JavaScript is disabled in your browser. Please enable JavaScript to view this website.
AB272885

Anti-mtTFA antibody - Mitochondrial Marker

Be the first to review this product! Submit a review

|

(9 Publications)

Rabbit Polyclonal mtTFA antibody. Suitable for IP, WB, ICC/IF, IHC-P and reacts with Human, Mouse, Rat samples. Cited in 9 publications. Immunogen corresponding to Recombinant Full Length Protein corresponding to Human TFAM.

View Alternative Names

TCF6, TCF6L2, TFAM, mtTFA, Mitochondrial transcription factor 1, Transcription factor 6, Transcription factor 6-like 2, MtTF1, TCF-6

8 Images
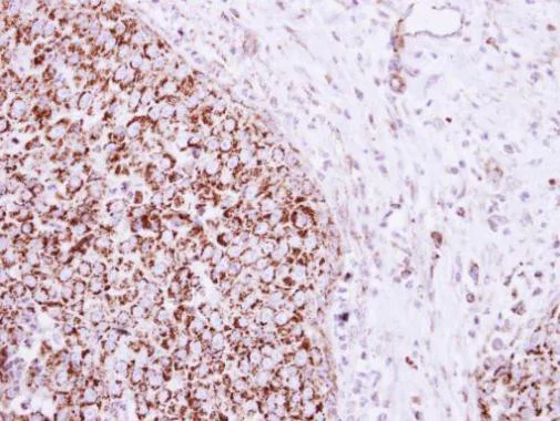
Immunohistochemistry (Formalin/PFA-fixed paraffin-embedded sections) - Anti-mtTFA antibody - Mitochondrial Marker (AB272885)
  • IHC-P

Supplier Data

Immunohistochemistry (Formalin/PFA-fixed paraffin-embedded sections) - Anti-mtTFA antibody - Mitochondrial Marker (AB272885)

Paraffin-embedded human breast cancer tissue stained for mtTFA using ab272885 at 1/250 dilution in immunohistochemical analysis. Antigen retrieval using EDTA based, pH 8.0 buffer, 15 minutes.

Immunocytochemistry/ Immunofluorescence - Anti-mtTFA antibody - Mitochondrial Marker (AB272885)
  • ICC/IF

Supplier Data

Immunocytochemistry/ Immunofluorescence - Anti-mtTFA antibody - Mitochondrial Marker (AB272885)

4% PFA-fixed HeLa (human epithelial cell line from cervix adenocarcinoma) cells stained for mtTFA using ab272885 at 1/500 dilution in ICC/IF. Red : Mitotracker, a mitochondria marker, diluted at 1 : 2000. Blue : Hoechst 33342 staining.

Immunocytochemistry/ Immunofluorescence - Anti-mtTFA antibody - Mitochondrial Marker (AB272885)
  • ICC/IF

Supplier Data

Immunocytochemistry/ Immunofluorescence - Anti-mtTFA antibody - Mitochondrial Marker (AB272885)

2% paraformaldehyde/culture medium fixed NTERA-2 cl.D1 [NT2/D1] (Human malignant pluripotent embryonic carcinoma cell line) cells stained for mtTFA using ab272885 at 1/500 dilution in ICC/IF. Blue : Hoechst 33342 staining.

Immunoprecipitation - Anti-mtTFA antibody - Mitochondrial Marker (AB272885)
  • IP

Supplier Data

Immunoprecipitation - Anti-mtTFA antibody - Mitochondrial Marker (AB272885)

Immunoprecipitation - Anti-mtTFA antibody (ab272885).

Sample : HEK-293T (human epithelial cell line from embryonic kidney transformed with large T antigen) whole cell lysate

A. 40 μg HEK-293T whole cell lysate.

B. Control with 2 μg of preimmune rabbit IgG

C. Immunoprecipitation of mtTFA protein by 2 μg of ab272885

12% SDS-PAGE

The immunoprecipitated mtTFA protein was detected by ab272885 diluted at 1 : 1000, followed by anti-rabbit IgG-HRP secondary antibody.

All lanes:

Immunoprecipitation - Anti-mtTFA antibody - Mitochondrial Marker (ab272885)

Predicted band size: 29 kDa

false

Western blot - Anti-mtTFA antibody - Mitochondrial Marker (AB272885)
  • WB

Supplier Data

Western blot - Anti-mtTFA antibody - Mitochondrial Marker (AB272885)

12% SDS-PAGE

All lanes:

Western blot - Anti-mtTFA antibody - Mitochondrial Marker (ab272885) at 1/1000 dilution

Lane 1:

HEK-293T (human epithelial cell line from embryonic kidney transformed with large T antigen) whole cell lysate at 30 µg

Lane 2:

A431 (human epidermoid carcinoma cell line) whole cell lysate at 30 µg

Lane 3:

HeLa (human epithelial cell line from cervix adenocarcinoma) whole cell lysate at 30 µg

Lane 4:

HepG2 (human liver hepatocellular carcinoma cell line) whole cell lysate at 30 µg

Predicted band size: 29 kDa

false

Western blot - Anti-mtTFA antibody - Mitochondrial Marker (AB272885)
  • WB

Supplier Data

Western blot - Anti-mtTFA antibody - Mitochondrial Marker (AB272885)

12% SDS-PAGE

All lanes:

Western blot - Anti-mtTFA antibody - Mitochondrial Marker (ab272885) at 1/500 dilution

Lane 1:

PC-12 (rat adrenal gland pheochromocytoma cell line) whole cell lysate at 30 µg

Lane 2:

Rat2 (rat fibroblast cell line) whole cell lysate at 30 µg

Secondary

All lanes:

HRP-conjugated anti-rabbit IgG antibody

Predicted band size: 29 kDa

false

Western blot - Anti-mtTFA antibody - Mitochondrial Marker (AB272885)
  • WB

Supplier Data

Western blot - Anti-mtTFA antibody - Mitochondrial Marker (AB272885)

12% SDS-PAGE

All lanes:

Western blot - Anti-mtTFA antibody - Mitochondrial Marker (ab272885) at 1/1000 dilution

All lanes:

Neuro-2a (mouse neuroblastoma cell line) whole cell lysate at 30 µg

Predicted band size: 29 kDa

false

Western blot - Anti-mtTFA antibody - Mitochondrial Marker (AB272885)
  • WB

Unknown

Western blot - Anti-mtTFA antibody - Mitochondrial Marker (AB272885)

12% SDS-PAGE

All lanes:

Western blot - Anti-mtTFA antibody - Mitochondrial Marker (ab272885) at 1/3000 dilution

Lane 1:

Non-transfected HEK-293T whole cell extracts at 30 µg

Lane 2:

mTFA shRNA transfected HEK-293T whole cell extracts at 30 µg

Secondary

All lanes:

HRP-conjugated anti-rabbit IgG

Predicted band size: 29 kDa

false

Key facts

Host species

Rabbit

Clonality

Polyclonal

Isotype

IgG

Carrier free

No

Reacts with

Mouse, Rat, Human

Applications

WB, IP, IHC-P, ICC/IF

applications

Immunogen

Recombinant Full Length Protein corresponding to Human TFAM.

Q00059

Reactivity data

{ "title": "Reactivity Data", "filters": { "stats": ["", "Species", "Dilution Info", "Notes"], "tabs": { "all-applications": {"fullname" : "All Applications", "shortname": "All Applications"}, "IP" : {"fullname" : "Immunoprecipitation", "shortname":"IP"}, "WB" : {"fullname" : "Western blot", "shortname":"WB"}, "ICCIF" : {"fullname" : "Immunocytochemistry/ Immunofluorescence", "shortname":"ICC/IF"}, "IHCP" : {"fullname" : "Immunohistochemistry (Formalin/PFA-fixed paraffin-embedded sections)", "shortname":"IHC-P"} }, "product-promise": { "all": "all", "testedAndGuaranteed": "tested", "guaranteed": "expected", "predicted": "predicted", "notRecommended": "not-recommended" } }, "values": { "Human": { "IP-species-checked": "testedAndGuaranteed", "IP-species-dilution-info": "1/100 - 1/500", "IP-species-notes": "<p></p>", "WB-species-checked": "testedAndGuaranteed", "WB-species-dilution-info": "1/500 - 1/3000", "WB-species-notes": "<p></p>", "ICCIF-species-checked": "testedAndGuaranteed", "ICCIF-species-dilution-info": "1/100 - 1/1000", "ICCIF-species-notes": "<p></p>", "IHCP-species-checked": "testedAndGuaranteed", "IHCP-species-dilution-info": "1/100 - 1/1000", "IHCP-species-notes": "<p></p>" }, "Mouse": { "IP-species-checked": "guaranteed", "IP-species-dilution-info": "", "IP-species-notes": "", "WB-species-checked": "testedAndGuaranteed", "WB-species-dilution-info": "1/500 - 1/3000", "WB-species-notes": "<p></p>", "ICCIF-species-checked": "guaranteed", "ICCIF-species-dilution-info": "", "ICCIF-species-notes": "", "IHCP-species-checked": "guaranteed", "IHCP-species-dilution-info": "", "IHCP-species-notes": "" }, "Rat": { "IP-species-checked": "guaranteed", "IP-species-dilution-info": "", "IP-species-notes": "", "WB-species-checked": "testedAndGuaranteed", "WB-species-dilution-info": "1/500 - 1/3000", "WB-species-notes": "<p></p>", "ICCIF-species-checked": "guaranteed", "ICCIF-species-dilution-info": "", "ICCIF-species-notes": "", "IHCP-species-checked": "guaranteed", "IHCP-species-dilution-info": "", "IHCP-species-notes": "" } } }

Properties and storage information

Form
Liquid
Purification technique
Affinity purification Immunogen
Storage buffer
pH: 7 Preservative: 0.01% Thimerosal (merthiolate) Constituents: 20% Glycerol (glycerin, glycerine), 1.21% Tris, 0.75% Glycine
Shipped at conditions
Blue Ice
Appropriate short-term storage duration
1-2 weeks
Appropriate short-term storage conditions
+4°C
Appropriate long-term storage conditions
-20°C
Aliquoting information
Upon delivery aliquot
Storage information
Avoid freeze / thaw cycle

Supplementary information

This supplementary information is collated from multiple sources and compiled automatically.

MtTFA also known as mitochondrial transcription factor A or TFAM is an important element in mitochondrial DNA regulation. It plays a pivotal role in maintaining mitochondrial genome integrity and ensuring proper mitochondrial function. This protein weighing approximately 25 kDa is expressed within the mitochondria. It binds to the mitochondrial DNA facilitating the transcription and replication processes ensuring the correct functioning of cellular energy metabolism.
Biological function summary

MtTFA is essential for mitochondrial DNA packaging and transcriptional activation. It acts as a binding factor that organizes the mtDNA into a nucleoid-like structure providing protection and stability. MtTFA functions as part of a larger multi-protein complex that includes mitochondrial RNA polymerase ensuring proper transcription of mitochondrial genes. These activities are critical for normal energy production and mitochondrial biogenesis.

Pathways

The mtTFA protein is integral to the oxidative phosphorylation and mitochondrial biogenesis pathways. It orchestrates the expression of genes critical for these pathways alongside related proteins like NRF2 and PGC-1α. MtTFA ensures effective mitochondrial function by modulating the transcription of key mitochondrial-encoded components necessary for electron transport and ATP synthesis thereby sustaining cellular energy balance.

MtTFA dysregulation is associated with mitochondrial diseases and neurodegenerative disorders. Abnormal mtTFA activity disrupts mitochondrial DNA maintenance potentially leading to conditions like mitochondrial myopathy. It is also linked with proteins such as POLG which are involved in mitochondrial DNA replication. Understanding mtTFA's role in these pathologies highlights its importance as a target in therapeutic strategies aimed at restoring mitochondrial function and preventing disease progression.

Product protocols

For this product, it's our understanding that no specific protocols are required. You can visit:

Target data

Binds to the mitochondrial light strand promoter and functions in mitochondrial transcription regulation (PubMed : 29445193, PubMed : 32183942). Component of the mitochondrial transcription initiation complex, composed at least of TFB2M, TFAM and POLRMT that is required for basal transcription of mitochondrial DNA (PubMed : 29149603). In this complex, TFAM recruits POLRMT to a specific promoter whereas TFB2M induces structural changes in POLRMT to enable promoter opening and trapping of the DNA non-template strand (PubMed : 20410300). Required for accurate and efficient promoter recognition by the mitochondrial RNA polymerase (PubMed : 22037172). Promotes transcription initiation from the HSP1 and the light strand promoter by binding immediately upstream of transcriptional start sites (PubMed : 22037172). Is able to unwind DNA (PubMed : 22037172). Bends the mitochondrial light strand promoter DNA into a U-turn shape via its HMG boxes (PubMed : 1737790). Required for maintenance of normal levels of mitochondrial DNA (PubMed : 19304746, PubMed : 22841477). May play a role in organizing and compacting mitochondrial DNA (PubMed : 22037171).
See full target information TFAM

Publications (9)

Recent publications for all applications. Explore the full list and refine your search

Nature communications 16:3003 PubMed40148277

2025

Proapoptotic Bcl-2 inhibitor as potential host directed therapy for pulmonary tuberculosis.

Applications

Unspecified application

Species

Unspecified reactive species

Medha Singh,Mona O Sarhan,Nerketa N L Damiba,Alok K Singh,Andres Villabona-Rueda,Oscar J Nino-Meza,Xueyi Chen,Yuderleys Masias-Leon,Carlos E Ruiz-Gonzalez,Alvaro A Ordonez,Franco R D'Alessio,Eric O Aboagye,Laurence S Carroll,Sanjay K Jain

MedComm 6:e70142 PubMed40104261

2025

Swimming Exercise Pretreatment Attenuates Postoperative Delirium-Like Behavior in Type 2 Diabetic Rats by Enhancing Mitochondrial Biogenesis Through Activation of SIRT2 Deacetylation.

Applications

Unspecified application

Species

Unspecified reactive species

Kaixi Liu,Lei Chen,Xinning Mi,Qian Wang,Yitong Li,Jingshu Hong,Xiaoxiao Wang,Yue Li,Yanan Song,Yi Yuan,Jie Wang,Dengyang Han,Taotao Liu,Ning Yang,Xiangyang Guo,Zhengqian Li

Diabetology & metabolic syndrome 16:40 PubMed38341600

2024

Sacubitril/valsartan ameliorates tubulointerstitial fibrosis by restoring mitochondrial homeostasis in diabetic kidney disease.

Applications

Unspecified application

Species

Unspecified reactive species

Xing-Jian Zhang,Cong-Cong Liu,Zuo-Lin Li,Lin Ding,Yan Zhou,Dong-Jie Zhang,Yao Zhang,Shu-Ting Hou,Rui-Xia Ma

Theranostics 14:56-74 PubMed38164158

2024

Selective induction of Rab9-dependent alternative mitophagy using a synthetic derivative of isoquinoline alleviates mitochondrial dysfunction and cognitive deficits in Alzheimer's disease models.

Applications

Unspecified application

Species

Unspecified reactive species

Jee-Hyun Um,Dong Jin Shin,Se Myeong Choi,Alen Benhur Pravin Nathan,Young Yeon Kim,Da Ye Lee,Dae Jin Jeong,Dong Hyun Kim,Kyung Hwa Kim,Young Hye Kim,Jihoon Nah,Jeong-Hee Jeong,Eunhee Yoo,Hwa Kyoung Shin,Hwan Tae Park,Jihoon Jo,Jong Hyun Cho,Jeanho Yun

FASEB journal : official publication of the Federation of American Societies for Experimental Biology 37:e22852 PubMed36906289

2023

Polydatin inhibits mitochondrial damage and mitochondrial ROS by promoting PINK1-Parkin-mediated mitophagy in allergic rhinitis.

Applications

Unspecified application

Species

Unspecified reactive species

Siqi Liu,Chongyang Wang,Yulian Zhang,Yalin Zhang,Yilan Song,Jingzhi Jiang,Ruobai Liu,Hainan Jin,Guanghai Yan,Yongde Jin

Redox biology 60:102631 PubMed36791646

2023

Peroxiredoxin 2 is required for the redox mediated adaptation to exercise.

Applications

Unspecified application

Species

Unspecified reactive species

Qin Xia,Jose C Casas-Martinez,Eduardo Zarzuela,Javier Muñoz,Antonio Miranda-Vizuete,Katarzyna Goljanek-Whysall,Brian McDonagh

Communications biology 5:1088 PubMed36224248

2022

The purine metabolite inosine monophosphate accelerates myelopoiesis and acute pancreatitis progression.

Applications

Unspecified application

Species

Unspecified reactive species

Xiao-Min Luo,Sin Man Lam,Yuan Dong,Xiao-Juan Ma,Cen Yan,Yue-Jie Zhang,Yu Cao,Li Su,Guotao Lu,Jin-Kui Yang,Guanghou Shui,Ying-Mei Feng

Renal failure 44:1545-1557 PubMed36148521

2022

Activation of AMPK-PGC-1α pathway ameliorates peritoneal dialysis related peritoneal fibrosis in mice by enhancing mitochondrial biogenesis.

Applications

Unspecified application

Species

Unspecified reactive species

Jun Wu,Jushuang Li,Baohong Feng,Zhimin Bi,Geli Zhu,Yanxia Zhang,Xiangyou Li

Clinical and translational medicine 11:e295 PubMed33634976

2021

Milk fat globule EGF factor 8 restores mitochondrial function via integrin-medicated activation of the FAK-STAT3 signaling pathway in acute pancreatitis.

Applications

Unspecified application

Species

Unspecified reactive species

Yifan Ren,Wuming Liu,Lin Zhang,Jia Zhang,Jianbin Bi,Tao Wang,Mengzhou Wang,Zhaoqing Du,Yawen Wang,Lin Zhang,Zheng Wu,Yi Lv,Lingzhong Meng,Rongqian Wu
View all publications

Product promise

We are committed to supporting your work with high-quality reagents, and we're here for you every step of the way. In the unlikely event that one of our products does not perform as expected, you're protected by our Product Promise.
For full details, please see our Terms & Conditions

Please note: All products are 'FOR RESEARCH USE ONLY. NOT FOR USE IN DIAGNOSTIC OR THERAPEUTIC PROCEDURES'.

For licensing inquiries, please contact partnerships@abcam.com