JavaScript is disabled in your browser. Please enable JavaScript to view this website.
AB109185

Anti-MUC1 antibody [EPR1023]

  • RabMAb
  • Recombinant
  • KO Validated
  • 20ul selling size
  • What is this?

0

(1 Review)

|

(73 Publications)

Anti-MUC1 antibody [EPR1023] (ab109185) is a rabbit monoclonal antibody detecting MUC1 in Western Blot, Flow Cytometry (Intra), Flow Cytometry, IP, IHC-P, ICC/IF. Suitable for Human, Mouse, Rat.

- KO validated for confirmed specificity
- Biophysical QC for unrivalled batch-batch consistency
- Over 50 publications

View Alternative Names

CD227, PUM, MUC1, Mucin-1, MUC-1, Breast carcinoma-associated antigen DF3, Cancer antigen 15-3, Carcinoma-associated mucin, Episialin, H23AG, Krebs von den Lungen-6, PEMT, Peanut-reactive urinary mucin, Polymorphic epithelial mucin, Tumor-associated epithelial membrane antigen, Tumor-associated mucin, CA 15-3, KL-6, PEM, EMA

15 Images
Immunohistochemistry (Formalin/PFA-fixed paraffin-embedded sections) - Anti-MUC1 antibody [EPR1023] (AB109185)
  • IHC-P

Lab

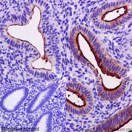
Immunohistochemistry (Formalin/PFA-fixed paraffin-embedded sections) - Anti-MUC1 antibody [EPR1023] (AB109185)

Immunohistochemical staining of paraffin embedded human endometrium with purified ab109185 at a working dilution of 1 in 500. The secondary antibody used is a HRP polymer for rabbit IgG. The sample is counter-stained with hematoxylin. Antigen retrieval was perfomed using Tris-EDTA buffer pH 9.0. PBS was used instead of the primary antibody as the negative control and is shown in the inset.

Flow Cytometry (Intracellular) - Anti-MUC1 antibody [EPR1023] (AB109185)
  • Flow Cyt (Intra)

Unknown

Flow Cytometry (Intracellular) - Anti-MUC1 antibody [EPR1023] (AB109185)

Overlay histogram showing MCF7 cells stained with unpurified ab109185 (red line). The cells were fixed with 80% methanol (5 min) and then permeabilized with 0.1% PBS-Tween for 20 min. The cells were then incubated in 1x PBS / 10% normal goat serum / 0.3M glycine to block non-specific protein-protein interactions followed by the antibody (ab109185, 1/1000 dilution) for 30 min at 22°C. The secondary antibody used was Alexa Fluorr® 488 goat anti-rabbit IgG (H&L) (ab150077) at 1/2000 dilution for 30 min at 22°C. Isotype control antibody (black line) was rabbit IgG (monoclonal) (0.1μg/1x106 cells) used under the same conditions. Unlabelled sample (blue line) was also used as a control. Acquisition of >5,000 events were collected using a 20mW Argon ion laser (488nm) and 525/30 bandpass filter. This antibody gave a positive signal in MCF7 cells fixed with 4% paraformaldehyde (10 min)/permeabilized with 0.1% PBS-Tween for 20 min used under the same conditions.

Immunohistochemistry (Formalin/PFA-fixed paraffin-embedded sections) - Anti-MUC1 antibody [EPR1023] (AB109185)
  • IHC-P

Unknown

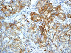
Immunohistochemistry (Formalin/PFA-fixed paraffin-embedded sections) - Anti-MUC1 antibody [EPR1023] (AB109185)

ab109185 (unpurified) showing positive staining in Breast ductal infiltrating carcinoma tissue.

Perform heat mediated antigen retrieval before commencing with IHC staining protocol.

Flow Cytometry (Intracellular) - Anti-MUC1 antibody [EPR1023] (AB109185)
  • Flow Cyt (Intra)

Lab

Flow Cytometry (Intracellular) - Anti-MUC1 antibody [EPR1023] (AB109185)

Overlay histogram showing MCF7 cells fixed in 2% PFA andstained with purified ab109185 at a dilution of 1 in 30 (pink line). The secondary antibody used wasFITC goat anti-rabbit at a dilution of 1 in 150. Rabbit monoclonal IgG was used as an isotype control.

Immunocytochemistry/ Immunofluorescence - Anti-MUC1 antibody [EPR1023] (AB109185)
  • ICC/IF

Lab

Immunocytochemistry/ Immunofluorescence - Anti-MUC1 antibody [EPR1023] (AB109185)

Immunofluorescence staining of A431 cells with purified ab109185 at a working dilution of 1 in 1000 counter-stained with DAPI. The secondary antibody was Alexa Fluor® 555 goat anti rabbit used at a dilution of 1 in 400. The cells were fixed in 4% PFA and permeabilized using 0.1% Triton X 100. The negative control is shown in bottom right hand panel - for the negative control purified ab109185 was used at a dilution of 1/200 followed by an Alexa Fluor® 555 goat anti-mouse antibody at a dilution of 1/500.

Immunoprecipitation - Anti-MUC1 antibody [EPR1023] (AB109185)
  • IP

Lab

Immunoprecipitation - Anti-MUC1 antibody [EPR1023] (AB109185)

ab109185 (purified) at 1/20 immunoprecipitating MUC1 in T47-D (Lane 1). Lane 2 - PBS. For western blotting, a HRP-conjugated anti-rabbit IgG, specific to the non-reduced form of IgG was used as the secondary antibody (1/1500).

Blocking buffer and concentration : 5% NFDM/TBST.

Diluting buffer and concentration : 5% NFDM /TBST.

All lanes:

Immunoprecipitation - Anti-MUC1 antibody [EPR1023] (ab109185)

Predicted band size: 122 kDa

Observed band size: 18-25 kDa

false

Immunohistochemistry (Formalin/PFA-fixed paraffin-embedded sections) - Anti-MUC1 antibody [EPR1023] (AB109185)
  • IHC-P

Lab

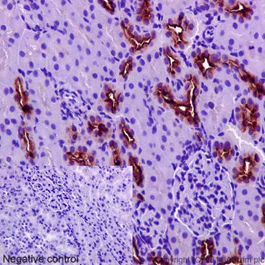
Immunohistochemistry (Formalin/PFA-fixed paraffin-embedded sections) - Anti-MUC1 antibody [EPR1023] (AB109185)

Immunohistochemical staining of paraffin embedded rat kidney with purified ab109185 at a working dilution of 1 in 500. The secondary antibody used is a HRP polymer for rabbit IgG. The sample is counter-stained with hematoxylin. Antigen retrieval was perfomed using Tris-EDTA buffer pH 9.0. PBS was used instead of the primary antibody as the negative control and is shown in the inset.

Immunohistochemistry (Formalin/PFA-fixed paraffin-embedded sections) - Anti-MUC1 antibody [EPR1023] (AB109185)
  • IHC-P

Lab

Immunohistochemistry (Formalin/PFA-fixed paraffin-embedded sections) - Anti-MUC1 antibody [EPR1023] (AB109185)

Immunohistochemical staining of paraffin embedded mouse lung with purified ab109185 at a working dilution of 1 in 500. The secondary antibody used is a HRP polymer for rabbit IgG. The sample is counter-stained with hematoxylin. Antigen retrieval was perfomed using Tris-EDTA buffer pH 9.0. PBS was used instead of the primary antibody as the negative control and is shown in the inset.

Western blot - Anti-MUC1 antibody [EPR1023] (AB109185)
  • WB

Lab

Western blot - Anti-MUC1 antibody [EPR1023] (AB109185)

Blocking buffer : 5% NFDM/TBST

Dilution buffer : 5% NFDM/TBST

All lanes:

Western blot - Anti-MUC1 antibody [EPR1023] (ab109185) at 1/5000 dilution

All lanes:

T47D cell lysate at 10 µg

Secondary

All lanes:

Secondary ab: Anti-Rabbit IgG (HRP), specific to the non-reduced form of IgG at 1/1000 dilution

Predicted band size: 122 kDa

Observed band size: 18-25 kDa

false

Western blot - Anti-MUC1 antibody [EPR1023] (AB109185)
  • WB

Lab

Western blot - Anti-MUC1 antibody [EPR1023] (AB109185)

Lanes 1 - 2 : Merged signal (red and green). Green - ab109185 observed at 24 kDa. Red - loading control, ab9484, observed at 37 kDa.

ab109185 was shown to specifically react with MUC1 in wild-type HeLa cells as signal was lost in MUC1 knockout cells. Wild-type and MUC1 knockout samples were subjected to SDS-PAGE. ab109185 and ab9484 (Mouse anti-GAPDH loading control) were incubated overnight at 4°C at 1/1000 dilution and 1/20000 dilution respectively. Blots were developed with Goat anti-Rabbit IgG H&L (IRDye® 800CW) preabsorbed ab216773 and Goat anti-Mouse IgG H&L (IRDye® 680RD) preabsorbed ab216776 secondary antibodies at 1/20000 dilution for 1 hour at room temperature before imaging.

All lanes:

Western blot - Anti-MUC1 antibody [EPR1023] (ab109185) at 1/1000 dilution

Lane 1:

Wild-type HeLa whole cell lysate at 20 µg

Lane 2:

MUC1 knockout HeLa whole cell lysate at 20 µg

Predicted band size: 122 kDa

Observed band size: 17-24 kDa

false

Western blot - Anti-MUC1 antibody [EPR1023] (AB109185)
  • WB

Supplier Data

Western blot - Anti-MUC1 antibody [EPR1023] (AB109185)

Blocking and dilution buffer : 5% NFDM/TBST.

ab181602 was used as loading control at 1/1000000 dilution.

No expression of MUC1 was detected in normal liver (PMID : 16094706).

All lanes:

Western blot - Anti-MUC1 antibody [EPR1023] (ab109185) at 1/1000 dilution

Lane 1:

Mouse lung tissue lysate at 20 µg

Lane 2:

Rat lung tissue lysate at 20 µg

Lane 3:

Mouse liver tissue lysate at 20 µg

Lane 4:

Rat liver tissue lysate at 20 µg

Secondary

All lanes:

Western blot - Goat Anti-Rabbit IgG H&L (HRP) (<a href='/en-us/products/secondary-antibodies/goat-rabbit-igg-h-l-hrp-ab97051'>ab97051</a>) at 1/20000 dilution

Predicted band size: 122 kDa

Observed band size: 17-24 kDa

false

Exposure time: 20s

Immunohistochemistry (Formalin/PFA-fixed paraffin-embedded sections) - Anti-MUC1 antibody [EPR1023] (AB109185)
  • IHC-P

Unknown

Immunohistochemistry (Formalin/PFA-fixed paraffin-embedded sections) - Anti-MUC1 antibody [EPR1023] (AB109185)

ab109185 (unpurified) showing positive staining in Normal stomach tissue.

Perform heat mediated antigen retrieval before commencing with IHC staining protocol.

Western blot - Anti-MUC1 antibody [EPR1023] (AB109185)
  • WB

Unknown

Western blot - Anti-MUC1 antibody [EPR1023] (AB109185)

All lanes:

Western blot - Anti-MUC1 antibody [EPR1023] (ab109185) at 1/1000 dilution

Lane 1:

T47-D cell lysate at 10 µg

Lane 2:

Human colon cancer lysate at 10 µg

Predicted band size: 122 kDa

Observed band size: 17 kDa

false

Western blot - Anti-MUC1 antibody [EPR1023] (AB109185)
  • WB

Lab

Western blot - Anti-MUC1 antibody [EPR1023] (AB109185)

Blocking buffer : 5% NFDM/TBST

Dilution buffer : 5% NFDM/TBST

All lanes:

Western blot - Anti-MUC1 antibody [EPR1023] (ab109185) at 1/1000 dilution

All lanes:

Colon cancer at 10 µg

Secondary

All lanes:

Anti-Rabbit IgG (HRP), specific to the non-reduced form of IgG at 1/1000 dilution

Predicted band size: 122 kDa

Observed band size: 24 kDa

false

OI-RD Scanning - Anti-MUC1 antibody [EPR1023] (AB109185)
  • OI-RD Scanning

Unknown

OI-RD Scanning - Anti-MUC1 antibody [EPR1023] (AB109185)

We have systematically measured KD (the equilibrium dissociation constant between the antibody and its antigen), of more than 840 recombinant antibodies to assess not only their individual KD values but also to see the average affinity of antibody. Based on the comparison with published literature values for mouse monoclonal antibodies, Recombinant antibodies appear to be on average 1-2 order of magnitude higher affinity.

Key facts

Host species

Rabbit

Clonality

Monoclonal

Clone number

EPR1023

Isotype

IgG

Carrier free

No

Reacts with

Mouse, Rat, Human

Applications

ICC/IF, IP, WB, IHC-P, Flow Cyt (Intra)

applications

Immunogen

The exact immunogen used to generate this antibody is proprietary information.

Specificity

This antibody detects the 17 kDa carboxy-terminal subunit (subunit beta). Depending on the N-glycosylation extent, the size of this subunit is estimated to be between 17 kDa (without N-glycosylation) and 23-25 kDa

Reactivity data

{ "title": "Reactivity Data", "filters": { "stats": ["", "Species", "Dilution Info", "Notes"], "tabs": { "all-applications": {"fullname" : "All Applications", "shortname": "All Applications"}, "IHCP" : {"fullname" : "Immunohistochemistry (Formalin/PFA-fixed paraffin-embedded sections)", "shortname":"IHC-P"}, "IP" : {"fullname" : "Immunoprecipitation", "shortname":"IP"}, "WB" : {"fullname" : "Western blot", "shortname":"WB"}, "ICCIF" : {"fullname" : "Immunocytochemistry/ Immunofluorescence", "shortname":"ICC/IF"}, "FlowCytIntra" : {"fullname" : "Flow Cytometry (Intracellular)", "shortname":"Flow Cyt (Intra)"} }, "product-promise": { "all": "all", "testedAndGuaranteed": "tested", "guaranteed": "expected", "predicted": "predicted", "notRecommended": "not-recommended" } }, "values": { "Human": { "IHCP-species-checked": "testedAndGuaranteed", "IHCP-species-dilution-info": "1/250 - 1/500", "IHCP-species-notes": "<p></p> Perform heat-mediated antigen retrieval before commencing with IHC staining protocol.", "IP-species-checked": "testedAndGuaranteed", "IP-species-dilution-info": "1/20", "IP-species-notes": "<p><strong>For unpurified use at 1/10 - 1/100.</strong></p>", "WB-species-checked": "testedAndGuaranteed", "WB-species-dilution-info": "1/1000 - 1/5000", "WB-species-notes": "<p></p>", "ICCIF-species-checked": "testedAndGuaranteed", "ICCIF-species-dilution-info": "1/1000", "ICCIF-species-notes": "<p><strong>For unpurified use at 1/100 - 1/250.</strong></p>", "FlowCytIntra-species-checked": "testedAndGuaranteed", "FlowCytIntra-species-dilution-info": "1/30", "FlowCytIntra-species-notes": "<p>For unpurified use at 1/100 - 1/1000. <a href='/en-us/products/primary-antibodies/rabbit-igg-monoclonal-epr25a-isotype-control-ab172730'>ab172730</a> - Rabbit monoclonal IgG, is suitable for use as an isotype control with this antibody.</p>" }, "Mouse": { "IHCP-species-checked": "testedAndGuaranteed", "IHCP-species-dilution-info": "1/250 - 1/500", "IHCP-species-notes": "<p></p> Perform heat-mediated antigen retrieval before commencing with IHC staining protocol.", "IP-species-checked": "guaranteed", "IP-species-dilution-info": "", "IP-species-notes": "", "WB-species-checked": "guaranteed", "WB-species-dilution-info": "", "WB-species-notes": "", "ICCIF-species-checked": "guaranteed", "ICCIF-species-dilution-info": "", "ICCIF-species-notes": "", "FlowCytIntra-species-checked": "guaranteed", "FlowCytIntra-species-dilution-info": "", "FlowCytIntra-species-notes": "" }, "Rat": { "IHCP-species-checked": "testedAndGuaranteed", "IHCP-species-dilution-info": "1/250 - 1/500", "IHCP-species-notes": "<p></p> Perform heat-mediated antigen retrieval before commencing with IHC staining protocol.", "IP-species-checked": "guaranteed", "IP-species-dilution-info": "", "IP-species-notes": "", "WB-species-checked": "guaranteed", "WB-species-dilution-info": "", "WB-species-notes": "", "ICCIF-species-checked": "guaranteed", "ICCIF-species-dilution-info": "", "ICCIF-species-notes": "", "FlowCytIntra-species-checked": "guaranteed", "FlowCytIntra-species-dilution-info": "", "FlowCytIntra-species-notes": "" } } }

Product details

Product Specifications
Anti-MUC1 antibody [EPR1023] (ab109185) was developed by Abcam using patented rabbit monoclonal antibody technology and is validated for use in Flow Cyt (Intra), ICC/IF, IHC-P, IP, WB in human, mouse, rat samples.
Anti-MUC1 antibody [EPR1023] (ab109185) specifically detects MUC1 (UniProt ID: P15941; Molecular weight: 120kDa) and is sold in 100 µL and 1 mL selling sizes.

Quality and Validation
Abcam's high quality manufacturing and validation processes ensure Anti-MUC1 antibody [EPR1023] (ab109185) has high sensitivity and specificity alongside high lot-to-lot consistency and reproducibility.
The specificity of Anti-MUC1 antibody [EPR1023] (ab109185) has been confirmed by testing in knockout samples.
Anti-MUC1 antibody [EPR1023] (ab109185) has been cited over 55 times in peer reviewed journals and is trusted by the scientific community.

Related Products
Antibody clone EPR1023 is also available pre-conjugated to a variety of labels for your convenience - HRP, Alexa Fluor® 488, PE, APC, Alexa Fluor® 647, Alexa Fluor® 594, Alexa Fluor® 568, Alexa Fluor® 555, Alexa Fluor® 750 (ab195936, ab196443, ab211592, ab310811, ab311079, ab311673, ab312948, ab313157, ab320930).

Patented technology
Our RabMAb® technology is a patented hybridoma-based technology for making rabbit monoclonal antibodies. For details on our patents, please refer to RabMAb® patents.

What are the advantages of a recombinant monoclonal antibody?
This product is a recombinant monoclonal antibody, which offers several advantages including:

  • - High batch-to-batch consistency and reproducibility
  • - Improved sensitivity and specificity
  • - Long-term security of supply
  • - Animal-free batch production

For more information, read more on recombinant antibodies.

Shipping conditions update: ambient shipping

This product will be delivered at ambient temperature instead of chilled – this is by design. Extensive stability testing confirmed that our products are suitable for shipment under ambient conditions and maintain expected quality.

Why the change?

It’s part of our commitment to more sustainable packaging solutions, with ambient deliveries using eco-friendly materials such as recyclable cardboard instead of polystyrene.

What you need to know

  • Ambient shipments come clearly marked on the delivery note.
  • No ice will be included in ambient shipments, but mixed orders (ambient and cold-chain items) will still arrive with ice packs to protect temperature-sensitive products.
  • Warranty coverage remains fully valid, aligned with our validated shipping method.
  • Please store the product as per the datasheet instructions upon receipt.

Find out more - https://www.abcam.com/en-us/support/shipping-storage-support/ambient-shipping

Properties and storage information

Form
Liquid
Purification technique
Affinity purification Protein A
Storage buffer
pH: 7.2 - 7.4 Preservative: 0.01% Sodium azide Constituents: PBS, 40% Glycerol (glycerin, glycerine), 0.05% BSA
Shipped at conditions
Conditional Ambient
Appropriate short-term storage conditions
+4°C
Appropriate long-term storage conditions
-20°C
Storage information
Stable for 12 months at -20°C

Product protocols

For this product, it's our understanding that no specific protocols are required. You can visit:

Target data

The alpha subunit has cell adhesive properties. Can act both as an adhesion and an anti-adhesion protein. May provide a protective layer on epithelial cells against bacterial and enzyme attack.. The beta subunit contains a C-terminal domain which is involved in cell signaling, through phosphorylations and protein-protein interactions. Modulates signaling in ERK, SRC and NF-kappa-B pathways. In activated T-cells, influences directly or indirectly the Ras/MAPK pathway. Promotes tumor progression. Regulates TP53-mediated transcription and determines cell fate in the genotoxic stress response. Binds, together with KLF4, the PE21 promoter element of TP53 and represses TP53 activity.
See full target information MUC1

Publications (73)

Recent publications for all applications. Explore the full list and refine your search

Journal of veterinary science 26:e56 PubMed40936272

2025

Steroid hormone-treated endometrial organoids enhance implantation of -produced porcine embryos.

Applications

Unspecified application

Species

Unspecified reactive species

Ayeong Han,Ahmad Yar Qamar,Seonggyu Bang,Heejae Kang,Heyyoung Kim,Islam M Saadeldin,Sanghoon Lee,Jongki Cho

Cell discovery 11:68 PubMed40796724

2025

Breast cancer induces CD62L Kupffer cells via DMBT1 to promote neutrophil extracellular trap formation and liver metastasis.

Applications

Unspecified application

Species

Unspecified reactive species

Pu Tian,Qiuyao Wu,Dasa He,Wenjing Zhao,Lichao Luo,Zhenchang Jia,Wenqian Luo,Xianzhe Lv,Yanan Liu,Yuan Wang,Qian Wang,Peiyuan Zhang,Yajun Liang,Qifeng Yang,Guohong Hu

Annals of hepato-biliary-pancreatic surgery 29:343-352 PubMed40759530

2025

Role of diabetes-related inflammation in pancreatic cancer evaluated by aptamer-based detection of circulating tumor cells in a streptozotocin-induced Panc02-transplanted murine model.

Applications

Unspecified application

Species

Unspecified reactive species

Yeshong Park,Sang-Tae Kim,Yu Mi Kim,Ho-Seong Han,Yoo-Seok Yoon

Clinical and translational medicine 15:e70416 PubMed40717219

2025

Comparative spatial transcriptomics of pancreatic cancer with ductal and acinar origins in mouse models.

Applications

Unspecified application

Species

Unspecified reactive species

Ming Cui,Jialu Bai,Xiaoyan Chang,Ruiling Xiao,Shengwei Mo,Kevin C Soares,Sen Yang,Lei You,Quan Liao,Jin He,Ya Hu,Yupei Zhao

Experimental and therapeutic medicine 30:146 PubMed40496763

2025

Plasmon-activated water enhances gut-barrier function and alleviates inflammation in a mouse model of ulcerative colitis.

Applications

Unspecified application

Species

Unspecified reactive species

Chun-Chao Chang,Chih-Ju Chang,Chih-Yi Liu,Hsing-Jung Yeh,Yu-Ju Li,Wen-Chao Chen,Chun-Wei Chang,Jun-Liang Pan,Yu-Chuan Liu,Chi-Jung Huang

The Journal of reproduction and development 71:161-167 PubMed40301068

2025

Mechanism of action of IHH in ameliorating thin endometrium.

Applications

Unspecified application

Species

Unspecified reactive species

Lan Luo,Man Luo,Donghong Ning,Xi Chen,Qiuman Zheng,Qin Cao

Investigative ophthalmology & visual science 66:43 PubMed40238113

2025

Single-Cell RNA Sequencing Revealed Functional Conjunctival Keratinocytes Loss via TGF-β-Wnt/β-Catenin Signaling in Sjögren's Syndrome Related Dry Eye.

Applications

Unspecified application

Species

Unspecified reactive species

Bowen Wang,Lihong Liang,Hao Zeng,Xue Yang,Runze Zhang,Wenrui Deng,Xiaoran Wang,Jin Yuan

Biomedicines 13: PubMed40002703

2025

Dysregulation of Leukaemia Inhibitory Factor (LIF) Signalling Pathway by Supraphysiological Dose of Testosterone in Female Sprague Dawley Rats During Development of Endometrial Receptivity.

Applications

Unspecified application

Species

Unspecified reactive species

Allia Najmie Muhammad Yusuf,Mohd Fariz Amri,Azizah Ugusman,Adila A Hamid,Izzat Zulhilmi Abd Rahman,Mohd Helmy Mokhtar

Signal transduction and targeted therapy 10:27 PubMed39837870

2025

Identification of glutamine as a potential therapeutic target in dry eye disease.

Applications

Unspecified application

Species

Unspecified reactive species

Xiaoniao Chen,Chuyue Zhang,Fei Peng,Lingling Wu,Deyi Zhuo,Liqiang Wang,Min Zhang,Zhaohui Li,Lei Tian,Ying Jie,Yifei Huang,Xinji Yang,Xiaoqi Li,Fengyang Lei,Yu Cheng

Cell death & disease 15:878 PubMed39632825

2024

Colorectal cancer patients-derived immunity-organoid platform unveils cancer-specific tissue markers associated with immunotherapy resistance.

Applications

Unspecified application

Species

Unspecified reactive species

A Esposito,A Agostini,G Quero,G Piro,L Priori,A Caggiano,G Scaglione,A Battaglia,M A Calegari,L Salvatore,M Bensi,M G Maratta,A Ceccarelli,G Trovato,G Genovese,E Gurreri,S Ascrizzi,M Martini,C Fiorillo,A Fattorossi,F De Sanctis,S Ugel,V Corbo,S Alfieri,G Tortora,C Carbone
View all publications

Product promise

We are committed to supporting your work with high-quality reagents, and we're here for you every step of the way. In the unlikely event that one of our products does not perform as expected, you're protected by our Product Promise.
For full details, please see our Terms & Conditions

Please note: All products are 'FOR RESEARCH USE ONLY. NOT FOR USE IN DIAGNOSTIC OR THERAPEUTIC PROCEDURES'.

For licensing inquiries, please contact partnerships@abcam.com