JavaScript is disabled in your browser. Please enable JavaScript to view this website.
AB238483

Anti-MTR antibody

Be the first to review this product! Submit a review

|

(1 Publication)

Rabbit Polyclonal MTR antibody. Suitable for IP, IHC-P and reacts with Human samples. Cited in 1 publication. Immunogen corresponding to Recombinant Fragment Protein within Human Methionine synthase aa 900 to C-terminus.

View Alternative Names

Methionine synthase, MS, 5-methyltetrahydrofolate--homocysteine methyltransferase, Cobalamin-dependent methionine synthase, Vitamin-B12 dependent methionine synthase, MTR

3 Images
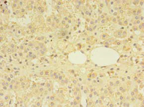
Immunohistochemistry (Formalin/PFA-fixed paraffin-embedded sections) - Anti-MTR antibody (AB238483)
  • IHC-P

Supplier Data

Immunohistochemistry (Formalin/PFA-fixed paraffin-embedded sections) - Anti-MTR antibody (AB238483)

Paraffin-embedded human pancreatic tissue stained for MTR using ab238483 at 1/100 dilution in immunohistochemical analysis.

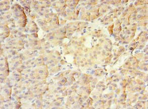
Immunohistochemistry (Formalin/PFA-fixed paraffin-embedded sections) - Anti-MTR antibody (AB238483)
  • IHC-P

Supplier Data

Immunohistochemistry (Formalin/PFA-fixed paraffin-embedded sections) - Anti-MTR antibody (AB238483)

Paraffin-embedded human adrenal gland tissue stained for MTR using ab238483 at 1/100 dilution in immunohistochemical analysis.

Immunoprecipitation - Anti-MTR antibody (AB238483)
  • IP

Supplier Data

Immunoprecipitation - Anti-MTR antibody (AB238483)

MTR was immunoprecipitated from 500 μg HeLa (Human epithelial cell line from cervix adenocarcinoma) whole cell lysate with ab238483 at 1/200 dilution.

Lane 1 : Rabbit control IgG IP in HeLa whole cell lysate.

Lane 2 : ab238483 IP in HeLa whole cell lysate.

Lane 3 : HeLa whole cell lysate 10 μg (Input).

For western blotting, an HRP-conjugated Protein G antibody was used as the secondary antibody at 1/2000 dilution.

All lanes:

Immunoprecipitation - Anti-MTR antibody (ab238483)

Predicted band size: 140 kDa

false

Key facts

Host species

Rabbit

Clonality

Polyclonal

Isotype

IgG

Carrier free

No

Reacts with

Human

Applications

IP, IHC-P

applications

Immunogen

Recombinant Fragment Protein within Human Methionine synthase aa 900 to C-terminus. The exact immunogen used to generate this antibody is proprietary information.

Q99707

Reactivity data

{ "title": "Reactivity Data", "filters": { "stats": ["", "Species", "Dilution Info", "Notes"], "tabs": { "all-applications": {"fullname" : "All Applications", "shortname": "All Applications"}, "IP" : {"fullname" : "Immunoprecipitation", "shortname":"IP"}, "IHCP" : {"fullname" : "Immunohistochemistry (Formalin/PFA-fixed paraffin-embedded sections)", "shortname":"IHC-P"} }, "product-promise": { "all": "all", "testedAndGuaranteed": "tested", "guaranteed": "expected", "predicted": "predicted", "notRecommended": "not-recommended" } }, "values": { "Human": { "IP-species-checked": "testedAndGuaranteed", "IP-species-dilution-info": "1/200 - 1/2000", "IP-species-notes": "<p></p>", "IHCP-species-checked": "testedAndGuaranteed", "IHCP-species-dilution-info": "1/20 - 1/200", "IHCP-species-notes": "<p></p>" }, "Mouse": { "IP-species-checked": "predicted", "IP-species-dilution-info": "", "IP-species-notes": "", "IHCP-species-checked": "predicted", "IHCP-species-dilution-info": "", "IHCP-species-notes": "" }, "Rat": { "IP-species-checked": "predicted", "IP-species-dilution-info": "", "IP-species-notes": "", "IHCP-species-checked": "predicted", "IHCP-species-dilution-info": "", "IHCP-species-notes": "" } } }

Properties and storage information

Form
Liquid
Purification technique
Affinity purification Protein G
Purification notes
Purity >95%.
Storage buffer
pH: 7.4 Preservative: 0.03% Proclin 300 Constituents: PBS, 50% Glycerol (glycerin, glycerine)
Shipped at conditions
Blue Ice
Appropriate short-term storage duration
1-2 weeks
Appropriate short-term storage conditions
+4°C
Appropriate long-term storage conditions
-20°C
Aliquoting information
Upon delivery aliquot
Storage information
Avoid freeze / thaw cycle

Product protocols

For this product, it's our understanding that no specific protocols are required. You can visit:

Target data

Catalyzes the transfer of a methyl group from methylcob(III)alamin (MeCbl) to homocysteine, yielding enzyme-bound cob(I)alamin and methionine in the cytosol (PubMed : 16769880, PubMed : 17288554, PubMed : 27771510). MeCbl is an active form of cobalamin (vitamin B12) used as a cofactor for methionine biosynthesis. Cob(I)alamin form is regenerated to MeCbl by a transfer of a methyl group from 5-methyltetrahydrofolate (PubMed : 16769880, PubMed : 17288554, PubMed : 27771510). The processing of cobalamin in the cytosol occurs in a multiprotein complex composed of at least MMACHC, MMADHC, MTRR (methionine synthase reductase) and MTR which may contribute to shuttle safely and efficiently cobalamin towards MTR in order to produce methionine (PubMed : 16769880, PubMed : 27771510).
See full target information Methionine synthase

Publications (1)

Recent publications for all applications. Explore the full list and refine your search

Acta pharmacologica Sinica 43:1408-1418 PubMed34552216

2021

Antiatherosclerotic effect of dehydrocorydaline on ApoE mice: inhibition of macrophage inflammation.

Applications

Unspecified application

Species

Unspecified reactive species

Bin Wen,Yuan-Ye Dang,Su-Hua Wu,Yi-Min Huang,Kong-Yang Ma,Yi-Ming Xu,Xi-Long Zheng,Xiao-Yan Dai
View all publications

Product promise

We are committed to supporting your work with high-quality reagents, and we're here for you every step of the way. In the unlikely event that one of our products does not perform as expected, you're protected by our Product Promise.
For full details, please see our Terms & Conditions

Please note: All products are 'FOR RESEARCH USE ONLY. NOT FOR USE IN DIAGNOSTIC OR THERAPEUTIC PROCEDURES'.

For licensing inquiries, please contact partnerships@abcam.com