JavaScript is disabled in your browser. Please enable JavaScript to view this website.
AB314877

Anti-mu Crystallin antibody [EPR28406-56] - BSA and Azide free

Be the first to review this product! Submit a review

|

(0 Publication)

Rabbit Recombinant Monoclonal mu Crystallin antibody. Carrier free. Suitable for WB, IHC-P and reacts with Human, Mouse, Rat samples.

View Alternative Names

THBP, CRYM, Ketimine reductase mu-crystallin, NADP-regulated thyroid-hormone-binding protein

10 Images
Immunohistochemistry (Formalin/PFA-fixed paraffin-embedded sections) - Anti-mu Crystallin antibody [EPR28406-56] - BSA and Azide free (AB314877)
  • IHC-P

Supplier Data

Immunohistochemistry (Formalin/PFA-fixed paraffin-embedded sections) - Anti-mu Crystallin antibody [EPR28406-56] - BSA and Azide free (AB314877)

This data was developed using ab314876, the same antibody clone in a different buffer formulation. Immunohistochemical analysis of paraffin-embedded human placenta tissue labeling mu Crystallin with ab314876 at 1/1000 (0.502 ug/ml) followed by a ready to use LeicaDS9800 (Bond™ Polymer Refine Detection). Low expression tissue : Nearly no staining on human placenta (PMID : 1384048). The section was incubated with ab314876 for 30 mins at room temperature. The immunostaining was performed on a Leica Biosystems BOND® RX instrument. Counterstained with Hematoxylin. Secondary antibody only control : Secondary antibody is a ready to use LeicaDS9800 (Bond™ Polymer Refine Detection). Heat mediated antigen retrieval was performed with Tris-EDTA buffer (pH 9.0, Epitope Retrieval Solution2) for 20 mins.

Immunohistochemistry (Formalin/PFA-fixed paraffin-embedded sections) - Anti-mu Crystallin antibody [EPR28406-56] - BSA and Azide free (AB314877)
  • IHC-P

Supplier Data

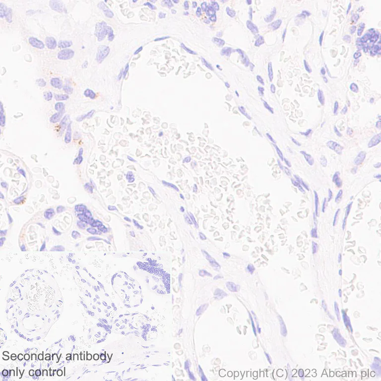
Immunohistochemistry (Formalin/PFA-fixed paraffin-embedded sections) - Anti-mu Crystallin antibody [EPR28406-56] - BSA and Azide free (AB314877)

This data was developed using ab314876, the same antibody clone in a different buffer formulation. Immunohistochemical analysis of paraffin-embedded human kidney tissue labeling mu Crystallin with ab314876 at 1/1000 (0.502 ug/ml) followed by a ready to use LeicaDS9800 (Bond™ Polymer Refine Detection). Positive staining on human kidney. The section was incubated with ab314876 for 30 mins at room temperature. The immunostaining was performed on a Leica Biosystems BOND® RX instrument. Counterstained with Hematoxylin. Secondary antibody only control : Secondary antibody is a ready to use LeicaDS9800 (Bond™ Polymer Refine Detection). Heat mediated antigen retrieval was performed with Tris-EDTA buffer (pH 9.0, Epitope Retrieval Solution2) for 20 mins.

Immunohistochemistry (Formalin/PFA-fixed paraffin-embedded sections) - Anti-mu Crystallin antibody [EPR28406-56] - BSA and Azide free (AB314877)
  • IHC-P

Supplier Data

Immunohistochemistry (Formalin/PFA-fixed paraffin-embedded sections) - Anti-mu Crystallin antibody [EPR28406-56] - BSA and Azide free (AB314877)

This data was developed using ab314876, the same antibody clone in a different buffer formulation. Immunohistochemical analysis of paraffin-embedded human cerebrum tissue labeling mu Crystallin with ab314876 at 1/1000 (0.502 ug/ml) followed by a ready to use LeicaDS9800 (Bond™ Polymer Refine Detection). Positive staining on human cerebrum. The section was incubated with ab314876 for 30 mins at room temperature. The immunostaining was performed on a Leica Biosystems BOND® RX instrument. Counterstained with Hematoxylin. Secondary antibody only control : Secondary antibody is a ready to use LeicaDS9800 (Bond™ Polymer Refine Detection). Heat mediated antigen retrieval was performed with Tris-EDTA buffer (pH 9.0, Epitope Retrieval Solution2) for 20 mins.

Immunohistochemistry (Formalin/PFA-fixed paraffin-embedded sections) - Anti-mu Crystallin antibody [EPR28406-56] - BSA and Azide free (AB314877)
  • IHC-P

Supplier Data

Immunohistochemistry (Formalin/PFA-fixed paraffin-embedded sections) - Anti-mu Crystallin antibody [EPR28406-56] - BSA and Azide free (AB314877)

This data was developed using ab314876, the same antibody clone in a different buffer formulation. Immunohistochemical analysis of paraffin-embedded mouse cerebrum tissue labeling mu Crystallin with ab314876 at 1/1000 (0.502 ug/ml) followed by a ready to use LeicaDS9800 (Bond™ Polymer Refine Detection). Positive staining on mouse cerebrum (PMID : 31213993). The section was incubated with ab314876 for 30 mins at room temperature. The immunostaining was performed on a Leica Biosystems BOND® RX instrument. Counterstained with Hematoxylin. Secondary antibody only control : Secondary antibody is a ready to use LeicaDS9800 (Bond™ Polymer Refine Detection). Heat mediated antigen retrieval was performed with Tris-EDTA buffer (pH 9.0, Epitope Retrieval Solution2) for 20 mins.

Immunohistochemistry (Formalin/PFA-fixed paraffin-embedded sections) - Anti-mu Crystallin antibody [EPR28406-56] - BSA and Azide free (AB314877)
  • IHC-P

Supplier Data

Immunohistochemistry (Formalin/PFA-fixed paraffin-embedded sections) - Anti-mu Crystallin antibody [EPR28406-56] - BSA and Azide free (AB314877)

This data was developed using ab314876, the same antibody clone in a different buffer formulation. Immunohistochemical analysis of paraffin-embedded rat cerebrum tissue labeling mu Crystallin with ab314876 at 1/1000 (0.502 ug/ml) followed by a ready to use LeicaDS9800 (Bond™ Polymer Refine Detection). Positive staining on rat cerebrum. The section was incubated with ab314876 for 30 mins at room temperature. The immunostaining was performed on a Leica Biosystems BOND® RX instrument. Counterstained with Hematoxylin. Secondary antibody only control : Secondary antibody is a ready to use LeicaDS9800 (Bond™ Polymer Refine Detection). Heat mediated antigen retrieval was performed with Tris-EDTA buffer (pH 9.0, Epitope Retrieval Solution2) for 20 mins.

Immunohistochemistry (Formalin/PFA-fixed paraffin-embedded sections) - Anti-mu Crystallin antibody [EPR28406-56] - BSA and Azide free (AB314877)
  • IHC-P

Supplier Data

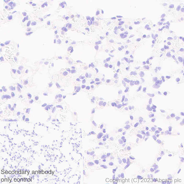
Immunohistochemistry (Formalin/PFA-fixed paraffin-embedded sections) - Anti-mu Crystallin antibody [EPR28406-56] - BSA and Azide free (AB314877)

This data was developed using ab314876, the same antibody clone in a different buffer formulation. Immunohistochemical analysis of paraffin-embedded rat lung tissue labeling mu Crystallin with ab314876 at 1/1000 (0.502 ug/ml) followed by a ready to use LeicaDS9800 (Bond™ Polymer Refine Detection). Low expression tissue : No staining on rat lung (PMID : 1384048). The section was incubated with ab314876 for 30 mins at room temperature. The immunostaining was performed on a Leica Biosystems BOND® RX instrument. Counterstained with Hematoxylin. Secondary antibody only control : Secondary antibody is a ready to use LeicaDS9800 (Bond™ Polymer Refine Detection). Heat mediated antigen retrieval was performed with Tris-EDTA buffer (pH 9.0, Epitope Retrieval Solution2) for 20 mins.

Immunohistochemistry (Formalin/PFA-fixed paraffin-embedded sections) - Anti-mu Crystallin antibody [EPR28406-56] - BSA and Azide free (AB314877)
  • IHC-P

Supplier Data

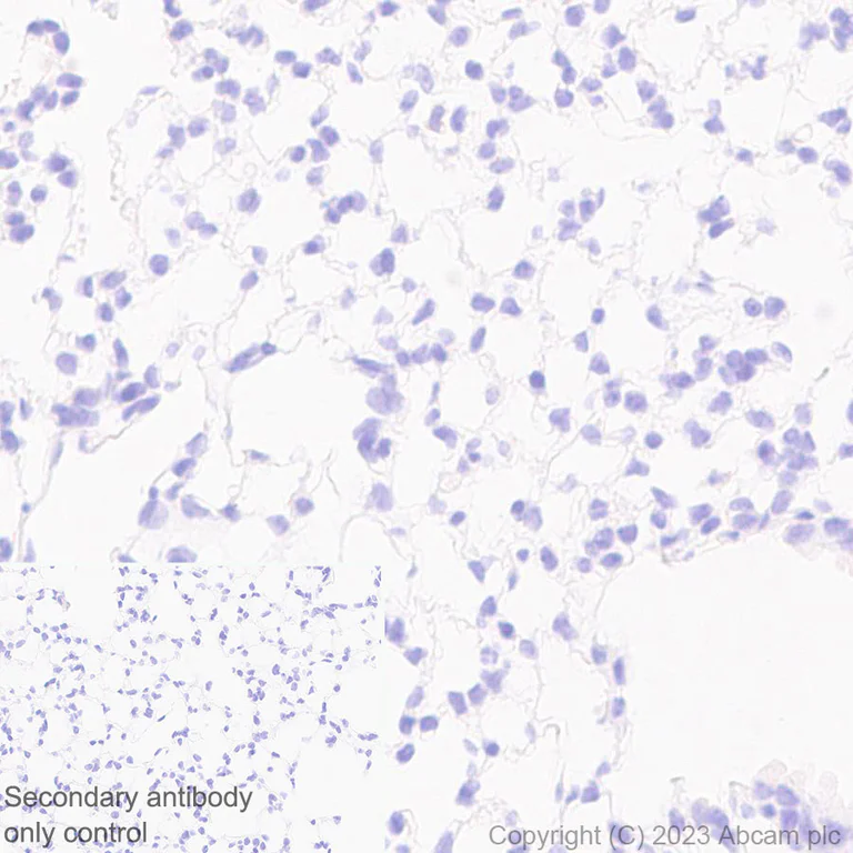
Immunohistochemistry (Formalin/PFA-fixed paraffin-embedded sections) - Anti-mu Crystallin antibody [EPR28406-56] - BSA and Azide free (AB314877)

This data was developed using ab314876, the same antibody clone in a different buffer formulation. Immunohistochemical analysis of paraffin-embedded mouse lung tissue labeling mu Crystallin with ab314876 at 1/1000 (0.502 ug/ml) followed by a ready to use LeicaDS9800 (Bond™ Polymer Refine Detection). Low expression tissue : No staining on mouse lung. The section was incubated with ab314876 for 30 mins at room temperature. The immunostaining was performed on a Leica Biosystems BOND® RX instrument. Counterstained with Hematoxylin. Secondary antibody only control : Secondary antibody is a ready to use LeicaDS9800 (Bond™ Polymer Refine Detection). Heat mediated antigen retrieval was performed with Tris-EDTA buffer (pH 9.0, Epitope Retrieval Solution2) for 20 mins.

Western blot - Anti-mu Crystallin antibody [EPR28406-56] - BSA and Azide free (AB314877)
  • WB

Supplier Data

Western blot - Anti-mu Crystallin antibody [EPR28406-56] - BSA and Azide free (AB314877)

This data was developed using ab314876, the same antibody clone in a different buffer formulation. Blocking and diluting buffer and concentration : 5% NFDM/TBST Low expression : placenta (PMID : 1384048), liver (PMID : 1384048). In Western blot, Anti-GAPDH antibody [EPR16891] - Loading Control (ab181602) staining at 1/200000 dilution.

All lanes:

Western blot - Anti-mu Crystallin antibody [EPR28406-56] (<a href='/en-us/products/primary-antibodies/mu-crystallin-antibody-epr28406-56-ab314876'>ab314876</a>) at 1/1000 dilution

Lane 1:

Human placenta tissue lysate at 20 µg

Lane 2:

Human heart tissue lysate at 20 µg

Lane 3:

Human kidney tissue lysate at 20 µg

Lane 4:

Human liver tissue lysate at 20 µg

Secondary

All lanes:

Goat Anti-Rabbit IgG (HRP) with minimal cross-reactivity with human IgG at 1/2000 dilution

Observed band size: 33 kDa,36 kDa

false

Exposure time: 15s

Western blot - Anti-mu Crystallin antibody [EPR28406-56] - BSA and Azide free (AB314877)
  • WB

Supplier Data

Western blot - Anti-mu Crystallin antibody [EPR28406-56] - BSA and Azide free (AB314877)

This data was developed using ab314876, the same antibody clone in a different buffer formulation. Blocking and diluting buffer and concentration : 5% NFDM/TBST Low expression : placenta (PMID : 1384048), lung (PMID : 1384048). The identity of the bands at approximately 20 kDa and 100kDa (in lane 3) are unknown. In Western blot, Anti-Vinculin antibody [EPR8185] (ab129002) staining at 1/10000 dilution.

All lanes:

Western blot - Anti-mu Crystallin antibody [EPR28406-56] (<a href='/en-us/products/primary-antibodies/mu-crystallin-antibody-epr28406-56-ab314876'>ab314876</a>) at 1/1000 dilution

Lane 1:

Mouse skeletal muscle tissue lysate at 20 µg

Lane 2:

Mouse placenta tissue lysate at 20 µg

Lane 3:

Rat brain tissue lysate at 20 µg

Lane 4:

Rat placenta tissue lysate at 20 µg

Lane 5:

Rat lung tissue lysate at 20 µg

Secondary

All lanes:

Western blot - Goat Anti-Rabbit IgG H&L (HRP) (<a href='/en-us/products/secondary-antibodies/goat-rabbit-igg-h-l-hrp-ab97051'>ab97051</a>) at 1/20000 dilution

Observed band size: 33 kDa,124 kDa

false

Exposure time: 15s

Western blot - Anti-mu Crystallin antibody [EPR28406-56] - BSA and Azide free (AB314877)
  • WB

Supplier Data

Western blot - Anti-mu Crystallin antibody [EPR28406-56] - BSA and Azide free (AB314877)

This data was developed using ab314876, the same antibody clone in a different buffer formulation. Blocking and diluting buffer and concentration : 5% NFDM/TBST

All lanes:

Western blot - Anti-mu Crystallin antibody [EPR28406-56] (<a href='/en-us/products/primary-antibodies/mu-crystallin-antibody-epr28406-56-ab314876'>ab314876</a>) at 1/1000 dilution

All lanes:

PC-12 (rat adrenal gland pheochromocytoma cell) whole cell lysate at 20 µg

Secondary

All lanes:

Western blot - Goat Anti-Rabbit IgG H&L (HRP) (<a href='/en-us/products/secondary-antibodies/goat-rabbit-igg-h-l-hrp-ab97051'>ab97051</a>) at 1/20000 dilution

Observed band size: 33 kDa

false

Exposure time: 48s

Key facts

Host species

Rabbit

Clonality

Monoclonal

Clone number

EPR28406-56

Isotype

IgG

Carrier free

Yes

Reacts with

Human, Mouse, Rat

Applications

WB, IHC-P

applications

Immunogen

The exact immunogen used to generate this antibody is proprietary information.

Reactivity data

{ "title": "Reactivity Data", "filters": { "stats": ["", "Species", "Dilution Info", "Notes"], "tabs": { "all-applications": {"fullname" : "All Applications", "shortname": "All Applications"}, "WB" : {"fullname" : "Western blot", "shortname":"WB"}, "IHCP" : {"fullname" : "Immunohistochemistry (Formalin/PFA-fixed paraffin-embedded sections)", "shortname":"IHC-P"}, "ICCIF" : {"fullname" : "Immunocytochemistry/ Immunofluorescence", "shortname":"ICC/IF"}, "IP" : {"fullname" : "Immunoprecipitation", "shortname":"IP"}, "IHCFr" : {"fullname" : "Immunohistochemistry (Frozen sections)", "shortname":"IHC-Fr"}, "FlowCytIntra" : {"fullname" : "Flow Cytometry (Intracellular)", "shortname":"Flow Cyt (Intra)"} }, "product-promise": { "all": "all", "testedAndGuaranteed": "tested", "guaranteed": "expected", "predicted": "predicted", "notRecommended": "not-recommended" } }, "values": { "Human": { "WB-species-checked": "testedAndGuaranteed", "WB-species-dilution-info": "", "WB-species-notes": "<p></p>", "IHCP-species-checked": "testedAndGuaranteed", "IHCP-species-dilution-info": "", "IHCP-species-notes": "<p></p>", "ICCIF-species-checked": "notRecommended", "ICCIF-species-dilution-info": "", "ICCIF-species-notes": "<p></p>", "IP-species-checked": "notRecommended", "IP-species-dilution-info": "", "IP-species-notes": "<p></p>", "IHCFr-species-checked": "notRecommended", "IHCFr-species-dilution-info": "", "IHCFr-species-notes": "", "FlowCytIntra-species-checked": "notRecommended", "FlowCytIntra-species-dilution-info": "", "FlowCytIntra-species-notes": "<p></p>" }, "Mouse": { "WB-species-checked": "testedAndGuaranteed", "WB-species-dilution-info": "", "WB-species-notes": "<p></p>", "IHCP-species-checked": "testedAndGuaranteed", "IHCP-species-dilution-info": "", "IHCP-species-notes": "<p></p>", "ICCIF-species-checked": "notRecommended", "ICCIF-species-dilution-info": "", "ICCIF-species-notes": "", "IP-species-checked": "notRecommended", "IP-species-dilution-info": "", "IP-species-notes": "", "IHCFr-species-checked": "notRecommended", "IHCFr-species-dilution-info": "", "IHCFr-species-notes": "<p></p>", "FlowCytIntra-species-checked": "notRecommended", "FlowCytIntra-species-dilution-info": "", "FlowCytIntra-species-notes": "" }, "Rat": { "WB-species-checked": "testedAndGuaranteed", "WB-species-dilution-info": "", "WB-species-notes": "<p></p>", "IHCP-species-checked": "testedAndGuaranteed", "IHCP-species-dilution-info": "", "IHCP-species-notes": "<p></p>", "ICCIF-species-checked": "notRecommended", "ICCIF-species-dilution-info": "", "ICCIF-species-notes": "", "IP-species-checked": "notRecommended", "IP-species-dilution-info": "", "IP-species-notes": "", "IHCFr-species-checked": "notRecommended", "IHCFr-species-dilution-info": "", "IHCFr-species-notes": "<p></p>", "FlowCytIntra-species-checked": "notRecommended", "FlowCytIntra-species-dilution-info": "", "FlowCytIntra-species-notes": "" } } }

Product details

ab314877 is the carrier-free version of ab314876.

Patented technology
Our RabMAb® technology is a patented hybridoma-based technology for making rabbit monoclonal antibodies. For details on our patents, please refer to RabMAb® patents.

What are the advantages of a recombinant monoclonal antibody?
This product is a recombinant monoclonal antibody, which offers several advantages including:

  • - High batch-to-batch consistency and reproducibility
  • - Improved sensitivity and specificity
  • - Long-term security of supply
  • - Animal-free batch production

For more information, read more on recombinant antibodies.

Conjugation ready
Our carrier-free antibodies are typically supplied in a PBS-only formulation, purified and free of BSA, sodium azide and glycerol. This conjugation-ready format is designed for use with fluorochromes, metal isotopes, oligonucleotides, and enzymes, which makes them ideal for antibody labelling, functional and cell-based assays, flow-based assays (e.g. mass cytometry) and Multiplex Imaging applications.

Use our conjugation kits for antibody conjugates that are ready-to-use in as little as 20 minutes with 1 minute hands-on-time and 100% antibody recovery: available for fluorescent dyes, HRP, biotin and gold.

Compatibility
This product is compatible with the Maxpar® Antibody Labeling Kit from Fluidigm, without the need for antibody preparation. Maxpar® is a trademark of Fluidigm Canada Inc.

Properties and storage information

Form
Liquid
Purification technique
Affinity purification Protein A
Storage buffer
pH: 7.2 - 7.4 Constituents: PBS
Shipped at conditions
Blue Ice
Appropriate short-term storage conditions
+4°C
Appropriate long-term storage conditions
+4°C

Supplementary information

This supplementary information is collated from multiple sources and compiled automatically.

Mu Crystallin also known as CRYM is a protein with a molecular weight of approximately 33 kDa. It binds to NADPH functioning as a crystallin-like structure. Mu Crystallin expresses in several tissues with notable presence in the human kidney heart and inner ear. While its original identification was in relation to vertebrate eye lens outside the lens its expression takes on additional roles that align with its involvement in thyroid hormone binding.
Biological function summary

Mu Crystallin plays a part in the regulation of thyroid hormones by acting as a carrier protein for triiodothyronine (T3). It does not belong to any known complex but shows distinction in its binding capabilities. By binding with T3 mu Crystallin modulates the availability of this hormone affecting local cellular environments and hormonal pathways. This interaction influences the normal signaling of thyroid hormones which are essential for maintaining many physiological processes.

Pathways

Mu Crystallin is involved in key processes related to thyroid hormone signaling and metabolic regulation. It fits importantly into the thyroid hormone pathway where it impacts the transportation and eventual metabolism of T3. In relation to this context mu Crystallin interacts with proteins such as thyroid hormone receptors and other binding proteins inherent in the metabolic pathways.

Defects and dysregulation in mu Crystallin function connect to non-syndromic deafness and depressive disorders. Through its role in hormone regulation mu Crystallin's dysfunctions can impact neurotransmitter levels which may contribute to depressive conditions. Furthermore its relationship with other thyroid hormone-related proteins suggests implications in auditory impairments where alterations in hormone availability affect inner ear health.

Product protocols

For this product, it's our understanding that no specific protocols are required. You can visit:

Target data

Specifically catalyzes the reduction of imine bonds in brain substrates that may include cystathionine ketimine (CysK) and lanthionine ketimine (LK). Binds thyroid hormone which is a strong reversible inhibitor. Presumably involved in the regulation of the free intracellular concentration of triiodothyronine and access to its nuclear receptors.
See full target information CRYM

Product promise

We are committed to supporting your work with high-quality reagents, and we're here for you every step of the way. In the unlikely event that one of our products does not perform as expected, you're protected by our Product Promise.
For full details, please see our Terms & Conditions

Please note: All products are 'FOR RESEARCH USE ONLY. NOT FOR USE IN DIAGNOSTIC OR THERAPEUTIC PROCEDURES'.

For licensing inquiries, please contact partnerships@abcam.com