JavaScript is disabled in your browser. Please enable JavaScript to view this website.
AB244237

Anti-mtTFA antibody [EPR12286] - BSA and Azide free

Be the first to review this product! Submit a review

|

(0 Publication)

Rabbit Recombinant Monoclonal mtTFA antibody. Carrier free. Suitable for IHC-P, WB and reacts with Human samples.

View Alternative Names

TCF6, TCF6L2, TFAM, mtTFA, Mitochondrial transcription factor 1, Transcription factor 6, Transcription factor 6-like 2, MtTF1, TCF-6

3 Images
Immunohistochemistry (Formalin/PFA-fixed paraffin-embedded sections) - Anti-mtTFA antibody [EPR12286] - BSA and Azide free (AB244237)
  • IHC-P

Supplier Data

Immunohistochemistry (Formalin/PFA-fixed paraffin-embedded sections) - Anti-mtTFA antibody [EPR12286] - BSA and Azide free (AB244237)

This data was developed using ab171951, the same antibody clone in a different buffer formulation.

Immunohistochemical analysis of paraffin-embedded Human testis tissue labeling mtTFA with ab171951 at 1/100 dilution.

Perform heat mediated antigen retrieval with citrate buffer pH 6 before commencing with IHC staining protocol.

Immunohistochemistry (Formalin/PFA-fixed paraffin-embedded sections) - Anti-mtTFA antibody [EPR12286] - BSA and Azide free (AB244237)
  • IHC-P

Supplier Data

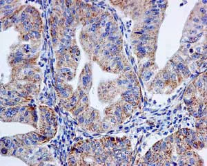
Immunohistochemistry (Formalin/PFA-fixed paraffin-embedded sections) - Anti-mtTFA antibody [EPR12286] - BSA and Azide free (AB244237)

This data was developed using ab171951, the same antibody clone in a different buffer formulation.

Immunohistochemical analysis of paraffin-embedded Human ovarian carcinoma tissue labeling mtTFA with ab171951 at 1/100 dilution.

Perform heat mediated antigen retrieval with citrate buffer pH 6 before commencing with IHC staining protocol.

Western blot - Anti-mtTFA antibody [EPR12286] - BSA and Azide free (AB244237)
  • WB

Supplier Data

Western blot - Anti-mtTFA antibody [EPR12286] - BSA and Azide free (AB244237)

This data was developed using ab171951, the same antibody clone in a different buffer formulation.

All lanes:

Western blot - Anti-mtTFA antibody [EPR12286] - Mitochondrial Marker (<a href='/en-us/products/primary-antibodies/mttfa-antibody-epr12286-mitochondrial-marker-ab171951'>ab171951</a>) at 1/1000 dilution

Lane 1:

A431 cell lysate at 10 µg

Lane 2:

HeLa cell lysate at 10 µg

Lane 3:

MCF7 cell lysate at 10 µg

Lane 4:

K562 cell lysate at 10 µg

Lane 5:

293T cell lysate at 10 µg

Predicted band size: 29 kDa

false

  • Unconjugated

    Anti-mtTFA antibody [EPR12286] - Mitochondrial Marker

Key facts

Host species

Rabbit

Clonality

Monoclonal

Clone number

EPR12286

Isotype

IgG

Carrier free

Yes

Reacts with

Human

Applications

IHC-P, WB

applications

Immunogen

The exact immunogen used to generate this antibody is proprietary information.

Reactivity data

{ "title": "Reactivity Data", "filters": { "stats": ["", "Species", "Dilution Info", "Notes"], "tabs": { "all-applications": {"fullname" : "All Applications", "shortname": "All Applications"}, "IHCP" : {"fullname" : "Immunohistochemistry (Formalin/PFA-fixed paraffin-embedded sections)", "shortname":"IHC-P"}, "IP" : {"fullname" : "Immunoprecipitation", "shortname":"IP"}, "FlowCyt" : {"fullname" : "Flow Cytometry", "shortname":"Flow Cyt"}, "WB" : {"fullname" : "Western blot", "shortname":"WB"}, "ICCIF" : {"fullname" : "Immunocytochemistry/ Immunofluorescence", "shortname":"ICC/IF"} }, "product-promise": { "all": "all", "testedAndGuaranteed": "tested", "guaranteed": "expected", "predicted": "predicted", "notRecommended": "not-recommended" } }, "values": { "Human": { "IHCP-species-checked": "testedAndGuaranteed", "IHCP-species-dilution-info": "", "IHCP-species-notes": "<p></p>", "IP-species-checked": "notRecommended", "IP-species-dilution-info": "", "IP-species-notes": "<p></p>", "FlowCyt-species-checked": "notRecommended", "FlowCyt-species-dilution-info": "", "FlowCyt-species-notes": "<p></p>", "WB-species-checked": "testedAndGuaranteed", "WB-species-dilution-info": "", "WB-species-notes": "<p></p>", "ICCIF-species-checked": "notRecommended", "ICCIF-species-dilution-info": "", "ICCIF-species-notes": "<p></p>" }, "Mouse": { "IHCP-species-checked": "notRecommended", "IHCP-species-dilution-info": "", "IHCP-species-notes": "<p></p>", "IP-species-checked": "notRecommended", "IP-species-dilution-info": "", "IP-species-notes": "<p></p>", "FlowCyt-species-checked": "notRecommended", "FlowCyt-species-dilution-info": "", "FlowCyt-species-notes": "<p></p>", "WB-species-checked": "notRecommended", "WB-species-dilution-info": "", "WB-species-notes": "<p></p>", "ICCIF-species-checked": "notRecommended", "ICCIF-species-dilution-info": "", "ICCIF-species-notes": "<p></p>" }, "Rat": { "IHCP-species-checked": "notRecommended", "IHCP-species-dilution-info": "", "IHCP-species-notes": "<p></p>", "IP-species-checked": "notRecommended", "IP-species-dilution-info": "", "IP-species-notes": "<p></p>", "FlowCyt-species-checked": "notRecommended", "FlowCyt-species-dilution-info": "", "FlowCyt-species-notes": "<p></p>", "WB-species-checked": "notRecommended", "WB-species-dilution-info": "", "WB-species-notes": "<p></p>", "ICCIF-species-checked": "notRecommended", "ICCIF-species-dilution-info": "", "ICCIF-species-notes": "<p></p>" } } }

You may be interested in:

AB109721

Complex I Enzyme Activity Microplate Assay Kit (Colorimetric)

5

4 Reviews

View product

We recommend this product because it’s often used in the same experiment or related research.

We advise that you always check the datasheet to ensure it fits your experiments, or contact ourtechnical teamfor help.

Product details

Properties and storage information

Form
Liquid
Purification technique
Affinity purification Protein A
Storage buffer
pH: 7.2 - 7.4 Constituents: PBS
Shipped at conditions
Blue Ice
Appropriate short-term storage conditions
+4°C
Appropriate long-term storage conditions
+4°C
Storage information
Do Not Freeze

Supplementary information

This supplementary information is collated from multiple sources and compiled automatically.

MtTFA also known as mitochondrial transcription factor A or TFAM is an important element in mitochondrial DNA regulation. It plays a pivotal role in maintaining mitochondrial genome integrity and ensuring proper mitochondrial function. This protein weighing approximately 25 kDa is expressed within the mitochondria. It binds to the mitochondrial DNA facilitating the transcription and replication processes ensuring the correct functioning of cellular energy metabolism.
Biological function summary

MtTFA is essential for mitochondrial DNA packaging and transcriptional activation. It acts as a binding factor that organizes the mtDNA into a nucleoid-like structure providing protection and stability. MtTFA functions as part of a larger multi-protein complex that includes mitochondrial RNA polymerase ensuring proper transcription of mitochondrial genes. These activities are critical for normal energy production and mitochondrial biogenesis.

Pathways

The mtTFA protein is integral to the oxidative phosphorylation and mitochondrial biogenesis pathways. It orchestrates the expression of genes critical for these pathways alongside related proteins like NRF2 and PGC-1α. MtTFA ensures effective mitochondrial function by modulating the transcription of key mitochondrial-encoded components necessary for electron transport and ATP synthesis thereby sustaining cellular energy balance.

MtTFA dysregulation is associated with mitochondrial diseases and neurodegenerative disorders. Abnormal mtTFA activity disrupts mitochondrial DNA maintenance potentially leading to conditions like mitochondrial myopathy. It is also linked with proteins such as POLG which are involved in mitochondrial DNA replication. Understanding mtTFA's role in these pathologies highlights its importance as a target in therapeutic strategies aimed at restoring mitochondrial function and preventing disease progression.

Product protocols

For this product, it's our understanding that no specific protocols are required. You can visit:

Target data

Binds to the mitochondrial light strand promoter and functions in mitochondrial transcription regulation (PubMed : 29445193, PubMed : 32183942). Component of the mitochondrial transcription initiation complex, composed at least of TFB2M, TFAM and POLRMT that is required for basal transcription of mitochondrial DNA (PubMed : 29149603). In this complex, TFAM recruits POLRMT to a specific promoter whereas TFB2M induces structural changes in POLRMT to enable promoter opening and trapping of the DNA non-template strand (PubMed : 20410300). Required for accurate and efficient promoter recognition by the mitochondrial RNA polymerase (PubMed : 22037172). Promotes transcription initiation from the HSP1 and the light strand promoter by binding immediately upstream of transcriptional start sites (PubMed : 22037172). Is able to unwind DNA (PubMed : 22037172). Bends the mitochondrial light strand promoter DNA into a U-turn shape via its HMG boxes (PubMed : 1737790). Required for maintenance of normal levels of mitochondrial DNA (PubMed : 19304746, PubMed : 22841477). May play a role in organizing and compacting mitochondrial DNA (PubMed : 22037171).
See full target information TFAM

Product promise

We are committed to supporting your work with high-quality reagents, and we're here for you every step of the way. In the unlikely event that one of our products does not perform as expected, you're protected by our Product Promise.
For full details, please see our Terms & Conditions

Associated Products

Select an associated product type
Alternative Product
Primary Antibodies

AB47517

Anti-mtTFA antibody - Mitochondrial Marker

primary-antibodies

mttfa-antibody-mitochondrial-marker-ab47517

5

(5 reviews)

Please note: All products are 'FOR RESEARCH USE ONLY. NOT FOR USE IN DIAGNOSTIC OR THERAPEUTIC PROCEDURES'.

For licensing inquiries, please contact partnerships@abcam.com