JavaScript is disabled in your browser. Please enable JavaScript to view this website.
AB66039

Anti-MTR antibody

4

(1 Review)

|

(11 Publications)

Rabbit Polyclonal MTR antibody. Suitable for WB, IHC-P, ICC/IF and reacts with Mouse, Rat, Human samples. Cited in 11 publications.

View Alternative Names

Methionine synthase, MS, 5-methyltetrahydrofolate--homocysteine methyltransferase, Cobalamin-dependent methionine synthase, Vitamin-B12 dependent methionine synthase, MTR

4 Images
Immunocytochemistry/ Immunofluorescence - Anti-MTR antibody (AB66039)
  • ICC/IF

Unknown

Immunocytochemistry/ Immunofluorescence - Anti-MTR antibody (AB66039)

ICC/IF image of ab66039 stained MCF7 cells. The cells were 100% methanol fixed (5 min) and then incubated in 1%BSA / 10% normal goat serum / 0.3M glycine in 0.1% PBS-Tween for 1h to permeabilise the cells and block non-specific protein-protein interactions. The cells were then incubated with the antibody (ab66039, 5µg/ml) overnight at +4°C. The secondary antibody (green) was Alexa Fluor® 488 goat anti-rabbit IgG (H+L) used at a 1/1000 dilution for 1h. Alexa Fluor® 594 WGA was used to label plasma membranes (red) at a 1/200 dilution for 1h. DAPI was used to stain the cell nuclei (blue) at a concentration of 1.43µM. This antibody also gave a positive result in 100% methanol fixed (5 min) HeLa, Hek293 and HepG2 cells at 5µg/ml, and in 4% PFA fixed (10 min) MCF7 cells at 5µg/ml.

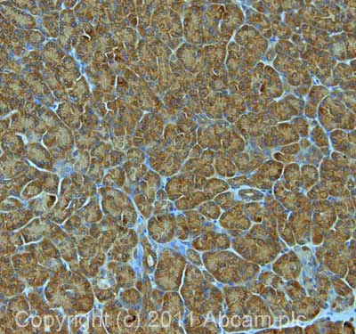
Immunohistochemistry (Formalin/PFA-fixed paraffin-embedded sections) - Anti-MTR antibody (AB66039)
  • IHC-P

Unknown

Immunohistochemistry (Formalin/PFA-fixed paraffin-embedded sections) - Anti-MTR antibody (AB66039)

IHC image of ab66039 staining in pancreas formalin fixed paraffin embedded tissue section, performed on a Leica BondTM system using the standard protocol F. The section was pre-treated using heat mediated antigen retrieval with sodium citrate buffer (pH6, epitope retrieval solution 1) for 20 mins. The section was then incubated with ab66039, 5µg/ml, for 15 mins at room temperature and detected using an HRP conjugated compact polymer system. DAB was used as the chromogen. The section was then counterstained with haematoxylin and mounted with DPX.

For other IHC staining systems (automated and non-automated) customers should optimize variable parameters such as antigen retrieval conditions, primary antibody concentration and antibody incubation times.

Western blot - Anti-MTR antibody (AB66039)
  • WB

Project5584****

Western blot - Anti-MTR antibody (AB66039)

All lanes:

Western blot - Anti-MTR antibody (ab66039) at 1 µg/mL

Lane 1:

TE 671 (Human Rhabdomyosarcoma) Whole Cell Lysate at 10 µg

Lane 2:

Liver (Mouse) Tissue Lysate at 10 µg

Lane 3:

Thymus (Rat) Tissue Lysate at 10 µg

Lane 4:

Pancreas (Mouse) Tissue Lysate at 10 µg

Lane 5:

Jurkat Whole Cell Lysate - Staurosporine Treated (24hr, 500nM) at 10 µg

Lane 6:

HeLa Whole Cell Lysate - Staurosporine Treated (24hr, 500nM) at 10 µg

Lane 7:

HeLa Whole Cell Lysate - Bleomycin Treated (20U/ml) at 10 µg

Lane 8:

HeLa (Human epithelial carcinoma cell line) Whole Cell Lysate at 10 µg

Lane 9:

Kidney (Mouse) Tissue Lysate at 10 µg

Lane 10:

Liver (Rat) Tissue Lysate at 10 µg

Secondary

All lanes:

Goat polyclonal to Rabbit IgG - H&L - Pre-Adsorbed (HRP) at 1/3000 dilution

Predicted band size: 140 kDa

Observed band size: 117 kDa,141 kDa,35 kDa,50 kDa,55 kDa,65 kDa,85 kDa

false

Western blot - Anti-MTR antibody (AB66039)
  • WB

CiteAb

Western blot - Anti-MTR antibody (AB66039)

MTR western blot using anti-MTR antibody ab66039. Publication image and figure legend from Pérez-Sepúlveda, A., España-Perrot, P. P., et al., 2013, Biomed Res Int, PubMed 24024209.

ab66039 was used in this publication in western blot. This may not be the same as the application(s) guaranteed by Abcam. For a full list of applications guaranteed by Abcam for ab66039 please see the product overview.

(a) MTHFR and (b) MTR protein levels analyzed from placental tissue by western blot. Values are ± SEM from 32 controls and 16 PE patients.

false

Key facts

Host species

Rabbit

Clonality

Polyclonal

Isotype

IgG

Carrier free

No

Reacts with

Mouse, Rat, Human

Applications

ICC/IF, WB, IHC-P

applications

Immunogen

The exact immunogen used to generate this antibody is proprietary information.

Reactivity data

{ "title": "Reactivity Data", "filters": { "stats": ["", "Species", "Dilution Info", "Notes"], "tabs": { "all-applications": {"fullname" : "All Applications", "shortname": "All Applications"}, "WB" : {"fullname" : "Western blot", "shortname":"WB"}, "IHCP" : {"fullname" : "Immunohistochemistry (Formalin/PFA-fixed paraffin-embedded sections)", "shortname":"IHC-P"}, "ICCIF" : {"fullname" : "Immunocytochemistry/ Immunofluorescence", "shortname":"ICC/IF"} }, "product-promise": { "all": "all", "testedAndGuaranteed": "tested", "guaranteed": "expected", "predicted": "predicted", "notRecommended": "not-recommended" } }, "values": { "Human": { "WB-species-checked": "testedAndGuaranteed", "WB-species-dilution-info": "1 µg/mL", "WB-species-notes": "<p></p>", "IHCP-species-checked": "testedAndGuaranteed", "IHCP-species-dilution-info": "", "IHCP-species-notes": "<p></p>", "ICCIF-species-checked": "testedAndGuaranteed", "ICCIF-species-dilution-info": "5 µg/mL", "ICCIF-species-notes": "<p></p>" }, "Mouse": { "WB-species-checked": "testedAndGuaranteed", "WB-species-dilution-info": "1 µg/mL", "WB-species-notes": "<p></p>", "IHCP-species-checked": "guaranteed", "IHCP-species-dilution-info": "", "IHCP-species-notes": "", "ICCIF-species-checked": "guaranteed", "ICCIF-species-dilution-info": "", "ICCIF-species-notes": "" }, "Rat": { "WB-species-checked": "testedAndGuaranteed", "WB-species-dilution-info": "1 µg/mL", "WB-species-notes": "<p></p>", "IHCP-species-checked": "guaranteed", "IHCP-species-dilution-info": "", "IHCP-species-notes": "", "ICCIF-species-checked": "guaranteed", "ICCIF-species-dilution-info": "", "ICCIF-species-notes": "" }, "Caenorhabditis elegans": { "WB-species-checked": "predicted", "WB-species-dilution-info": "", "WB-species-notes": "", "IHCP-species-checked": "predicted", "IHCP-species-dilution-info": "", "IHCP-species-notes": "", "ICCIF-species-checked": "predicted", "ICCIF-species-dilution-info": "", "ICCIF-species-notes": "" }, "Chimpanzee": { "WB-species-checked": "predicted", "WB-species-dilution-info": "", "WB-species-notes": "", "IHCP-species-checked": "predicted", "IHCP-species-dilution-info": "", "IHCP-species-notes": "", "ICCIF-species-checked": "predicted", "ICCIF-species-dilution-info": "", "ICCIF-species-notes": "" } } }

Properties and storage information

Form
Liquid
Purification technique
Affinity purification Immunogen
Storage buffer
pH: 7.4 Preservative: 0.02% Sodium azide Constituents: PBS, 1% BSA
Shipped at conditions
Blue Ice
Appropriate short-term storage duration
1-2 weeks
Appropriate short-term storage conditions
+4°C
Appropriate long-term storage conditions
-20°C
Aliquoting information
Upon delivery aliquot
Storage information
Avoid freeze / thaw cycle

Product protocols

For this product, it's our understanding that no specific protocols are required. You can visit:

Target data

Catalyzes the transfer of a methyl group from methylcob(III)alamin (MeCbl) to homocysteine, yielding enzyme-bound cob(I)alamin and methionine in the cytosol (PubMed : 16769880, PubMed : 17288554, PubMed : 27771510). MeCbl is an active form of cobalamin (vitamin B12) used as a cofactor for methionine biosynthesis. Cob(I)alamin form is regenerated to MeCbl by a transfer of a methyl group from 5-methyltetrahydrofolate (PubMed : 16769880, PubMed : 17288554, PubMed : 27771510). The processing of cobalamin in the cytosol occurs in a multiprotein complex composed of at least MMACHC, MMADHC, MTRR (methionine synthase reductase) and MTR which may contribute to shuttle safely and efficiently cobalamin towards MTR in order to produce methionine (PubMed : 16769880, PubMed : 27771510).
See full target information Methionine synthase

Publications (11)

Recent publications for all applications. Explore the full list and refine your search

Experimental and therapeutic medicine 29:36 PubMed39776890

2025

Identification of amino acid metabolism‑related genes as diagnostic and prognostic biomarkers in sepsis through machine learning.

Applications

Unspecified application

Species

Unspecified reactive species

Ye Wen,Qian Liu,Wei Xu

Bioengineered 13:10875-10888 PubMed35485387

2022

Increased homocysteine regulated by androgen activates autophagy by suppressing the mammalian target of rapamycin pathway in the granulosa cells of polycystic ovary syndrome mice.

Applications

Unspecified application

Species

Unspecified reactive species

Ting Li,Guogang Dong,Yani Kang,Mei Zhang,Xiaoqiang Sheng,Zhilong Wang,Yang Liu,Na Kong,Haixiang Sun

Nature metabolism 3:1500-1511 PubMed34799701

2021

Methionine synthase is essential for cancer cell proliferation in physiological folate environments.

Applications

Unspecified application

Species

Unspecified reactive species

Mark R Sullivan,Alicia M Darnell,Montana F Reilly,Tenzin Kunchok,Lena Joesch-Cohen,Daniel Rosenberg,Ahmed Ali,Matthew G Rees,Jennifer A Roth,Caroline A Lewis,Matthew G Vander Heiden

Surgery for obesity and related diseases : official journal of the American Society for Bariatric Surgery 17:1359-1368 PubMed33753007

2021

Duodenal-jejunal bypass maintains hepatic S-adenosylmethionine/S-homocysteine ratio in diet-induced obese rats.

Applications

Unspecified application

Species

Unspecified reactive species

Mikyung Kim,Yunmee Rho,Rhoeun Park,Jeeyoun Jung,Geum-Sook Hwang,Youn Kyoung Seo,Ji Hae Seo,Yoonseok Heo,Tae Kyung Ha,Eunyoung Ha

PloS one 12:e0187427 PubMed29232372

2017

Attenuated expression of MTR in both prenatally androgenized mice and women with the hyperandrogenic phenotype of PCOS.

Applications

Unspecified application

Species

Unspecified reactive species

Lei Lei,Lijun Ding,Jing Su,Mengyuan Liu,Qingqing Shi,Jianjun Zhou,Haixiang Sun,Guijun Yan

Andrology 4:345-60 PubMed26825875

2016

Involvement of homocysteine, homocysteine thiolactone, and paraoxonase type 1 (PON-1) in the etiology of defective human sperm function.

Applications

Unspecified application

Species

Unspecified reactive species

R J Aitken,H M Flanagan,H Connaughton,S Whiting,A Hedges,M A Baker

FEBS open bio 4:722-9 PubMed25161880

2014

A dodecylamine derivative of cyanocobalamin potently inhibits the activities of cobalamin-dependent methylmalonyl-CoA mutase and methionine synthase of Caenorhabditis elegans.

Applications

WB

Species

Caenorhabditis elegans

Tomohiro Bito,Yukinori Yabuta,Tsuyoshi Ichiyanagi,Tsuyoshi Kawano,Fumio Watanabe

BioMed research international 2013:731962 PubMed24024209

2013

Levels of key enzymes of methionine-homocysteine metabolism in preeclampsia.

Applications

WB

Species

Human

Alejandra Pérez-Sepúlveda,Pedro P España-Perrot,Ximena B Fernández,Verónica Ahumada,Vicente Bustos,José Antonio Arraztoa,Aneta Dobierzewska,Horacio Figueroa-Diesel,Gregory E Rice,Sebastián E Illanes

Experimental cell research 318:1146-59 PubMed22484375

2012

Melanoma coordinates general and cell-specific mechanisms to promote methotrexate resistance.

Applications

Unspecified application

Species

Unspecified reactive species

Magalí Sáez-Ayala,María Piedad Fernández-Pérez,María F Montenegro,Luis Sánchez-del-Campo,Soledad Chazarra,Antonio Piñero-Madrona,Juan Cabezas-Herrera,José Neptuno Rodríguez-López

Placenta 33:440-8 PubMed22365888

2012

Spatial and temporal expression of folate-related transporters and metabolic enzymes during mouse placental development.

Applications

Unspecified application

Species

Unspecified reactive species

J Cherukad,V Wainwright,E D Watson
View all publications

Product promise

We are committed to supporting your work with high-quality reagents, and we're here for you every step of the way. In the unlikely event that one of our products does not perform as expected, you're protected by our Product Promise.
For full details, please see our Terms & Conditions

Please note: All products are 'FOR RESEARCH USE ONLY. NOT FOR USE IN DIAGNOSTIC OR THERAPEUTIC PROCEDURES'.

For licensing inquiries, please contact partnerships@abcam.com