JavaScript is disabled in your browser. Please enable JavaScript to view this website.
AB240958

Anti-mtTFA antibody [EPR12285] - BSA and Azide free

Be the first to review this product! Submit a review

|

(0 Publication)

Rabbit Recombinant Monoclonal mtTFA antibody. Carrier free. Suitable for IHC-P, IP, WB, ICC/IF and reacts with Human samples.

View Alternative Names

TCF6, TCF6L2, TFAM, mtTFA, Mitochondrial transcription factor 1, Transcription factor 6, Transcription factor 6-like 2, MtTF1, TCF-6

7 Images
Immunohistochemistry (Formalin/PFA-fixed paraffin-embedded sections) - Anti-mtTFA antibody [EPR12285] - BSA and Azide free (AB240958)
  • IHC-P

Supplier Data

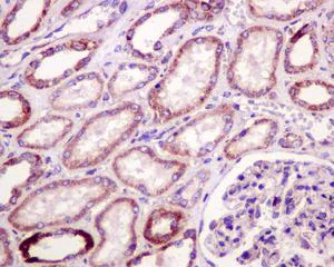
Immunohistochemistry (Formalin/PFA-fixed paraffin-embedded sections) - Anti-mtTFA antibody [EPR12285] - BSA and Azide free (AB240958)

Immunohistochemical analysis of formalin-fixed, paraffin-embedded Human kidney tissue, labeling mtTFA using unpurified ab176558 at a 1/50 dilution.

This data was developed using the same antibody clone in a different buffer formulation containing PBS, BSA, glycerol, and sodium azide (ab176558).

Perform heat mediated antigen retrieval with citrate buffer pH 6 before commencing with IHC staining protocol.

Immunocytochemistry/ Immunofluorescence - Anti-mtTFA antibody [EPR12285] - BSA and Azide free (AB240958)
  • ICC/IF

Unknown

Immunocytochemistry/ Immunofluorescence - Anti-mtTFA antibody [EPR12285] - BSA and Azide free (AB240958)

Immunofluorescence staining of MCF7 cells with purified ab176558 at a working dilution of 1/250, counter-stained with DAPI. The secondary antibody was Alexa Fluor® 488 goat anti-rabbit (ab150077), used at a dilution of 1/1000. ab7291, a mouse anti-tubulin antibody (1/1000), was used to stain tubulin along with ab150120 (Alexa Fluor® 594 goat anti-mouse, 1/1000), shown in the top right hand panel. The cells were fixed in 4% PFA and permeabilized using 0.1% Triton X 100.

The negative controls are shown in bottom middle and right hand panels - for negative control 1, purified ab176558 was used at a dilution of 1/500 followed by an Alexa Fluor® 594 goat anti-mouse antibody (ab150120) at a dilution of 1/500.

For negative control 2, ab7291 (mouse anti-tubulin) was used at a dilution of 1/500 followed by an Alexa Fluor® 488 goat anti-rabbit antibody (ab150077) at a dilution of 1/400.

This data was developed using the same antibody clone in a different buffer formulation containing PBS, BSA, glycerol, and sodium azide (ab176558).

Immunocytochemistry/ Immunofluorescence - Anti-mtTFA antibody [EPR12285] - BSA and Azide free (AB240958)
  • ICC/IF

Supplier Data

Immunocytochemistry/ Immunofluorescence - Anti-mtTFA antibody [EPR12285] - BSA and Azide free (AB240958)

Immunofluorescence analysis of MCF7 cells, labeling mtTFA using unpurified ab176558 at a 1/100 dilution.

This data was developed using the same antibody clone in a different buffer formulation containing PBS, BSA, glycerol, and sodium azide (ab176558).

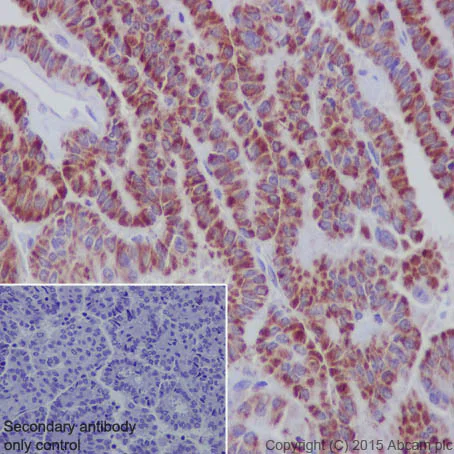
Immunohistochemistry (Formalin/PFA-fixed paraffin-embedded sections) - Anti-mtTFA antibody [EPR12285] - BSA and Azide free (AB240958)
  • IHC-P

Unknown

Immunohistochemistry (Formalin/PFA-fixed paraffin-embedded sections) - Anti-mtTFA antibody [EPR12285] - BSA and Azide free (AB240958)

Immunohistochemical staining of paraffin embedded human thyroid carcinoma with purified ab176558 at a working dilution of 1/300. The secondary antibody used is HRP goat anti-rabbit IgG H&L (ab97051) at 1/500. The sample is counter-stained with hematoxylin. Antigen retrieval was perfomed using Tris-EDTA buffer, pH 9.0. PBS was used instead of the primary antibody as the negative control, and is shown in the inset.

This data was developed using the same antibody clone in a different buffer formulation containing PBS, BSA, glycerol, and sodium azide (ab176558).

Immunohistochemistry (Formalin/PFA-fixed paraffin-embedded sections) - Anti-mtTFA antibody [EPR12285] - BSA and Azide free (AB240958)
  • IHC-P

Supplier Data

Immunohistochemistry (Formalin/PFA-fixed paraffin-embedded sections) - Anti-mtTFA antibody [EPR12285] - BSA and Azide free (AB240958)

Immunohistochemical analysis of formalin-fixed, paraffin-embedded Human prostate tissue, labeling mtTFA using unpurified ab176558 at a 1/50 dilution.

This data was developed using the same antibody clone in a different buffer formulation containing PBS, BSA, glycerol, and sodium azide (ab176558).

Perform heat mediated antigen retrieval with citrate buffer pH 6 before commencing with IHC staining protocol.

Immunoprecipitation - Anti-mtTFA antibody [EPR12285] - BSA and Azide free (AB240958)
  • IP

Unknown

Immunoprecipitation - Anti-mtTFA antibody [EPR12285] - BSA and Azide free (AB240958)

This data was developed using the same antibody clone in a different buffer formulation containing PBS, BSA, glycerol, and sodium azide (ab176558).
Purified ab176558 at 1 : 40 dilution immunoprecipitating mtTFA in HEK-293 whole cell lysate.
Blocking and diluting buffer and concentration : 5% NFDM/TBST.

Lane 1:

Immunoprecipitation - Anti-mtTFA antibody [EPR12285] - Mitochondrial Marker (<a href='/en-us/products/primary-antibodies/mttfa-antibody-epr12285-mitochondrial-marker-ab176558'>ab176558</a>)

Lanes 1 - 2:

Immunoprecipitation - Anti-mtTFA antibody [EPR12285] - Mitochondrial Marker (<a href='/en-us/products/primary-antibodies/mttfa-antibody-epr12285-mitochondrial-marker-ab176558'>ab176558</a>) at 1/40 dilution

Lane 1:

HEK-293 (Human embryonic kidney epithelial cell) whole cell lysate at 10 µg

Lane 2:

<a href='/en-us/products/primary-antibodies/mttfa-antibody-epr12285-mitochondrial-marker-ab176558'>ab176558</a> + HEK-293 whole cell lysate

Lane 3:

Rabbit monoclonal IgG (<a href='/en-us/products/primary-antibodies/rabbit-igg-monoclonal-epr25a-isotype-control-ab172730'>ab172730</a>) instead of <a href='/en-us/products/primary-antibodies/mttfa-antibody-epr12285-mitochondrial-marker-ab176558'>ab176558</a> in HEK-293 whole cell lysate

Secondary

All lanes:

Immunoprecipitation - VeriBlot for IP Detection Reagent (HRP) (<a href='/en-us/products/reagents/veriblot-for-ip-detection-reagent-hrp-ab131366'>ab131366</a>) at 1/1000 dilution

Predicted band size: 29 kDa

false

Immunoprecipitation - Anti-mtTFA antibody [EPR12285] - BSA and Azide free (AB240958)
  • IP

Supplier Data

Immunoprecipitation - Anti-mtTFA antibody [EPR12285] - BSA and Azide free (AB240958)

Western blot analysis on Immunoprecipitation pellet from either 1) 293T cell lysate, or 2) 1xPBS (negative control), showing mtTFA, using unpurified ab176558 at 1/10 dilution and HRP-conjugated anti-rabbit IgG preferentially detecting the non-reduced form of rabbit IgG.

This data was developed using the same antibody clone in a different buffer formulation containing PBS, BSA, glycerol, and sodium azide (ab176558).

All lanes:

Immunoprecipitation - Anti-mtTFA antibody [EPR12285] - Mitochondrial Marker (<a href='/en-us/products/primary-antibodies/mttfa-antibody-epr12285-mitochondrial-marker-ab176558'>ab176558</a>)

Predicted band size: 29 kDa

true

  • Unconjugated

    Anti-mtTFA antibody [EPR12285] - Mitochondrial Marker

  • 519 Alexa Fluor® 488

    Alexa Fluor® 488 Anti-mtTFA antibody [EPR12285] – Mitochondrial Marker

  • 565 Alexa Fluor® 555

    Alexa Fluor® 555 Anti-mtTFA antibody [EPR12285] – Mitochondrial Marker

  • 617 Alexa Fluor® 594

    Alexa Fluor® 594 Anti-mtTFA antibody [EPR12285] – Mitochondrial Marker

  • 665 Alexa Fluor® 647

    Alexa Fluor® 647 Anti-mtTFA antibody [EPR12285] – Mitochondrial Marker

  • 578 PE

    PE Anti-mtTFA antibody [EPR12285] – Mitochondrial Marker

  • 660 APC

    APC Anti-mtTFA antibody [EPR12285] – Mitochondrial Marker

  • 775 Alexa Fluor® 750

    Alexa Fluor® 750 Anti-mtTFA antibody [EPR12285] - Mitochondrial Marker

  • HRP

    HRP Anti-mtTFA antibody [EPR12285] - Mitochondrial Marker

Key facts

Host species

Rabbit

Clonality

Monoclonal

Clone number

EPR12285

Isotype

IgG

Carrier free

Yes

Reacts with

Human

Applications

ICC/IF, WB, IHC-P, IP

applications

Immunogen

The exact immunogen used to generate this antibody is proprietary information.

Reactivity data

{ "title": "Reactivity Data", "filters": { "stats": ["", "Species", "Dilution Info", "Notes"], "tabs": { "all-applications": {"fullname" : "All Applications", "shortname": "All Applications"}, "IHCP" : {"fullname" : "Immunohistochemistry (Formalin/PFA-fixed paraffin-embedded sections)", "shortname":"IHC-P"}, "IP" : {"fullname" : "Immunoprecipitation", "shortname":"IP"}, "WB" : {"fullname" : "Western blot", "shortname":"WB"}, "ICCIF" : {"fullname" : "Immunocytochemistry/ Immunofluorescence", "shortname":"ICC/IF"} }, "product-promise": { "all": "all", "testedAndGuaranteed": "tested", "guaranteed": "expected", "predicted": "predicted", "notRecommended": "not-recommended" } }, "values": { "Human": { "IHCP-species-checked": "testedAndGuaranteed", "IHCP-species-dilution-info": "", "IHCP-species-notes": "<p></p>", "IP-species-checked": "testedAndGuaranteed", "IP-species-dilution-info": "", "IP-species-notes": "<p></p>", "WB-species-checked": "guaranteed", "WB-species-dilution-info": "", "WB-species-notes": "<p></p>", "ICCIF-species-checked": "testedAndGuaranteed", "ICCIF-species-dilution-info": "", "ICCIF-species-notes": "<p></p>" } } }

Product details

ab240958 is the carrier-free version of ab176558.

Species reactivity
Mouse, Rat: We have preliminary internal testing data to indicate this antibody may not react with these species.
Please contact us for more information.

Patented technology
Our RabMAb® technology is a patented hybridoma-based technology for making rabbit monoclonal antibodies. For details on our patents, please refer to RabMAb® patents.

What are the advantages of a recombinant monoclonal antibody?
This product is a recombinant monoclonal antibody, which offers several advantages including:

  • - High batch-to-batch consistency and reproducibility
  • - Improved sensitivity and specificity
  • - Long-term security of supply
  • - Animal-free batch production

For more information, read more on recombinant antibodies.

Conjugation ready
Our carrier-free antibodies are typically supplied in a PBS-only formulation, purified and free of BSA, sodium azide and glycerol. This conjugation-ready format is designed for use with fluorochromes, metal isotopes, oligonucleotides, and enzymes, which makes them ideal for antibody labelling, functional and cell-based assays, flow-based assays (e.g. mass cytometry) and Multiplex Imaging applications.

Use our conjugation kits for antibody conjugates that are ready-to-use in as little as 20 minutes with 1 minute hands-on-time and 100% antibody recovery: available for fluorescent dyes, HRP, biotin and gold.

Compatibility
This product is compatible with the Maxpar® Antibody Labeling Kit from Fluidigm, without the need for antibody preparation. Maxpar® is a trademark of Fluidigm Canada Inc.

Properties and storage information

Form
Liquid
Purification technique
Affinity purification Protein A
Storage buffer
pH: 7.2 - 7.4 Constituents: PBS
Shipped at conditions
Blue Ice
Appropriate short-term storage conditions
+4°C
Appropriate long-term storage conditions
+4°C
Storage information
Do Not Freeze

Supplementary information

This supplementary information is collated from multiple sources and compiled automatically.

MtTFA also known as mitochondrial transcription factor A or TFAM is an important element in mitochondrial DNA regulation. It plays a pivotal role in maintaining mitochondrial genome integrity and ensuring proper mitochondrial function. This protein weighing approximately 25 kDa is expressed within the mitochondria. It binds to the mitochondrial DNA facilitating the transcription and replication processes ensuring the correct functioning of cellular energy metabolism.
Biological function summary

MtTFA is essential for mitochondrial DNA packaging and transcriptional activation. It acts as a binding factor that organizes the mtDNA into a nucleoid-like structure providing protection and stability. MtTFA functions as part of a larger multi-protein complex that includes mitochondrial RNA polymerase ensuring proper transcription of mitochondrial genes. These activities are critical for normal energy production and mitochondrial biogenesis.

Pathways

The mtTFA protein is integral to the oxidative phosphorylation and mitochondrial biogenesis pathways. It orchestrates the expression of genes critical for these pathways alongside related proteins like NRF2 and PGC-1α. MtTFA ensures effective mitochondrial function by modulating the transcription of key mitochondrial-encoded components necessary for electron transport and ATP synthesis thereby sustaining cellular energy balance.

MtTFA dysregulation is associated with mitochondrial diseases and neurodegenerative disorders. Abnormal mtTFA activity disrupts mitochondrial DNA maintenance potentially leading to conditions like mitochondrial myopathy. It is also linked with proteins such as POLG which are involved in mitochondrial DNA replication. Understanding mtTFA's role in these pathologies highlights its importance as a target in therapeutic strategies aimed at restoring mitochondrial function and preventing disease progression.

Product protocols

For this product, it's our understanding that no specific protocols are required. You can visit:

Target data

Binds to the mitochondrial light strand promoter and functions in mitochondrial transcription regulation (PubMed : 29445193, PubMed : 32183942). Component of the mitochondrial transcription initiation complex, composed at least of TFB2M, TFAM and POLRMT that is required for basal transcription of mitochondrial DNA (PubMed : 29149603). In this complex, TFAM recruits POLRMT to a specific promoter whereas TFB2M induces structural changes in POLRMT to enable promoter opening and trapping of the DNA non-template strand (PubMed : 20410300). Required for accurate and efficient promoter recognition by the mitochondrial RNA polymerase (PubMed : 22037172). Promotes transcription initiation from the HSP1 and the light strand promoter by binding immediately upstream of transcriptional start sites (PubMed : 22037172). Is able to unwind DNA (PubMed : 22037172). Bends the mitochondrial light strand promoter DNA into a U-turn shape via its HMG boxes (PubMed : 1737790). Required for maintenance of normal levels of mitochondrial DNA (PubMed : 19304746, PubMed : 22841477). May play a role in organizing and compacting mitochondrial DNA (PubMed : 22037171).
See full target information TFAM

Product promise

We are committed to supporting your work with high-quality reagents, and we're here for you every step of the way. In the unlikely event that one of our products does not perform as expected, you're protected by our Product Promise.
For full details, please see our Terms & Conditions

Please note: All products are 'FOR RESEARCH USE ONLY. NOT FOR USE IN DIAGNOSTIC OR THERAPEUTIC PROCEDURES'.

For licensing inquiries, please contact partnerships@abcam.com