JavaScript is disabled in your browser. Please enable JavaScript to view this website.
AB131538

Anti-mTOR (phospho S2448) antibody

5

(1 Review)

|

(28 Publications)

Rabbit Polyclonal MTOR phospho S2448 antibody. Suitable for WB, IHC-P, ICC/IF and reacts with Human samples. Cited in 28 publications. Immunogen corresponding to Synthetic Peptide within Human MTOR phospho S2448 conjugated to Keyhole Limpet Haemocyanin.

View Alternative Names

FRAP, FRAP1, FRAP2, RAFT1, RAPT1, MTOR, Serine/threonine-protein kinase mTOR, FK506-binding protein 12-rapamycin complex-associated protein 1, FKBP12-rapamycin complex-associated protein, Mammalian target of rapamycin, Mechanistic target of rapamycin, Rapamycin and FKBP12 target 1, Rapamycin target protein 1, Tyrosine-protein kinase mTOR, mTOR

3 Images
Immunocytochemistry/ Immunofluorescence - Anti-mTOR (phospho S2448) antibody (AB131538)
  • ICC/IF

Unknown

Immunocytochemistry/ Immunofluorescence - Anti-mTOR (phospho S2448) antibody (AB131538)

Immunofluorescence analysis of methanol-fixed MCF cells labelling mTOR (phospho S2448) with ab131538 at 1/100 dilution.

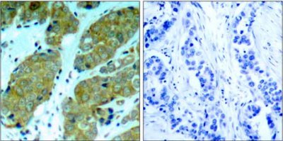
Immunohistochemistry (Formalin/PFA-fixed paraffin-embedded sections) - Anti-mTOR (phospho S2448) antibody (AB131538)
  • IHC-P

Unknown

Immunohistochemistry (Formalin/PFA-fixed paraffin-embedded sections) - Anti-mTOR (phospho S2448) antibody (AB131538)

Immunohistochemical analysis of paraffin-embedded Human breast carcinoma tissue labelling mTOR (phospho S2448) with ab131538 at 1/50 dilution. Right panel was preincubated with blocking peptide.

Western blot - Anti-mTOR (phospho S2448) antibody (AB131538)
  • WB

Unknown

Western blot - Anti-mTOR (phospho S2448) antibody (AB131538)

All lanes:

Western blot - Anti-mTOR (phospho S2448) antibody (ab131538) at 1/500 dilution

Lane 1:

293 cell extract (untreated)

Lane 2:

293 cell extract (PMA-treated)

Predicted band size: 289 kDa

false

Key facts

Host species

Rabbit

Clonality

Polyclonal

Isotype

IgG

Carrier free

No

Reacts with

Human

Applications

WB, IHC-P, ICC/IF

applications

Immunogen

Synthetic Peptide within Human MTOR phospho S2448 conjugated to Keyhole Limpet Haemocyanin. The exact immunogen used to generate this antibody is proprietary information.

P42345

Reactivity data

{ "title": "Reactivity Data", "filters": { "stats": ["", "Species", "Dilution Info", "Notes"], "tabs": { "all-applications": {"fullname" : "All Applications", "shortname": "All Applications"}, "WB" : {"fullname" : "Western blot", "shortname":"WB"}, "IHCP" : {"fullname" : "Immunohistochemistry (Formalin/PFA-fixed paraffin-embedded sections)", "shortname":"IHC-P"}, "ICCIF" : {"fullname" : "Immunocytochemistry/ Immunofluorescence", "shortname":"ICC/IF"} }, "product-promise": { "all": "all", "testedAndGuaranteed": "tested", "guaranteed": "expected", "predicted": "predicted", "notRecommended": "not-recommended" } }, "values": { "Human": { "WB-species-checked": "testedAndGuaranteed", "WB-species-dilution-info": "1/500 - 1/1000", "WB-species-notes": "<p></p>", "IHCP-species-checked": "testedAndGuaranteed", "IHCP-species-dilution-info": "1/50 - 1/100", "IHCP-species-notes": "<p></p>", "ICCIF-species-checked": "testedAndGuaranteed", "ICCIF-species-dilution-info": "1/100 - 1/200", "ICCIF-species-notes": "<p></p>" } } }

Properties and storage information

Form
Liquid
Purification technique
Affinity purification Immunogen
Purification notes
ab131538 was purified by affinity chromatography using epitope-specific phosphopeptide. Non-phosphospecific antibodies were removed by chromatography using non-phosphopeptide.
Storage buffer
pH: 7.4 Preservative: 0.02% Sodium azide Constituents: PBS, 50% Glycerol (glycerin, glycerine), 0.88% Sodium chloride
Shipped at conditions
Blue Ice
Appropriate short-term storage conditions
+4°C
Appropriate long-term storage conditions
-20°C
Storage information
Stable for 12 months at -20°C

Supplementary information

This supplementary information is collated from multiple sources and compiled automatically.

The mammalian target of rapamycin commonly known as mTOR is a serine/threonine kinase known for its role in cellular growth and metabolism. It has a molecular weight of approximately 289 kDa. mTOR is expressed in various tissues throughout the body including muscle adipose tissue and the brain. The protein functions as a central regulator of cell proliferation protein synthesis and nutrient signaling. Often researchers utilize mTOR ELISA or mTOR western blot (mTOR WB) methods and mTOR antibodies to study its expression and activity in various biological contexts.
Biological function summary

MTOR integrates signals from nutrients growth factors and cellular energy status to maintain cellular homeostasis. It forms part of two distinct complexes mTORC1 and mTORC2 which differ in their component proteins and downstream effects. mTORC1 primarily responds to amino acids and regulates protein synthesis through phosphorylation of key substrates like S6K1. On the other hand mTORC2 is important for maintaining cytoskeletal integrity and cell survival highlighting the protein's importance in diverse cellular processes.

Pathways

MTOR plays a pivotal role in the PI3K/AKT/mTOR pathway which governs cell growth proliferation and survival. It also has implications in the regulation of the AMPK pathway which senses cellular energy levels. Through these pathways mTOR interacts with proteins such as AKT and TSC2. The phospho-mTOR specifically the S2448 phospho-mTOR serves as an important functional marker in these signaling cascades linking extracellular signals to downstream cellular responses.

MTOR has connections to cancer and neurodegenerative diseases. Its dysregulation often leads to uncontrolled cellular proliferation a hallmark of many cancers. Conditions such as tuberous sclerosis can occur due to mutations in proteins like TSC1 and TSC2 that regulate mTOR activity. In Alzheimer's disease mTOR's role in autophagy and protein synthesis becomes significant as imbalance may contribute to disease progression. Understanding these connections highlights the potential of targeting mTOR pathways therapeutically.

Product protocols

For this product, it's our understanding that no specific protocols are required. You can visit:

Target data

Serine/threonine protein kinase which is a central regulator of cellular metabolism, growth and survival in response to hormones, growth factors, nutrients, energy and stress signals (PubMed : 12087098, PubMed : 12150925, PubMed : 12150926, PubMed : 12231510, PubMed : 12718876, PubMed : 14651849, PubMed : 15268862, PubMed : 15467718, PubMed : 15545625, PubMed : 15718470, PubMed : 18497260, PubMed : 18762023, PubMed : 18925875, PubMed : 20516213, PubMed : 20537536, PubMed : 21659604, PubMed : 23429703, PubMed : 23429704, PubMed : 25799227, PubMed : 26018084, PubMed : 29150432, PubMed : 29236692, PubMed : 31112131, PubMed : 31601708, PubMed : 32561715, PubMed : 34519269, PubMed : 37751742). MTOR directly or indirectly regulates the phosphorylation of at least 800 proteins (PubMed : 15268862, PubMed : 15467718, PubMed : 17517883, PubMed : 18372248, PubMed : 18497260, PubMed : 18925875, PubMed : 20516213, PubMed : 21576368, PubMed : 21659604, PubMed : 23429704, PubMed : 30171069, PubMed : 29236692, PubMed : 37751742). Functions as part of 2 structurally and functionally distinct signaling complexes mTORC1 and mTORC2 (mTOR complex 1 and 2) (PubMed : 15268862, PubMed : 15467718, PubMed : 18497260, PubMed : 18925875, PubMed : 20516213, PubMed : 21576368, PubMed : 21659604, PubMed : 23429704, PubMed : 29424687, PubMed : 29567957, PubMed : 35926713). In response to nutrients, growth factors or amino acids, mTORC1 is recruited to the lysosome membrane and promotes protein, lipid and nucleotide synthesis by phosphorylating key regulators of mRNA translation and ribosome synthesis (PubMed : 12087098, PubMed : 12150925, PubMed : 12150926, PubMed : 12231510, PubMed : 12718876, PubMed : 14651849, PubMed : 15268862, PubMed : 15467718, PubMed : 15545625, PubMed : 15718470, PubMed : 18497260, PubMed : 18762023, PubMed : 18925875, PubMed : 20516213, PubMed : 20537536, PubMed : 21659604, PubMed : 23429703, PubMed : 23429704, PubMed : 25799227, PubMed : 26018084, PubMed : 29150432, PubMed : 29236692, PubMed : 31112131, PubMed : 34519269). This includes phosphorylation of EIF4EBP1 and release of its inhibition toward the elongation initiation factor 4E (eiF4E) (PubMed : 24403073, PubMed : 29236692). Moreover, phosphorylates and activates RPS6KB1 and RPS6KB2 that promote protein synthesis by modulating the activity of their downstream targets including ribosomal protein S6, eukaryotic translation initiation factor EIF4B, and the inhibitor of translation initiation PDCD4 (PubMed : 12087098, PubMed : 12150925, PubMed : 18925875, PubMed : 29150432, PubMed : 29236692). Stimulates the pyrimidine biosynthesis pathway, both by acute regulation through RPS6KB1-mediated phosphorylation of the biosynthetic enzyme CAD, and delayed regulation, through transcriptional enhancement of the pentose phosphate pathway which produces 5-phosphoribosyl-1-pyrophosphate (PRPP), an allosteric activator of CAD at a later step in synthesis, this function is dependent on the mTORC1 complex (PubMed : 23429703, PubMed : 23429704). Regulates ribosome synthesis by activating RNA polymerase III-dependent transcription through phosphorylation and inhibition of MAF1 an RNA polymerase III-repressor (PubMed : 20516213). Activates dormant ribosomes by mediating phosphorylation of SERBP1, leading to SERBP1 inactivation and reactivation of translation (PubMed : 36691768). In parallel to protein synthesis, also regulates lipid synthesis through SREBF1/SREBP1 and LPIN1 (PubMed : 23426360). To maintain energy homeostasis mTORC1 may also regulate mitochondrial biogenesis through regulation of PPARGC1A (By similarity). In the same time, mTORC1 inhibits catabolic pathways : negatively regulates autophagy through phosphorylation of ULK1 (PubMed : 32561715). Under nutrient sufficiency, phosphorylates ULK1 at 'Ser-758', disrupting the interaction with AMPK and preventing activation of ULK1 (PubMed : 32561715). Also prevents autophagy through phosphorylation of the autophagy inhibitor DAP (PubMed : 20537536). Also prevents autophagy by phosphorylating RUBCNL/Pacer under nutrient-rich conditions (PubMed : 30704899). Prevents autophagy by mediating phosphorylation of AMBRA1, thereby inhibiting AMBRA1 ability to mediate ubiquitination of ULK1 and interaction between AMBRA1 and PPP2CA (PubMed : 23524951, PubMed : 25438055). mTORC1 exerts a feedback control on upstream growth factor signaling that includes phosphorylation and activation of GRB10 a INSR-dependent signaling suppressor (PubMed : 21659604). Among other potential targets mTORC1 may phosphorylate CLIP1 and regulate microtubules (PubMed : 12231510). The mTORC1 complex is inhibited in response to starvation and amino acid depletion (PubMed : 12150925, PubMed : 12150926, PubMed : 24403073, PubMed : 31695197). The non-canonical mTORC1 complex, which acts independently of RHEB, specifically mediates phosphorylation of MiT/TFE factors MITF, TFEB and TFE3 in the presence of nutrients, promoting their cytosolic retention and inactivation (PubMed : 22343943, PubMed : 22576015, PubMed : 22692423, PubMed : 24448649, PubMed : 32612235, PubMed : 36608670, PubMed : 36697823). Upon starvation or lysosomal stress, inhibition of mTORC1 induces dephosphorylation and nuclear translocation of TFEB and TFE3, promoting their transcription factor activity (PubMed : 22343943, PubMed : 22576015, PubMed : 22692423, PubMed : 24448649, PubMed : 32612235, PubMed : 36608670). The mTORC1 complex regulates pyroptosis in macrophages by promoting GSDMD oligomerization (PubMed : 34289345). MTOR phosphorylates RPTOR which in turn inhibits mTORC1 (By similarity). As part of the mTORC2 complex, MTOR transduces signals from growth factors to pathways involved in proliferation, cytoskeletal organization, lipogenesis and anabolic output (PubMed : 15268862, PubMed : 15467718, PubMed : 24670654, PubMed : 29424687, PubMed : 29567957, PubMed : 35926713). In response to growth factors, mTORC2 phosphorylates and activates AGC protein kinase family members, including AKT (AKT1, AKT2 and AKT3), PKC (PRKCA, PRKCB and PRKCE) and SGK1 (PubMed : 15268862, PubMed : 15467718, PubMed : 21376236, PubMed : 24670654, PubMed : 29424687, PubMed : 29567957, PubMed : 35926713). In contrast to mTORC1, mTORC2 is nutrient-insensitive (PubMed : 15467718). mTORC2 plays a critical role in AKT1 activation by mediating phosphorylation of different sites depending on the context, such as 'Thr-450', 'Ser-473', 'Ser-477' or 'Thr-479', facilitating the phosphorylation of the activation loop of AKT1 on 'Thr-308' by PDPK1/PDK1 which is a prerequisite for full activation (PubMed : 15718470, PubMed : 21376236, PubMed : 24670654, PubMed : 29424687, PubMed : 29567957). mTORC2 also regulates the phosphorylation of SGK1 at 'Ser-422' (PubMed : 18925875). mTORC2 may regulate the actin cytoskeleton, through phosphorylation of PRKCA, PXN and activation of the Rho-type guanine nucleotide exchange factors RHOA and RAC1A or RAC1B (PubMed : 15268862). The mTORC2 complex also phosphorylates various proteins involved in insulin signaling, such as FBXW8 and IGF2BP1 (By similarity). May also regulate insulin signaling by acting as a tyrosine protein kinase that catalyzes phosphorylation of IGF1R and INSR; additional evidence are however required to confirm this result in vivo (PubMed : 26584640). Regulates osteoclastogenesis by adjusting the expression of CEBPB isoforms (By similarity). Plays an important regulatory role in the circadian clock function; regulates period length and rhythm amplitude of the suprachiasmatic nucleus (SCN) and liver clocks (By similarity).
See full target information MTOR phospho S2448

Publications (28)

Recent publications for all applications. Explore the full list and refine your search

Nature communications 16:6389 PubMed40640139

2025

Targeting modulation of the choroid plexus blood-CSF barrier and CSF hypersecretion via lipid nanoparticle-mediated co-delivery of siRNA and resveratrol.

Applications

Unspecified application

Species

Unspecified reactive species

Qiguang Wang,Xue Xia,Huan Zhang,Yue Li,Lei Zhu,Yulong Shi,Yuzhao Tang,Jian Cheng,Xuhui Hui,Huile Gao

Open life sciences 19:20220990 PubMed39759103

2025

MFAP5 inhibits the malignant progression of endometrial cancer cells .

Applications

Unspecified application

Species

Unspecified reactive species

Guanying Liang,Zijuan Qi,Chun Du

Nature cell biology 26:181-193 PubMed38177284

2024

FOXO1-mediated lipid metabolism maintains mammalian embryos in dormancy.

Applications

Unspecified application

Species

Unspecified reactive species

Vera A van der Weijden,Maximilian Stötzel,Dhanur P Iyer,Beatrix Fauler,Elzbieta Gralinska,Mohammed Shahraz,David Meierhofer,Martin Vingron,Steffen Rulands,Theodore Alexandrov,Thorsten Mielke,Aydan Bulut-Karslioglu

BMC cancer 23:176 PubMed36809979

2023

MLXIPL promotes the migration, invasion, and glycolysis of hepatocellular carcinoma cells by phosphorylation of mTOR.

Applications

Unspecified application

Species

Unspecified reactive species

Xiaowei Chang,Chang Tian,Yuanyuan Jia,Yu Cai,Pu Yan

Journal of cellular and molecular medicine 27:788-802 PubMed36811277

2023

DNA methylation and miR-92a-3p-mediated repression of HIP1R promotes pancreatic cancer progression by activating the PI3K/AKT pathway.

Applications

Unspecified application

Species

Unspecified reactive species

Sixian Zhu,Huiting Xu,Runzhi Chen,Qian Shen,Dongmei Yang,Hui Peng,Jin Tong,Qiang Fu

Molecular biology reports 50:1437-1446 PubMed36472726

2022

Strontium ion attenuates osteoarthritis through inhibiting senescence and enhancing autophagy in fibroblast-like synoviocytes.

Applications

Unspecified application

Species

Unspecified reactive species

Binghui Liao,Ming Ding,Yingchun Wang,Hu Xu,Lei Shangguan

Cell & bioscience 12:183 PubMed36371321

2022

mTORC1-c-Myc pathway rewires methionine metabolism for HCC progression through suppressing SIRT4 mediated ADP ribosylation of MAT2A.

Applications

Unspecified application

Species

Unspecified reactive species

Liang Zhao,Huizhao Su,Xiaomeng Liu,Hongquan Wang,Yukuan Feng,Yan Wang,Haiqiang Chen,Luo Dai,Shihui Lai,Siqi Xu,Chong Li,Jihui Hao,Bo Tang

Translational oncology 22:101454 PubMed35617811

2022

Suppression of FAM83D Inhibits Glioma Proliferation, Invasion and Migration by Regulating the AKT/mTOR Signaling Pathway.

Applications

Unspecified application

Species

Unspecified reactive species

Xia Li,Cui Sun,Jing Chen,Ji-Fen Ma,Yi-Heng Pan

Bioengineered 13:8478-8489 PubMed35322748

2022

The cancer-testis antigen a-kinase anchor protein 3 facilitates breast cancer progression via activation of the PTEN/PI3K/AKT/mTOR signaling.

Applications

Unspecified application

Species

Unspecified reactive species

Chuan-Hua Zhan,Dong-Shen Ding,Wei Zhang,Hong-Liang Wang,Zhe-Yu Mao,Guo-Jun Liu

Autophagy 18:2459-2480 PubMed35220880

2022

A defective lysophosphatidic acid-autophagy axis increases miscarriage risk by restricting decidual macrophage residence.

Applications

Unspecified application

Species

Unspecified reactive species

Hui-Li Yang,Zhen-Zhen Lai,Jia-Wei Shi,Wen-Jie Zhou,Jie Mei,Jiang-Feng Ye,Tao Zhang,Jian Wang,Jian-Yuan Zhao,Da-Jin Li,Ming-Qing Li
View all publications

Product promise

We are committed to supporting your work with high-quality reagents, and we're here for you every step of the way. In the unlikely event that one of our products does not perform as expected, you're protected by our Product Promise.
For full details, please see our Terms & Conditions

Please note: All products are 'FOR RESEARCH USE ONLY. NOT FOR USE IN DIAGNOSTIC OR THERAPEUTIC PROCEDURES'.

For licensing inquiries, please contact partnerships@abcam.com