JavaScript is disabled in your browser. Please enable JavaScript to view this website.
AB302513

Anti-Mu Opioid Receptor antibody [EPR26293-61] (BSA and Azide free)

Be the first to review this product! Submit a review

|

(0 Publication)

Rabbit Recombinant Monoclonal Mu Opioid Receptor antibody. Carrier free. Suitable for IHC-P and reacts with Rat samples.

View Alternative Names

Ror-b, Oprm1, Mu-type opioid receptor, M-OR-1, MOR-1, Opioid receptor B

4 Images
Immunohistochemistry (Formalin/PFA-fixed paraffin-embedded sections) - Anti-Mu Opioid Receptor antibody [EPR26293-61] (BSA and Azide free) (AB302513)
  • IHC-P

Supplier Data

Immunohistochemistry (Formalin/PFA-fixed paraffin-embedded sections) - Anti-Mu Opioid Receptor antibody [EPR26293-61] (BSA and Azide free) (AB302513)

This data was developed using ab302512, the same antibody clone in a different buffer formulation. Immunohistochemical analysis of paraffin-embedded A HEK-293T cells tr tissue labeling Mu Opioid Receptor with ab302512 at 1/500 (0.924 ug/ml) followed by a ready to use LeicaDS9800 (Bond™ Polymer Refine Detection) was used. Cytoplasmic staining on HEK-293T cells transfected with a rat OPRM1 expression vector containing a myc-His tag cell pallet (panal A). No staining on 293T transfected with an empty vector cell pallet (panal B). The section was incubated with ab302512 for 30 mins at room temperature.The immunostaining was performed on a Leica Biosystems BOND® RX instrument Counterstained with Hematoxylin. Secondary antibody only control : Secondary antibody is a ready to use LeicaDS9800 (Bond™ Polymer Refine Detection) was used. Heat mediated antigen retrieval with Tris-EDTA buffer (pH 9.0, epitope retrieval solution2) for 20 mins

Immunohistochemistry (Formalin/PFA-fixed paraffin-embedded sections) - Anti-Mu Opioid Receptor antibody [EPR26293-61] (BSA and Azide free) (AB302513)
  • IHC-P

Supplier Data

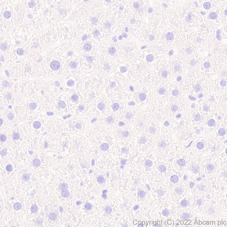
Immunohistochemistry (Formalin/PFA-fixed paraffin-embedded sections) - Anti-Mu Opioid Receptor antibody [EPR26293-61] (BSA and Azide free) (AB302513)

This data was developed using ab302512, the same antibody clone in a different buffer formulation. Immunohistochemical analysis of paraffin-embedded Rat liver tissue labeling Mu Opioid Receptor with ab302512 at 1/500 (0.924 ug/ml) followed by a ready to use LeicaDS9800 (Bond™ Polymer Refine Detection) was used. Negative control : No staining on rat liver. The section was incubated with ab302512 for 30 mins at room temperature.The immunostaining was performed on a Leica Biosystems BOND® RX instrument Counterstained with Hematoxylin. Secondary antibody only control : Secondary antibody is a ready to use LeicaDS9800 (Bond™ Polymer Refine Detection) was used. Heat mediated antigen retrieval with Tris-EDTA buffer (pH 9.0, epitope retrieval solution2) for 20 mins

Immunohistochemistry (Formalin/PFA-fixed paraffin-embedded sections) - Anti-Mu Opioid Receptor antibody [EPR26293-61] (BSA and Azide free) (AB302513)
  • IHC-P

Supplier Data

Immunohistochemistry (Formalin/PFA-fixed paraffin-embedded sections) - Anti-Mu Opioid Receptor antibody [EPR26293-61] (BSA and Azide free) (AB302513)

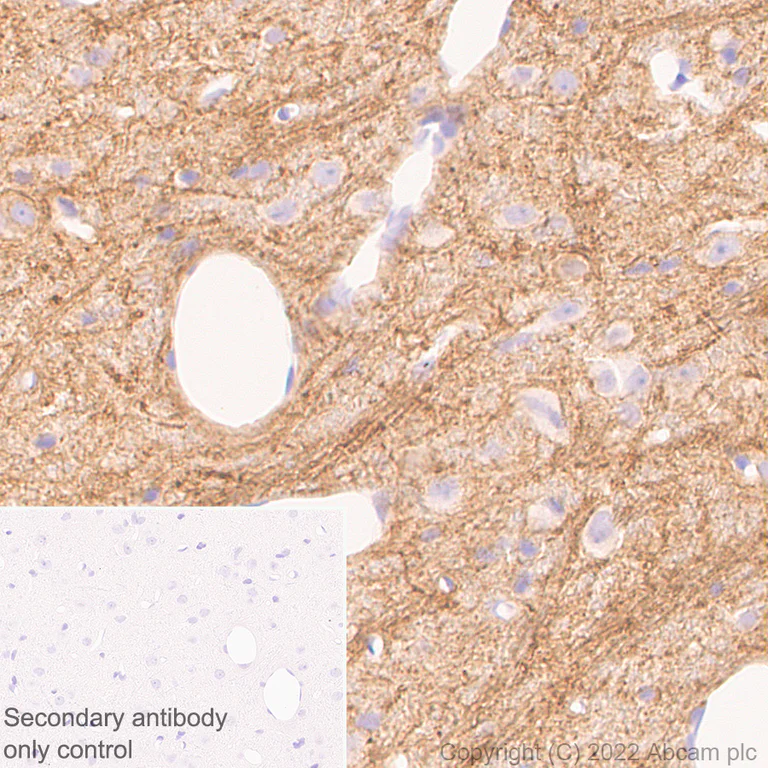
This data was developed using ab302512, the same antibody clone in a different buffer formulation. Immunohistochemical analysis of paraffin-embedded Rat spinal cord tissue labeling Mu Opioid Receptor with ab302512 at 1/500 (0.924 ug/ml) followed by a ready to use LeicaDS9800 (Bond™ Polymer Refine Detection) was used. Positive staining on rat spinal cord. The section was incubated with ab302512 for 30 mins at room temperature.The immunostaining was performed on a Leica Biosystems BOND® RX instrument Counterstained with Hematoxylin. Secondary antibody only control : Secondary antibody is a ready to use LeicaDS9800 (Bond™ Polymer Refine Detection) was used. Heat mediated antigen retrieval with Tris-EDTA buffer (pH 9.0, epitope retrieval solution2) for 20 mins

Immunohistochemistry (Formalin/PFA-fixed paraffin-embedded sections) - Anti-Mu Opioid Receptor antibody [EPR26293-61] (BSA and Azide free) (AB302513)
  • IHC-P

Supplier Data

Immunohistochemistry (Formalin/PFA-fixed paraffin-embedded sections) - Anti-Mu Opioid Receptor antibody [EPR26293-61] (BSA and Azide free) (AB302513)

This data was developed using ab302512, the same antibody clone in a different buffer formulation. Immunohistochemical analysis of paraffin-embedded Rat cerebrum tissue labeling Mu Opioid Receptor with ab302512 at 1/500 (0.924 ug/ml) followed by a ready to use LeicaDS9800 (Bond™ Polymer Refine Detection) was used. Positive staining on rat cerebrum. The section was incubated with ab302512 for 30 mins at room temperature.The immunostaining was performed on a Leica Biosystems BOND® RX instrument Counterstained with Hematoxylin. Secondary antibody only control : Secondary antibody is a ready to use LeicaDS9800 (Bond™ Polymer Refine Detection) was used. Heat mediated antigen retrieval with Tris-EDTA buffer (pH 9.0, epitope retrieval solution2) for 20 mins

  • Unconjugated

    Anti-Mu Opioid Receptor antibody [EPR26293-61]

Key facts

Host species

Rabbit

Clonality

Monoclonal

Clone number

EPR26293-61

Isotype

IgG

Carrier free

Yes

Reacts with

Rat

Applications

IHC-P

applications

Immunogen

The exact immunogen used to generate this antibody is proprietary information.

Reactivity data

{ "title": "Reactivity Data", "filters": { "stats": ["", "Species", "Dilution Info", "Notes"], "tabs": { "all-applications": {"fullname" : "All Applications", "shortname": "All Applications"}, "IP" : {"fullname" : "Immunoprecipitation", "shortname":"IP"}, "ICCIF" : {"fullname" : "Immunocytochemistry/ Immunofluorescence", "shortname":"ICC/IF"}, "IHCFr" : {"fullname" : "Immunohistochemistry (Frozen sections)", "shortname":"IHC-Fr"}, "IHCP" : {"fullname" : "Immunohistochemistry (Formalin/PFA-fixed paraffin-embedded sections)", "shortname":"IHC-P"}, "WB" : {"fullname" : "Western blot", "shortname":"WB"} }, "product-promise": { "all": "all", "testedAndGuaranteed": "tested", "guaranteed": "expected", "predicted": "predicted", "notRecommended": "not-recommended" } }, "values": { "Human": { "IP-species-checked": "notRecommended", "IP-species-dilution-info": "", "IP-species-notes": "", "ICCIF-species-checked": "notRecommended", "ICCIF-species-dilution-info": "", "ICCIF-species-notes": "", "IHCFr-species-checked": "notRecommended", "IHCFr-species-dilution-info": "", "IHCFr-species-notes": "", "IHCP-species-checked": "notRecommended", "IHCP-species-dilution-info": "", "IHCP-species-notes": "<p></p>", "WB-species-checked": "notRecommended", "WB-species-dilution-info": "", "WB-species-notes": "<p></p>" }, "Mouse": { "IP-species-checked": "notRecommended", "IP-species-dilution-info": "", "IP-species-notes": "<p></p>", "ICCIF-species-checked": "notRecommended", "ICCIF-species-dilution-info": "", "ICCIF-species-notes": "<p></p>", "IHCFr-species-checked": "notRecommended", "IHCFr-species-dilution-info": "", "IHCFr-species-notes": "<p></p>", "IHCP-species-checked": "notRecommended", "IHCP-species-dilution-info": "", "IHCP-species-notes": "<p></p>", "WB-species-checked": "notRecommended", "WB-species-dilution-info": "", "WB-species-notes": "<p></p>" }, "Rat": { "IP-species-checked": "notRecommended", "IP-species-dilution-info": "", "IP-species-notes": "<p></p>", "ICCIF-species-checked": "notRecommended", "ICCIF-species-dilution-info": "", "ICCIF-species-notes": "<p></p>", "IHCFr-species-checked": "notRecommended", "IHCFr-species-dilution-info": "", "IHCFr-species-notes": "<p></p>", "IHCP-species-checked": "testedAndGuaranteed", "IHCP-species-dilution-info": "", "IHCP-species-notes": "<p></p>", "WB-species-checked": "notRecommended", "WB-species-dilution-info": "", "WB-species-notes": "<p></p>" } } }

Product details

Want a custom formulation?
This antibody clone is manufactured by Abcam. If you require a custom buffer formulation or conjugation for your experiments, please contact orders@abcam.com

What are the advantages of a recombinant monoclonal antibody?
This product is a recombinant monoclonal antibody, which offers several advantages including:

  • - High batch-to-batch consistency and reproducibility
  • - Improved sensitivity and specificity
  • - Long-term security of supply
  • - Animal-free batch production

For more information, read more on recombinant antibodies.

Conjugation ready
Our carrier-free antibodies are typically supplied in a PBS-only formulation, purified and free of BSA, sodium azide and glycerol. This conjugation-ready format is designed for use with fluorochromes, metal isotopes, oligonucleotides, and enzymes, which makes them ideal for antibody labelling, functional and cell-based assays, flow-based assays (e.g. mass cytometry) and Multiplex Imaging applications.

Use our conjugation kits for antibody conjugates that are ready-to-use in as little as 20 minutes with 1 minute hands-on-time and 100% antibody recovery: available for fluorescent dyes, HRP, biotin and gold.

Compatibility
This product is compatible with the Maxpar® Antibody Labeling Kit from Fluidigm, without the need for antibody preparation. Maxpar® is a trademark of Fluidigm Canada Inc.

Patented technology
Our RabMAb® technology is a patented hybridoma-based technology for making rabbit monoclonal antibodies. For details on our patents, please refer to RabMAb® patents.

Properties and storage information

Form
Liquid
Purification technique
Affinity purification Protein A
Storage buffer
pH: 7.2 - 7.4 Constituents: PBS
Shipped at conditions
Blue Ice
Appropriate short-term storage duration
1-2 weeks
Appropriate short-term storage conditions
+4°C
Appropriate long-term storage conditions
+4°C
Aliquoting information
Upon delivery aliquot
Storage information
Avoid freeze / thaw cycle

Supplementary information

This supplementary information is collated from multiple sources and compiled automatically.

The Mu Opioid Receptor also known as MOR mu receptor or mu opiate receptor represents an important protein involved in pain and reward mechanisms. It is a G-protein coupled receptor with a mass of approximately 45 kDa. This receptor shows broad expression in the central nervous system with significant presence in areas such as the brainstem thalamus and spinal cord. MORs have a high affinity for endogenous opioids such as endorphins as well as exogenous opioid drugs like morphine.
Biological function summary

The Mu Opioid Receptor plays an essential role in modulating pain perception and response to opioids. It interacts predominantly with inhibitory G-proteins reducing neuronal excitability by decreasing cAMP levels and increasing potassium ion conductance. MORs are part of opioid receptor family which also includes delta and kappa receptors forming a complex regulatory system for the opioid signaling pathways. These receptors also modulate the release of neurotransmitters like GABA and dopamine.

Pathways

Signaling through the Mu Opioid Receptor integrates with the analgesic and reward pathways. It is important in the pain modulation pathway where it influences the perception of and response to pain stimuli. MORs interact with proteins such as adenylate cyclase and beta-arrestin which mediate desensitization and down-regulation processes. This interaction can also modulate the activity of dopamine pathways further linking MOR to reward and addiction mechanisms.

The Mu Opioid Receptor is closely connected to conditions like addiction and chronic pain. Anomalies in MOR function or expression can lead to an increased risk of opioid addiction due to its pivotal role in the reward pathway. Additionally chronic pain conditions might involve altered MOR signaling or density impacting pain management. Understanding MOR interactions with proteins like dopamine receptors can provide deeper insights into Huntington’s disease and the role of opioid receptors in its pathology.

Product protocols

For this product, it's our understanding that no specific protocols are required. You can visit:

Target data

Receptor for endogenous opioids such as beta-endorphin and endomorphin (PubMed : 11060299, PubMed : 15944153, PubMed : 16682964, PubMed : 17384143, PubMed : 17947509, PubMed : 1846076, PubMed : 18558479, PubMed : 21292762, PubMed : 7595566, PubMed : 7678862, PubMed : 8051154, PubMed : 8240812, PubMed : 8393525, PubMed : 9224819, PubMed : 9572309). Receptor for natural and synthetic opioids including morphine, heroin, DAMGO, fentanyl, etorphine, buprenorphin and methadone (PubMed : 11060299, PubMed : 15944153, PubMed : 16682964, PubMed : 17384143, PubMed : 17947509, PubMed : 1846076, PubMed : 18558479, PubMed : 21292762, PubMed : 7595566, PubMed : 7678862, PubMed : 8051154, PubMed : 8240812, PubMed : 8393525, PubMed : 9224819, PubMed : 9572309). Also activated by enkephalin peptides, such as Met-enkephalin or Met-enkephalin-Arg-Phe, with higher affinity for Met-enkephalin-Arg-Phe (PubMed : 8624732). Agonist binding to the receptor induces coupling to an inactive GDP-bound heterotrimeric G-protein complex and subsequent exchange of GDP for GTP in the G-protein alpha subunit leading to dissociation of the G-protein complex with the free GTP-bound G-protein alpha and the G-protein beta-gamma dimer activating downstream cellular effectors (PubMed : 16682964, PubMed : 9224819). The agonist- and cell type-specific activity is predominantly coupled to pertussis toxin-sensitive G(i) and G(o) G alpha proteins, GNAI1, GNAI2, GNAI3 and GNAO1 isoforms Alpha-1 and Alpha-2, and to a lesser extent to pertussis toxin-insensitive G alpha proteins GNAZ and GNA15 (PubMed : 9224819, PubMed : 9572309). They mediate an array of downstream cellular responses, including inhibition of adenylate cyclase activity and both N-type and L-type calcium channels, activation of inward rectifying potassium channels, mitogen-activated protein kinase (MAPK), phospholipase C (PLC), phosphoinositide/protein kinase (PKC), phosphoinositide 3-kinase (PI3K) and regulation of NF-kappa-B (PubMed : 15944153, PubMed : 21292762, PubMed : 7595566, PubMed : 9572309). Also couples to adenylate cyclase stimulatory G alpha proteins (PubMed : 7595566). The selective temporal coupling to G-proteins and subsequent signaling can be regulated by RGSZ proteins, such as RGS9, RGS17 and RGS4. Phosphorylation by members of the GPRK subfamily of Ser/Thr protein kinases and association with beta-arrestins is involved in short-term receptor desensitization (PubMed : 11060299, PubMed : 17384143, PubMed : 17947509, PubMed : 18558479). Beta-arrestins associate with the GPRK-phosphorylated receptor and uncouple it from the G-protein thus terminating signal transduction. The phosphorylated receptor is internalized through endocytosis via clathrin-coated pits which involves beta-arrestins. The activation of the ERK pathway occurs either in a G-protein-dependent or a beta-arrestin-dependent manner and is regulated by agonist-specific receptor phosphorylation (PubMed : 11278523, PubMed : 11896051, PubMed : 15944153). Acts as a class A G-protein coupled receptor (GPCR) which dissociates from beta-arrestin at or near the plasma membrane and undergoes rapid recycling. Receptor down-regulation pathways are varying with the agonist and occur dependent or independent of G-protein coupling (PubMed : 11060299, PubMed : 17384143, PubMed : 17947509, PubMed : 18558479). Endogenous ligands induce rapid desensitization, endocytosis and recycling. Heterooligomerization with other GPCRs can modulate agonist binding, signaling and trafficking properties (PubMed : 16682964, PubMed : 17384143).
See full target information Oprm1

Product promise

We are committed to supporting your work with high-quality reagents, and we're here for you every step of the way. In the unlikely event that one of our products does not perform as expected, you're protected by our Product Promise.
For full details, please see our Terms & Conditions

Please note: All products are 'FOR RESEARCH USE ONLY. NOT FOR USE IN DIAGNOSTIC OR THERAPEUTIC PROCEDURES'.

For licensing inquiries, please contact partnerships@abcam.com