JavaScript is disabled in your browser. Please enable JavaScript to view this website.
AB177734

Anti-mTOR (phospho S2448) antibody [EPR426(2)] - BSA and Azide free

Be the first to review this product! Submit a review

|

(3 Publications)

Rabbit Recombinant Monoclonal MTOR phospho S2448 antibody. Carrier free. Suitable for IHC-P, Dot, WB, IHC-Fr and reacts with Human, Mouse, Synthetic peptide samples. Cited in 3 publications.

View Alternative Names

FRAP, FRAP1, FRAP2, RAFT1, RAPT1, MTOR, Serine/threonine-protein kinase mTOR, FK506-binding protein 12-rapamycin complex-associated protein 1, FKBP12-rapamycin complex-associated protein, Mammalian target of rapamycin, Mechanistic target of rapamycin, Rapamycin and FKBP12 target 1, Rapamycin target protein 1, mTOR

8 Images
Immunohistochemistry (Formalin/PFA-fixed paraffin-embedded sections) - Anti-mTOR (phospho S2448) antibody [EPR426(2)] - BSA and Azide free (AB177734)
  • IHC-P

Unknown

Immunohistochemistry (Formalin/PFA-fixed paraffin-embedded sections) - Anti-mTOR (phospho S2448) antibody [EPR426(2)] - BSA and Azide free (AB177734)

Immunohistochemical analysis of paraffin-embedded human breast carcinoma tissue using unpurified ab109268 at a dilution of 1/50.

This data was developed using the same antibody clone in a different buffer formulation containing PBS, BSA, glycerol, and sodium azide (ab109268).

Perform heat mediated antigen retrieval before commencing with IHC staining protocol.

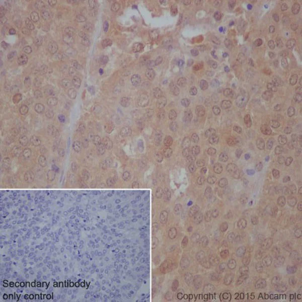
Immunohistochemistry (Formalin/PFA-fixed paraffin-embedded sections) - Anti-mTOR (phospho S2448) antibody [EPR426(2)] - BSA and Azide free (AB177734)
  • IHC-P

Unknown

Immunohistochemistry (Formalin/PFA-fixed paraffin-embedded sections) - Anti-mTOR (phospho S2448) antibody [EPR426(2)] - BSA and Azide free (AB177734)

Immunohistochemical cytoplasmic and nuclear staining of paraffin embedded human endometrium carcinoma with purified ab109268 at a working dilution of 1 in 100. The secondary antibody used is ab97051, a HRP goat anti-rabbit IgG (H+L), at 1/500. The sample is counter-stained with hematoxylin. Antigen retrieval was perfomed using Tris-EDTA buffer, pH 9.0. PBS was used instead of the primary antibody as the negative control, and is shown in the inset.

This data was developed using the same antibody clone in a different buffer formulation containing PBS, BSA, glycerol, and sodium azide (ab109268).

Western blot - Anti-mTOR (phospho S2448) antibody [EPR426(2)] - BSA and Azide free (AB177734)
  • WB

Lab

Western blot - Anti-mTOR (phospho S2448) antibody [EPR426(2)] - BSA and Azide free (AB177734)

This data was developed using ab109268, the same antibody clone in a different buffer formulation.

All lanes:

Western blot - Anti-mTOR (phospho S2448) antibody [EPR426(2)] (<a href='/en-us/products/primary-antibodies/mtor-phospho-s2448-antibody-epr4262-ab109268'>ab109268</a>) at 1/5000 dilution

Lane 1:

untreated HEK293 cell lysate at 10 µg

Lane 2:

HEK293 cell lysate treated with alkaline phosphatase at 10 µg

Secondary

All lanes:

Western blot - Goat Anti-Rabbit IgG H&L (HRP) (<a href='/en-us/products/secondary-antibodies/goat-rabbit-igg-h-l-hrp-ab97051'>ab97051</a>) at 1/2000 dilution

Predicted band size: 289 kDa

Observed band size: 289 kDa

false

Exposure time: 3min

Western blot - Anti-mTOR (phospho S2448) antibody [EPR426(2)] - BSA and Azide free (AB177734)
  • WB

Lab

Western blot - Anti-mTOR (phospho S2448) antibody [EPR426(2)] - BSA and Azide free (AB177734)

This data was developed using ab109268, the same antibody clone in a different buffer formulation.

All lanes:

Western blot - Anti-mTOR (phospho S2448) antibody [EPR426(2)] (<a href='/en-us/products/primary-antibodies/mtor-phospho-s2448-antibody-epr4262-ab109268'>ab109268</a>) at 1/2000 dilution

Lane 1:

untreated HEK293 cell lysate at 10 µg

Lane 2:

HEK293 cell lysate treated with alkaline phosphatase at 10 µg

Secondary

All lanes:

Western blot - Goat Anti-Rabbit IgG H&L (HRP) (<a href='/en-us/products/secondary-antibodies/goat-rabbit-igg-h-l-hrp-ab97051'>ab97051</a>) at 1/20000 dilution

Predicted band size: 289 kDa

Observed band size: 289 kDa

false

Exposure time: 3min

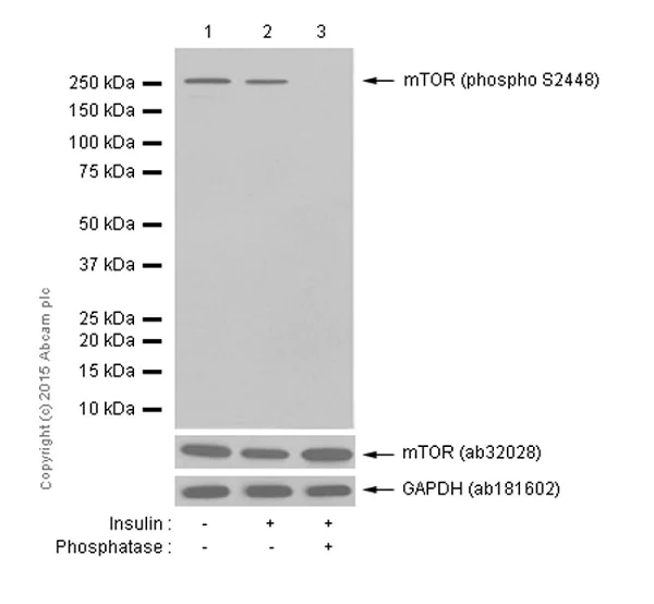
Western blot - Anti-mTOR (phospho S2448) antibody [EPR426(2)] - BSA and Azide free (AB177734)
  • WB

Lab

Western blot - Anti-mTOR (phospho S2448) antibody [EPR426(2)] - BSA and Azide free (AB177734)

This data was developed using ab109268, the same antibody clone in a different buffer formulation.

All lanes:

Western blot - Anti-mTOR (phospho S2448) antibody [EPR426(2)] (<a href='/en-us/products/primary-antibodies/mtor-phospho-s2448-antibody-epr4262-ab109268'>ab109268</a>) at 1/1000 dilution

Lane 1:

untreated HeLa cell lysate at 10 µg

Lane 2:

HeLa cell lysate treated with insulin at 10 µg

Lane 3:

HeLa cell lystae treated with insulin, and the membrane treated with alkaline phosphatase at 10 µg

Secondary

All lanes:

Western blot - Goat Anti-Rabbit IgG H&L (HRP) (<a href='/en-us/products/secondary-antibodies/goat-rabbit-igg-h-l-hrp-ab97051'>ab97051</a>) at 1/2000 dilution

Predicted band size: 289 kDa

Observed band size: 289 kDa

false

Exposure time: 1min

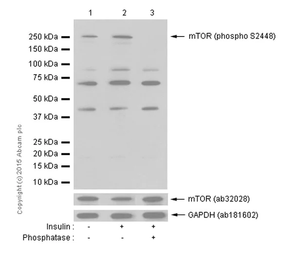
Western blot - Anti-mTOR (phospho S2448) antibody [EPR426(2)] - BSA and Azide free (AB177734)
  • WB

Lab

Western blot - Anti-mTOR (phospho S2448) antibody [EPR426(2)] - BSA and Azide free (AB177734)

This data was developed using ab109268, the same antibody clone in a different buffer formulation.

All lanes:

Western blot - Anti-mTOR (phospho S2448) antibody [EPR426(2)] (<a href='/en-us/products/primary-antibodies/mtor-phospho-s2448-antibody-epr4262-ab109268'>ab109268</a>) at 1/2000 dilution

Lane 1:

HeLa (human cervix adenocarcinoma epithelial cell) whole cell lysate at 10 µg

Lane 2:

HeLa grown in serum-free media overnight, then treated with 200nM PMA for 4 hours whole cell lysate at 10 µg

Lane 3:

HeLa grown in serum-free media overnight, then treated with 200nM PMA for 4 hours whole cell lysate. Then the membrane was incubated with alkaline phosphatase at 10 µg

Secondary

All lanes:

Western blot - Goat Anti-Rabbit IgG H&L (HRP) (<a href='/en-us/products/secondary-antibodies/goat-rabbit-igg-h-l-hrp-ab97051'>ab97051</a>) at 1/20000 dilution

Predicted band size: 289 kDa

Observed band size: 289 kDa

false

Western blot - Anti-mTOR (phospho S2448) antibody [EPR426(2)] - BSA and Azide free (AB177734)
  • WB

Lab

Western blot - Anti-mTOR (phospho S2448) antibody [EPR426(2)] - BSA and Azide free (AB177734)

This data was developed using ab109268, the same antibody clone in a different buffer formulation.

All lanes:

Western blot - Anti-mTOR (phospho S2448) antibody [EPR426(2)] (<a href='/en-us/products/primary-antibodies/mtor-phospho-s2448-antibody-epr4262-ab109268'>ab109268</a>) at 1/1000 dilution

Lane 1:

untreated NIH/3T3 cell lysate at 10 µg

Lane 2:

NIH/3T3 cell lysate treated with insulin at 10 µg

Lane 3:

NIH/3T3 cell lysate treated with insulin, then the membrane treated wth alkaline phosphatase at 10 µg

Secondary

All lanes:

Western blot - Goat Anti-Rabbit IgG H&L (HRP) (<a href='/en-us/products/secondary-antibodies/goat-rabbit-igg-h-l-hrp-ab97051'>ab97051</a>) at 1/20000 dilution

Predicted band size: 289 kDa

Observed band size: 289 kDa

false

Exposure time: 2min

Dot Blot - Anti-mTOR (phospho S2448) antibody [EPR426(2)] - BSA and Azide free (AB177734)
  • Dot

Lab

Dot Blot - Anti-mTOR (phospho S2448) antibody [EPR426(2)] - BSA and Azide free (AB177734)

Dot blot analysis of mTOR (phospho S2448) phospho peptide (Lane 1) and mTOR non-phospho peptide (Lane 2) labeling mTOR (phospho S2448) phospho peptide with purified ab109268 at a dilution of 1/1000 (0.073ug/ml). A Goat Anti-Rabbit IgG, (H+L), Peroxidase conjugated (ab97051) was used as the secondary antibody at a dilution of 1/100,000.

Blocking buffer : 5% NFDM/TBST
Diluting buffer : 5% NFDM /TBST

This data was developed using the same antibody clone in a different buffer formulation containing PBS, BSA, glycerol, and sodium azide (ab109268).

  • Unconjugated

    Anti-mTOR (phospho S2448) antibody [EPR426(2)]

Key facts

Host species

Rabbit

Clonality

Monoclonal

Clone number

EPR426(2)

Isotype

IgG

Carrier free

Yes

Reacts with

Mouse, Human

Applications

Dot, WB, IHC-Fr, IHC-P

applications

Immunogen

The exact immunogen used to generate this antibody is proprietary information.

Reactivity data

{ "title": "Reactivity Data", "filters": { "stats": ["", "Species", "Dilution Info", "Notes"], "tabs": { "all-applications": {"fullname" : "All Applications", "shortname": "All Applications"}, "IHCP" : {"fullname" : "Immunohistochemistry (Formalin/PFA-fixed paraffin-embedded sections)", "shortname":"IHC-P"}, "IP" : {"fullname" : "Immunoprecipitation", "shortname":"IP"}, "FlowCyt" : {"fullname" : "Flow Cytometry", "shortname":"Flow Cyt"}, "Dot" : {"fullname" : "Dot Blot", "shortname":"Dot"}, "WB" : {"fullname" : "Western blot", "shortname":"WB"}, "ICCIF" : {"fullname" : "Immunocytochemistry/ Immunofluorescence", "shortname":"ICC/IF"}, "IHCFr" : {"fullname" : "Immunohistochemistry (Frozen sections)", "shortname":"IHC-Fr"} }, "product-promise": { "all": "all", "testedAndGuaranteed": "tested", "guaranteed": "expected", "predicted": "predicted", "notRecommended": "not-recommended" } }, "values": { "Human": { "IHCP-species-checked": "testedAndGuaranteed", "IHCP-species-dilution-info": "", "IHCP-species-notes": "<p></p>", "IP-species-checked": "notRecommended", "IP-species-dilution-info": "", "IP-species-notes": "<p></p>", "FlowCyt-species-checked": "notRecommended", "FlowCyt-species-dilution-info": "", "FlowCyt-species-notes": "<p></p>", "Dot-species-checked": "guaranteed", "Dot-species-dilution-info": "", "Dot-species-notes": "", "WB-species-checked": "testedAndGuaranteed", "WB-species-dilution-info": "", "WB-species-notes": "<p></p>", "ICCIF-species-checked": "notRecommended", "ICCIF-species-dilution-info": "", "ICCIF-species-notes": "<p></p>", "IHCFr-species-checked": "testedAndGuaranteed", "IHCFr-species-dilution-info": "", "IHCFr-species-notes": "<p></p>" }, "Mouse": { "IHCP-species-checked": "guaranteed", "IHCP-species-dilution-info": "", "IHCP-species-notes": "", "IP-species-checked": "notRecommended", "IP-species-dilution-info": "", "IP-species-notes": "<p></p>", "FlowCyt-species-checked": "notRecommended", "FlowCyt-species-dilution-info": "", "FlowCyt-species-notes": "<p></p>", "Dot-species-checked": "guaranteed", "Dot-species-dilution-info": "", "Dot-species-notes": "", "WB-species-checked": "testedAndGuaranteed", "WB-species-dilution-info": "", "WB-species-notes": "<p></p>", "ICCIF-species-checked": "notRecommended", "ICCIF-species-dilution-info": "", "ICCIF-species-notes": "<p></p>", "IHCFr-species-checked": "guaranteed", "IHCFr-species-dilution-info": "", "IHCFr-species-notes": "<p></p>" }, "Rat": { "IHCP-species-checked": "predicted", "IHCP-species-dilution-info": "", "IHCP-species-notes": "", "IP-species-checked": "notRecommended", "IP-species-dilution-info": "", "IP-species-notes": "", "FlowCyt-species-checked": "notRecommended", "FlowCyt-species-dilution-info": "", "FlowCyt-species-notes": "", "Dot-species-checked": "predicted", "Dot-species-dilution-info": "", "Dot-species-notes": "", "WB-species-checked": "predicted", "WB-species-dilution-info": "", "WB-species-notes": "", "ICCIF-species-checked": "notRecommended", "ICCIF-species-dilution-info": "", "ICCIF-species-notes": "", "IHCFr-species-checked": "predicted", "IHCFr-species-dilution-info": "", "IHCFr-species-notes": "" }, "Pig": { "IHCP-species-checked": "predicted", "IHCP-species-dilution-info": "", "IHCP-species-notes": "", "IP-species-checked": "notRecommended", "IP-species-dilution-info": "", "IP-species-notes": "", "FlowCyt-species-checked": "notRecommended", "FlowCyt-species-dilution-info": "", "FlowCyt-species-notes": "", "Dot-species-checked": "predicted", "Dot-species-dilution-info": "", "Dot-species-notes": "", "WB-species-checked": "predicted", "WB-species-dilution-info": "", "WB-species-notes": "", "ICCIF-species-checked": "notRecommended", "ICCIF-species-dilution-info": "", "ICCIF-species-notes": "", "IHCFr-species-checked": "predicted", "IHCFr-species-dilution-info": "", "IHCFr-species-notes": "" }, "Synthetic peptide": { "IHCP-species-checked": "notRecommended", "IHCP-species-dilution-info": "", "IHCP-species-notes": "", "IP-species-checked": "notRecommended", "IP-species-dilution-info": "", "IP-species-notes": "", "FlowCyt-species-checked": "notRecommended", "FlowCyt-species-dilution-info": "", "FlowCyt-species-notes": "", "Dot-species-checked": "testedAndGuaranteed", "Dot-species-dilution-info": "", "Dot-species-notes": "<p></p>", "WB-species-checked": "notRecommended", "WB-species-dilution-info": "", "WB-species-notes": "", "ICCIF-species-checked": "notRecommended", "ICCIF-species-dilution-info": "", "ICCIF-species-notes": "", "IHCFr-species-checked": "notRecommended", "IHCFr-species-dilution-info": "", "IHCFr-species-notes": "" } } }

Product details

ab177734 is the carrier-free version of ab109268.

Patented technology
Our RabMAb® technology is a patented hybridoma-based technology for making rabbit monoclonal antibodies. For details on our patents, please refer to RabMAb® patents.

What are the advantages of a recombinant monoclonal antibody?
This product is a recombinant monoclonal antibody, which offers several advantages including:

  • - High batch-to-batch consistency and reproducibility
  • - Improved sensitivity and specificity
  • - Long-term security of supply
  • - Animal-free batch production

For more information, read more on recombinant antibodies.

Conjugation ready
Our carrier-free antibodies are typically supplied in a PBS-only formulation, purified and free of BSA, sodium azide and glycerol. This conjugation-ready format is designed for use with fluorochromes, metal isotopes, oligonucleotides, and enzymes, which makes them ideal for antibody labelling, functional and cell-based assays, flow-based assays (e.g. mass cytometry) and Multiplex Imaging applications.

Use our conjugation kits for antibody conjugates that are ready-to-use in as little as 20 minutes with 1 minute hands-on-time and 100% antibody recovery: available for fluorescent dyes, HRP, biotin and gold.

Compatibility
This product is compatible with the Maxpar® Antibody Labeling Kit from Fluidigm, without the need for antibody preparation. Maxpar® is a trademark of Fluidigm Canada Inc.

Properties and storage information

Form
Liquid
Purification technique
Affinity purification Protein A
Storage buffer
Constituents: PBS
Shipped at conditions
Blue Ice
Appropriate short-term storage conditions
+4°C
Appropriate long-term storage conditions
+4°C
Storage information
Do Not Freeze

Supplementary information

This supplementary information is collated from multiple sources and compiled automatically.

The mammalian target of rapamycin commonly known as mTOR is a serine/threonine kinase known for its role in cellular growth and metabolism. It has a molecular weight of approximately 289 kDa. mTOR is expressed in various tissues throughout the body including muscle adipose tissue and the brain. The protein functions as a central regulator of cell proliferation protein synthesis and nutrient signaling. Often researchers utilize mTOR ELISA or mTOR western blot (mTOR WB) methods and mTOR antibodies to study its expression and activity in various biological contexts.
Biological function summary

MTOR integrates signals from nutrients growth factors and cellular energy status to maintain cellular homeostasis. It forms part of two distinct complexes mTORC1 and mTORC2 which differ in their component proteins and downstream effects. mTORC1 primarily responds to amino acids and regulates protein synthesis through phosphorylation of key substrates like S6K1. On the other hand mTORC2 is important for maintaining cytoskeletal integrity and cell survival highlighting the protein's importance in diverse cellular processes.

Pathways

MTOR plays a pivotal role in the PI3K/AKT/mTOR pathway which governs cell growth proliferation and survival. It also has implications in the regulation of the AMPK pathway which senses cellular energy levels. Through these pathways mTOR interacts with proteins such as AKT and TSC2. The phospho-mTOR specifically the S2448 phospho-mTOR serves as an important functional marker in these signaling cascades linking extracellular signals to downstream cellular responses.

MTOR has connections to cancer and neurodegenerative diseases. Its dysregulation often leads to uncontrolled cellular proliferation a hallmark of many cancers. Conditions such as tuberous sclerosis can occur due to mutations in proteins like TSC1 and TSC2 that regulate mTOR activity. In Alzheimer's disease mTOR's role in autophagy and protein synthesis becomes significant as imbalance may contribute to disease progression. Understanding these connections highlights the potential of targeting mTOR pathways therapeutically.

Product protocols

For this product, it's our understanding that no specific protocols are required. You can visit:

Target data

The protein expressed by the MTOR gene is a serine/threonine protein kinase that serves as a central regulator of cellular metabolism, growth, and survival in response to various signals, such as hormones and nutrients. MTOR operates within two distinct signaling complexes, mTORC1 and mTORC2. mTORC1 is activated to upregulate protein synthesis by phosphorylating regulators of mRNA translation and ribosome synthesis, and phosphorylates and activates proteins like RPS6KB1 and RPS6KB2 to promote protein synthesis. It controls MiT/TFE factors TFEB and TFE3 by mediating their retention and inactivation under nutrient-rich conditions, and it inhibits autophagy by phosphorylating DAP and RUBCNL/Pacer. Additionally, mTORC1 engages in feedback control on growth factor signaling and may influence microtubules through CLIP1 phosphorylation. The mTORC2 complex may regulate cellular processes, including survival and cytoskeletal organization, by phosphorylating AKT1 and regulating the actin cytoskeleton via PRKCA, PXN, and Rho-type guanine nucleotide exchange factors. It also regulates the phosphorylation of SGK1. This supplementary information is collated from multiple sources and compiled automatically.
See full target information MTOR phospho S2448

Publications (3)

Recent publications for all applications. Explore the full list and refine your search

Cellular and molecular neurobiology 43:1957-1974 PubMed36006573

2022

Mild Hypothermia Alleviates Complement C5a-Induced Neuronal Autophagy During Brain Ischemia-Reperfusion Injury After Cardiac Arrest.

Applications

Unspecified application

Species

Unspecified reactive species

Ling Wang,Yuanyuan Sun,Fang Kong,Yi Jiang,Mengmeng An,Beibei Jin,Da Cao,Ruifang Li,Xiaolan Guan,Shuangshuang Liang,Subi Abudurexiti,Ping Gong

Oncology letters 23:41 PubMed34976153

2022

Knockdown of ETV4 promotes autophagy-dependent apoptosis in GBM cells by reducing the transcriptional activation of EMP1.

Applications

Unspecified application

Species

Unspecified reactive species

Junxiang Wang,Chengfa Sun,Jian Li,Hua Jiang,Yun Qiu,Mingjie Gong

Oncotarget 7:8029-42 PubMed26771237

2016

ZYG11A serves as an oncogene in non-small cell lung cancer and influences CCNE1 expression.

Applications

Unspecified application

Species

Unspecified reactive species

Xin Wang,Qi Sun,Chen Chen,Rong Yin,Xing Huang,Xuan Wang,Run Shi,Lin Xu,Binhui Ren
View all publications

Product promise

We are committed to supporting your work with high-quality reagents, and we're here for you every step of the way. In the unlikely event that one of our products does not perform as expected, you're protected by our Product Promise.
For full details, please see our Terms & Conditions

Please note: All products are 'FOR RESEARCH USE ONLY. NOT FOR USE IN DIAGNOSTIC OR THERAPEUTIC PROCEDURES'.

For licensing inquiries, please contact partnerships@abcam.com