JavaScript is disabled in your browser. Please enable JavaScript to view this website.
AB321881

Anti-MTTP/MTP antibody [EPR27197-78]

Be the first to review this product! Submit a review

|

(0 Publication)

Rabbit Recombinant Monoclonal MTTP/MTP antibody. Suitable for WB and reacts with Human, Mouse samples.

View Alternative Names

MTP, MTTP, Microsomal triglyceride transfer protein large subunit

3 Images
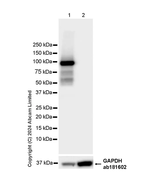
Western blot - Anti-MTTP/MTP antibody [EPR27197-78] (AB321881)
  • WB

Supplier Data

Western blot - Anti-MTTP/MTP antibody [EPR27197-78] (AB321881)

Blocking and diluting buffer and concentration : 5% NFDM/TBST.

Negative control : skeletal muscle

In Western blot, Anti-GAPDH antibody [EPR16891] - Loading Control (ab181602) staining at 1/200000 dilution.

All lanes:

Western blot - Anti-MTTP/MTP antibody [EPR27197-78] (ab321881) at 1/1000 dilution

Lane 1:

Human liver tissue lysate at 20 µg

Lane 2:

Human skeletal muscle tissue lysate at 20 µg

Secondary

All lanes:

Western blot - Goat Anti-Rabbit IgG H&L (HRP) (<a href='/en-us/products/secondary-antibodies/goat-rabbit-igg-h-l-hrp-ab97051'>ab97051</a>) at 1/100000 dilution

Observed band size: 100 kDa,36 kDa

false

Exposure time: 10s

Western blot - Anti-MTTP/MTP antibody [EPR27197-78] (AB321881)
  • WB

Supplier Data

Western blot - Anti-MTTP/MTP antibody [EPR27197-78] (AB321881)

Blocking and diluting buffer and concentration : 5% NFDM/TBST.

Negative control : A549, U-2 OS(PMID : 33315072)

In Western blot, Anti-GAPDH antibody [EPR16891] - Loading Control (ab181602) staining at 1/200000 dilution.

All lanes:

Western blot - Anti-MTTP/MTP antibody [EPR27197-78] (ab321881) at 1/1000 dilution

Lane 1:

HepG2 (human hepatocellar carcinoma epithelial cell) whole cell lysate at 30 µg

Lane 2:

Huh7 (human hepatocellar carcinoma epithelial cell) whole cell lysate at 30 µg

Lane 3:

A549 (human lung carcinoma epithelial cell) whole cell lysate at 30 µg

Lane 4:

U-2 OS (human bone osteosarcoma epithelial cell) whole cell lysate at 30 µg

Secondary

All lanes:

Western blot - Goat Anti-Rabbit IgG H&L (HRP) (<a href='/en-us/products/secondary-antibodies/goat-rabbit-igg-h-l-hrp-ab97051'>ab97051</a>) at 1/100000 dilution

Observed band size: 100 kDa,36 kDa

false

Exposure time: 180s

Western blot - Anti-MTTP/MTP antibody [EPR27197-78] (AB321881)
  • WB

Supplier Data

Western blot - Anti-MTTP/MTP antibody [EPR27197-78] (AB321881)

Blocking and diluting buffer and concentration : 5% NFDM/TBST.

Low expression : white fat(PMID : 17635917)

Negative control : skeletal muscle, kidney, spleen

In Western blot, Anti-Vinculin antibody [EPR8185] (ab129002) staining at 1/10000 dilution.

All lanes:

Western blot - Anti-MTTP/MTP antibody [EPR27197-78] (ab321881) at 1/1000 dilution

Lane 1:

Mouse small intestine tissue lysate at 20 µg

Lane 2:

Mouse spleen tissue lysate at 20 µg

Lane 3:

Mouse kidney tissue lysate at 20 µg

Lane 4:

Mouse liver tissue lysate at 20 µg

Lane 5:

Mouse skeletal muscle tissue lysate at 20 µg

Lane 6:

Mouse white fat tissue lysate at 20 µg

Secondary

All lanes:

Western blot - Goat Anti-Rabbit IgG H&L (HRP) (<a href='/en-us/products/secondary-antibodies/goat-rabbit-igg-h-l-hrp-ab97051'>ab97051</a>) at 1/100000 dilution

Observed band size: 100 kDa,124 kDa

false

Exposure time: 59s

Key facts

Host species

Rabbit

Clonality

Monoclonal

Clone number

EPR27197-78

Isotype

IgG

Carrier free

No

Reacts with

Human, Mouse

Applications

WB

applications

Immunogen

The exact immunogen used to generate this antibody is proprietary information.

Reactivity data

{ "title": "Reactivity Data", "filters": { "stats": ["", "Species", "Dilution Info", "Notes"], "tabs": { "all-applications": {"fullname" : "All Applications", "shortname": "All Applications"}, "WB" : {"fullname" : "Western blot", "shortname":"WB"}, "ICCIF" : {"fullname" : "Immunocytochemistry/ Immunofluorescence", "shortname":"ICC/IF"} }, "product-promise": { "all": "all", "testedAndGuaranteed": "tested", "guaranteed": "expected", "predicted": "predicted", "notRecommended": "not-recommended" } }, "values": { "Human": { "WB-species-checked": "testedAndGuaranteed", "WB-species-dilution-info": "1/1000", "WB-species-notes": "<p></p>", "ICCIF-species-checked": "notRecommended", "ICCIF-species-dilution-info": "", "ICCIF-species-notes": "<p></p>" }, "Mouse": { "WB-species-checked": "testedAndGuaranteed", "WB-species-dilution-info": "1/1000", "WB-species-notes": "<p></p>", "ICCIF-species-checked": "notRecommended", "ICCIF-species-dilution-info": "", "ICCIF-species-notes": "<p></p>" } } }

Product details

Patented technology
Our RabMAb® technology is a patented hybridoma-based technology for making rabbit monoclonal antibodies. For details on our patents, please refer to RabMAb® patents.

What are the advantages of a recombinant monoclonal antibody?
This product is a recombinant monoclonal antibody, which offers several advantages including:

  • - High batch-to-batch consistency and reproducibility
  • - Improved sensitivity and specificity
  • - Long-term security of supply
  • - Animal-free batch production

For more information, read more on recombinant antibodies.

Properties and storage information

Form
Liquid
Purification technique
Affinity purification Protein A
Storage buffer
pH: 7.2 - 7.4 Preservative: 0.01% Sodium azide Constituents: PBS, 40% Glycerol (glycerin, glycerine), 0.05% BSA
Shipped at conditions
Blue Ice
Appropriate short-term storage duration
1-2 weeks
Appropriate short-term storage conditions
+4°C
Appropriate long-term storage conditions
-20°C
Aliquoting information
Upon delivery aliquot
Storage information
Avoid freeze / thaw cycle

Product protocols

For this product, it's our understanding that no specific protocols are required. You can visit:

Target data

Catalyzes the transport of triglyceride, cholesteryl ester, and phospholipid between phospholipid surfaces (PubMed : 15897609, PubMed : 16478722, PubMed : 22236406, PubMed : 23475612, PubMed : 25108285, PubMed : 26224785, PubMed : 8876250, PubMed : 8939939). Required for the assembly and secretion of plasma lipoproteins that contain apolipoprotein B (PubMed : 16478722, PubMed : 23475612, PubMed : 26224785, PubMed : 8876250, PubMed : 8939939). May be involved in regulating cholesteryl ester biosynthesis in cells that produce lipoproteins (By similarity).
See full target information MTTP

Product promise

We are committed to supporting your work with high-quality reagents, and we're here for you every step of the way. In the unlikely event that one of our products does not perform as expected, you're protected by our Product Promise.
For full details, please see our Terms & Conditions

Please note: All products are 'FOR RESEARCH USE ONLY. NOT FOR USE IN DIAGNOSTIC OR THERAPEUTIC PROCEDURES'.

For licensing inquiries, please contact partnerships@abcam.com