Be the first to review this product! Submit a review

|

(218 Publications)

Anti-mTOR antibody [EPR390(N)] (ab134903) is a rabbit monoclonal antibody detecting mTOR in Western Blot, IHC-P. Suitable for Human, Mouse, Rat.

- KO validated for confirmed specificity
- Biophysical QC for unrivalled batch-batch consistency
- Over 120 publications

View Alternative Names

FRAP, FRAP1, FRAP2, RAFT1, RAPT1, MTOR, Serine/threonine-protein kinase mTOR, FK506-binding protein 12-rapamycin complex-associated protein 1, FKBP12-rapamycin complex-associated protein, Mammalian target of rapamycin, Mechanistic target of rapamycin, Rapamycin and FKBP12 target 1, Rapamycin target protein 1, Tyrosine-protein kinase mTOR, mTOR

8 Images
Immunohistochemistry (Formalin/PFA-fixed paraffin-embedded sections) - Anti-mTOR antibody [EPR390(N)] (AB134903)
  • IHC-P

Lab

Immunohistochemistry (Formalin/PFA-fixed paraffin-embedded sections) - Anti-mTOR antibody [EPR390(N)] (AB134903)

Immunohistochemical analysis of paraffin-embedded A : Wild-type 293T (human embryonic kidney epithelial cell) cell pellet/B : MTOR knockout HEK293T cell pellet labeling mTOR with ab134903 at 1/1000 (2.015 µg/ml) dilution, followed by a ready to use Rabbit specific IHC polymer detection kit HRP/DAB (ab209101).

Positive staining on (A) wild-type 293T cell pellet, no staining on (B) MTOR knockout HEK293T cell pellet. The section was incubated with ab134903 for 30mins at room temperature.
The immunostaining was performed on a Leica Biosystems BOND® RX instrument
Counterstained with hematoxylin.

Secondary antibody only control : Secondary antibody is a ready to use Rabbit specific IHC polymer detection kit HRP/DAB (ab209101).

Heat mediated antigen retrieval was performed with Tris-EDTA buffer (pH 9.0, Epitope Retrieval Solution2) for 20 mins

Immunohistochemistry (Formalin/PFA-fixed paraffin-embedded sections) - Anti-mTOR antibody [EPR390(N)] (AB134903)
  • IHC-P

Lab

Immunohistochemistry (Formalin/PFA-fixed paraffin-embedded sections) - Anti-mTOR antibody [EPR390(N)] (AB134903)

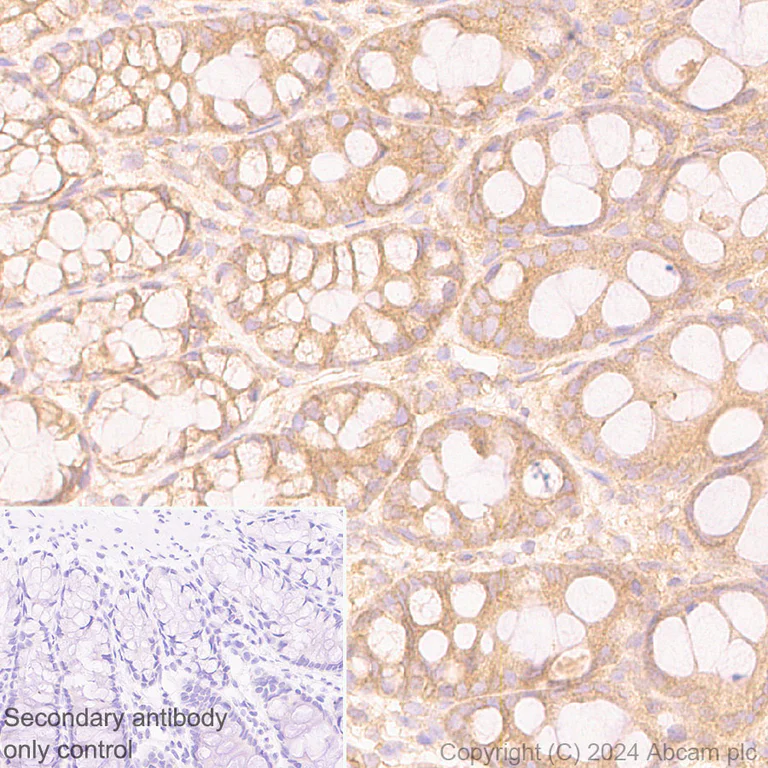
Immunohistochemical analysis of paraffin-embedded Human colon carcinoma tissue labeling mTOR with ab134903 at 1/1000 (2.015 µg/ml) dilution, followed by a ready to use Rabbit specific IHC polymer detection kit HRP/DAB (ab209101).

Positive staining on human colon carcinoma. The section was incubated with ab134903 for 30 mins at room temperature.
The immunostaining was performed on a Leica Biosystems BOND® RX instrument
Counterstained with hematoxylin.

Secondary antibody only control : Secondary antibody is a ready to use Rabbit specific IHC polymer detection kit HRP/DAB (ab209101).

Heat mediated antigen retrieval was performed with Tris-EDTA buffer (pH 9.0, Epitope Retrieval Solution2) for 20 mins

Immunohistochemistry (Formalin/PFA-fixed paraffin-embedded sections) - Anti-mTOR antibody [EPR390(N)] (AB134903)
  • IHC-P

Lab

Immunohistochemistry (Formalin/PFA-fixed paraffin-embedded sections) - Anti-mTOR antibody [EPR390(N)] (AB134903)

Immunohistochemical analysis of paraffin-embedded Rat colon tissue labeling mTOR with ab134903 at 1/1000 (2.015 µg/ml) dilution, followed by a ready to use Rabbit specific IHC polymer detection kit HRP/DAB (ab209101).

Positive staining on rat colon. The section was incubated with ab134903 for 30mins at room temperature.
The immunostaining was performed on a Leica Biosystems BOND® RX instrument
Counterstained with hematoxylin.

Secondary antibody only control : Secondary antibody is a ready to use Rabbit specific IHC polymer detection kit HRP/DAB (ab209101).

Heat mediated antigen retrieval was performed with Tris-EDTA buffer (pH 9.0, Epitope Retrieval Solution2) for 20 mins

Immunohistochemistry (Formalin/PFA-fixed paraffin-embedded sections) - Anti-mTOR antibody [EPR390(N)] (AB134903)
  • IHC-P

Lab

Immunohistochemistry (Formalin/PFA-fixed paraffin-embedded sections) - Anti-mTOR antibody [EPR390(N)] (AB134903)

Immunohistochemical analysis of paraffin-embedded Mouse colon tissue labeling mTOR with ab134903 at 1/1000 (2.015 µg/ml) dilution, followed by a ready to use Rabbit specific IHC polymer detection kit HRP/DAB (ab209101).

Positive staining on mouse colon. The section was incubated with ab134903 for 30mins at room temperature.
The immunostaining was performed on a Leica Biosystems BOND® RX instrument
Counterstained with hematoxylin.

Secondary antibody only control : Secondary antibody is a ready to use Rabbit specific IHC polymer detection kit HRP/DAB (ab209101).

Heat mediated antigen retrieval was performed with Tris-EDTA buffer (pH 9.0, Epitope Retrieval Solution2) for 20 mins

Western blot - Anti-mTOR antibody [EPR390(N)] (AB134903)
  • WB

Unknown

Western blot - Anti-mTOR antibody [EPR390(N)] (AB134903)

All lanes:

Western blot - Anti-mTOR antibody [EPR390(N)] (ab134903) at 1/10000 dilution

Lane 1:

HeLa cell lysate at 10 µg

Lane 2:

K562 cell lysate at 10 µg

Lane 3:

Raji cell lysate at 10 µg

Lane 4:

HepG2 cell lysate at 10 µg

Lane 5:

293T cell lysate at 10 µg

Secondary

All lanes:

HRP-conjugated goat anti-rabbit polyclonal IgG at 1/2000 dilution

Predicted band size: 289 kDa

Observed band size: 289 kDa

false

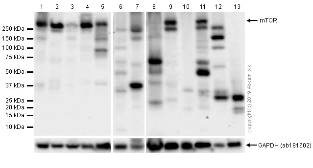
Western blot - Anti-mTOR antibody [EPR390(N)] (AB134903)
  • WB

Lab

Western blot - Anti-mTOR antibody [EPR390(N)] (AB134903)

Blocking buffer and concentration 5% NFDM/TBST
Diluting buffer and concentration 5% NFDM/TBST

Exposure time :
Lane 1 to 5 : 80 seconds
Lane 6 to 13 : 180 seconds

This antibody detects non-specific bands. It doesn't detect the target band in some mouse and rat tissues.

All lanes:

Western blot - Anti-mTOR antibody [EPR390(N)] (ab134903) at 1/1000 dilution

Lane 1:

MCF7 (Human breast adenocarcinoma epithelial cell) whole cell lysates at 20 µg

Lane 2:

HepG2 (Human hepatocellular carcinoma epithelial cell) whole cell lysates at 20 µg

Lane 3:

Human brain lysates at 20 µg

Lane 4:

Mouse brain lysates at 20 µg

Lane 5:

Rat brain lysates at 20 µg

Lane 6:

Human liver lysates at 20 µg

Lane 7:

Mouse liver lysates at 20 µg

Lane 8:

Human heart lysates at 20 µg

Lane 9:

Mouse heart lysates at 20 µg

Lane 10:

Rat heart lysates at 20 µg

Lane 11:

Human kidney lysates at 20 µg

Lane 12:

Mouse kidney lysates at 20 µg

Lane 13:

Rat kidney lysates at 20 µg

Secondary

All lanes:

Western blot - Goat Anti-Rabbit IgG H&L (HRP) (<a href='/en-us/products/secondary-antibodies/goat-rabbit-igg-h-l-hrp-ab97051'>ab97051</a>) at 1/20000 dilution

Predicted band size: 289 kDa

Observed band size: 290 kDa

false

Western blot - Anti-mTOR antibody [EPR390(N)] (AB134903)
  • WB

Lab

Western blot - Anti-mTOR antibody [EPR390(N)] (AB134903)

Lanes 1 - 3 : Merged signal (red and green). Green - ab134903 observed at 289 kDa. Red - loading control, ab130007, observed at 130 kDa.

ab134903 was shown to specifically react with mTOR in wild-type HEK293T cells as signal was lost in MTOR knockout cells. Wild-type and MTOR knockout samples were subjected to SDS-PAGE. ab134903 and ab130007 (Mouse anti-Vinculin loading control) were incubated overnight at 4°C at 1/10000 dilution and 1/20000 dilution respectively. Blots were developed with Goat anti-Rabbit IgG H&L (IRDye® 800CW) preabsorbed ab216773 and Goat anti-Mouse IgG H&L (IRDye® 680RD) preabsorbed ab216776 secondary antibodies at 1/20000 dilution for 1 hour at room temperature before imaging.

All lanes:

Western blot - Anti-mTOR antibody [EPR390(N)] (ab134903) at 1/10000 dilution

Lane 1:

Wild-type HEK293T whole cell lysate at 20 µg

Lane 2:

MTOR knockout HEK293T whole cell lysate at 20 µg

Lane 3:

K562 whole cell lysate at 20 µg

Predicted band size: 289 kDa

false

Western blot - Anti-mTOR antibody [EPR390(N)] (AB134903)
  • WB

Unknown

Western blot - Anti-mTOR antibody [EPR390(N)] (AB134903)

Lanes 1 - 4 : Merged signal (red and green). Green - ab134903 observed at 289 kDa. Red - loading control, ab130007 observed at 125 kDa.

ab134903 was shown to react with mTOR in wild-type HEK-293T cells. Loss of signal was observed when knockout cell line ab255411 (knockout cell lysate ab263789) was used. Wild-type and mTOR knockout samples were subjected to SDS-PAGE. ab134903 and Anti-Vinculin antibody [VIN-54] (ab130007) were incubated overnight at 4°C at 1 in 10000 dilution and 1 in 20000 dilution respectively. Blots were developed with Goat anti-Rabbit IgG H&L (IRDye® 800CW) preadsorbed (ab216773) and Goat anti-Mouse IgG H&L (IRDye® 680RD) preadsorbed (ab216776) secondary antibodies at 1 in 20000 dilution for 1 hour at room temperature before imaging.

All lanes:

Western blot - Anti-mTOR antibody [EPR390(N)] (ab134903) at 1/10000 dilution

Lane 1:

Wild-type HEK-293 cell lysate at 20 µg

Lane 2:

MTOR knockout HEK-293 cell lysate at 20 µg

Lane 2:

Western blot - Human MTOR knockout HEK-293T cell line (<a href='/en-us/products/cell-lines/human-mtor-knockout-hek-293t-cell-line-ab255411'>ab255411</a>)

Lane 3:

Wild-type HEK-293T cell lysate at 20 µg

Lane 4:

MTOR knockout HEK-293T cell lysate at 20 µg

Secondary

All lanes:

Western blot - Goat anti-Rabbit IgG H&L (IRDye® 800CW) preadsorbed (<a href='/en-us/products/secondary-antibodies/goat-rabbit-igg-h-l-irdye-800cw-preadsorbed-ab216773'>ab216773</a>) at 1/20000 dilution

Predicted band size: 289 kDa

Observed band size: 124 kDa,289 kDa

false

  • Carrier free

    Anti-mTOR antibody [EPR390(N)] - BSA and Azide free

Key facts

Host species

Rabbit

Clonality

Monoclonal

Clone number

EPR390(N)

Isotype

IgG

Carrier free

No

Reacts with

Mouse, Rat, Human

Applications

IHC-P, WB

applications

Immunogen

The exact immunogen used to generate this antibody is proprietary information.

Specificity

Expression levels of the target protein vary with sample type and some optimisation may be required.

Reactivity data

{ "title": "Reactivity Data", "filters": { "stats": ["", "Species", "Dilution Info", "Notes"], "tabs": { "all-applications": {"fullname" : "All Applications", "shortname": "All Applications"}, "IP" : {"fullname" : "Immunoprecipitation", "shortname":"IP"}, "FlowCyt" : {"fullname" : "Flow Cytometry", "shortname":"Flow Cyt"}, "WB" : {"fullname" : "Western blot", "shortname":"WB"}, "IHCP" : {"fullname" : "Immunohistochemistry (Formalin/PFA-fixed paraffin-embedded sections)", "shortname":"IHC-P"}, "ICCIF" : {"fullname" : "Immunocytochemistry/ Immunofluorescence", "shortname":"ICC/IF"} }, "product-promise": { "all": "all", "testedAndGuaranteed": "tested", "guaranteed": "expected", "predicted": "predicted", "notRecommended": "not-recommended" } }, "values": { "Human": { "IP-species-checked": "notRecommended", "IP-species-dilution-info": "", "IP-species-notes": "<p></p>", "FlowCyt-species-checked": "notRecommended", "FlowCyt-species-dilution-info": "", "FlowCyt-species-notes": "<p></p>", "WB-species-checked": "testedAndGuaranteed", "WB-species-dilution-info": "1/10000", "WB-species-notes": "<p></p>", "IHCP-species-checked": "testedAndGuaranteed", "IHCP-species-dilution-info": "", "IHCP-species-notes": "<p></p>", "ICCIF-species-checked": "notRecommended", "ICCIF-species-dilution-info": "", "ICCIF-species-notes": "<p></p>" }, "Mouse": { "IP-species-checked": "notRecommended", "IP-species-dilution-info": "", "IP-species-notes": "<p></p>", "FlowCyt-species-checked": "notRecommended", "FlowCyt-species-dilution-info": "", "FlowCyt-species-notes": "<p></p>", "WB-species-checked": "testedAndGuaranteed", "WB-species-dilution-info": "1/10000", "WB-species-notes": "<p></p>", "IHCP-species-checked": "testedAndGuaranteed", "IHCP-species-dilution-info": "", "IHCP-species-notes": "<p></p>", "ICCIF-species-checked": "notRecommended", "ICCIF-species-dilution-info": "", "ICCIF-species-notes": "<p></p>" }, "Rat": { "IP-species-checked": "notRecommended", "IP-species-dilution-info": "", "IP-species-notes": "<p></p>", "FlowCyt-species-checked": "notRecommended", "FlowCyt-species-dilution-info": "", "FlowCyt-species-notes": "<p></p>", "WB-species-checked": "testedAndGuaranteed", "WB-species-dilution-info": "1/10000", "WB-species-notes": "<p></p>", "IHCP-species-checked": "testedAndGuaranteed", "IHCP-species-dilution-info": "", "IHCP-species-notes": "<p></p>", "ICCIF-species-checked": "notRecommended", "ICCIF-species-dilution-info": "", "ICCIF-species-notes": "<p></p>" } } }

Product details

What is this antibody validated in?
Anti-mTOR antibody [EPR390(N)] (ab134903) is a rabbit recombinant monoclonal antibody and is validated for use in Western Blot (WB), Immunohistochemistry (IHC-P) in Human, Mouse, Rat samples.

What is the molecular weight of mTOR?
Anti-mTOR [EPR390(N)] (ab134903) specifically detects a band for mTOR (UniProt: P42345) at a molecular weight of 289kDa.

Trusted by the scientific community
Anti-mTOR [EPR390(N)] (ab134903) was first used in a scientific publication in 2012 and has been cited over 120 times in peer-reviewed journals.

Trial sizes available!
Test your antibody or perform pre-screening before committing to a larger quantity. Sold in 10µl. Discover our selection of trial-size antibodies.

Specificity confirmed
The specificity of Anti-mTOR antibody [EPR390(N)] (ab134903) has been confirmed by Western blot testing in MTOR Knockout HEK293T cells.

Other related products
We have a range of other formats of antibody clone [EPR390(N)] also available for your convenience: ab134903, Carrier free - ab248718

Patented technology
Our RabMAb® technology is a patented hybridoma-based technology for making rabbit monoclonal antibodies. For details on our patents, please refer to RabMAb® patents.

What are the advantages of a recombinant monoclonal antibody?
This product is a recombinant monoclonal antibody, which offers several advantages including:

  • - High batch-to-batch consistency and reproducibility
  • - Improved sensitivity and specificity
  • - Long-term security of supply
  • - Animal-free batch production

For more information, read more on recombinant antibodies.

Properties and storage information

Form
Liquid
Purification technique
Affinity purification Protein A
Storage buffer
pH: 7.2 - 7.4 Preservative: 0.01% Sodium azide Constituents: PBS, 50% Tissue culture supernatant, 40% Glycerol (glycerin, glycerine), 0.05% BSA
Shipped at conditions
Blue Ice
Appropriate short-term storage conditions
+4°C
Appropriate long-term storage conditions
-20°C
Storage information
Stable for 12 months at -20°C

Supplementary information

This supplementary information is collated from multiple sources and compiled automatically.

The mammalian target of rapamycin commonly known as mTOR is a serine/threonine kinase known for its role in cellular growth and metabolism. It has a molecular weight of approximately 289 kDa. mTOR is expressed in various tissues throughout the body including muscle adipose tissue and the brain. The protein functions as a central regulator of cell proliferation protein synthesis and nutrient signaling. Often researchers utilize mTOR ELISA or mTOR western blot (mTOR WB) methods and mTOR antibodies to study its expression and activity in various biological contexts.
Biological function summary

MTOR integrates signals from nutrients growth factors and cellular energy status to maintain cellular homeostasis. It forms part of two distinct complexes mTORC1 and mTORC2 which differ in their component proteins and downstream effects. mTORC1 primarily responds to amino acids and regulates protein synthesis through phosphorylation of key substrates like S6K1. On the other hand mTORC2 is important for maintaining cytoskeletal integrity and cell survival highlighting the protein's importance in diverse cellular processes.

Pathways

MTOR plays a pivotal role in the PI3K/AKT/mTOR pathway which governs cell growth proliferation and survival. It also has implications in the regulation of the AMPK pathway which senses cellular energy levels. Through these pathways mTOR interacts with proteins such as AKT and TSC2. The phospho-mTOR specifically the S2448 phospho-mTOR serves as an important functional marker in these signaling cascades linking extracellular signals to downstream cellular responses.

MTOR has connections to cancer and neurodegenerative diseases. Its dysregulation often leads to uncontrolled cellular proliferation a hallmark of many cancers. Conditions such as tuberous sclerosis can occur due to mutations in proteins like TSC1 and TSC2 that regulate mTOR activity. In Alzheimer's disease mTOR's role in autophagy and protein synthesis becomes significant as imbalance may contribute to disease progression. Understanding these connections highlights the potential of targeting mTOR pathways therapeutically.

Product protocols

For this product, it's our understanding that no specific protocols are required. You can visit:

Target data

Serine/threonine protein kinase which is a central regulator of cellular metabolism, growth and survival in response to hormones, growth factors, nutrients, energy and stress signals (PubMed : 12087098, PubMed : 12150925, PubMed : 12150926, PubMed : 12231510, PubMed : 12718876, PubMed : 14651849, PubMed : 15268862, PubMed : 15467718, PubMed : 15545625, PubMed : 15718470, PubMed : 18497260, PubMed : 18762023, PubMed : 18925875, PubMed : 20516213, PubMed : 20537536, PubMed : 21659604, PubMed : 23429703, PubMed : 23429704, PubMed : 25799227, PubMed : 26018084, PubMed : 29150432, PubMed : 29236692, PubMed : 31112131, PubMed : 31601708, PubMed : 32561715, PubMed : 34519269, PubMed : 37751742). MTOR directly or indirectly regulates the phosphorylation of at least 800 proteins (PubMed : 15268862, PubMed : 15467718, PubMed : 17517883, PubMed : 18372248, PubMed : 18497260, PubMed : 18925875, PubMed : 20516213, PubMed : 21576368, PubMed : 21659604, PubMed : 23429704, PubMed : 30171069, PubMed : 29236692, PubMed : 37751742). Functions as part of 2 structurally and functionally distinct signaling complexes mTORC1 and mTORC2 (mTOR complex 1 and 2) (PubMed : 15268862, PubMed : 15467718, PubMed : 18497260, PubMed : 18925875, PubMed : 20516213, PubMed : 21576368, PubMed : 21659604, PubMed : 23429704, PubMed : 29424687, PubMed : 29567957, PubMed : 35926713). In response to nutrients, growth factors or amino acids, mTORC1 is recruited to the lysosome membrane and promotes protein, lipid and nucleotide synthesis by phosphorylating key regulators of mRNA translation and ribosome synthesis (PubMed : 12087098, PubMed : 12150925, PubMed : 12150926, PubMed : 12231510, PubMed : 12718876, PubMed : 14651849, PubMed : 15268862, PubMed : 15467718, PubMed : 15545625, PubMed : 15718470, PubMed : 18497260, PubMed : 18762023, PubMed : 18925875, PubMed : 20516213, PubMed : 20537536, PubMed : 21659604, PubMed : 23429703, PubMed : 23429704, PubMed : 25799227, PubMed : 26018084, PubMed : 29150432, PubMed : 29236692, PubMed : 31112131, PubMed : 34519269). This includes phosphorylation of EIF4EBP1 and release of its inhibition toward the elongation initiation factor 4E (eiF4E) (PubMed : 24403073, PubMed : 29236692). Moreover, phosphorylates and activates RPS6KB1 and RPS6KB2 that promote protein synthesis by modulating the activity of their downstream targets including ribosomal protein S6, eukaryotic translation initiation factor EIF4B, and the inhibitor of translation initiation PDCD4 (PubMed : 12087098, PubMed : 12150925, PubMed : 18925875, PubMed : 29150432, PubMed : 29236692). Stimulates the pyrimidine biosynthesis pathway, both by acute regulation through RPS6KB1-mediated phosphorylation of the biosynthetic enzyme CAD, and delayed regulation, through transcriptional enhancement of the pentose phosphate pathway which produces 5-phosphoribosyl-1-pyrophosphate (PRPP), an allosteric activator of CAD at a later step in synthesis, this function is dependent on the mTORC1 complex (PubMed : 23429703, PubMed : 23429704). Regulates ribosome synthesis by activating RNA polymerase III-dependent transcription through phosphorylation and inhibition of MAF1 an RNA polymerase III-repressor (PubMed : 20516213). Activates dormant ribosomes by mediating phosphorylation of SERBP1, leading to SERBP1 inactivation and reactivation of translation (PubMed : 36691768). In parallel to protein synthesis, also regulates lipid synthesis through SREBF1/SREBP1 and LPIN1 (PubMed : 23426360). To maintain energy homeostasis mTORC1 may also regulate mitochondrial biogenesis through regulation of PPARGC1A (By similarity). In the same time, mTORC1 inhibits catabolic pathways : negatively regulates autophagy through phosphorylation of ULK1 (PubMed : 32561715). Under nutrient sufficiency, phosphorylates ULK1 at 'Ser-758', disrupting the interaction with AMPK and preventing activation of ULK1 (PubMed : 32561715). Also prevents autophagy through phosphorylation of the autophagy inhibitor DAP (PubMed : 20537536). Also prevents autophagy by phosphorylating RUBCNL/Pacer under nutrient-rich conditions (PubMed : 30704899). Prevents autophagy by mediating phosphorylation of AMBRA1, thereby inhibiting AMBRA1 ability to mediate ubiquitination of ULK1 and interaction between AMBRA1 and PPP2CA (PubMed : 23524951, PubMed : 25438055). mTORC1 exerts a feedback control on upstream growth factor signaling that includes phosphorylation and activation of GRB10 a INSR-dependent signaling suppressor (PubMed : 21659604). Among other potential targets mTORC1 may phosphorylate CLIP1 and regulate microtubules (PubMed : 12231510). The mTORC1 complex is inhibited in response to starvation and amino acid depletion (PubMed : 12150925, PubMed : 12150926, PubMed : 24403073, PubMed : 31695197). The non-canonical mTORC1 complex, which acts independently of RHEB, specifically mediates phosphorylation of MiT/TFE factors MITF, TFEB and TFE3 in the presence of nutrients, promoting their cytosolic retention and inactivation (PubMed : 22343943, PubMed : 22576015, PubMed : 22692423, PubMed : 24448649, PubMed : 32612235, PubMed : 36608670, PubMed : 36697823). Upon starvation or lysosomal stress, inhibition of mTORC1 induces dephosphorylation and nuclear translocation of TFEB and TFE3, promoting their transcription factor activity (PubMed : 22343943, PubMed : 22576015, PubMed : 22692423, PubMed : 24448649, PubMed : 32612235, PubMed : 36608670). The mTORC1 complex regulates pyroptosis in macrophages by promoting GSDMD oligomerization (PubMed : 34289345). MTOR phosphorylates RPTOR which in turn inhibits mTORC1 (By similarity). As part of the mTORC2 complex, MTOR transduces signals from growth factors to pathways involved in proliferation, cytoskeletal organization, lipogenesis and anabolic output (PubMed : 15268862, PubMed : 15467718, PubMed : 24670654, PubMed : 29424687, PubMed : 29567957, PubMed : 35926713). In response to growth factors, mTORC2 phosphorylates and activates AGC protein kinase family members, including AKT (AKT1, AKT2 and AKT3), PKC (PRKCA, PRKCB and PRKCE) and SGK1 (PubMed : 15268862, PubMed : 15467718, PubMed : 21376236, PubMed : 24670654, PubMed : 29424687, PubMed : 29567957, PubMed : 35926713). In contrast to mTORC1, mTORC2 is nutrient-insensitive (PubMed : 15467718). mTORC2 plays a critical role in AKT1 activation by mediating phosphorylation of different sites depending on the context, such as 'Thr-450', 'Ser-473', 'Ser-477' or 'Thr-479', facilitating the phosphorylation of the activation loop of AKT1 on 'Thr-308' by PDPK1/PDK1 which is a prerequisite for full activation (PubMed : 15718470, PubMed : 21376236, PubMed : 24670654, PubMed : 29424687, PubMed : 29567957). mTORC2 also regulates the phosphorylation of SGK1 at 'Ser-422' (PubMed : 18925875). mTORC2 may regulate the actin cytoskeleton, through phosphorylation of PRKCA, PXN and activation of the Rho-type guanine nucleotide exchange factors RHOA and RAC1A or RAC1B (PubMed : 15268862). The mTORC2 complex also phosphorylates various proteins involved in insulin signaling, such as FBXW8 and IGF2BP1 (By similarity). May also regulate insulin signaling by acting as a tyrosine protein kinase that catalyzes phosphorylation of IGF1R and INSR; additional evidence are however required to confirm this result in vivo (PubMed : 26584640). Regulates osteoclastogenesis by adjusting the expression of CEBPB isoforms (By similarity). Plays an important regulatory role in the circadian clock function; regulates period length and rhythm amplitude of the suprachiasmatic nucleus (SCN) and liver clocks (By similarity).
See full target information MTOR

Publications (218)

Recent publications for all applications. Explore the full list and refine your search

Canadian journal of gastroenterology & hepatology 2025:5209381 PubMed41031049

2025

TSPAN7 Functions as an Antitumor Agent Through the STK11/AMPK/mTOR Axis in Colorectal Cancer.

Applications

Unspecified application

Species

Unspecified reactive species

Tao Weng,Fenfen Hong

Global spine journal :21925682251383489 PubMed41001708

2025

Intervention of Rutin and Ochnaflavone in the Attenuation of Neuroinflammation and Neuronal Apoptosis in Spinal Cord Injury.

Applications

Unspecified application

Species

Unspecified reactive species

Tao Yu,Xuhao Yang,Anyuan Dai,Zhihe Yun,Wu Xue,Tianyang Yuan,Xinyu Nie,Inbo Han,Yanting Liu,A O Wang,Qinyi Liu

Brazilian journal of medical and biological research = Revista brasileira de pesquisas medicas e biologica 58:e14766 PubMed40862458

2025

Trifolirhizin improves the hyperproliferation and excessive inflammatory response in human HaCaT keratinocytes and ameliorates skin lesions in psoriasis-like mouse models.

Applications

Unspecified application

Species

Unspecified reactive species

Linyu Zhu,Menger Guo,Ling Wang,Shaomin Chen,Zhiyu Ye,Yuansheng Wu

Iranian journal of biotechnology 23:e4071 PubMed40860046

2025

SP1-Induced LncRNA ZFAS1 Contributes to Cell Proliferation and Migration in Gastric Cancer through AKT/mTOR Signaling.

Applications

Unspecified application

Species

Unspecified reactive species

Ying Li,Yu Wang,Jun Gao,Weiran Xu,Yingkai Wang,Fan Zhang

Reproductive sciences (Thousand Oaks, Calif.) 32:2970-2984 PubMed40789984

2025

Kuntai Capsules Improve Premature Ovarian Failure by Regulating AMPK-Mediated Autophagy.

Applications

Unspecified application

Species

Unspecified reactive species

Xiaomin Ye,Miao Chen,Jiajing Zhong,Haofan Chen,Xinmiao Lin

Dose-response : a publication of International Hormesis Society 23:15593258251349653 PubMed40771730

2025

Ginsenoside Rk1 Enhances Chemosensitivity of Gastric Cancer Through Activating the AMPK/mTOR Pathway.

Applications

Unspecified application

Species

Unspecified reactive species

Yaqin Huang,Jian Wu,Li Zheng,Gen Huang,Bin Li,Lihong Gan,Ling Yao

Journal of cellular and molecular medicine 29:e70729 PubMed40755163

2025

WDFY4 Promotes the Progression of Atherosclerosis by Regulating Ferroptosis Mediated by the LAPTM5/CDC42/mTOR/4EBP1/SLC7A11 Pathway.

Applications

Unspecified application

Species

Unspecified reactive species

Nier Zhong,Xiting Nong,Guang Yang

American journal of cancer research 15:2469-2481 PubMed40667542

2025

Astragalus polysaccharides inhibits nasopharyngeal carcinoma progression through the mediation of the Akt/mTOR pathway and the induction of oxidative stress.

Applications

Unspecified application

Species

Unspecified reactive species

Ruojin Chen,Junyong Chen,Xuan Chen,Shangli Chen,Haiying Jia,Zhi Tang

Journal of food and drug analysis 33:172-178 PubMed40592335

2025

Yiqi Yangyin Tongluo prescription targets lncRNA VIM-AS1 to regulate FOXK2/mTOR to promote autophagy and inhibit renal tubular epithelial cell apoptosis.

Applications

Unspecified application

Species

Unspecified reactive species

Rucui Yu,Ruiying Wu,Tingting Chen,Jingwei Xu

Journal of nanobiotechnology 23:446 PubMed40524154

2025

BPQDs@Lipo-YSA Nanoplatform Triggers Mitophagy via PRKN/AKT1 to Drive Immunogenic Cell Death in Lung Adenocarcinoma.

Applications

Unspecified application

Species

Unspecified reactive species

Li Ai,Zhijuan Liu,Ran Li,Ying Hu,Yongxia Li
View all publications

Product promise

We are committed to supporting your work with high-quality reagents, and we're here for you every step of the way. In the unlikely event that one of our products does not perform as expected, you're protected by our Product Promise.
For full details, please see our Terms & Conditions

Please note: All products are 'FOR RESEARCH USE ONLY. NOT FOR USE IN DIAGNOSTIC OR THERAPEUTIC PROCEDURES'.

For licensing inquiries, please contact partnerships@abcam.com